医影在线
标题: CT23370:肝脏直径2厘米低密度圆形病变 [打印本页]
作者: dongfei168 时间: 2009-12-1 06:21
标题: CT23370:肝脏直径2厘米低密度圆形病变
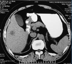
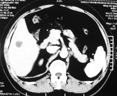
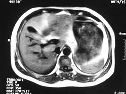
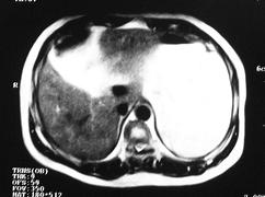
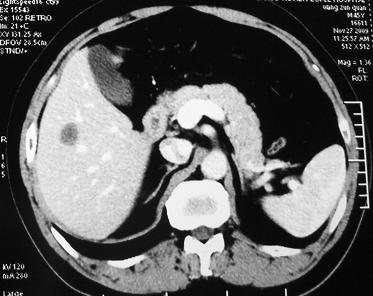
男 45岁。体检b超发现肝脏一低密度病变,怀疑是血管瘤,来ct检查。
ct平扫:在肝右后下叶一直径约2厘米的圆形低密度病变,ct值约32hu。
增强三期都未强化。后经mri检查,t1wi及t2wi为等信号,与肝脏等信号。

[img]/upload/forum/2009/11/30221922752



[本贴已被 dongfei168 于 2009-11-30 22:28:36 修改过]
[本贴已被 jiajie 于 2009-12-1 8:08:34 修改过]
作者: huangxun4321 时间: 2009-12-1 07:44
考虑肝炎性假瘤可能性大
作者: arven 时间: 2009-12-1 08:42
支持炎性假瘤
作者: 泪洒红尘 时间: 2009-12-1 08:57
肝囊腺瘤可能。
作者: 卜一 时间: 2009-12-1 13:18
支持炎性假瘤!
作者: 深泽交通 时间: 2009-12-1 16:35
支持炎性假瘤
作者: zxl51642 时间: 2009-12-1 18:30
小结节性质难定!怎么能说三期均无强化哪,ct值?转移瘤、不典型血管瘤、炎性假瘤、小肝癌都要考虑。
作者: muzi888 时间: 2009-12-1 18:35
支持炎性假瘤
作者: 吴医师 时间: 2009-12-1 18:46
向大家学习
作者: zjzjr 时间: 2009-12-1 20:50
考虑良性病变,随诊复查吧.
作者: hzhhh1105 时间: 2009-12-2 00:44
良性占位可考虑,建议延时扫描看看
作者: dyqct 时间: 2009-12-2 01:13
支持炎性假瘤。应该积极进上步检查除外其它。
作者: 道哥 时间: 2009-12-2 01:16
考虑良性病变,随诊复查吧.
作者: 进修医生 时间: 2009-12-2 04:03
随访
作者: zsl6918 时间: 2009-12-2 04:05
标题: 回复:ct23370:肝脏直径2厘米低密度圆形病变
以下是引用zxl51642在2009-12-1 10:30:00的发言:[br]小结节性质难定!怎么能说三期均无强化哪,ct值?转移瘤、不典型血管瘤、炎性假瘤、小肝癌都要考虑。
作者: 两片云 时间: 2009-12-2 04:30
随诊复查吧
作者: panyishengct 时间: 2009-12-2 04:59
考虑良性病变,随诊复查吧.
作者: shuiyuan 时间: 2009-12-2 06:08
支持炎性假瘤。应该积极进一步检查除外其它。
作者: yuhongjun 时间: 2009-12-2 13:33
支持炎性假瘤!
| 欢迎光临 医影在线 (http://bbs.radida.com/bbs/) |
Powered by Discuz! X3.2 |