医影在线

标题: CT23914:女性 48岁 上腹部疼痛1周,请求会诊 [打印本页]

作者: zzzyf4    时间: 2010-1-2 05:12
标题: CT23914:女性 48岁 上腹部疼痛1周,请求会诊
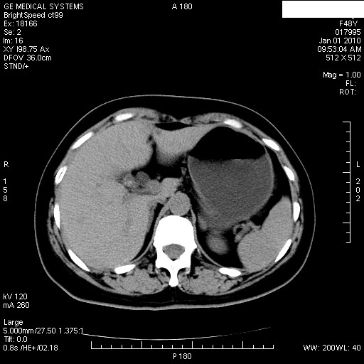
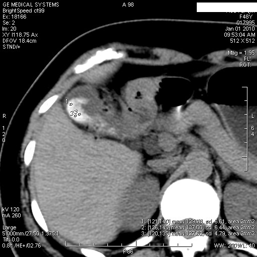
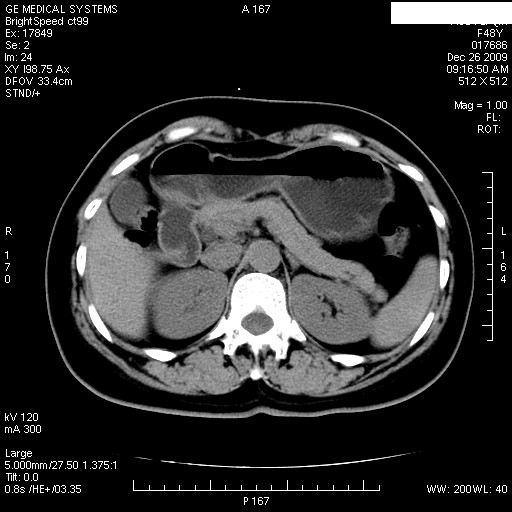
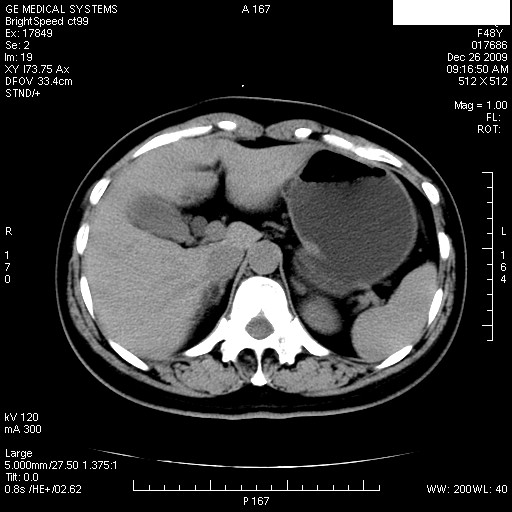
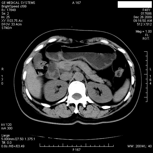
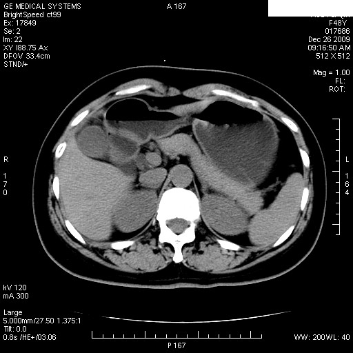
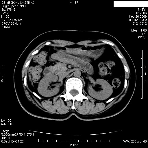
患者女性 48岁 突发上腹部疼痛,无其他不适,查体莫菲氏征阴性,ct示:胆囊炎,胆总管上端轻度扩张
图片如下:










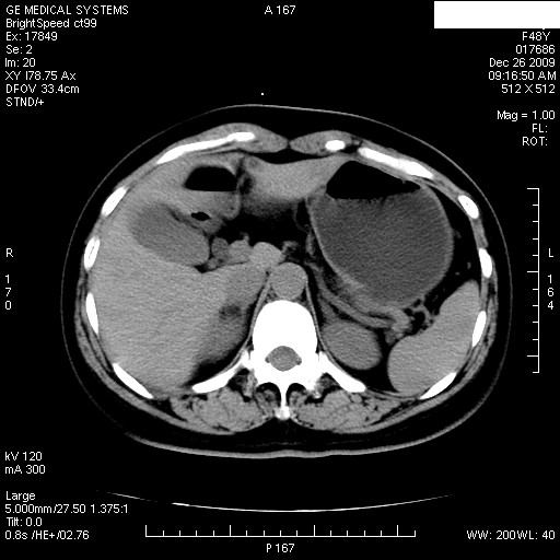
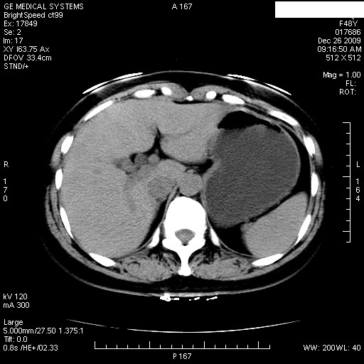
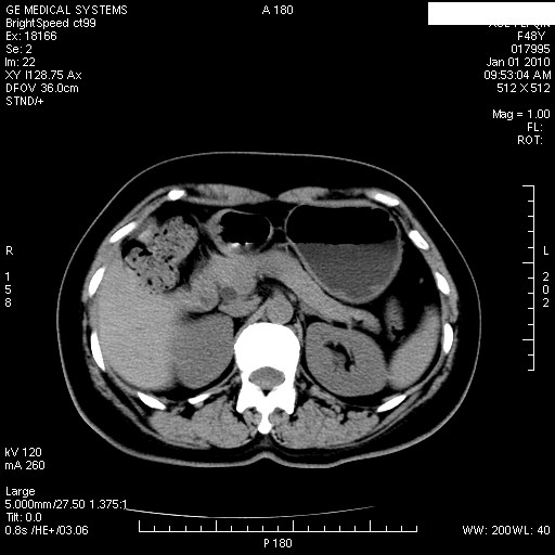
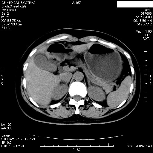
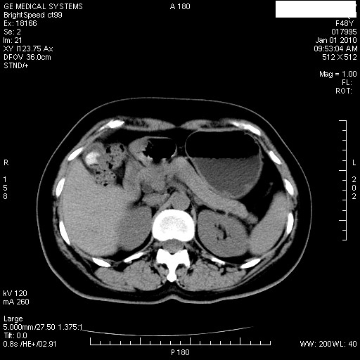
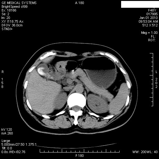
经过抗炎解痉镇痛治疗一周后复查ct如下:






,






请求各位老师会诊,给个意见.

[本贴已被 jiajie 于 2010-1-2 9:37:37 修改过]

作者: qian    时间: 2010-1-2 05:16
图像是否为同一人?还是同一人不同时段的图像?胆结石。
作者: liujunxy168    时间: 2010-1-2 05:37
是否有增强图像,感觉不像一个人?
作者: 2008boyBOY    时间: 2010-1-2 06:54
1.图像看上去不是同一人(前组图像十二指肠未见明显异常,后组图像可见十二指肠占位)
2.后组图象印像
a.十二指肠球部前壁占位
b.坏蛆性胆囊炎,胆囊-结肠瘘(瘘口微小且时间较短,结肠内容返流入胆囊,形成胆囊壁钙化,胆囊内钙盐等沉积)
c.胆管炎,肝外胆管轻度扩张
作者: 513ytb    时间: 2010-1-2 08:30
坏蛆性胆囊炎,胆囊-结肠瘘,胆囊内钙盐等沉积.
作者: yuhongjun    时间: 2010-1-2 14:14
胆囊结石,十二指肠占位?
作者: zzzyf4    时间: 2010-1-2 15:48
图象确为一人 是此人1周后复查的ct图象!!有增强图象,等下午就上传!!谢谢各位老师!!
作者: zxl51642    时间: 2010-1-4 22:19
标题: 回复:ct23914:女性 48岁 上腹部疼痛1周,请求会诊
以下是引用2008boyboy在2010-1-1 22:54:00的发言:[br]1.图像看上去不是同一人(前组图像十二指肠未见明显异常,后组图像可见十二指肠占位)[br]2.后组图象印像[br]a.十二指肠球部前壁占位[br]b.坏蛆性胆囊炎,胆囊-结肠瘘(瘘口微小且时间较短,结肠内容返流入胆囊,形成胆囊壁钙化,胆囊内钙盐等沉积)[br]c.胆管炎,肝外胆管轻度扩张

作者: 随光逐影    时间: 2010-1-5 04:20
1)肝内外胆管扩张,原因待查。2)胆囊内药物沉积?




欢迎光临 医影在线 (http://bbs.radida.com/bbs/) Powered by Discuz! X3.2