医影在线

标题: MRI2661:请各位老师会诊,男性,47岁,腹胀四月余 [打印本页]

作者: unclekevin    时间: 2009-12-19 09:03
标题: MRI2661:请各位老师会诊,男性,47岁,腹胀四月余
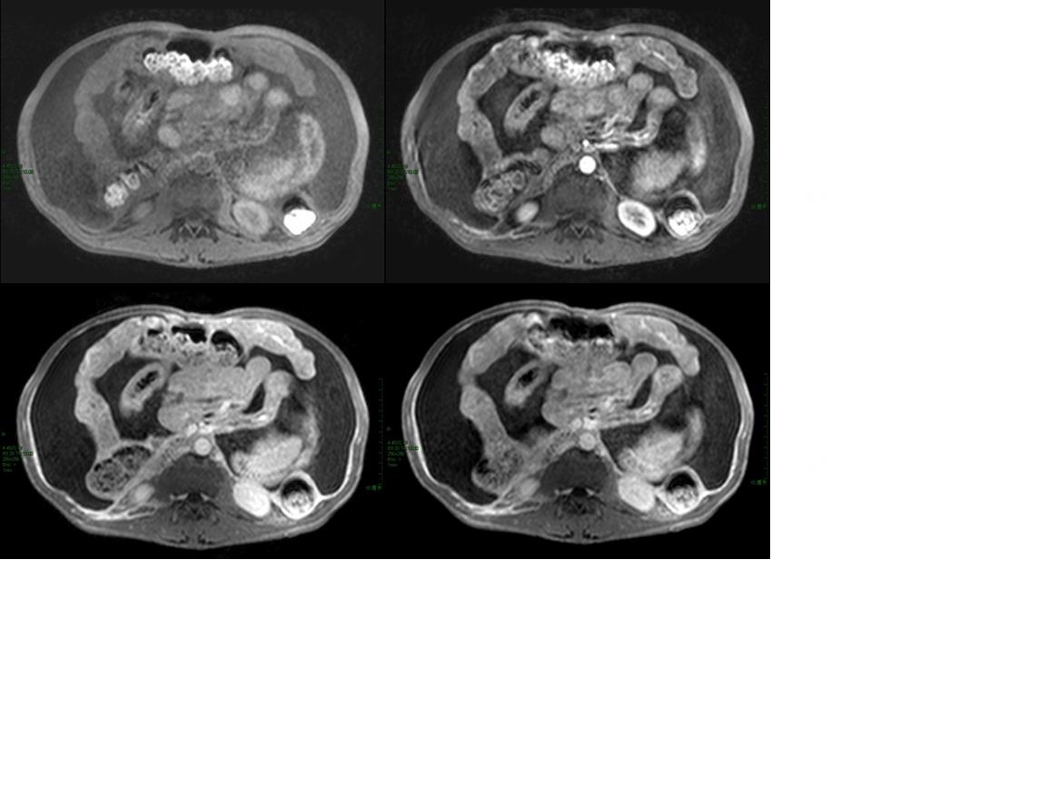
男性,47岁,乙肝病史十余年,无发热、腹痛,无恶性、呕吐,无下肢浮肿,否认结核病史,尘肺史 实验室检查:肝肾功能正常,afp、cea(—),腹水生化:黄色浊,李凡他实验(++++),间皮细胞85%,中性粒细胞5%,淋巴细胞10%;











[本贴已被 翁志蓬 于 2009-12-19 23:11:43 修改过]

作者: zxczxc    时间: 2009-12-20 06:04
腹水,肝硬化。
作者: zxczxc    时间: 2009-12-20 06:05
腹水。
作者: unclekevin    时间: 2009-12-20 07:47
标题: 回复:mri2661:请各位老师会诊,男性,47岁,腹胀四月余
再仔细看看,还有更多的问题没发现哦
作者: dxhdxh    时间: 2009-12-21 02:50
右肾囊肿
作者: 裴德医生    时间: 2009-12-21 03:02
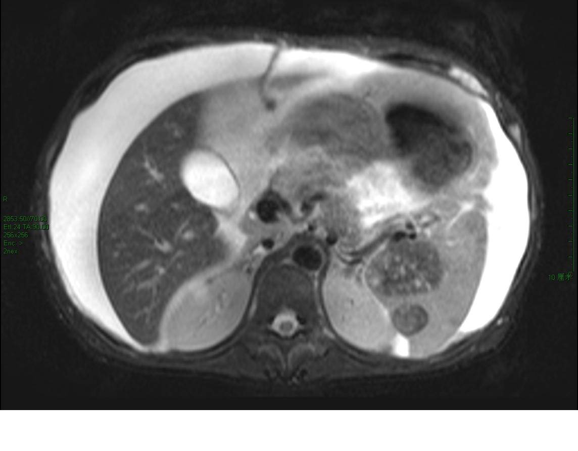
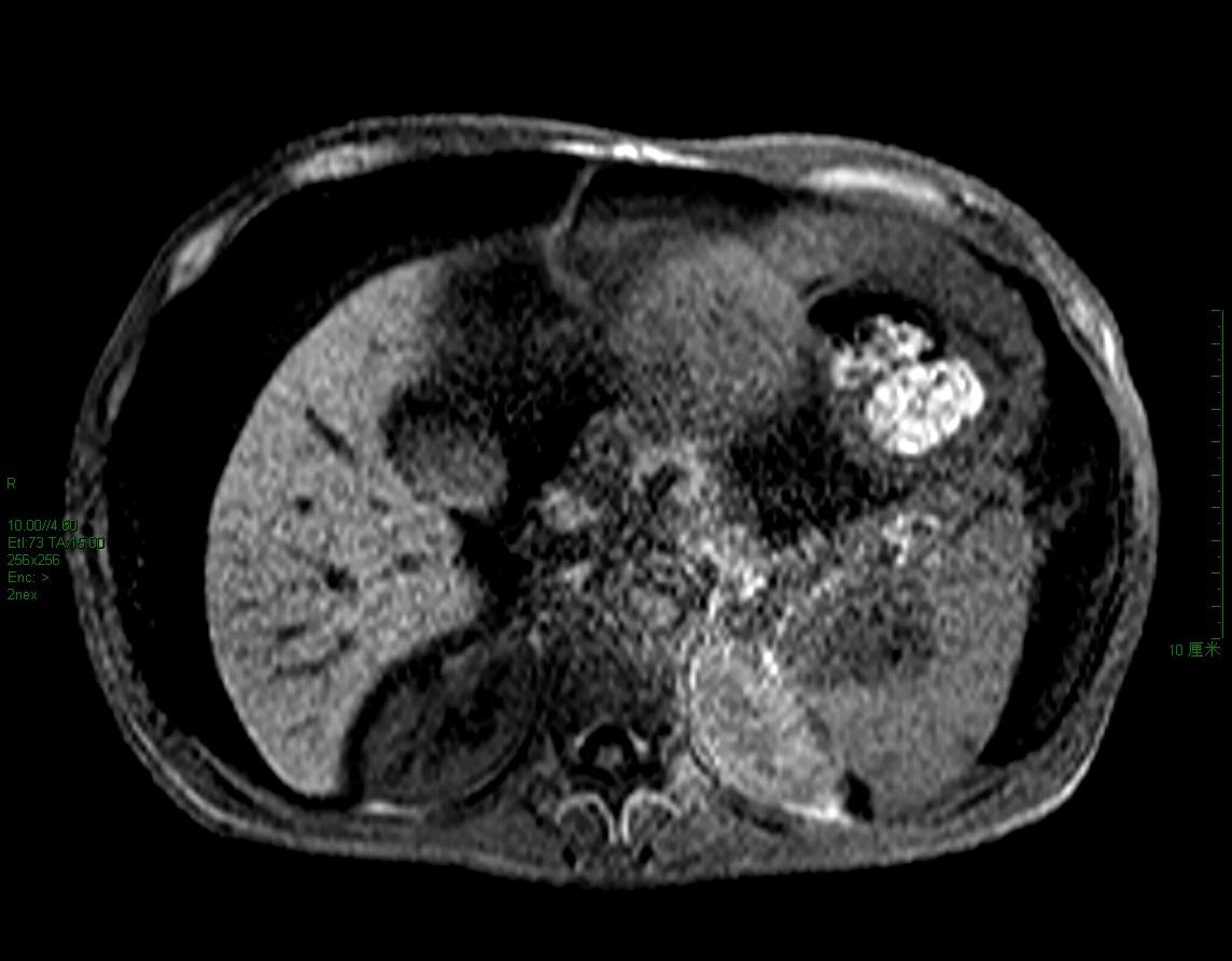
脾脏占位
作者: pujunzhi    时间: 2009-12-21 06:01
大量腹水、脾门占位(长t1短t2为主混杂信号)------考虑为恶性肿瘤伴腹膜转移、腹水合并感染。
作者: unclekevin    时间: 2009-12-21 08:14
腹水很多,抽腹水检查发现间皮细胞增多
但脾脏占位不好解释
作者: 黑白光影    时间: 2009-12-31 21:07
考虑为恶性肿瘤伴腹膜转移、腹水合并感染。




欢迎光临 医影在线 (http://bbs.radida.com/bbs/) Powered by Discuz! X3.2