医影在线

标题: CT23624:骶尾骨 外伤 请会诊 [打印本页]

作者: jia119    时间: 2009-12-15 20:14
标题: CT23624:骶尾骨 外伤 请会诊
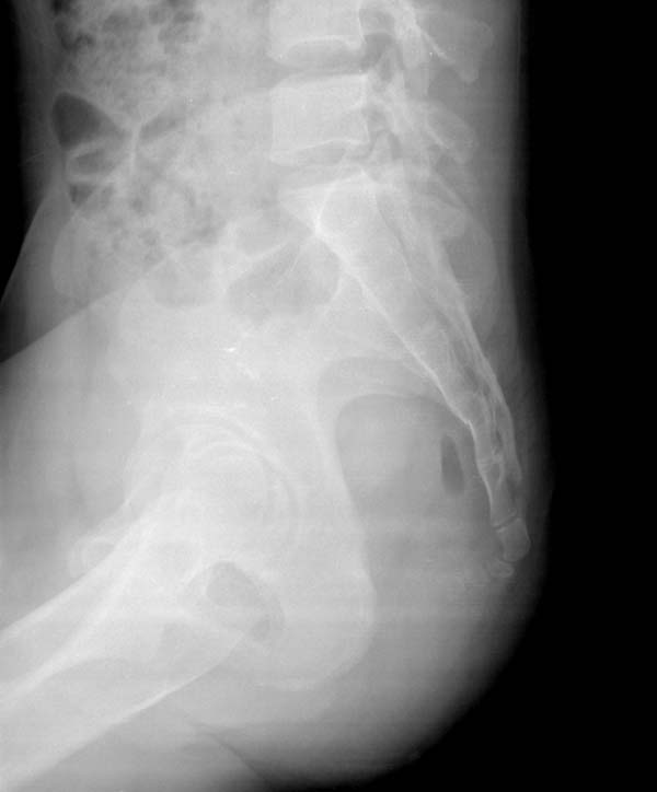
女 23  外伤来诊
































[本贴已被 jiajie 于 2009-12-15 18:55:15 修改过]

作者: 杀毒软件    时间: 2009-12-15 20:22
看不太清,好像有骨折
作者: kh    时间: 2009-12-15 21:42
不像
作者: tjxrmyy    时间: 2009-12-15 21:48
看不太清,好像有骨折
作者: ydx_74    时间: 2009-12-15 23:19
不像
作者: zjzjr    时间: 2009-12-15 23:57
未见骨折.
作者: jia119    时间: 2009-12-15 23:59
大家在结合侧位片看看
作者: 雨歌    时间: 2009-12-16 01:00
片不清楚,避免不必要的纠纷!报告别出太肯定!
作者: zxl51642    时间: 2009-12-16 01:20
骶1椎体隐形脊柱裂,尾骨脱位成角畸形,骶尾部未见明显骨折征象。
作者: xihan    时间: 2009-12-16 02:23
第四骶骨前面皮质断裂【平片】骨折
作者: ahtlx    时间: 2009-12-16 03:04
骶4椎体骨折
作者: 无止境    时间: 2009-12-16 04:11
可能是骨折了
作者: zsl6918    时间: 2009-12-16 04:12
未见明显外伤性改变
作者: 黑白光影    时间: 2009-12-16 06:20
考虑骶4椎体骨折
作者: yuhongjun    时间: 2009-12-16 14:39
标题: 回复:ct23624:骶尾骨 外伤 请会诊
以下是引用zxl51642在2009-12-15 17:20:00的发言:[br]骶1椎体隐形脊柱裂,尾骨脱位成角畸形,骶尾部未见明显骨折征象。

作者: 731208    时间: 2009-12-16 14:55
未见明显异常。
作者: XKNCYYHYQ    时间: 2009-12-16 15:40
有正位片吗。尾骨变异大,可以是直角,应结合正位看
作者: hhcckk    时间: 2009-12-16 16:27
标题: 回复:ct23624:骶尾骨 外伤 请会诊
可能是个骶前孔的部分容积效应吧,看上去不太像骨折

作者: 随光逐影    时间: 2009-12-16 17:11
考虑骶4椎体右侧骨折。




欢迎光临 医影在线 (http://bbs.radida.com/bbs/) Powered by Discuz! X3.2