医影在线

标题: PED3023:鼻咽增殖体肥大。 [打印本页]

作者: 516429ASDF    时间: 2009-12-9 02:08
标题: PED3023:鼻咽增殖体肥大。
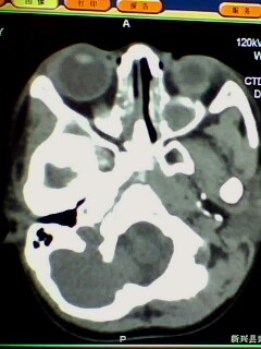
男,3岁小儿,经常睡觉时张口呼吸、打鼾。

1、鼻咽增殖体肥大继发左侧乳窦炎?
2、双侧上颌窦炎?


1、左侧乳窦气房硬化型改变,是发育不完全还是鼻咽增殖体肥大阻塞咽鼓管开口引起中耳炎?

2、双上颌窦应该有炎症了吧,听好多人说,小孩副鼻窦还没发育完全也可有这种表现,究竟两者怎样鉴别?请各位战友指点。多谢















[本贴已被 jiajie 于 2009-12-8 20:53:14 修改过]

作者: 516429ASDF    时间: 2009-12-9 02:10
特别关心这一例,是上颌窦炎还是发育不完全?

两者怎样鉴别?请各位老师指点,多谢!
作者: zxl51642    时间: 2009-12-9 02:32
腺样体肥大,双侧上颌窦炎症,原因支持楼主。乳突体位不正,个人发育有差异,观察吧。
作者: 老单    时间: 2009-12-9 02:43
腺样体肥大,右侧扁桃体炎,双侧上颌窦炎症(鼻窦炎)
作者: zsl6918    时间: 2009-12-9 02:47
腺样体肥大,副鼻窦炎症
作者: 同    时间: 2009-12-9 04:10
腺样体肥大,鼻窦炎。
作者: dyqct    时间: 2009-12-9 04:13
腺样体肥大,副鼻窦炎症。支持!乳突尚未发育完全,加上位置不标准不好说。
作者: yuhongjun    时间: 2009-12-9 14:56
腺样体肥大,副鼻窦炎症。支持!乳突尚未发育完全,加上位置不标准不好说。  

支持。
作者: 拾荒者    时间: 2009-12-10 04:40
支持鼻咽增殖体肥大、双侧上颌窦炎。
作者: 随光逐影    时间: 2009-12-10 15:59
1)鼻咽腺样体肥大。2)双侧上颌窦、双侧筛窦及双侧蝶窦炎症。
作者: LIAOQIANG    时间: 2009-12-10 18:36
鼻咽增殖体肥大、双侧上颌窦炎。
作者: sunbin    时间: 2009-12-10 22:41
鼻咽腺样体肥大,副鼻窦炎。
作者: 黑白光影    时间: 2009-12-12 06:40
支持大家
作者: 37度    时间: 2009-12-16 04:53
不好意思没书看,请教腺样体=增殖体?淋巴管瘤=淋巴管囊肿?眼型格氏病=格氏眼病?
作者: muzi888    时间: 2009-12-16 19:24
腺样体肥大,鼻窦炎。
作者: zjzjr    时间: 2009-12-17 00:26
腺样体肥大,副鼻窦炎症。支持!乳突尚未发育完全,加上位置不标准不好说。
作者: 天海    时间: 2009-12-19 02:17
学习中。
作者: ct诊断高手    时间: 2014-11-8 17:49
1)鼻咽腺样体肥大。2)双侧上颌窦、双侧筛窦及双侧蝶窦炎症。




欢迎光临 医影在线 (http://bbs.radida.com/bbs/) Powered by Discuz! X3.2