医影在线

标题: CT23249:鳞状上皮乳头状癌. [打印本页]

作者: sdqzwyx    时间: 2009-12-7 04:23
标题: CT23249:鳞状上皮乳头状癌.
支气管镜:

病理:

作者: sdqzwyx    时间: 2009-12-7 04:24
标题: 结果公布!
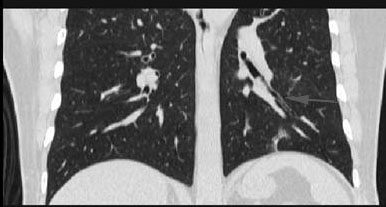
大体病理所见:左肺下叶外基底段实变,由远至近分多刀横切不张之肺实质,肺段内支气管扩张,扩张之支气管内显示大量脓性粘液溢出,基底干支气管远端见直径0.8cm的结节,向下延伸至外基底段支气管内,呈长条状结构,前内、后基底段支气管开口狭窄。
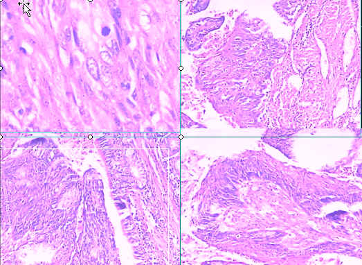
    镜下所见:支气管内查见乳头状鳞状细胞增生,细胞异型,见较多核分裂像,肿瘤大部在支气管内游离,未侵犯支气管壁。
    病理诊断:鳞状上皮乳头状癌。
   
   
   下图箭头所指为阻塞后充满粘液的扩张支气管1
   
   

    该病例提示我们熟悉胸部断面解剖、特别是支气管断面解剖对诊断肺内病变的重要性
    http://www.radida.com/radinet/read.php?tid=60338&page=1




[本贴已被 sdqzwyx 于 2009-12-6 20:59:01 修改过]

作者: 影像孺子牛    时间: 2009-12-7 06:03
感谢楼主反馈详细的资料。
作者: 吴医师    时间: 2009-12-7 06:52
感谢楼主反馈结果和点评




欢迎光临 医影在线 (http://bbs.radida.com/bbs/) Powered by Discuz! X3.2