医影在线

标题: CT23859:胸主动脉瘤 [打印本页]

作者: hurb    时间: 2009-12-30 16:49
标题: CT23859:胸主动脉瘤
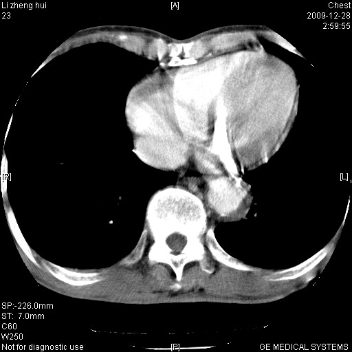
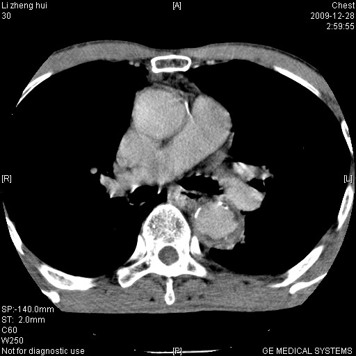
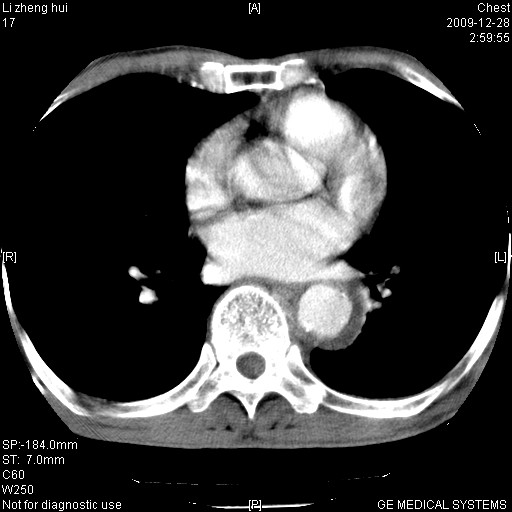
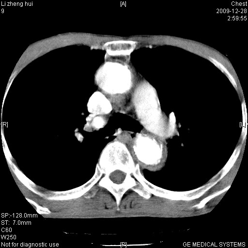
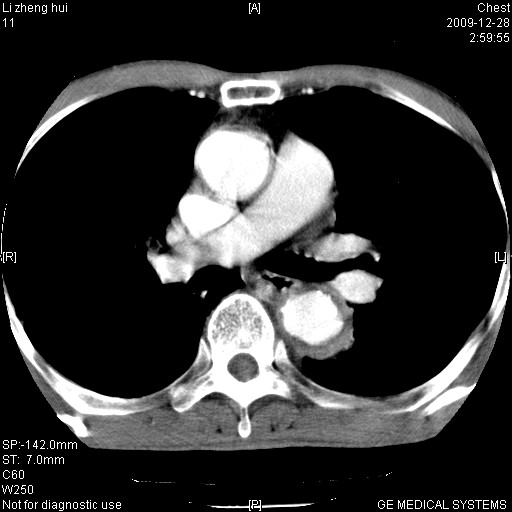
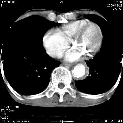
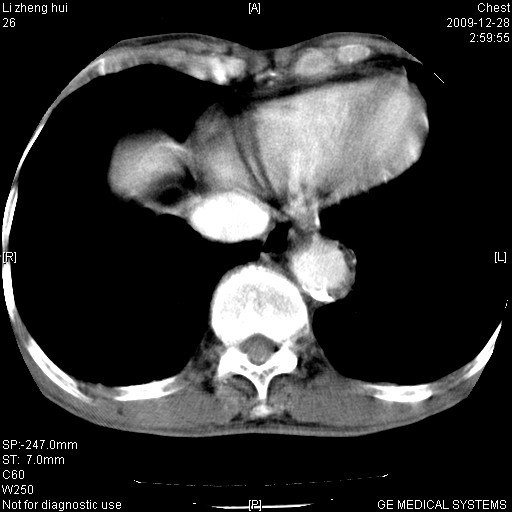
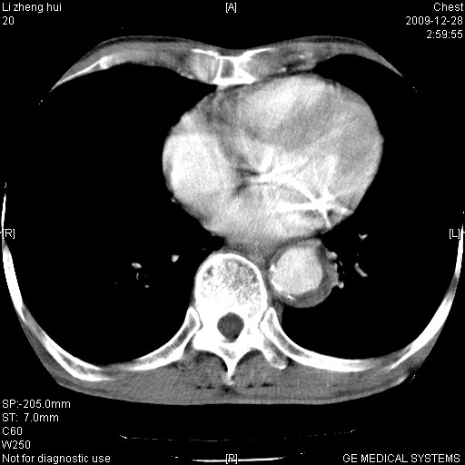
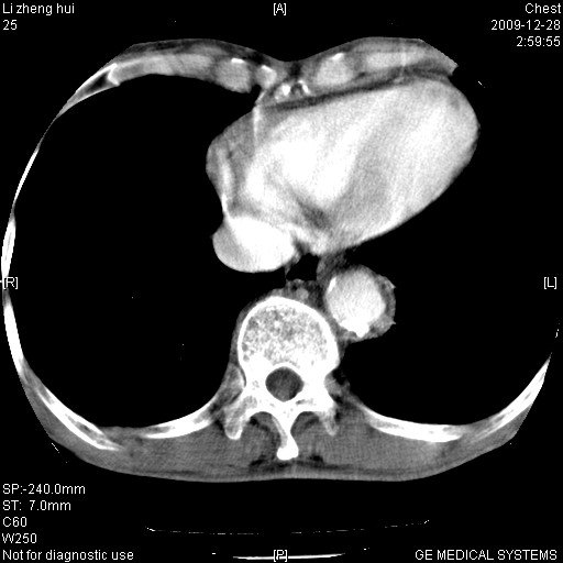
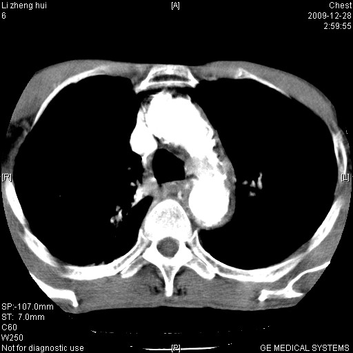
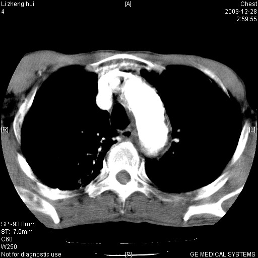
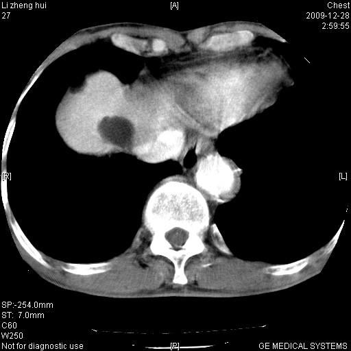
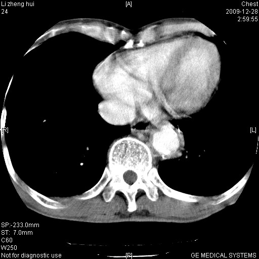
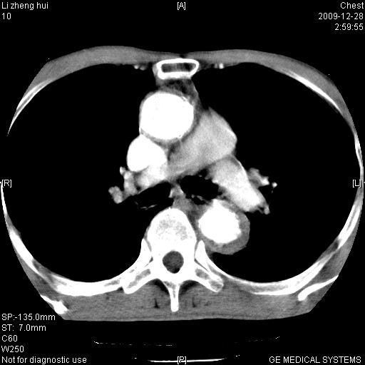
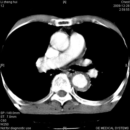
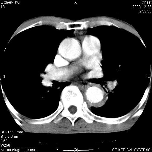
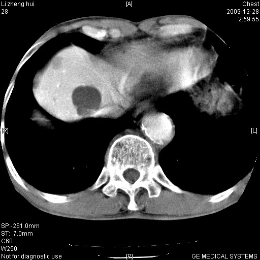
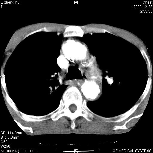
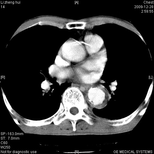
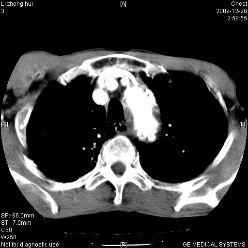
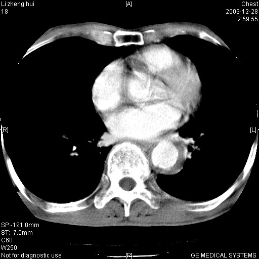
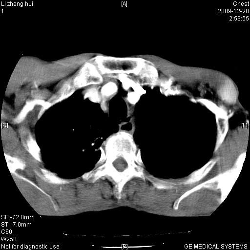
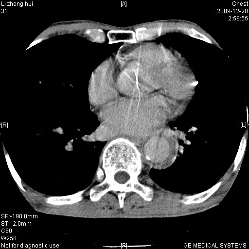
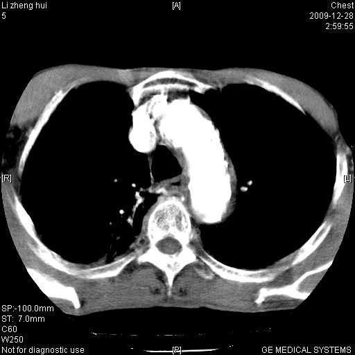
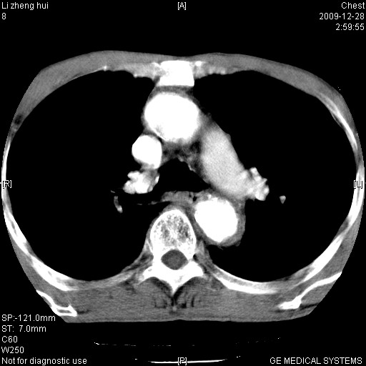
男  79岁 胸部痛急诊入院,晚上做的增强
考虑主动脉瘤?(增粗、钙化、壁血栓?)
































[本贴已被 jiajie 于 2009-12-30 19:11:15 修改过]

作者: 破釜沉舟    时间: 2009-12-30 17:24
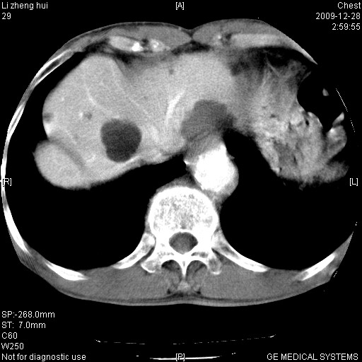
支持,另有肝囊肿。
作者: shibing    时间: 2009-12-30 17:27
支持,另有肝囊肿。
作者: 深泽交通    时间: 2009-12-30 18:04
支持降主动脉夹层
作者: zxl51642    时间: 2009-12-30 18:16
支持,另有肝囊肿。
作者: wzr    时间: 2009-12-30 18:44
建议调节窗位、窗宽。
作者: 泪洒红尘    时间: 2009-12-30 18:56
支持,另有肝囊肿。
作者: LIAOQIANG    时间: 2009-12-30 19:01
支持!
作者: 边生丽    时间: 2009-12-30 19:04
支持降主动脉瘤,不考虑夹层
作者: sdzyy    时间: 2009-12-30 19:37
支持,另有肝囊肿。
作者: liangshusheng    时间: 2009-12-30 20:41
动脉瘤伴附壁血栓
作者: 迁安杨帆    时间: 2009-12-30 20:45
主动脉壁内血肿?
作者: ct诊断高手    时间: 2009-12-30 20:54
支持!
作者: 随光逐影    时间: 2009-12-30 21:43
1)考虑胸主动脉壁间血肿或夹层动脉瘤。2)多发性肝囊肿。
作者: 道哥    时间: 2009-12-30 23:52
支持!
作者: zjzjr    时间: 2009-12-31 00:00
1)考虑胸主动脉附壁血栓或夹层动脉瘤。2)多发性肝囊肿。
作者: smhk    时间: 2009-12-31 02:13
支持,另有肝囊肿
作者: 黑白光影    时间: 2009-12-31 05:28
标题: 回复:ct23859:胸主动脉瘤
以下是引用随光逐影在2009-12-30 13:43:00的发言:[br]1)考虑胸主动脉壁间血肿或夹层动脉瘤。2)多发性肝囊肿。

作者: zsl6918    时间: 2009-12-31 05:31
考虑大动脉炎,附壁血栓形成。
作者: 进修医生    时间: 2009-12-31 06:03
学习了
作者: yuhongjun    时间: 2009-12-31 13:49
支持,另有肝囊肿。




欢迎光临 医影在线 (http://bbs.radida.com/bbs/) Powered by Discuz! X3.2