医影在线

标题: CT23919:F38Y 咳嗽月余 [打印本页]

作者: 37度    时间: 2010-1-2 08:56
标题: CT23919:F38Y 咳嗽月余
























































[本贴已被 jiajie 于 2010-1-2 9:48:40 修改过]

作者: yuhongjun    时间: 2010-1-2 13:59
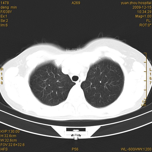
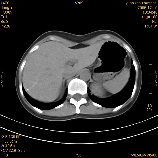
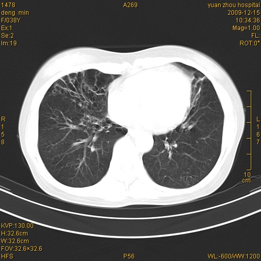
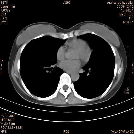
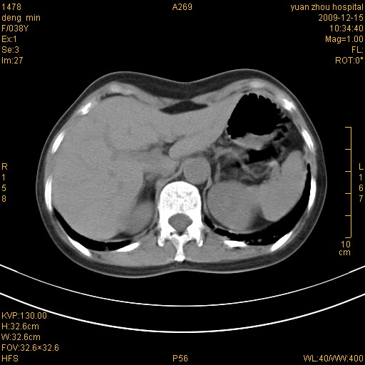
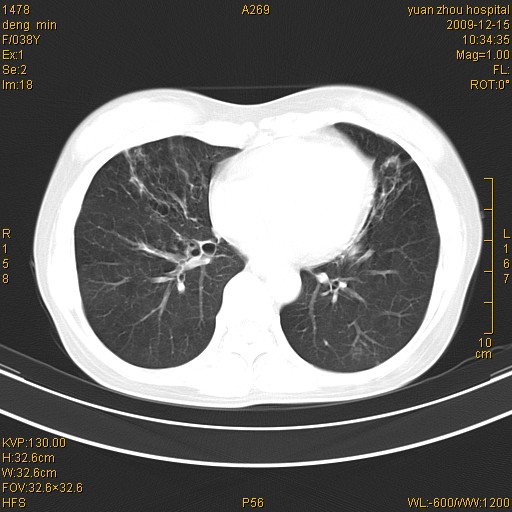
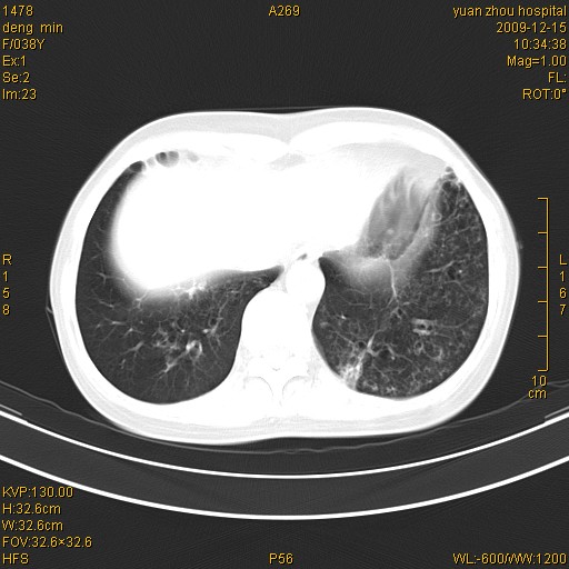
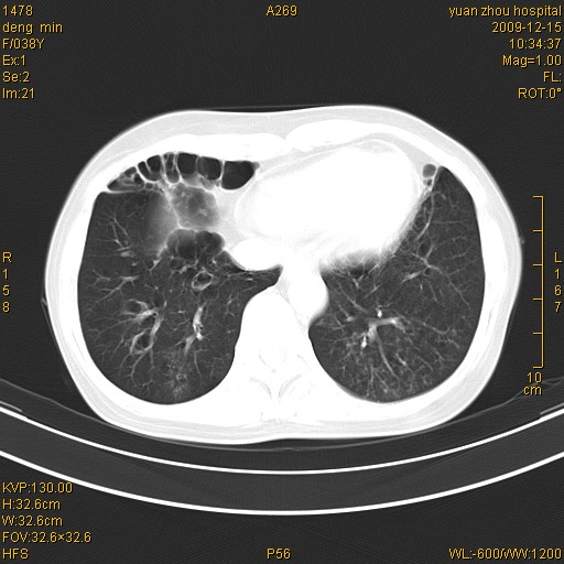
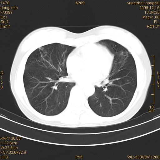
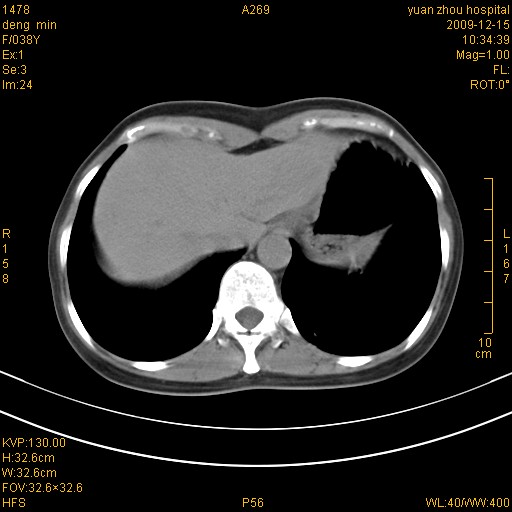
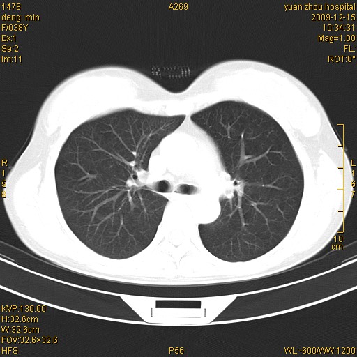
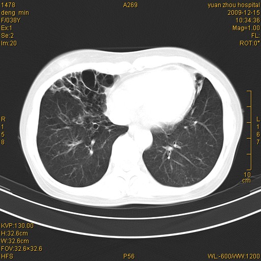
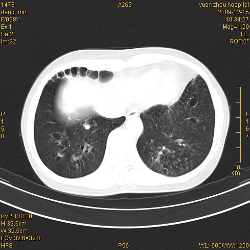
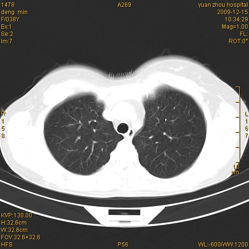
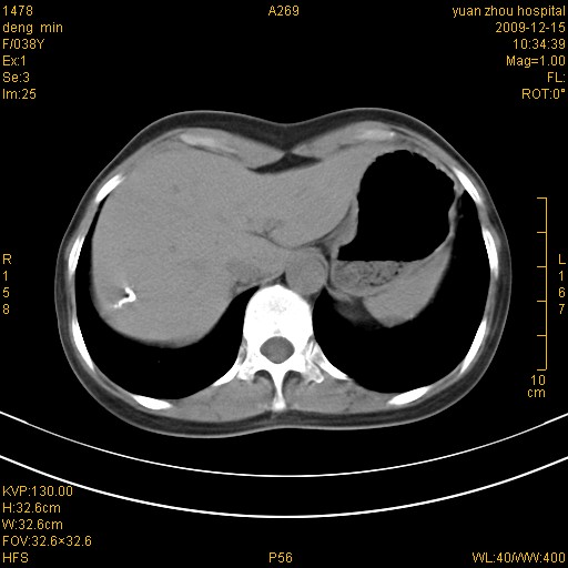
又一个支扩。
作者: xy841213    时间: 2010-1-3 00:03
支扩
作者: zsl6918    时间: 2010-1-3 03:08
支扩并感染
作者: 听海观潮20    时间: 2010-1-3 04:08
支扩
作者: zxczxc    时间: 2010-1-3 05:08
支气管扩张。典型。
作者: zxl51642    时间: 2010-1-3 06:10
支气管扩张。
作者: 地球上的    时间: 2010-1-3 06:20
支扩并感染
作者: duanhui007    时间: 2010-1-3 07:16
支扩感染
作者: 随光逐影    时间: 2010-1-5 04:46
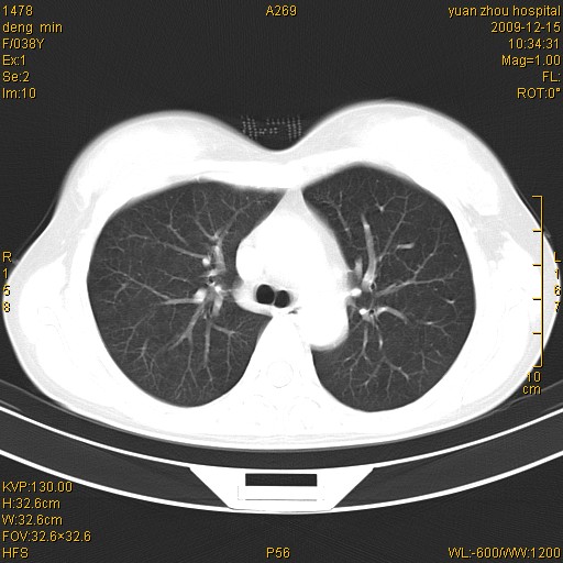
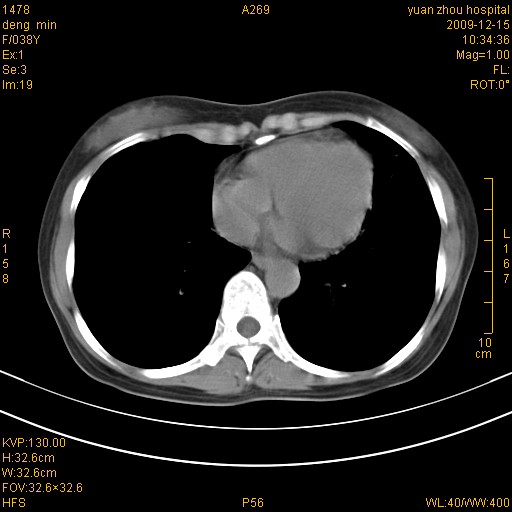
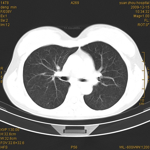
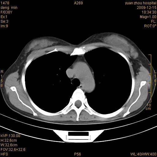
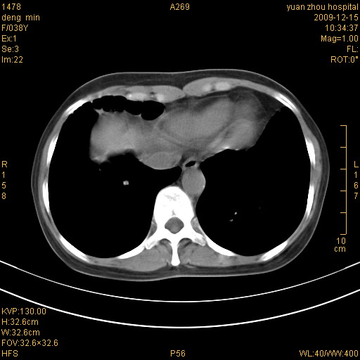
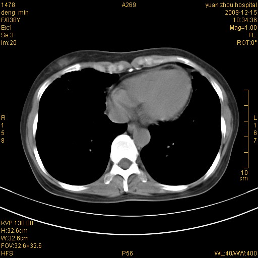
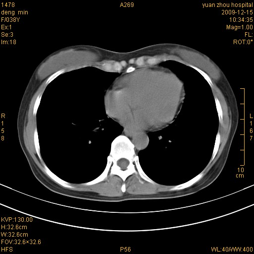
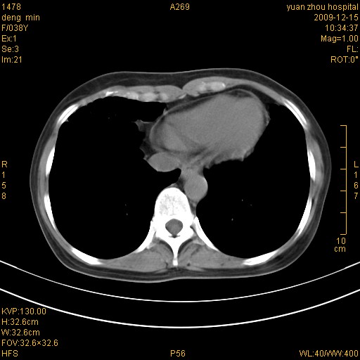
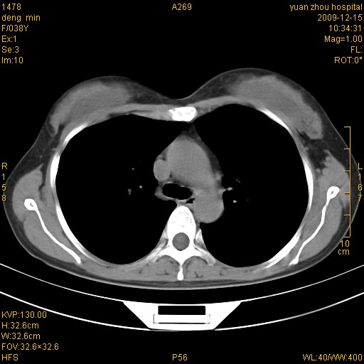
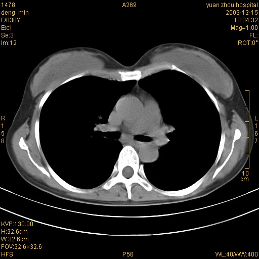
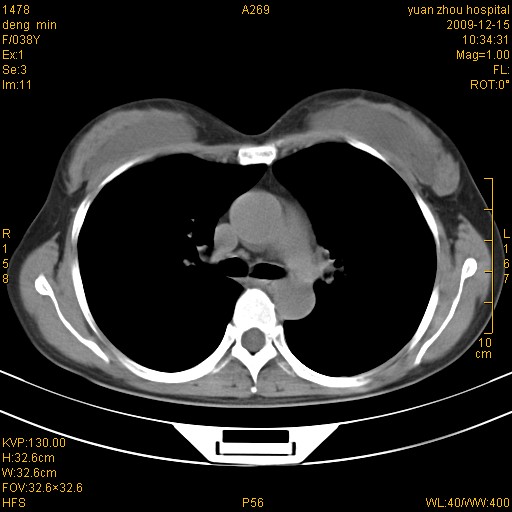
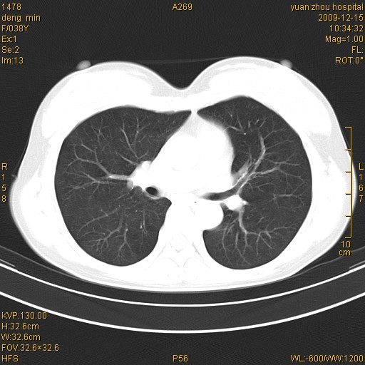
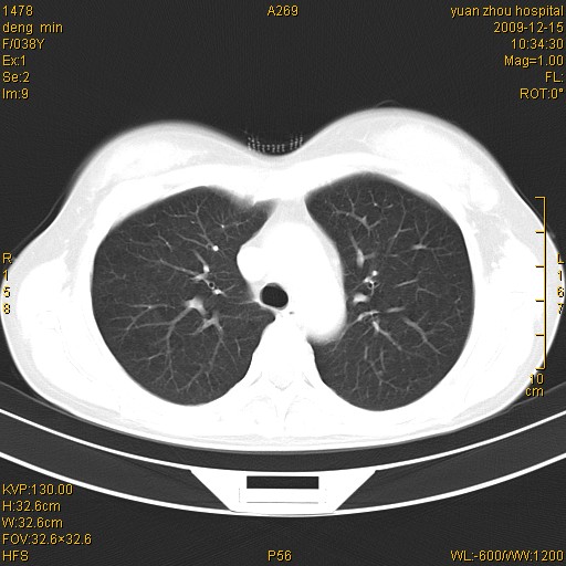
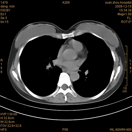
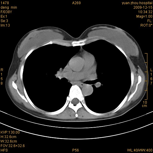
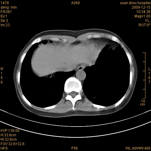
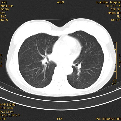
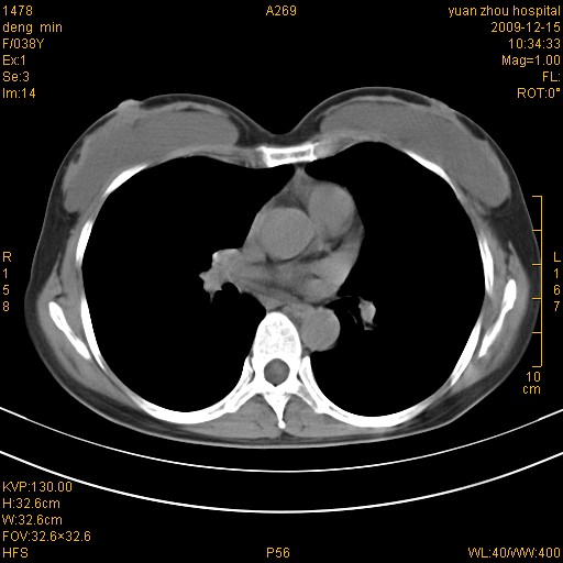
右肺中下叶、左肺上叶舌段及左肺下叶支气管扩张合并感染。




欢迎光临 医影在线 (http://bbs.radida.com/bbs/) Powered by Discuz! X3.2