医影在线
标题: X6742:女,64岁,双侧胸痛,咳嗽,驼背 [打印本页]
作者: 科室第一人 时间: 2009-12-26 22:44
标题: X6742:女,64岁,双侧胸痛,咳嗽,驼背

[本贴已被 翁志蓬 于 2009-12-27 1:02:20 修改过]
作者: masterle 时间: 2009-12-26 22:48
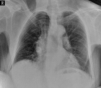
肺纹理增多,主动脉主动脉硬化,下肺气管感染?
作者: xihan 时间: 2009-12-26 23:36
支气管炎,轻度肺气肿。
作者: 黑白光影 时间: 2009-12-27 00:09
图片处理得不好,布纹影太重,干扰肺部观察。
主动脉型心影,升降主动脉增宽迂曲,右心缘里那类圆形高密度影要关注一下。
作者: zxl51642 时间: 2009-12-27 01:00
支气管炎,右侧轻度肺气肿,双肺门钙化灶,主动脉型心影,脊柱侧弯畸形。
作者: 观影朔征 时间: 2009-12-27 01:01
主动脉迂曲
作者: dyqct 时间: 2009-12-27 02:33
双肺门多发钙化?主动脉迂曲。
作者: 眼睛 时间: 2009-12-27 04:45
体位不正,肺膈未见明显异常,必要时ct检查
[本贴已被 眼睛 于 2009-12-26 20:46:23 修改过]
作者: 吴医师 时间: 2009-12-27 05:20
标题: 回复:女,64岁,双侧胸痛,咳嗽,驼背
以下是引用dyqct在2009-12-26 18:33:00的发言:[br]双肺门多发钙化?主动脉迂曲。
作者: 地球上的 时间: 2009-12-27 05:33
ct进一步检查
作者: gaoyang8 时间: 2009-12-27 05:43
标题: 回复:女,64岁,双侧胸痛,咳嗽,驼背
以下是引用dyqct在2009-12-26 18:33:00的发言:[br]双肺门多发钙化?主动脉迂曲。
作者: 拾荒者 时间: 2009-12-27 05:58
双肺纹理增重,肋间隙变窄(可能为驼背所致),余未见明显异常。
作者: 37度 时间: 2009-12-27 06:16
图片处理得不好,布纹影太重,干扰肺部观察。
主动脉型心影,升降主动脉增宽迂曲,右心缘里那类圆形高密度影要关注一下。
作者: zxczxc 时间: 2009-12-27 07:28
图像太模糊。
作者: ydx_74 时间: 2009-12-27 23:22
所说右心缘里那类圆形高密度影,是记住侧弯,右侧肺门影
作者: sunbin 时间: 2009-12-28 00:08
两肺纹增粗,胸主动脉扩张迂曲。必要时ct检查。
作者: smhk 时间: 2009-12-28 00:37
64的老人胸片,我认为为正常表现,没有特别病理改变。
作者: zhanggenliang 时间: 2009-12-28 07:37
标题: 回复:x6742:女,64岁,双侧胸痛,咳嗽,驼背
以下是引用黑白光影在2009-12-26 16:09:00的发言:[br]图片处理得不好,布纹影太重,干扰肺部观察。[br]主动脉型心影,升降主动脉增宽迂曲,右心缘里那类圆形高密度影要关注一下。
作者: zjzjr 时间: 2009-12-28 19:35
ct进一步检查
作者: 谨言慎行 时间: 2009-12-28 22:58
标题: 回复:x6742:女,64岁,双侧胸痛,咳嗽,驼背
以下是引用黑白光影在2009-12-26 16:09:00的发言:[br]图片处理得不好,布纹影太重,干扰肺部观察。[br]主动脉型心影,升降主动脉增宽迂曲,右心缘里那类圆形高密度影要关注一下。
作者: wsmg-自在 时间: 2009-12-29 03:50
主动脉增宽、迂曲。
作者: wjk167 时间: 2009-12-29 05:06
主动脉迂曲、扩张,建议行ct进一步检查,排除主动脉夹层
作者: 寻芳者 时间: 2009-12-29 06:12
侧位呢???-----小心右肺门--------------
作者: hgxswxg 时间: 2009-12-30 00:31
慢支炎 双肺门感染 主动脉迂曲
作者: 医盲 时间: 2009-12-30 03:46
驼背造成主动脉增宽迂曲明显,正如黑白光影版主所说布纹影太重,干扰肺野观察。
| 欢迎光临 医影在线 (http://bbs.radida.com/bbs/) |
Powered by Discuz! X3.2 |