医影在线

标题: CT23482:头颅外伤,大家看看 [打印本页]

作者: hhcckk    时间: 2009-12-7 17:16
标题: CT23482:头颅外伤,大家看看
(结果公布:http://www.radida.com/bbs/forum.php?mod=viewthread&tid=60856
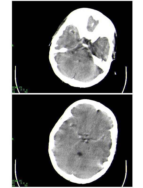
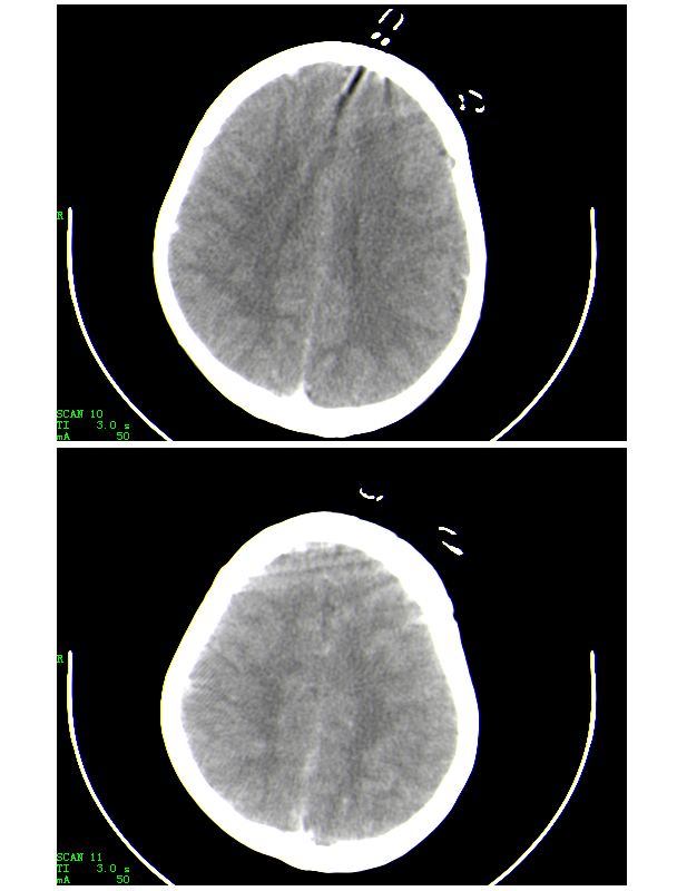
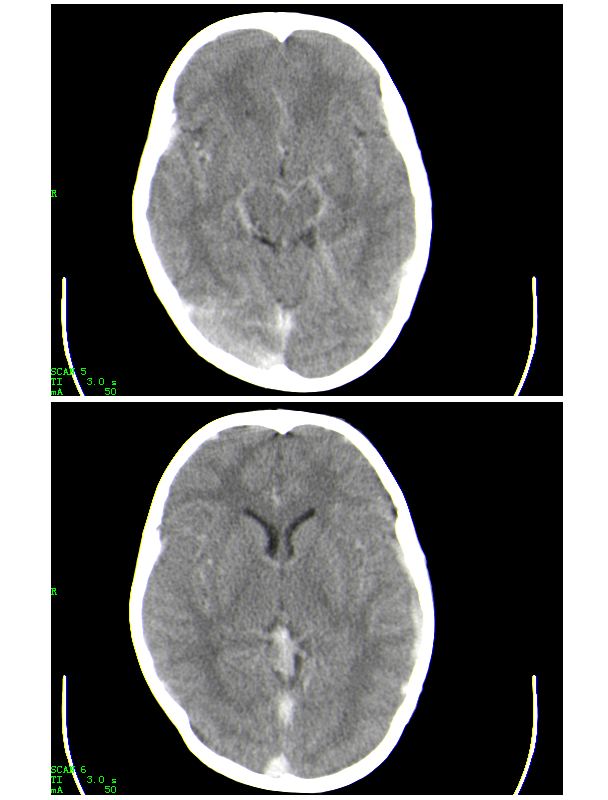
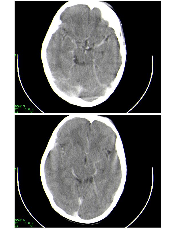
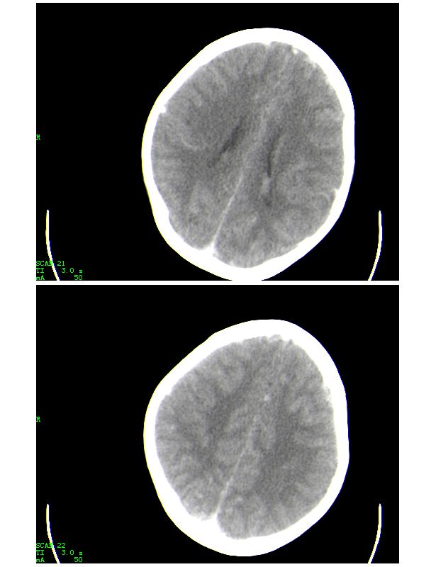
男,13岁,头部外伤后头痛、呕吐三小时就诊,查体,见小孩精神状态尚可,面部,嘴唇青紫明显,后作心脏彩超证实为“发四”,有复查片,大家先看看首诊片,考虑什么










[本贴已被 jiajie 于 2009-12-9 19:21:29 修改过]

作者: 医影书生    时间: 2009-12-7 17:53
初步考虑硬膜下、蛛网膜下积液
作者: smjin    时间: 2009-12-7 18:02
还是考虑蛛血吧~~~~
作者: 深泽交通    时间: 2009-12-7 18:21
有点像强化片
作者: yaoyuanzhiju    时间: 2009-12-7 19:07
考虑蛛网膜下腔出血
作者: 网易博    时间: 2009-12-7 19:33
1.有点像强化片背景,考虑为高血红蛋白症;2.脑沟、上矢状窦、小脑幕、大脑脚周围高密度影考虑蛛网膜下腔出血。
作者: 帅河马    时间: 2009-12-7 20:24
如果不是强化片的话,还是考虑蛛血吧
作者: 沉默是金    时间: 2009-12-7 20:51
考虑蛛网膜下腔出血
作者: ct诊断高手    时间: 2009-12-7 21:13
是强化的片子吗
作者: zch1200    时间: 2009-12-7 21:30
考虑蛛网膜下腔出血但是这个病人还有额顶叶点状高密度灶原因是否为海绵状血管瘤
作者: shuiyuan    时间: 2009-12-7 21:39
考虑蛛网膜下腔出血
作者: kh    时间: 2009-12-7 21:40
支持,左侧颞部不除外薄成硬膜下血肿。
作者: 卜一    时间: 2009-12-7 22:57
支持考虑蛛网膜下腔出血!
作者: tjxrmyy    时间: 2009-12-7 22:59
考虑蛛血
作者: sunbin    时间: 2009-12-7 23:01
支持蛛网膜下腔出血考虑。
作者: zxczxc    时间: 2009-12-8 00:29
硬膜下出血,蛛网膜下出血。
作者: zjzjr    时间: 2009-12-8 00:45
高血红蛋白症
作者: zxl51642    时间: 2009-12-8 00:56
高血红蛋白症
作者: zsl6918    时间: 2009-12-8 02:51
请楼主祥解,大家一起学习一下。
作者: cq    时间: 2009-12-8 05:01
考虑1.蛛网膜下腔出血,2.左顶部硬膜下血肿,3.弥漫性轴索损伤
作者: 宝天曼    时间: 2009-12-8 05:39
1.有点像强化片背景,考虑为高血红蛋白症;2.脑沟、上矢状窦、小脑幕、大脑脚周围高密度影考虑蛛网膜下腔出血
作者: 没精打采    时间: 2009-12-8 09:32
类似ct增强的高血红蛋白症颅脑ct表现一例 (转)
               殷薇薇,许化致,陈伟建 温州医学院附属第一医院影像中心   

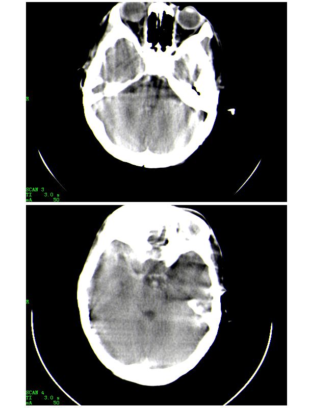
       患者,男,15岁。发现心脏杂音12年。因心慌气短、胸闷等症状加重而就诊。急诊实验室检查:红细胞平均体积0.95,红细胞压积0.820,红细胞容积分布宽度0.166,红细胞数8.55x10^12/l,血红蛋白(hb)267g/l。就诊前及就诊期间无外伤史,未服用或注射高密度元素制剂,未行影像造影检查和增强检查。急诊ct平扫示:颅内血管系统边缘清楚,但其内密度明显均匀增高(ct值约73hu),高于脑实质密度,所见颅内脑沟显示边界清楚,脑脊液及脑实质密度属正常平扫密度范围(图1-4)。影像诊断:高血红蛋白脑血管致密改变。
      说明:ct值的测定以纯水为0hu,随着水中成分的增加,液体对x线的吸收增加,进而ct值增高。人体血液中影响ct值的主要成分是有形成分红细胞和血浆中的蛋白质,尤其室含铁的hb,其占血液中蛋白质总量的大部分,亦是引起血液ct密度变化的主要因素。hb含量与ct值间具有相关性,noman等的研究表明hb含量每改变10g/l,相应ct值变化为1.86hu。而本例患者的hb高达267g/l,可以解释颅内血管ct值明显升高的原因。本病主要应与蛛网膜下腔出血相鉴别,鉴别要点:(1)本病的高密度血管网络旁仍见清晰、正常低密度脑脊液影;(2)临床没有急性颅内出血的症状何体征。
作者: yuhongjun    时间: 2009-12-8 14:21
支持考虑蛛网膜下腔出血!
作者: LIAOQIANG    时间: 2009-12-8 17:21
若不是增强的考虑为高血红蛋白症。
作者: 吴医师    时间: 2009-12-8 22:09
高血红蛋白症。
作者: zbp537    时间: 2009-12-8 22:23
支持高血红蛋白症,因为血红蛋白的含量影像ct的密度。
作者: sharp1900b    时间: 2009-12-9 02:30
标题: 回复:ct23482:头颅外伤,大家看看
考虑是高血红蛋白血症,因为从ct上看,密度增高部分都是和颅内血管,静脉窦的走行方向一致的,至于有没有sah,还要靠复查的片子来确定。
作者: hhcckk    时间: 2009-12-9 03:48
标题: 回复:ct23482:头颅外伤,大家看看
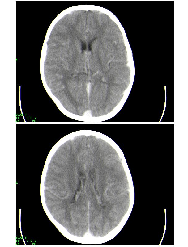
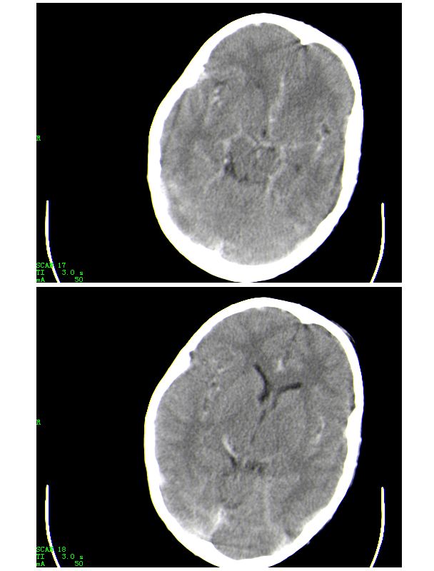
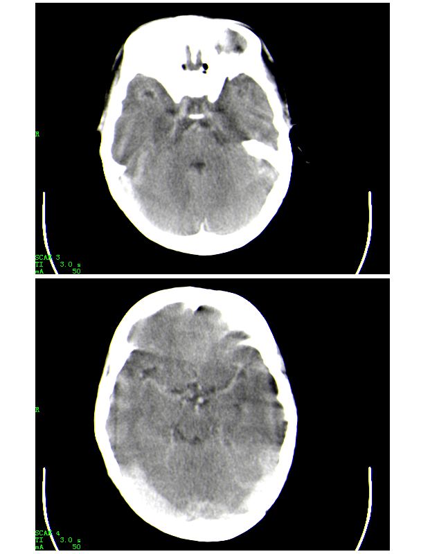
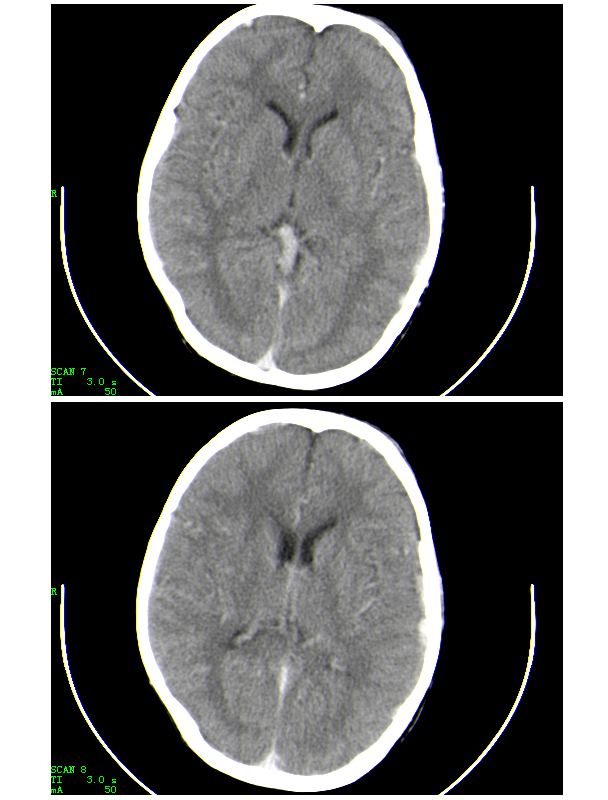
感谢大家的关注,本例我们最后诊断为高血红蛋白症所致的脑血管改变,患者血红蛋白258g/l
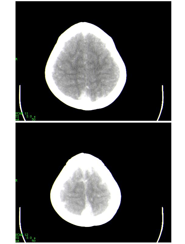
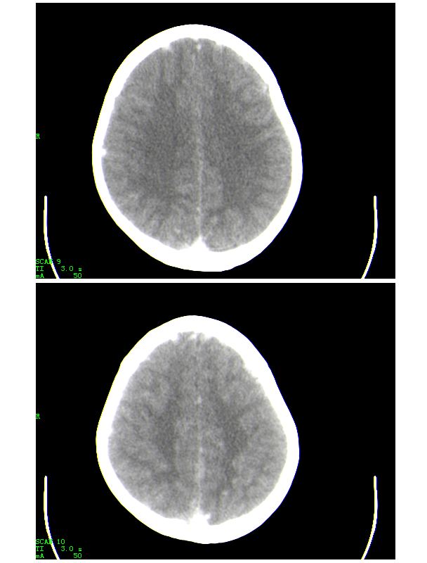
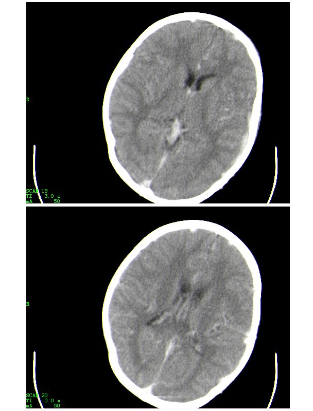
下面是第二天的复查和受伤后第五天的复查,左侧硬膜下血肿有所吸收,脑内条状高密度无改变




作者: hhcckk    时间: 2009-12-9 03:52
标题: 回复:ct23482:头颅外伤,大家看看
第五天的复查片
导致的原因楼上的战友已经讲的非常好了,再加深点印象
人体血液中影响ct值的主要成分是有形成分红细胞和血浆中的蛋白质,尤其室含铁的hb,其占血液中蛋白质总量的大部分,亦是引起血液ct密度变化的主要因素。hb含量与ct值间具有相关性,noman等的研究表明hb含量每改变10g/l,相应ct值变化为1.86hu。
本病主要应与蛛网膜下腔出血相鉴别,鉴别要点:
(1)高密度血管网络旁仍见清晰、正常低密度脑脊液影;
(2)临床没有急性颅内出血的症状何体征。




作者: 影像人88    时间: 2009-12-9 05:33
学习了
作者: 影像孺子牛    时间: 2009-12-9 07:41
谢谢楼主,学习的好病列!
作者: 拾荒者    时间: 2009-12-10 03:32
谢谢楼主的好病例!
作者: 吴医师    时间: 2010-5-29 06:41
谢谢楼主,好病例
作者: pujunzhi    时间: 2010-5-29 14:39
谢谢楼主,高血红蛋白症。学习的好病列!
作者: ZHONGXINMR    时间: 2010-5-29 23:53
谢谢,学习了




欢迎光临 医影在线 (http://bbs.radida.com/bbs/) Powered by Discuz! X3.2