医影在线

标题: CT23915:女 20岁 全身长疙瘩三年 今日多体位查 看看吧 [打印本页]

作者: 正峰    时间: 2010-1-2 06:57
标题: CT23915:女 20岁 全身长疙瘩三年 今日多体位查 看看吧









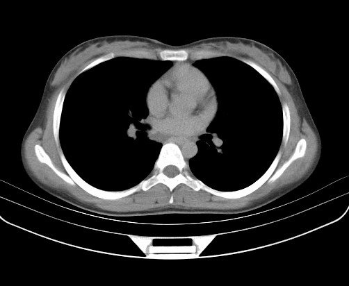
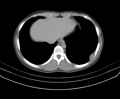
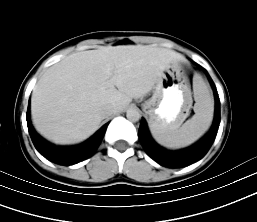
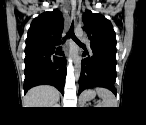
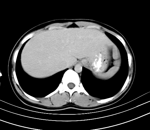
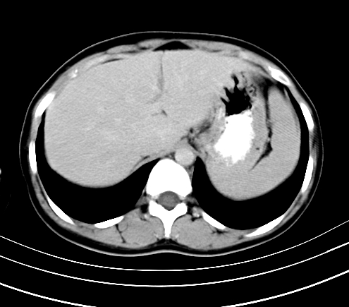
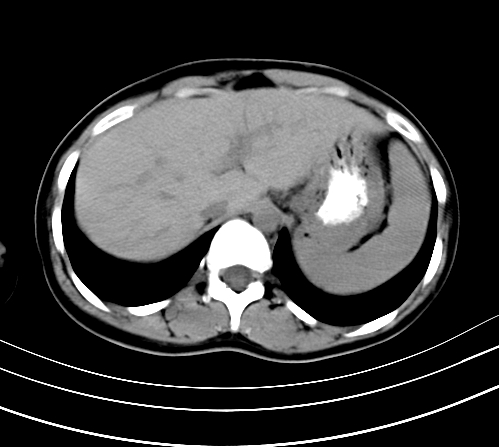
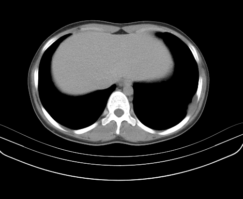
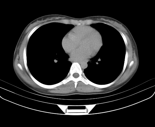
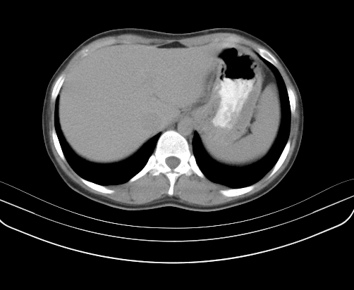
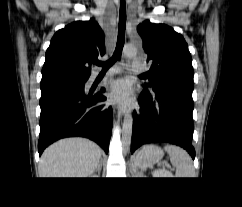
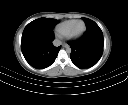
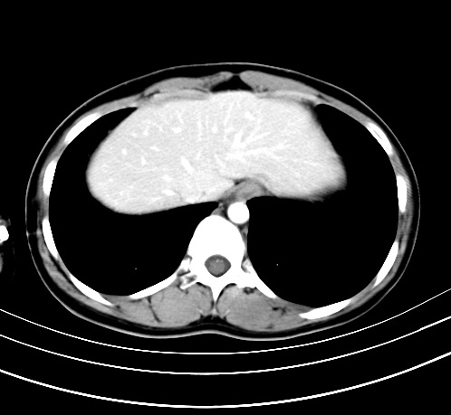
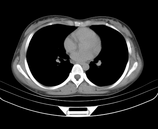
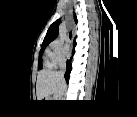
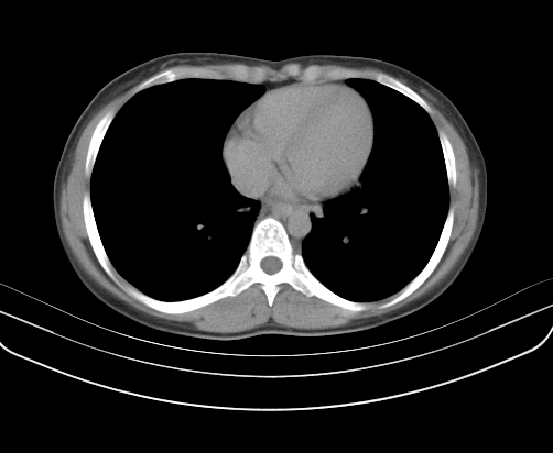
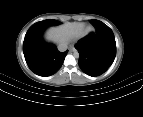
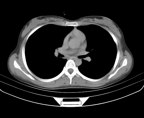
胸部





























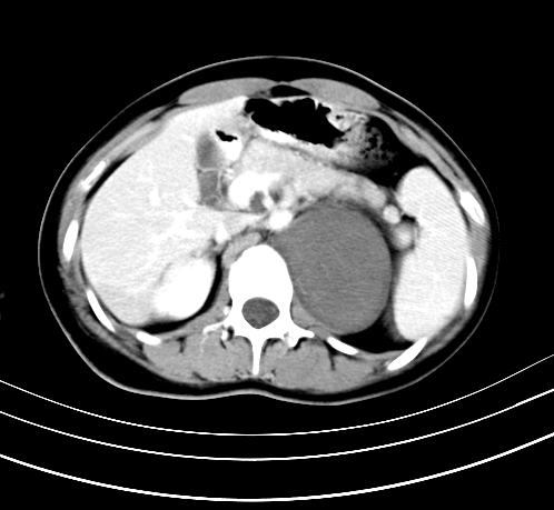
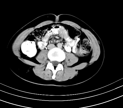
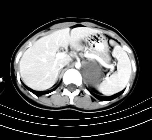
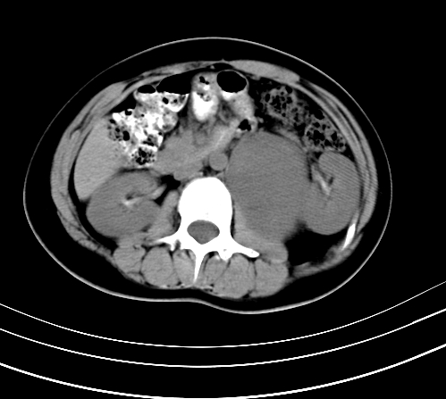
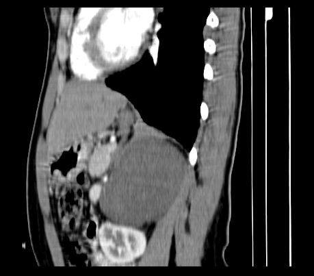
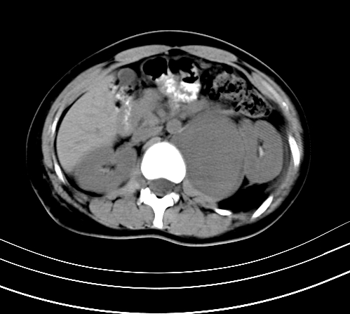
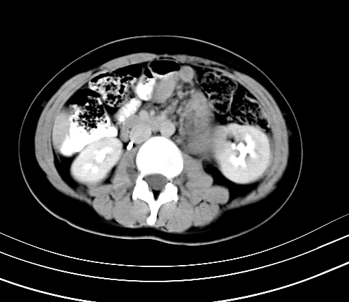
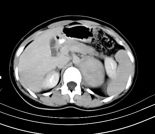
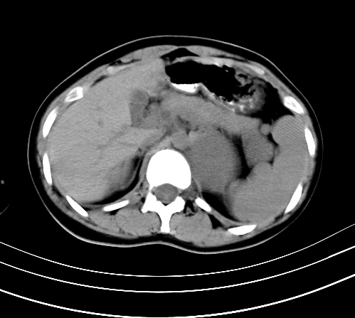
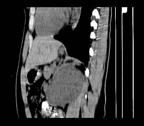
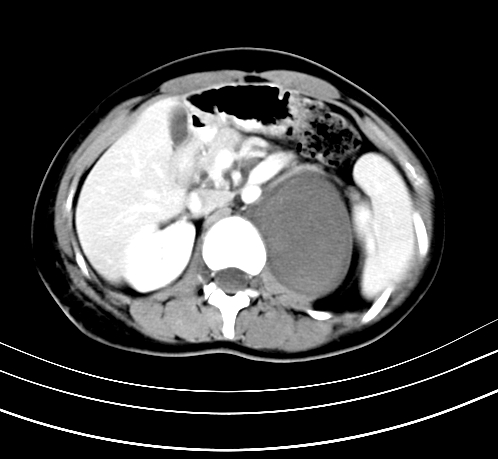
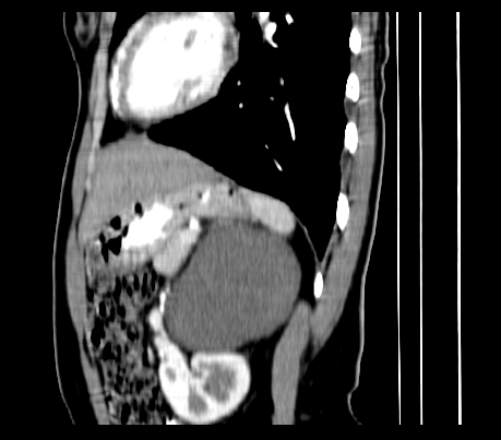
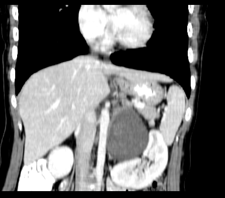
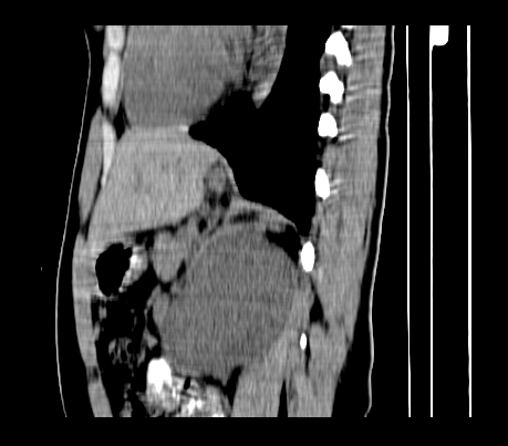
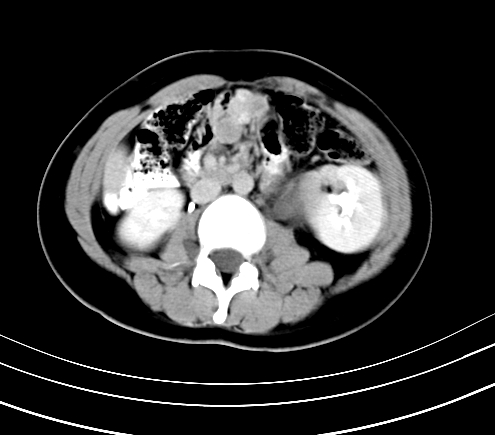
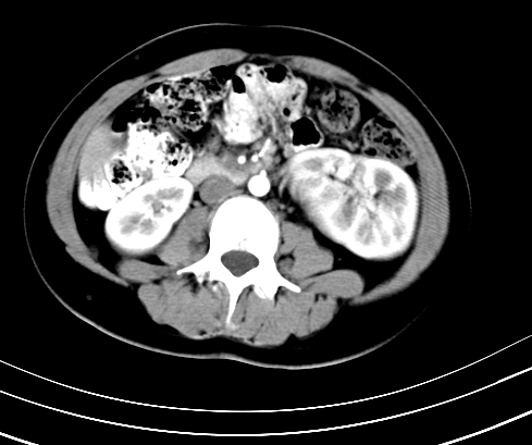
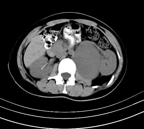
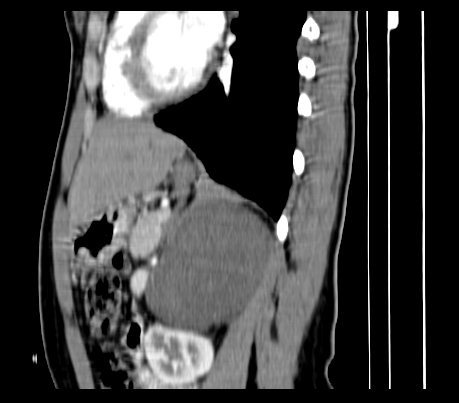
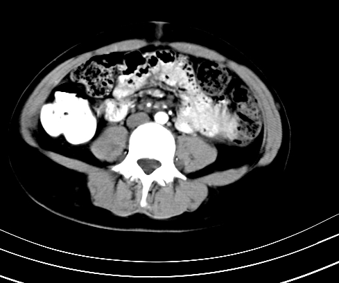
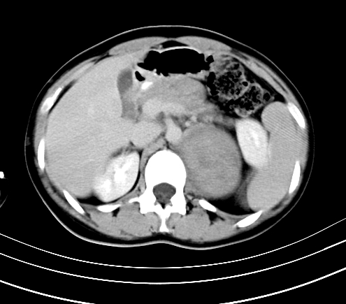
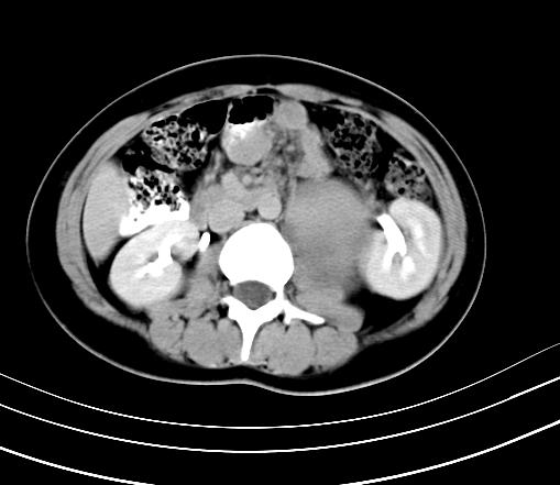
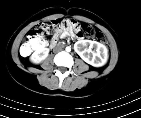
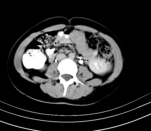
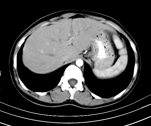
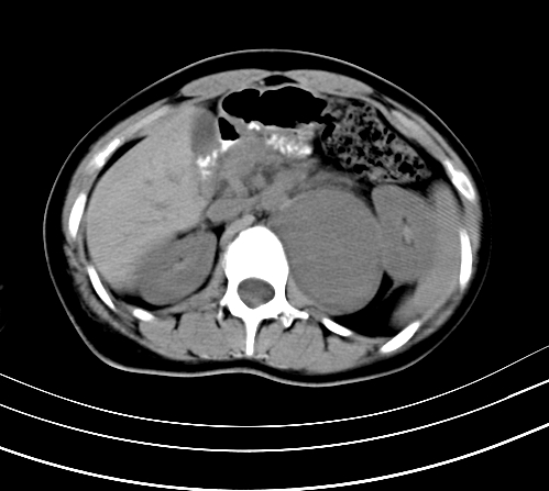
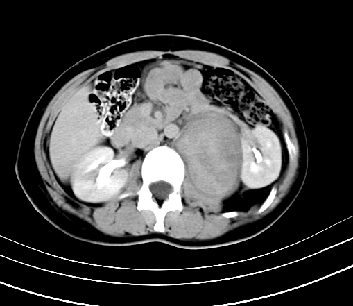
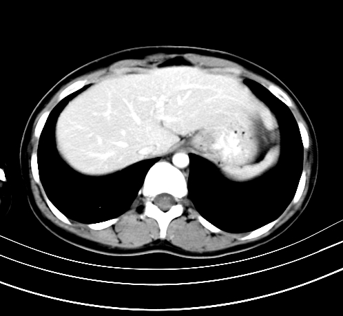
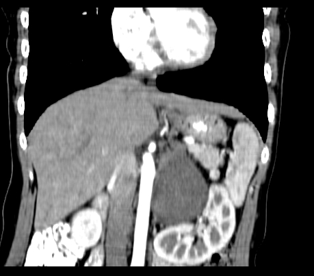
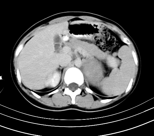
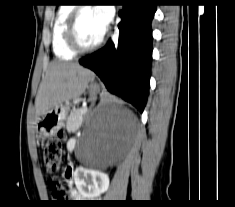
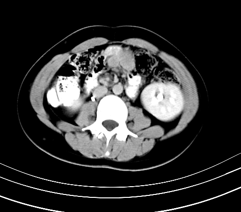
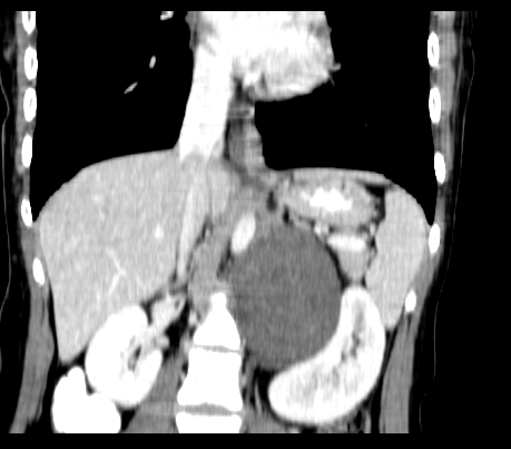
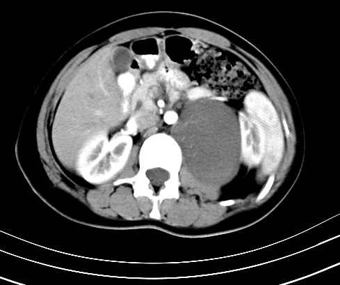
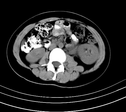
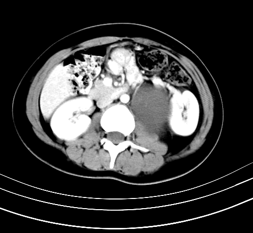
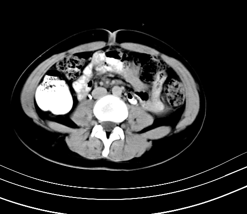
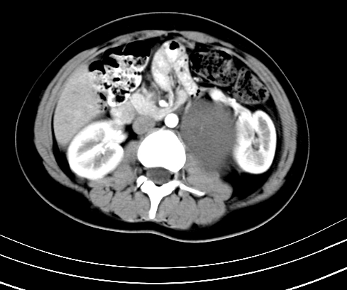
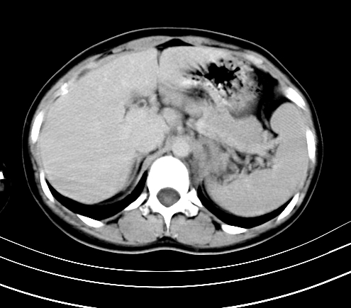
腹部平扫













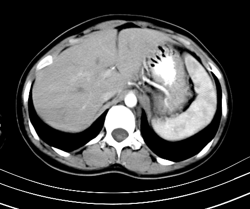
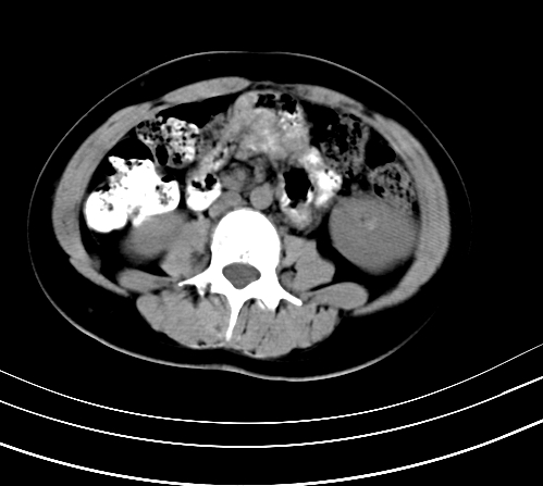
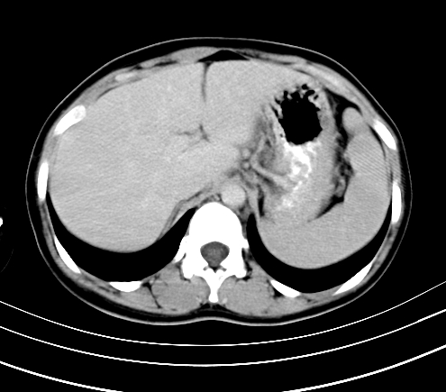
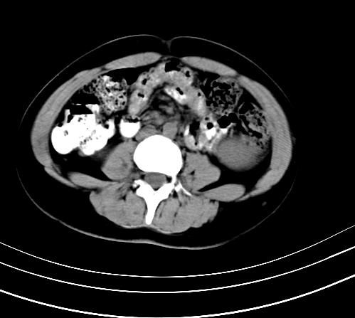
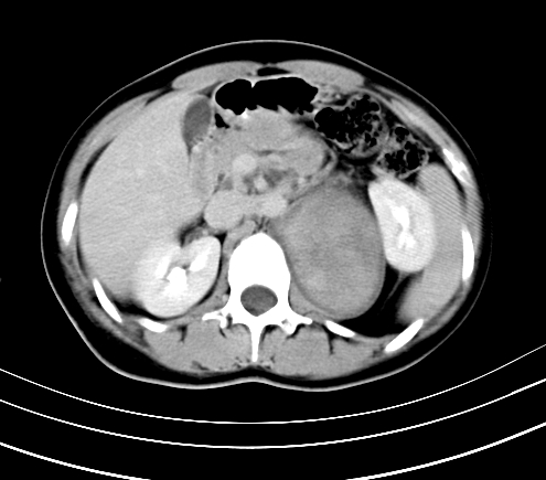
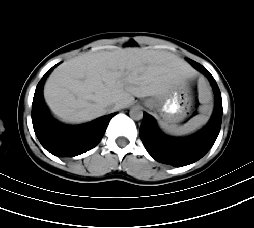
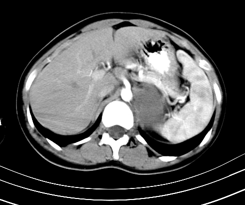
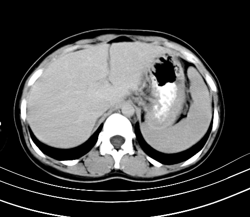
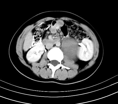
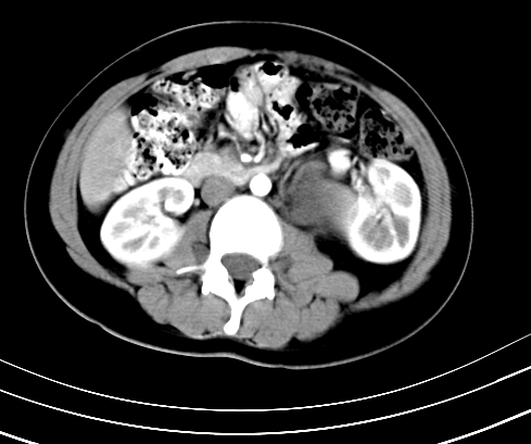
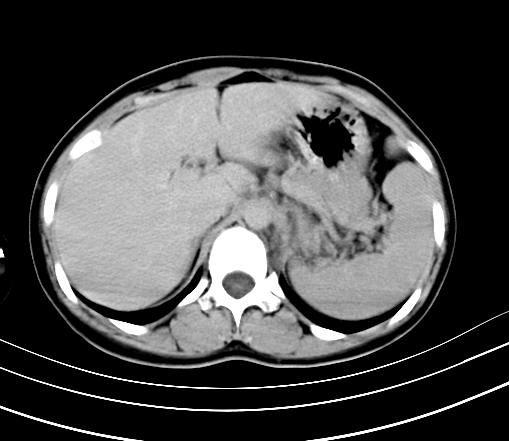
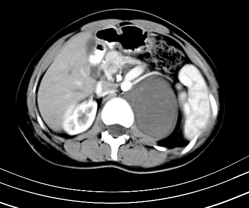
动脉期













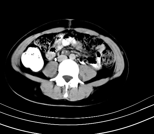
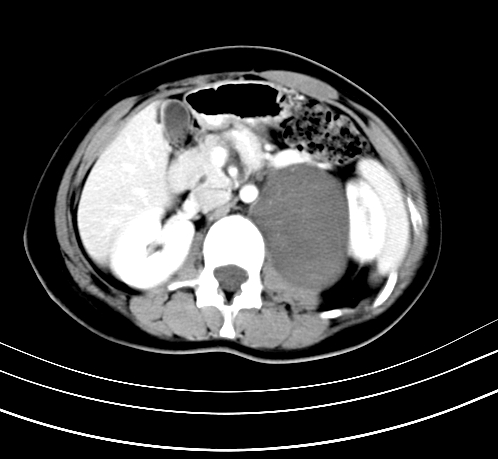
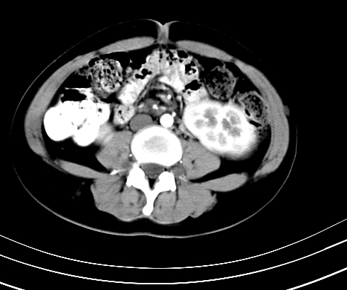
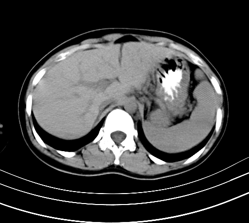
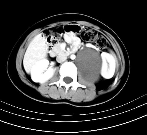
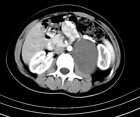
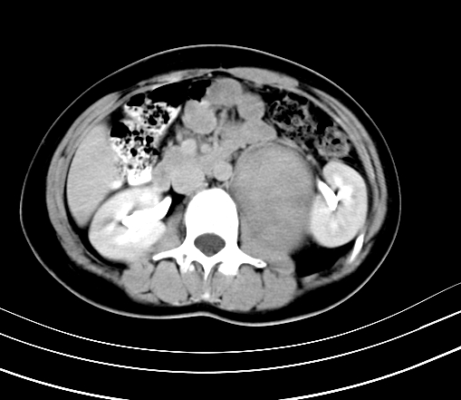
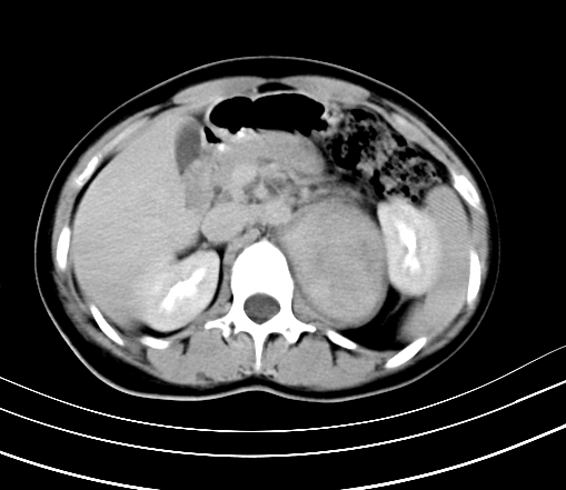
静脉期















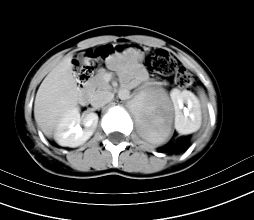
延时5分钟















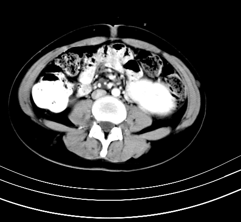
延时10分钟















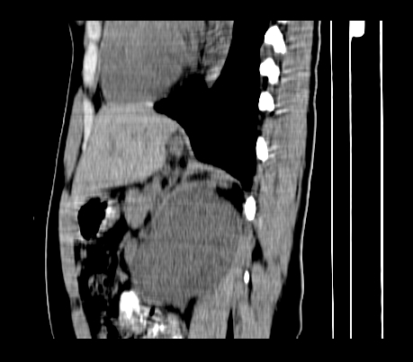
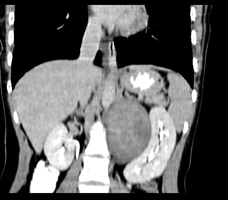
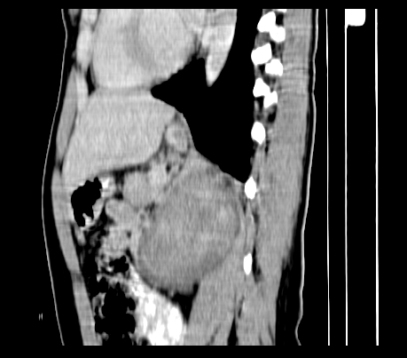
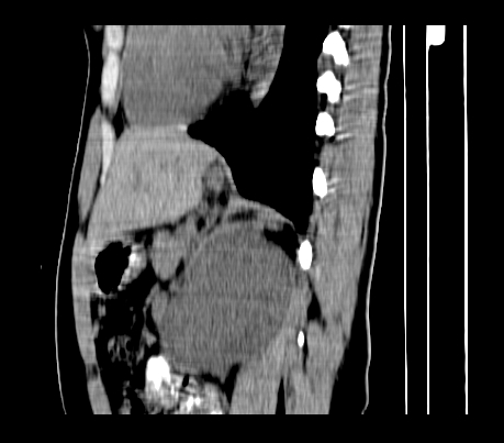
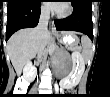
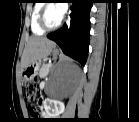
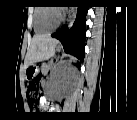
重建

























[本贴已被 jiajie 于 2010-1-2 9:38:37 修改过]

作者: 513ytb    时间: 2010-1-2 08:28
神经纤维瘤病
作者: yuhongjun    时间: 2010-1-2 14:12
支持神经纤维瘤。
作者: zxl51642    时间: 2010-1-4 22:29
标题: 回复:ct23915:女 20岁 全身长疙瘩三年 今日多体位查 
以下是引用513ytb在2010-1-2 0:28:00的发言:[br]神经纤维瘤病

作者: 随光逐影    时间: 2010-1-5 04:22
支持 神经纤维瘤病。
作者: 进修医生    时间: 2010-1-5 04:41
学习了




欢迎光临 医影在线 (http://bbs.radida.com/bbs/) Powered by Discuz! X3.2