








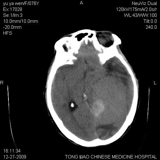
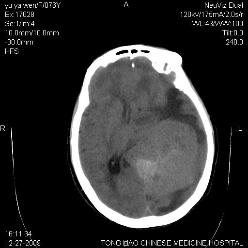
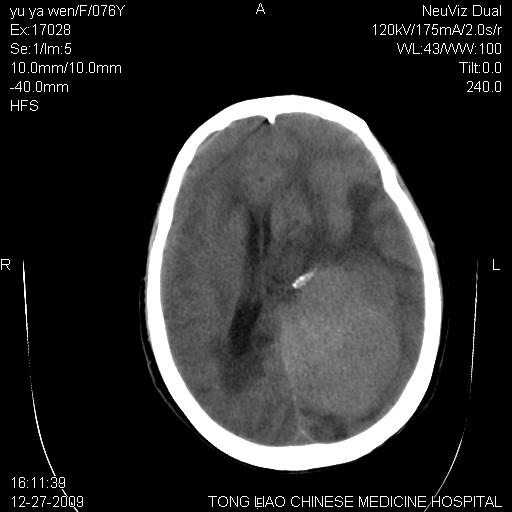
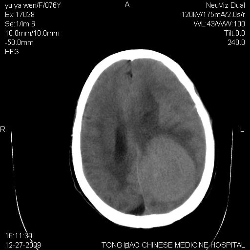
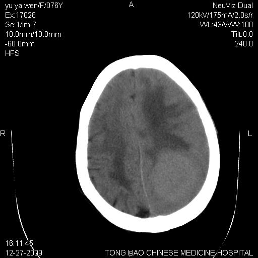
以下是引用lizhiguang在2009-12-27 19:06:00的发言:[br]脑膜瘤
以下是引用zhao_bin2008在2009-12-27 20:34:00的发言:[br]考虑脑膜瘤,伴肿瘤出血,建议增强检查
以下是引用zhao_bin2008在2009-12-27 20:34:00的发言:[br]考虑脑膜瘤,伴肿瘤出血,建议增强检查
以下是引用zsl6918在2009-12-27 19:28:00的发言:[br]建议对症治疗后强化检查,考虑脑膜瘤可能性大。
| 欢迎光临 医影在线 (http://bbs.radida.com/bbs/) | Powered by Discuz! X3.2 |