医影在线
标题: CT23809:请会诊,头痛,66岁,女性。 [打印本页]
作者: yy1979 时间: 2009-12-27 20:04
标题: CT23809:请会诊,头痛,66岁,女性。



[本贴已被 jiajie 于 2009-12-27 18:24:59 修改过]
作者: yy1979 时间: 2009-12-27 20:05
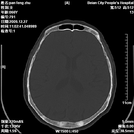
核磁 t1和t2都是低信号
作者: ydx_74 时间: 2009-12-27 21:30
转移可能
作者: 小青 时间: 2009-12-27 21:36
考虑成骨性转移可能性大,建议其它部位检查
作者: sunbin 时间: 2009-12-27 23:14
支持成骨性骨转移瘤考虑。
作者: 科室第一人 时间: 2009-12-27 23:35
转移可能性大,建议作相关检查
作者: 朱海根 时间: 2009-12-28 00:36
核磁 t1和t2都是低信号,并ct上呈圆形高密度影,理论上支持成骨转移。实质工作中不曾见过。
作者: qc80012345 时间: 2009-12-28 00:46
检查资料太少不全;考虑;转移吧。
作者: LIAOQIANG 时间: 2009-12-28 00:56
考虑成骨性转移可能性大。
作者: zjzjr 时间: 2009-12-28 01:07
支持成骨性骨转移瘤考虑。
作者: lizhiguang 时间: 2009-12-28 01:19
支持成骨性转移
作者: pujunzhi 时间: 2009-12-28 01:44
支持成骨性骨转移瘤。
作者: xihan 时间: 2009-12-28 02:30
转移可能性大
作者: 道哥 时间: 2009-12-28 02:41
老年病人,成骨性骨转移瘤要考虑。骨斑点症不除外
作者: zsl6918 时间: 2009-12-28 03:43
好病例,几种考虑:转移,骨斑点症,骨髓瘤。
作者: duguo 时间: 2009-12-28 04:28
标题: 回复:ct23809:请会诊,头痛,66岁,女性。
以下是引用zjzjr在2009-12-27 17:07:00的发言:[br]支持成骨性骨转移瘤考虑。
作者: zxl51642 时间: 2009-12-28 04:28
支持成骨性骨转移瘤。骨斑点症不考虑,骨髓瘤女性少见,且年龄太大。
作者: smhk 时间: 2009-12-28 04:29
支持成骨性骨转移瘤考虑。
作者: zhao_bin2008 时间: 2009-12-28 04:51
支持成骨性骨转移瘤
作者: 网易博 时间: 2009-12-28 04:52
支持成骨性骨转移瘤
作者: 影像孺子牛 时间: 2009-12-28 05:25
支持成骨性骨转移瘤。
作者: 黑白光影 时间: 2009-12-28 05:29
支持成骨性骨转移瘤考虑。
作者: 影象小泰斗 时间: 2009-12-28 05:39
考虑成骨性转移瘤可能性大。
作者: 地球上的 时间: 2009-12-28 06:27
考虑成骨性转移瘤可能性大。
作者: arven 时间: 2009-12-28 09:46
考虑转移
作者: yuhongjun 时间: 2009-12-28 14:03
支持成骨性骨转移瘤考虑。
作者: 深泽交通 时间: 2009-12-28 17:28
支持成骨性转移瘤
作者: dyqct 时间: 2009-12-28 17:48
标题: 回复:ct23809:请会诊,头痛,66岁,女性。
支持成骨性骨转移瘤,建议进一步查原发灶。
作者: zhengfaming 时间: 2009-12-28 17:56
支持转移
作者: 吴医师 时间: 2009-12-28 18:09
考虑成骨性转移可能性大。
作者: 施明 时间: 2009-12-28 18:20
颅底骨板如何 畸形性骨炎静止修复期?
作者: 随光逐影 时间: 2009-12-30 00:01
颅骨转移瘤可能性大。
| 欢迎光临 医影在线 (http://bbs.radida.com/bbs/) |
Powered by Discuz! X3.2 |