医影在线

标题: PED3047:两岁,咳嗽3天 。 [打印本页]

作者: freedd    时间: 2009-12-31 23:26
标题: PED3047:两岁,咳嗽3天 。
[img][/img]





[本贴已被 jiajie 于 2010-1-1 9:16:47 修改过]

作者: 破釜沉舟    时间: 2009-12-31 23:54
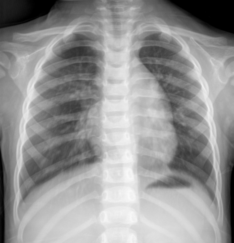
建议彩超,除外先心可能。
作者: zxl51642    时间: 2010-1-1 00:17
标题: 回复:两岁,咳嗽3天 。
以下是引用破釜沉舟在2009-12-31 15:54:00的发言:[br]建议彩超,除外先心可能。

作者: 王立前    时间: 2010-1-1 00:20
建议彩超,除外先心可能
作者: zhanggenliang    时间: 2010-1-1 00:33
建议彩超。除外先心病
作者: xihan    时间: 2010-1-1 01:15
1先心病【肺动脉狭窄?】
2.支气管炎
作者: 37度    时间: 2010-1-1 02:23
标题: 回复:两岁,咳嗽3天 。
以下是引用破釜沉舟在2009-12-31 15:54:00的发言:[br]建议彩超,除外先心可能。

作者: 帅河马    时间: 2010-1-1 02:55
1先心病?
2.支气管炎
作者: 眼睛    时间: 2010-1-1 03:33
建议彩超
作者: tangyong119    时间: 2010-1-1 03:56
先心病,双侧肺血增多;建议彩超检查。
作者: fhc932    时间: 2010-1-1 05:55
考虑动脉导管未闭,建议彩超检查
作者: 拾荒者    时间: 2010-1-1 06:26
心腰膨隆,肺血增多,考虑先心病,建议结合彩超检查。
作者: 513ytb    时间: 2010-1-1 08:26
先心可能
作者: yangyudong333    时间: 2010-1-1 14:51
建议彩超
作者: ZHANGZHONGSHOU    时间: 2010-1-1 17:04
先心室缺可能,建议超声检查。
作者: dyqct    时间: 2010-1-3 05:53
标题: 回复:ped3047:两岁,咳嗽3天 。
以下是引用拾荒者在2009-12-31 22:26:00的发言:[br]心腰膨隆,肺血增多,考虑先心病,建议结合彩超检查。

支持!
作者: kh    时间: 2010-1-4 05:47
双肺纹理增多,肺血管从分布,主动脉结小,肺动脉段突出。 先心病?结合彩超
支气管炎
作者: shibing    时间: 2010-1-5 01:01
ucg检查
作者: 随光逐影    时间: 2010-1-6 00:45
考虑先天性心脏病;请结合临床听诊及心脏超声检查。
作者: intotheforest    时间: 2010-1-6 02:01
1、支气管炎;
2、左上纵隔影增宽考虑为胸腺影,建议ct。
作者: dineaf    时间: 2010-1-19 04:13
支气管炎不是先心是正常胸腺
作者: FSKWQH    时间: 2010-1-26 07:51
可能问题不大 做个b超放心




欢迎光临 医影在线 (http://bbs.radida.com/bbs/) Powered by Discuz! X3.2