











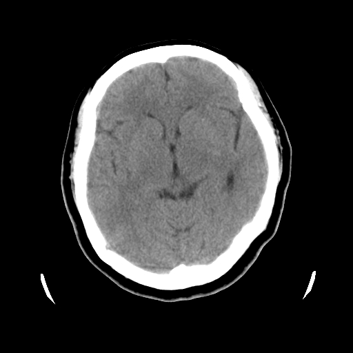
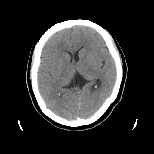
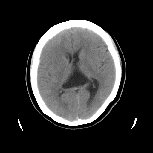
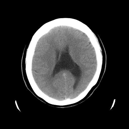
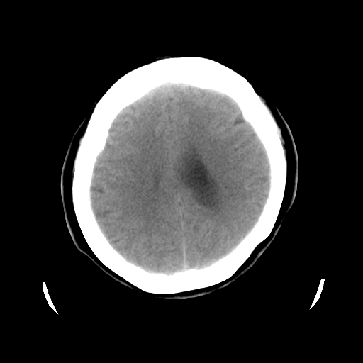
以下是引用cgf在2010-1-3 17:53:00的发言:[br]此病例多考虑:透明隔发育异常 透明隔囊肿可能性大;右侧基底节区(尾状核头)小片状低密度影考虑陈旧性腔梗[br][br]透明隔发育异常:包括透明隔间腔(第五脑室)、韦氏腔(第六脑室)、透明隔囊肿、透明隔缺如;前两者属于正常变异,后两者属于发育畸形;[br]透明隔间腔向下扩张形成韦氏腔;[br]有时透明隔间腔与透明隔囊肿很难鉴别;透明隔间腔间距一般不超过0.5cm,间距大于0.5cm时应考虑透明隔囊肿;[br]透明隔缺如为两侧脑室间隔缺如、融合成单脑室畸形,可伴有智力发育异常;[br][br]
以下是引用liaoqiang在2010-1-3 16:04:00的发言:[br]考虑侧脑室脉络丛囊肿?不除外变异的威氏腔。
以下是引用江广1996在2010-1-3 20:17:00的发言:[br]考虑变异的威氏腔。不除外侧脑室脉络丛囊肿.[br]透明隔囊肿大多数偏前,在侧脑室前角之间。
| 欢迎光临 医影在线 (http://bbs.radida.com/bbs/) | Powered by Discuz! X3.2 |