医影在线

标题: CT23487:请大家看看什么病变? [打印本页]

作者: helanna    时间: 2009-12-7 23:52
标题: CT23487:请大家看看什么病变?
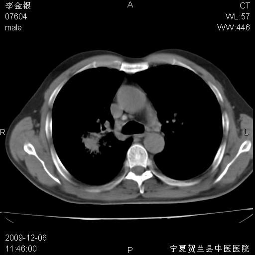
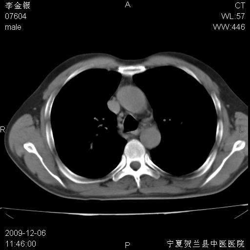
该病人 ,男,62岁,主因咳痰带血两天



















































[本贴已被 翁志蓬 于 2009-12-7 20:52:37 修改过]

作者: 水过无痕    时间: 2009-12-8 00:12
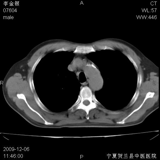
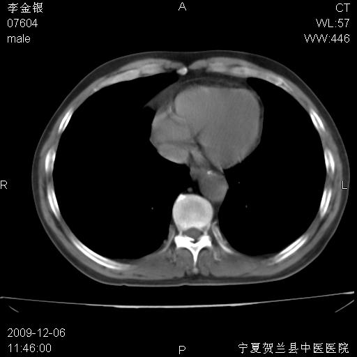
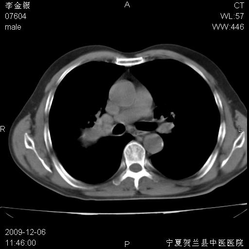
考虑右肺中央型占位性病变并阻塞性肺炎.(右肺上叶支气管变窄),建议支纤镜检查.
作者: zjzjr    时间: 2009-12-8 00:19
支持右侧中央型肺癌伴上叶阻塞性炎症.
作者: 731208    时间: 2009-12-8 00:24
考虑右肺中心型肺癌伴阻塞性肺炎及右肺门淋巴结转移,建议纤维支气管镜进一步检查。
作者: 影像新手    时间: 2009-12-8 00:24
同意楼上
作者: helanna    时间: 2009-12-8 00:27
我也同意你的意见
作者: 深泽交通    时间: 2009-12-8 00:42
支气管鼠尾状狭窄应该是肿瘤
作者: indier    时间: 2009-12-8 00:44
中央型肺癌
作者: 瘪肚子蛐蛐    时间: 2009-12-8 00:57
最后把病理结果弄来,叫大家学习下多好。
作者: zxl51642    时间: 2009-12-8 01:00
同意
作者: 王多贵    时间: 2009-12-8 01:02
支气管壁明显增厚 管腔狭窄,腔静脉后多个淋巴肿大,结合年龄病史考虑右肺上叶中央型肺癌并阻塞性肺炎
作者: 帅河马    时间: 2009-12-8 01:19
支持右侧中央型肺癌伴上叶阻塞性炎症.
支持....
作者: zsl6918    时间: 2009-12-8 02:49
中心性肺癌!很典型了。
作者: 同    时间: 2009-12-8 03:56
右侧中央型肺癌伴阻塞性肺炎。
作者: 进修医生    时间: 2009-12-8 04:07
右肺上叶后段支气管阻塞,右上肺门占位,相应肺段阻塞性肺炎,右肺门有淋巴结肿大。诊断右肺上叶中心型肺癌,阻塞性肺肺炎、右肺门淋巴结转移。
作者: 心路寻觅    时间: 2009-12-8 04:24
考虑右侧中央型肺癌并阻塞性炎症及不张,建议ct增强!!
作者: panyishengct    时间: 2009-12-8 04:28
考虑右肺中心型肺癌伴阻塞性肺炎及右肺门淋巴结转移,建议纤维支气管镜进一步检查。
作者: xihan    时间: 2009-12-8 04:38
中心肺癌合并阻塞肺炎
作者: ncy888888    时间: 2009-12-8 04:39
符合中央型肺癌的ct表现并肺出血。但有一点腔静脉后有一钙化的淋巴结啊
作者: 513ytb    时间: 2009-12-8 04:45
考虑右肺中央型占位性病变并阻塞性肺炎.
作者: laiyan-liuwei    时间: 2009-12-8 05:21
考虑右肺中心型肺癌伴阻塞性肺炎及右肺门淋巴结转移,建议纤维支气管镜进一步检查。
作者: 宝天曼    时间: 2009-12-8 05:35
支持右侧中央型肺癌伴上叶阻塞性炎症
作者: 卜一    时间: 2009-12-8 06:09
支持:右侧中央型肺癌伴上叶阻塞性炎症!建议纤支镜!
作者: kzc_zxm    时间: 2009-12-8 06:50
支持大家
作者: 影像孺子牛    时间: 2009-12-8 06:51
支持:右肺中央型肺癌并阻塞性肺炎。建议支气管镜检查。
作者: 飘浮的影子    时间: 2009-12-8 06:56
右肺上叶中央型肺癌。
作者: 黑白光影    时间: 2009-12-8 07:09
支持大家
作者: 没精打采    时间: 2009-12-8 09:29
右上叶支气管狭窄,管壁增厚,远端斑片状软组织影,病灶邻近叶间裂,叶间裂无移位。

诊断右肺中央型肺癌。

那个片影应该大部分都是病灶,病灶沿肺段支气管分支生长,后段完全显示不清、闭塞。若为不张应该伴有叶裂的移位,若为炎症应有空气支气管征。
作者: arven    时间: 2009-12-8 09:38
符合大家所说诊断
作者: yuhongjun    时间: 2009-12-8 14:19
考虑右肺中心型肺癌伴阻塞性肺炎及右肺门淋巴结转移
作者: 网易博    时间: 2009-12-8 16:33
右肺中心型肺癌伴阻塞性肺炎及右肺门与纵膈淋巴结转移很典型,可纤维支气管镜进一步检查
作者: 滕友良    时间: 2009-12-8 16:49
右侧中央型肺癌伴纵隔内淋巴结转移考虑。
作者: LIAOQIANG    时间: 2009-12-8 17:09
考虑右侧中央型肺癌伴右肺上叶后段阻塞性炎症、肺不张、右肺门和纵隔淋巴结肿大。
作者: 吴医师    时间: 2009-12-8 21:04
右肺上叶中心型肺癌,阻塞性肺炎、右肺门和纵隔淋巴结转移。
作者: yuhongjun    时间: 2009-12-8 21:58
支持右侧中央型肺癌伴上叶阻塞性炎症.
作者: HELANNA    时间: 2009-12-10 00:23
谢谢大家
作者: dr.yang    时间: 2013-3-31 20:27
考虑右肺中心型肺癌伴阻塞性肺炎及右肺门淋巴结转移,建议纤维支气管镜进一步检查。




欢迎光临 医影在线 (http://bbs.radida.com/bbs/) Powered by Discuz! X3.2