医影在线

标题: CT23951:颅脑外伤 [打印本页]

作者: 天目山人    时间: 2010-1-3 20:37
标题: CT23951:颅脑外伤
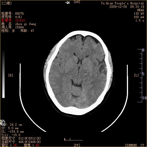
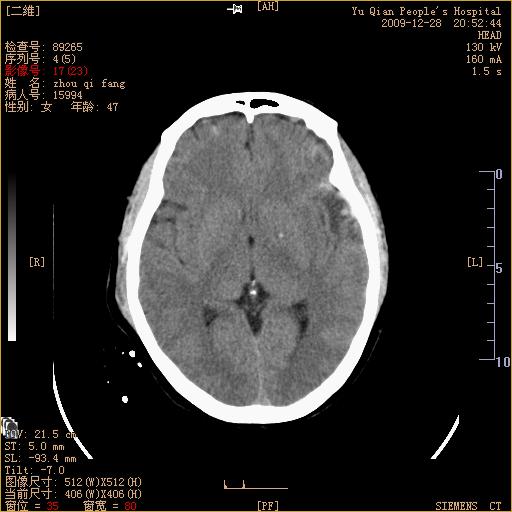
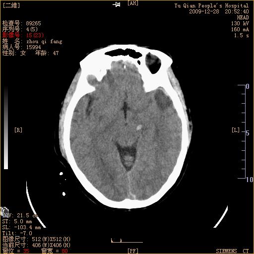
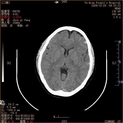
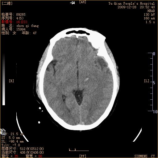
头部外伤后1天   请看看左侧丘脑外侧原是否为小血肿?(两天表现大致相仿。)谢谢











[本贴已被 jiajie 于 2010-1-3 16:57:14 修改过]

作者: 江广1996    时间: 2010-1-3 21:10
高密度周围没有水肿,不考虑是出血。患都有没有症状?先天性疾病,血管畸形什么的要考虑。
作者: 513ytb    时间: 2010-1-3 21:34
出血
作者: 帅河马    时间: 2010-1-3 21:48
结合病史首先还是考虑出血,治疗后复查。
作者: xihan    时间: 2010-1-3 23:17
高密度周围没有水肿,不考虑是出血.
作者: 黄沙满天    时间: 2010-1-3 23:32
不考虑是出血
作者: 卜一    时间: 2010-1-3 23:48
不好说,建议mri!
作者: sunbin    时间: 2010-1-4 00:45
建议mri检查。
作者: shibing    时间: 2010-1-4 01:18
不考虑是出血
作者: cgf    时间: 2010-1-4 02:03
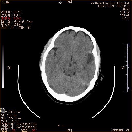
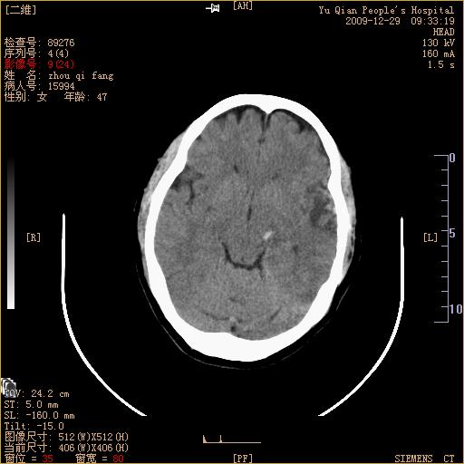
考虑:出血 最后一幅周围还是有水肿的
建议mri  ct薄层扫描检查对鉴别诊断会有帮助的
作者: 天海    时间: 2010-1-4 02:05
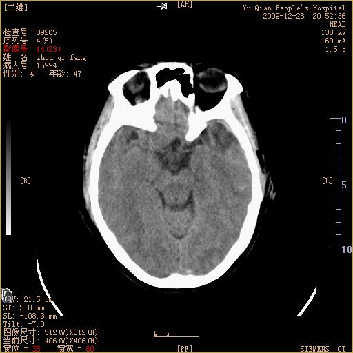
左颞叶前外部见片状挫裂伤,左丘脑小血肿;颅板下见多发小片状血肿影,两侧额部见少量蛛网膜下腔出血,
作者: 37度    时间: 2010-1-4 02:22
建议短期复查或mri检查。
作者: zhao_bin2008    时间: 2010-1-4 02:34
左额叶颅内板下也有一高密度灶。。。考虑多发小灶性出血(挫裂伤)。。。复查后再定
作者: 黄毛小子    时间: 2010-1-4 03:21
标题: 回复:ct23951:颅脑外伤
以下是引用cgf在2010-1-3 18:03:00的发言:[br]考虑:出血 最后一幅周围还是有水肿的[br]建议mri  ct薄层扫描检查对鉴别诊断会有帮助的

作者: 影像孺子牛    时间: 2010-1-4 05:22
不好说,建议mri!
作者: 黑白光影    时间: 2010-1-4 06:13
不好说,建议mri。
作者: 鹰    时间: 2010-1-4 06:27
不好定。同时左侧裂池形态异常,左侧豆状核点状高密度,第四幅右额叶稍高密度影,最后一幅左额叶颅骨内板下方小片状高密度影。复查。
作者: zzzzffff    时间: 2010-1-4 06:38
首先还是考虑出血
作者: 吴医师    时间: 2010-1-4 06:57
向大家学习
作者: yuhongjun    时间: 2010-1-4 15:02
建议短期复查或mri检查。
作者: zxl51642    时间: 2010-1-4 19:10
标题: 回复:ct23951:颅脑外伤
以下是引用zhao_bin2008在2010-1-3 18:34:00的发言:[br]左额叶颅内板下也有一高密度灶。。。考虑多发小灶性出血(挫裂伤)。。。复查后再定

作者: 随光逐影    时间: 2010-1-5 06:09
考虑灶性出血;建议必要时行mri检查。




欢迎光临 医影在线 (http://bbs.radida.com/bbs/) Powered by Discuz! X3.2