医影在线

标题: CT23697:肝癌并肝动静脉漏? [打印本页]

作者: haitian598    时间: 2009-12-20 04:26
标题: CT23697:肝癌并肝动静脉漏?
【版主注:请提供患者性别、年龄、临床症状体征等资料】





























[本贴已被 翁志蓬 于 2009-12-19 21:39:01 修改过]

作者: yaoyuan    时间: 2009-12-20 04:47
经典
作者: smjin    时间: 2009-12-20 05:10
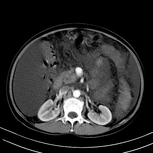
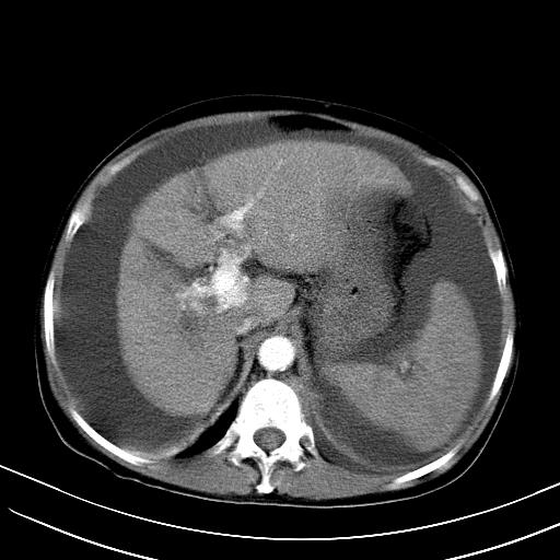
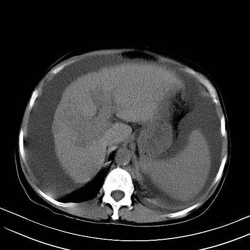
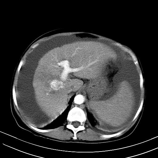
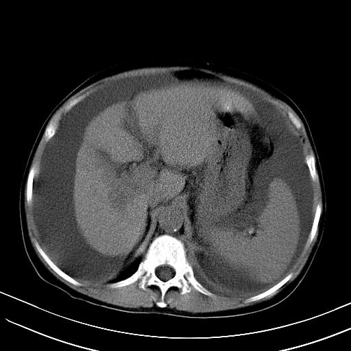
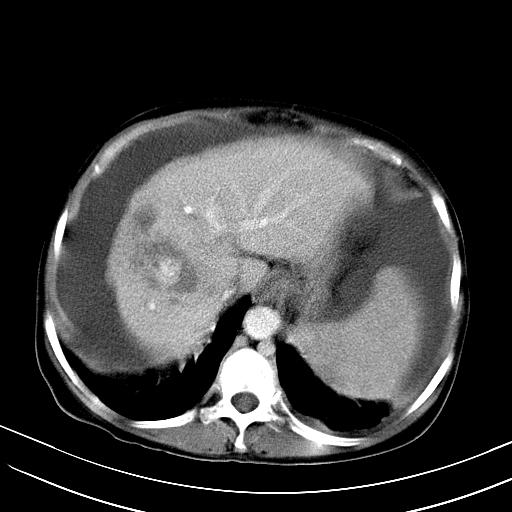
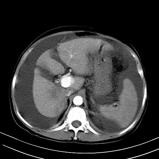
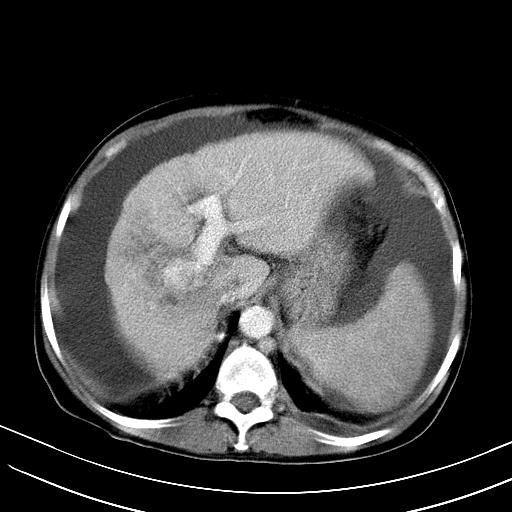
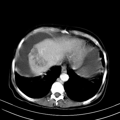
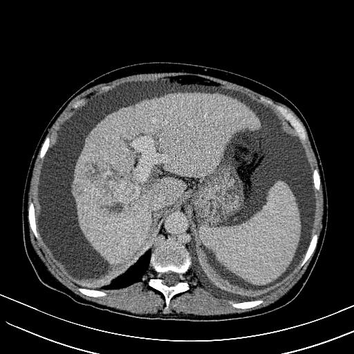
肝动静脉漏,动脉期肝动脉及门静脉内均可见造影剂……
学习了~
作者: xihan    时间: 2009-12-20 05:15
肝动静脉漏,动脉期肝动脉及门静脉内均可见造影剂……
学习了~
作者: zxl51642    时间: 2009-12-20 05:31
支持
作者: DXM    时间: 2009-12-20 05:37
学习了
作者: yangjyan    时间: 2009-12-20 05:57
典型,谢谢
作者: 二陆一十二    时间: 2009-12-20 06:06
学习了
作者: yuhongjun    时间: 2009-12-20 13:34
典型, 学习了。。
作者: 随光逐影    时间: 2009-12-20 16:21
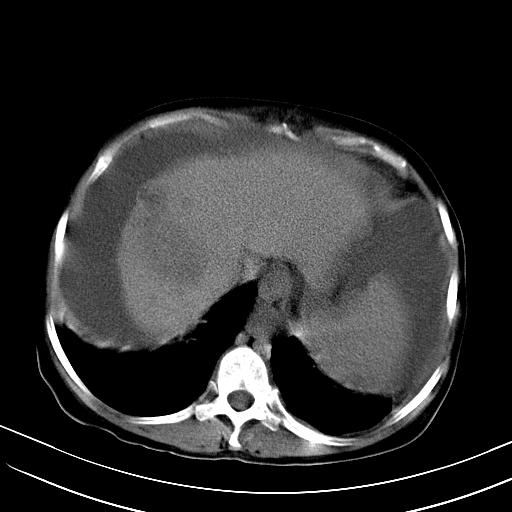
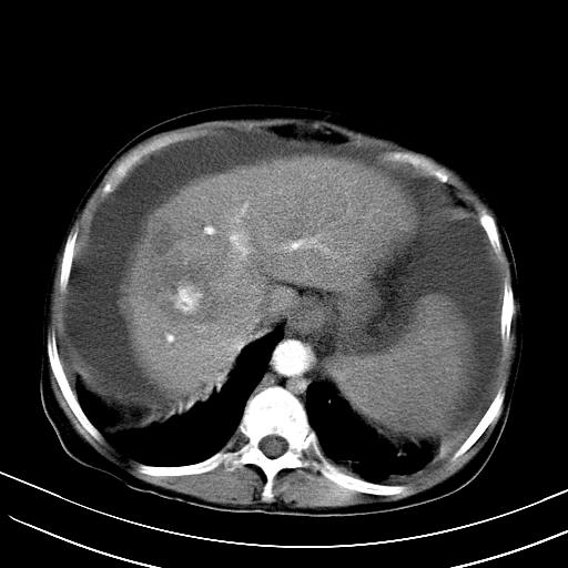
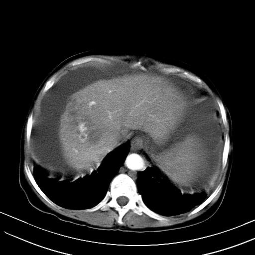
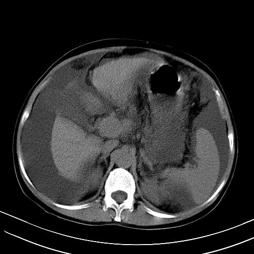
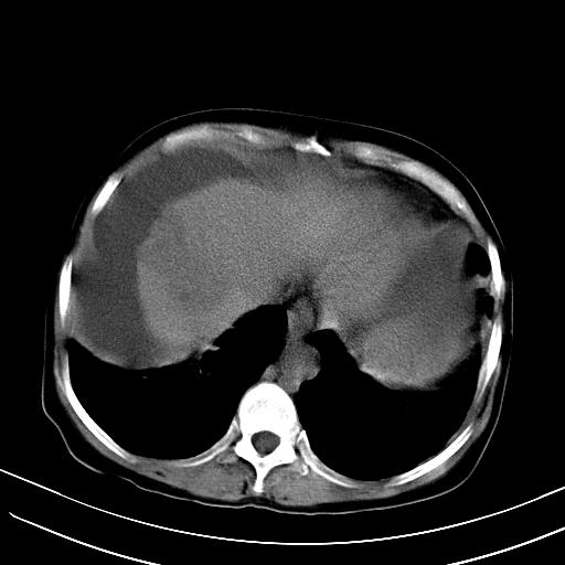
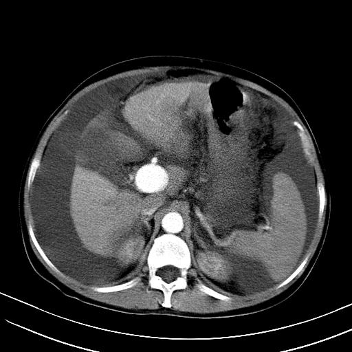
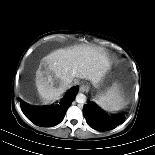
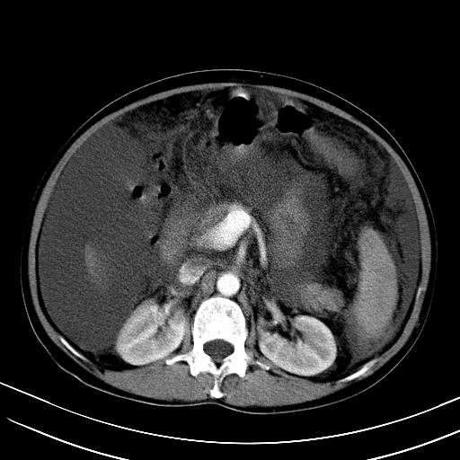
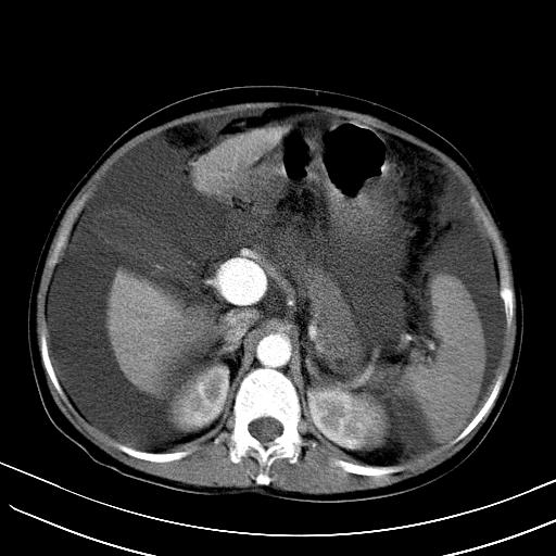
1)肝右叶肝癌并肝动静脉漏。2)肝硬化,腹水。3)胆囊炎。
作者: 同    时间: 2009-12-20 17:06
肝右叶肝癌并动静脉漏,肝硬化,腹水。
作者: zjzjr    时间: 2009-12-20 17:22
1)肝右叶肝癌并肝动静脉漏 门v右支瘤栓伴海绵样变。2)肝硬化,脾大 腹水。3)胆囊炎。门v高压.
作者: 吴医师    时间: 2009-12-20 17:48
1)肝右叶肝癌并肝动静脉漏。2)肝硬化,腹水。3)胆囊炎。
作者: pujunzhi    时间: 2009-12-20 17:54
标题: 回复:ct23697:肝癌并肝动静脉漏?
以下是引用随光逐影在2009-12-20 8:21:00的发言:[br]1)肝右叶肝癌并肝动静脉漏。2)肝硬化,腹水。3)胆囊炎。

支持!
作者: zhengfaming    时间: 2009-12-20 18:13
1)肝右叶肝癌并肝动静脉漏。2)肝硬化,腹水。3)胆囊炎。 4,脾大,脾囊肿
作者: 网易博    时间: 2009-12-20 18:15
右叶肝癌并肝动静脉漏(动脉期肝动脉及门静脉内均可见造影剂),肝硬化,腹水。(胆囊壁水肿)
作者: LIAOQIANG    时间: 2009-12-20 22:36
1)肝右叶肝癌,考虑并发肝动静脉漏。扫描时间好像慢了。2)肝硬化,门脉高压、脾大、腹水。
作者: 黑白光影    时间: 2009-12-21 05:46
1)肝右叶肝癌并肝动静脉漏。2)肝硬化,腹水。3)胆囊炎。




欢迎光临 医影在线 (http://bbs.radida.com/bbs/) Powered by Discuz! X3.2