医影在线

标题: CT23701:上腹部CT平扫 [打印本页]

作者: 同    时间: 2009-12-20 17:10
标题: CT23701:上腹部CT平扫
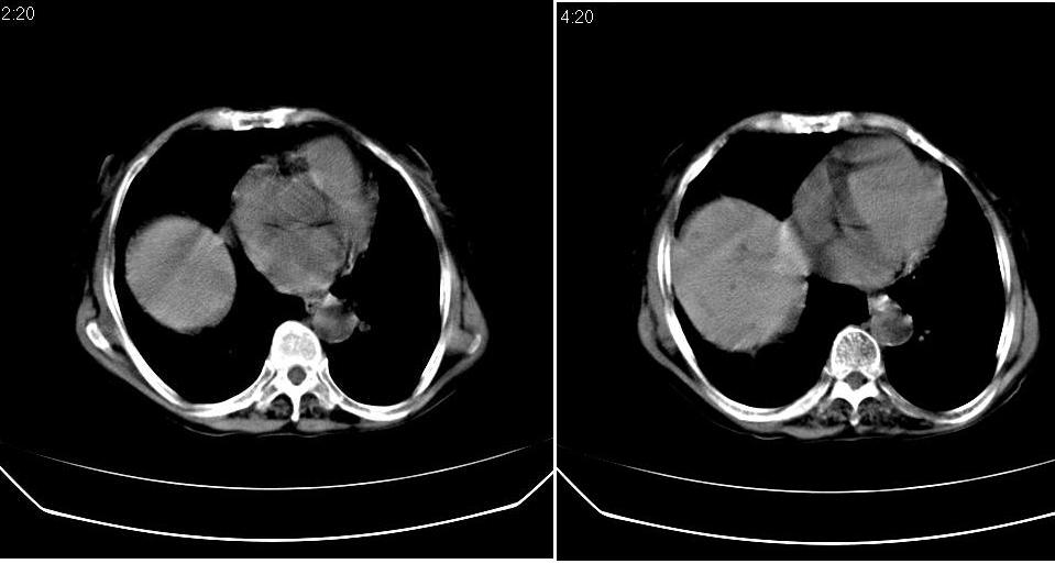
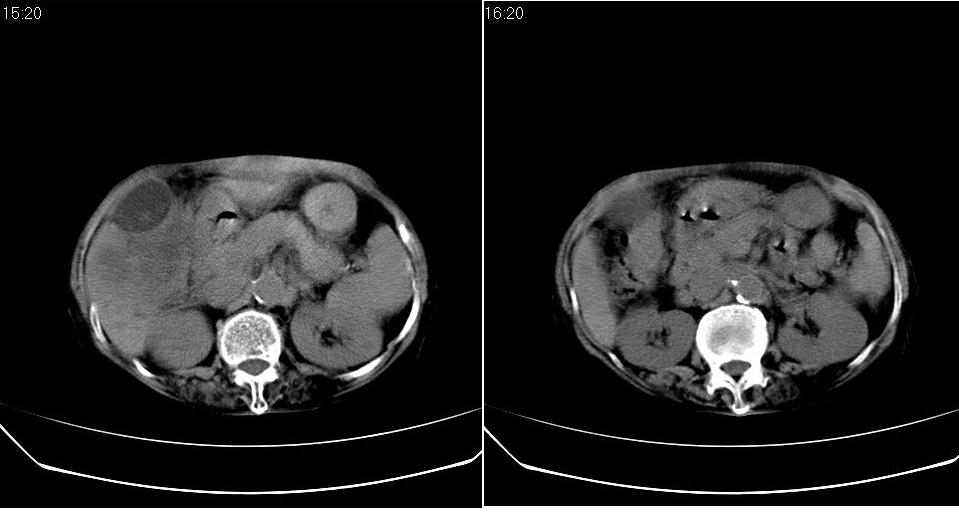
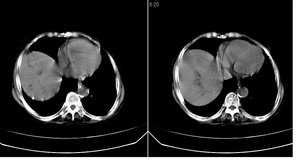
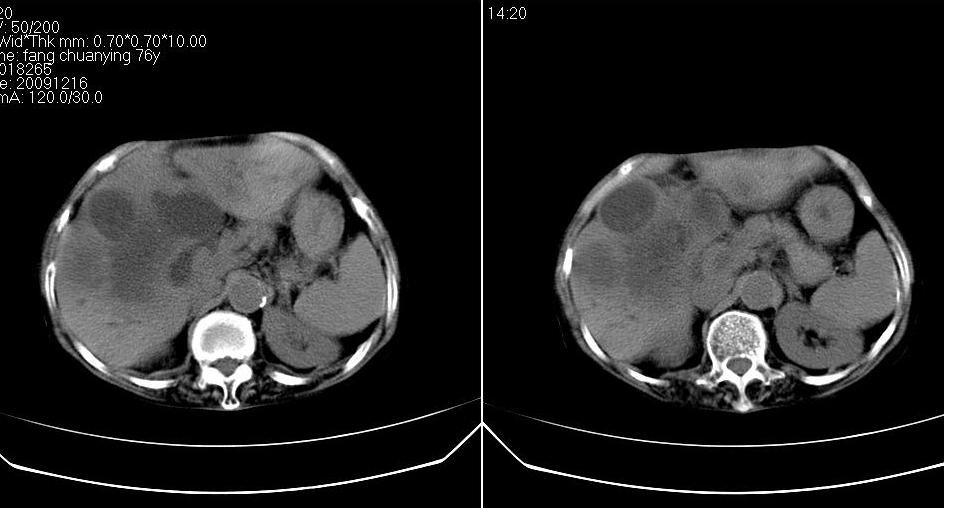
女 76岁,腹痛十余天。












[本贴已被 翁志蓬 于 2009-12-20 20:30:38 修改过]

作者: XIHAN    时间: 2009-12-20 17:53
肝癌、肝囊肿。
作者: 学者~『风    时间: 2009-12-20 18:01
肝脓肿,腹主动脉硬化,建议增强
作者: 吴医师    时间: 2009-12-20 18:09
先增强。
作者: 网易博    时间: 2009-12-20 19:00
胆管细胞癌合并感染?建议增强协诊。
作者: 37度    时间: 2009-12-20 19:05
肝ca并囊肿?增强看看。
作者: yanliang    时间: 2009-12-20 20:25
肝ca?先增强。
作者: sunbin    时间: 2009-12-20 21:03
考虑肝癌,肝囊肿,建议增强。
作者: LIAOQIANG    时间: 2009-12-20 22:11
肝癌?胆囊癌伴肝受侵?
作者: 健力宝    时间: 2009-12-20 22:19
标题: 回复:上腹部ct平扫
以下是引用sunbin在2009-12-20 13:03:00的发言:[br]考虑肝癌,肝囊肿,建议增强。

作者: zjzjr    时间: 2009-12-20 22:51
肝癌伴肝内胆管扩张,建议增强.
作者: huangyinshan    时间: 2009-12-20 23:13
考虑肝癌,肝囊肿,建议增强。
作者: ydx_74    时间: 2009-12-20 23:17
考虑肝癌,肝囊肿
作者: ct诊断高手    时间: 2009-12-20 23:31
肝癌伴肝内胆管扩张,建议增强.
作者: 黑白光影    时间: 2009-12-21 05:54
标题: 回复:ct23701:上腹部ct平扫
以下是引用网易博在2009-12-20 11:00:00的发言:[br]胆管细胞癌合并感染?建议增强协诊。

作者: laiyan-liuwei    时间: 2009-12-21 06:10
肝内胆管扩张,综合考虑胆管细胞肝ca!
作者: zsl6918    时间: 2009-12-21 15:41
应该强化观察
作者: 随光逐影    时间: 2009-12-21 16:07
考虑肝癌(胆管细胞型?)并肝内胆管扩张。
作者: zxl51642    时间: 2009-12-22 03:11
以下是引用网易博在2009-12-20 11:00:00的发言:
胆管细胞癌合并感染?建议增强协诊。




欢迎光临 医影在线 (http://bbs.radida.com/bbs/) Powered by Discuz! X3.2