医影在线
标题: CT23457:骨肿瘤 [打印本页]
作者: wd8929053 时间: 2009-12-6 02:38
标题: CT23457:骨肿瘤
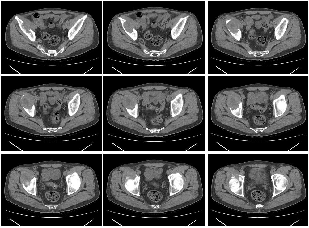
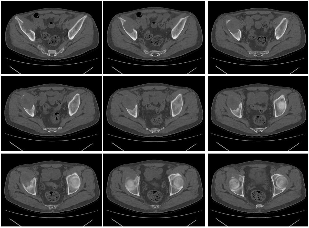
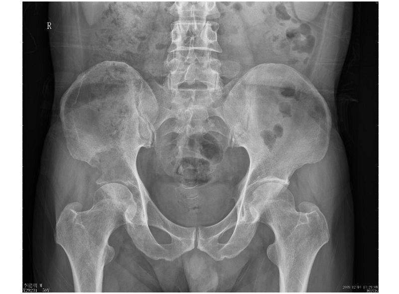
男性,57岁,右髋部疼痛一月


[本贴已被 wd8929053 于 2009-12-5 18:39:11 修改过]
[本贴已被 jiajie 于 2009-12-5 19:04:45 修改过]
作者: 林建春 时间: 2009-12-6 03:10
骨质破坏严重,考虑恶性肿瘤。
作者: 513ytb 时间: 2009-12-6 03:59
骨质破坏严重,考虑恶性肿瘤
作者: nimenhao 时间: 2009-12-6 04:06
骨转移瘤不除外
作者: zxl51642 时间: 2009-12-6 04:43
恶性,转移瘤可能性大。
鉴别:转移>骨恶纤组>骨淋巴瘤>骨纤维肉瘤>恶性骨巨>骨髓瘤>骨原发网状细胞肉瘤。
作者: 进修医生 时间: 2009-12-6 05:28
骨质破坏严重,考虑恶性肿瘤
作者: 鱼骨头 时间: 2009-12-6 05:35
溶骨性破坏,并软组织肿块,恶性肿瘤,转移瘤可能性大。
作者: zsl6918 时间: 2009-12-6 05:40
年龄较大,考虑转移.
作者: pujunzhi 时间: 2009-12-6 06:12
首先考虑骨转移瘤。
作者: 寻芳者 时间: 2009-12-6 06:46
恶性???------转移瘤可能性大。
作者: 李世军 时间: 2009-12-6 07:04
恶性肿瘤,骨肉瘤可能性大,因为有骨质破坏,及软组织密度肿块,其内可见癅骨形成,疼痛一个月了,说明有局部坏死的可能了
作者: 影像孺子牛 时间: 2009-12-6 07:06
恶性???------转移瘤可能性大。
作者: 张辉9999 时间: 2009-12-6 15:52
恶性???------转移瘤可能性大。
作者: yuhongjun 时间: 2009-12-6 16:33
溶骨性破坏,并软组织肿块,恶性肿瘤,转移瘤可能性大。
作者: hobby_xu 时间: 2009-12-6 16:37
恶性
作者: songyi 时间: 2009-12-6 17:01
考虑骨转移瘤
作者: 道哥 时间: 2009-12-6 17:03
首先考虑转移瘤。
作者: 水过无痕 时间: 2009-12-6 17:21
转移瘤可能性大。
作者: xinliheng001 时间: 2009-12-6 18:06
骨纤维瘤,肿块与正常组织界限清楚。良性可能。
作者: aka502 时间: 2009-12-6 18:28
转移瘤可能性大。
作者: 深泽交通 时间: 2009-12-6 18:35
支持转移瘤
作者: 平安是福 时间: 2009-12-6 19:27
转移瘤可能性大。
作者: hzhhh1105 时间: 2009-12-6 19:32
右髂骨中心性溶骨性膨胀破坏,但边界尚清,不排外良性可能
作者: zjzjr 时间: 2009-12-6 20:40
溶骨性破坏,并软组织肿块,恶性肿瘤,转移瘤可能性大
作者: sunbin 时间: 2009-12-6 21:29
右侧髂骨溶骨性骨质破坏,且见有软组织肿块,首选考虑转移瘤,其次考虑淋巴瘤或骨肉瘤。
作者: 高学强 时间: 2009-12-6 22:52
支持
作者: wd8929053 时间: 2009-12-7 20:09
这个病人肺部纵膈及两侧腋下多发肿大淋巴结,已转院进一步检查。
作者: 帅河马 时间: 2009-12-7 20:28
标题: 回复:ct23457:骨肿瘤
以下是引用wd8929053在2009-12-7 12:09:00的发言:[br]这个病人肺部纵膈及两侧腋下多发肿大淋巴结,已转院进一步检查。
支持转移瘤....
作者: xrw 时间: 2010-1-8 17:42
恶性病变,考虑转移瘤。
| 欢迎光临 医影在线 (http://bbs.radida.com/bbs/) |
Powered by Discuz! X3.2 |