医影在线

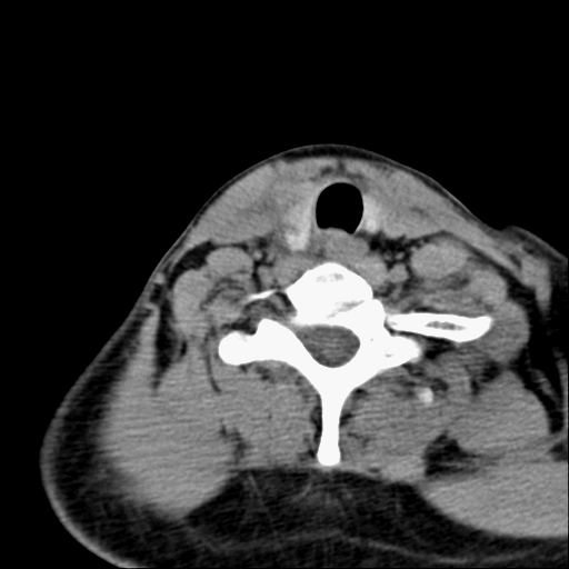
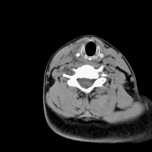
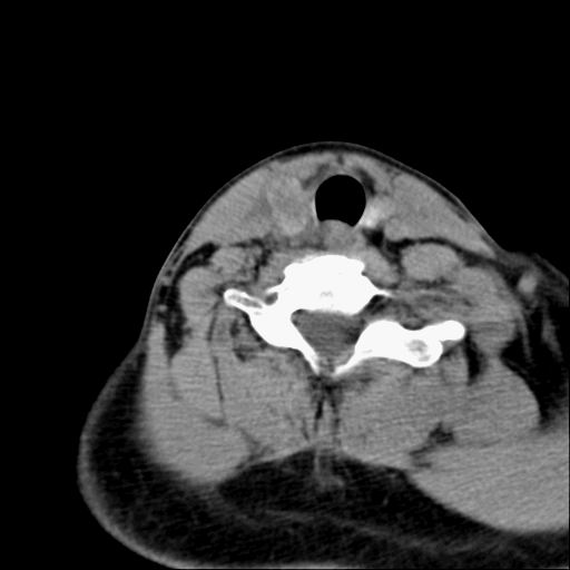
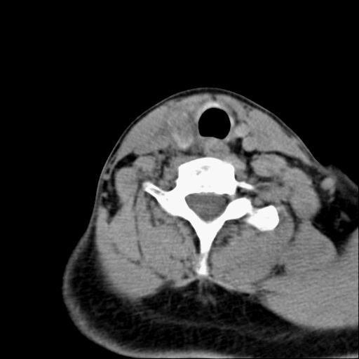
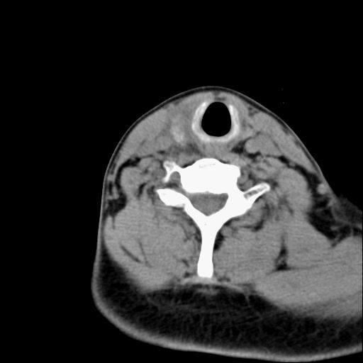
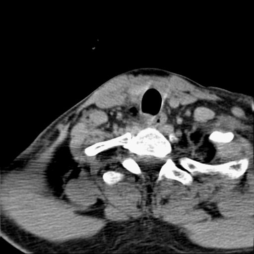
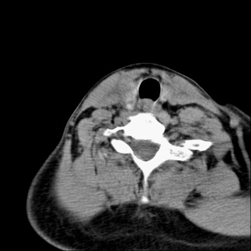
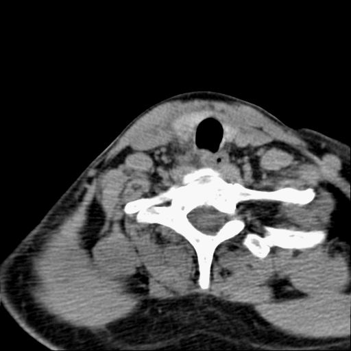
标题: CT23947 右颈部触及00.5x1.5cm质硬长形肿块,疼痛 [打印本页]

作者: opqo    时间: 2010-1-3 18:09
标题: CT23947 右颈部触及00.5x1.5cm质硬长形肿块,疼痛

















作者: zgb5618    时间: 2010-1-3 18:35
右侧甲状腺腺瘤考虑
作者: sjzyt    时间: 2010-1-3 18:48
甲状腺癌可疑
作者: tao772    时间: 2010-1-3 19:32
右侧甲状腺病灶,建议增强或结合b超检查。
作者: 37度    时间: 2010-1-3 20:02
右甲状腺占位,建议增强。
作者: shibing    时间: 2010-1-3 21:09
甲状腺腺瘤或癌
作者: 513ytb    时间: 2010-1-3 21:41
甲状腺腺瘤或癌.
作者: 江广1996    时间: 2010-1-3 22:07
右甲状腺占位,建议增强。
作者: ct诊断高手    时间: 2010-1-4 01:33
甲状腺腺瘤或癌.
作者: 天海    时间: 2010-1-4 01:50
甲状腺右叶占位病变,建议增强扫描。
作者: cgf    时间: 2010-1-4 02:24
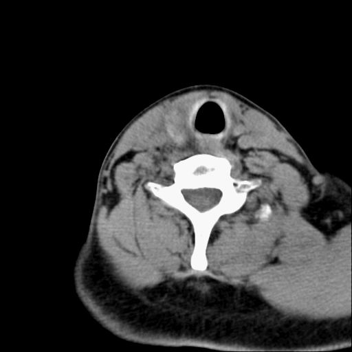
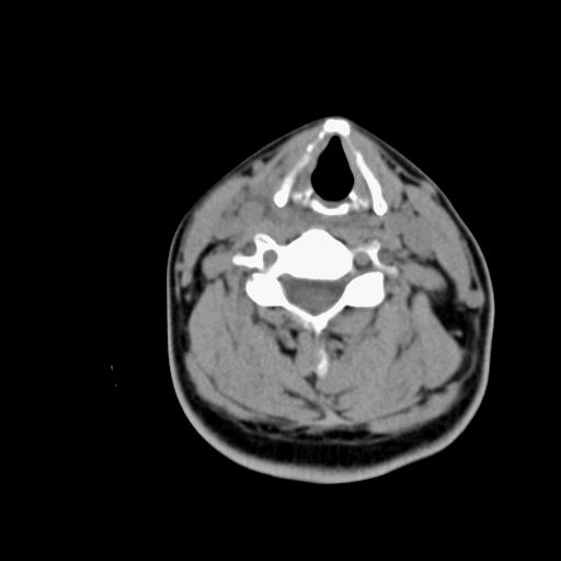
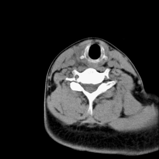
甲状腺占位  定性有时很难 但无论癌还是腺瘤 还是手术比较好!以下是甲状腺占位的ct鉴别诊断
ct对甲状腺病变的诊断作用
确定病变范围,判断有无部属淋巴腺转移,甲状腺肿物没有可靠的征象鉴别良、恶性,如有部属淋巴结肿大、喉返神经麻痹、甲状软骨或其它喉软骨破坏等表现,则有利于诊断恶性。钙化不是鉴别良、恶性的依据。
1.甲状腺ca:中年妇女好发,病例分型,乳头状、滤泡状、未分化癌及髓样癌四种。
ct表现:形态不规则的软组织密度肿块,可累及部分或大部分甲状腺组织,密度不均,可坏死、囊变、钙化,增强病灶呈不均匀强化,有局部侵犯或转移时可有颈部淋巴结肿大。
2.甲状腺腺瘤;常见的良性肿瘤,病理分型:滤泡状腺瘤、乳头状囊性腺瘤,以前者多见,腺瘤周围有完整的包膜,患者大多为中青年女性,大部分无任何临床症状。
ct表现肿瘤呈稍低密度结节状肿块,边缘光整、锐利病灶均匀强化,少数腺瘤可有钙化。
3.甲状腺肿:分结节性和弥漫性甲状腺肿。前者根据有无甲亢症状分为毒性和非毒性;后者包括桥本甲状腺炎和突眼性甲状腺肿,均属自身免疫性疾病。病理上桥本甲状腺炎可见甲状腺组织被大量淋巴细胞侵润,并形成淋巴滤泡,而突眼性甲状腺肿以滤泡增生为主要特征。
ct表现:甲状腺弥漫性增大,边缘清楚,密度均匀或不甚均匀,增强扫描有强化。结节状甲状腺肿尚可见在增大的甲状腺组织内有多发结节状低密度或高密度区,并常多发性钙化。
作者: zhao_bin2008    时间: 2010-1-4 02:49
甲状腺腺瘤或癌,结合增强或彩超
作者: 黑白光影    时间: 2010-1-4 06:24
右甲状腺占位,建议增强。
作者: yuhongjun    时间: 2010-1-4 15:10
右甲状腺占位,建议增强。
作者: zxl51642    时间: 2010-1-4 19:00
甲状腺右侧叶占位,定性困难,建议增强。
作者: 随光逐影    时间: 2010-1-5 06:00
右侧甲状腺低密度病灶,性质待定;建议行进一步检查。




欢迎光临 医影在线 (http://bbs.radida.com/bbs/) Powered by Discuz! X3.2