医影在线

标题: CT23601:男, 17岁,剧烈头痛一小时。 [打印本页]

作者: wpf    时间: 2009-12-14 21:07
标题: CT23601:男, 17岁,剧烈头痛一小时。
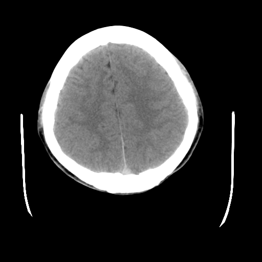
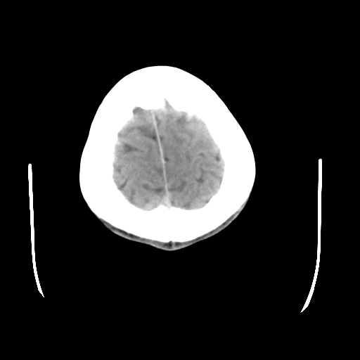
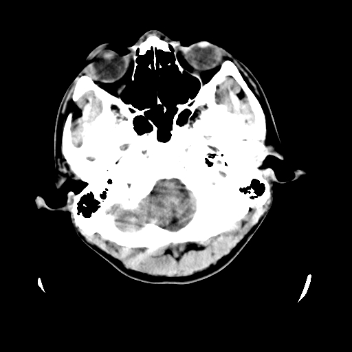
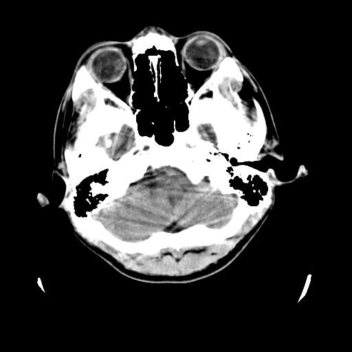
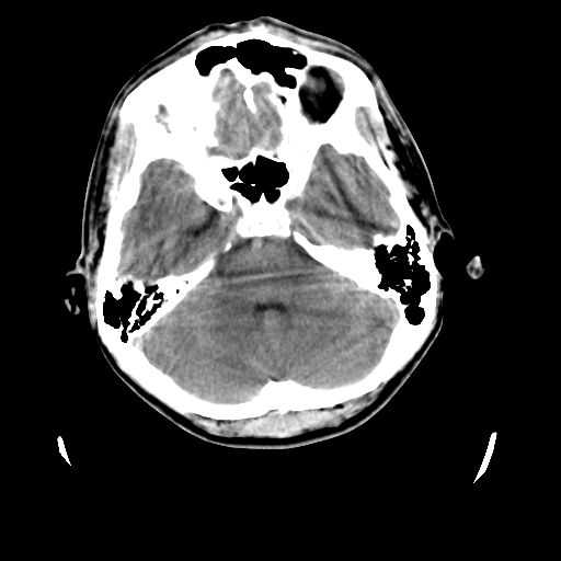
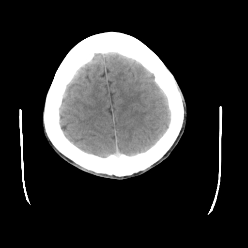
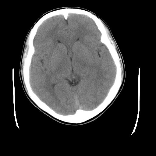
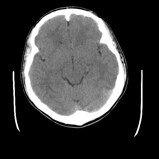
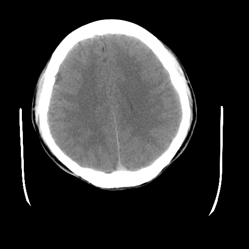
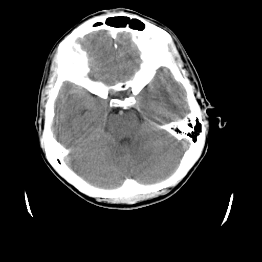
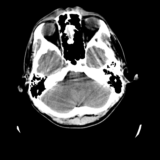
男, 17岁,剧烈头痛一小时。
















[本贴已被 jiajie 于 2009-12-14 21:18:18 修改过]

作者: 随光逐影    时间: 2009-12-14 21:14
颅脑ct轴位平扫颅内未见明确异常;建议:必要时复查。
作者: shuiyuan    时间: 2009-12-14 21:14
未见异常
作者: lirenxiong    时间: 2009-12-14 22:11
未见异常
作者: 初学者LANMEI    时间: 2009-12-14 22:18
未见明显异常
作者: zxl51642    时间: 2009-12-14 22:24
颅脑ct平扫颅内未见明确异常;剧烈头痛,建议必要时dsa造影。
作者: 学者~『风    时间: 2009-12-14 23:25
颅脑ct轴位平扫颅内未见异常
作者: ct诊断高手    时间: 2009-12-14 23:52
未见明确异常
作者: tjxrmyy    时间: 2009-12-15 00:09
颅脑ct轴位平扫颅内未见异常。建议短期复查。
作者: LIAOQIANG    时间: 2009-12-15 00:32
颅脑ct平扫未见异常
作者: zjzjr    时间: 2009-12-15 01:35
未见明确异常
作者: 听海观潮20    时间: 2009-12-15 01:48
颅脑ct轴位平扫颅内未见异常。建议短期复查
作者: xihan    时间: 2009-12-15 02:26
未见明确异常
作者: 拾荒者    时间: 2009-12-15 03:15
颅脑ct平扫未见异常。
作者: zsl6918    时间: 2009-12-15 04:08
颅脑ct平扫未见异常
作者: 黑白光影    时间: 2009-12-15 06:07
未见明确异常
作者: yuhongjun    时间: 2009-12-15 14:04
未见明确异常
作者: 吴医师    时间: 2009-12-15 20:57
颅脑ct平扫未见异常
作者: huqi8888    时间: 2009-12-15 23:44
未见明显异常。
作者: 张志荣    时间: 2011-3-25 15:13
未见明显异常




欢迎光临 医影在线 (http://bbs.radida.com/bbs/) Powered by Discuz! X3.2