医影在线

标题: CT23964:45岁,男性,发现右下腹包块半年,余病史不详,请 [打印本页]

作者: zoufeixiang    时间: 2010-1-4 20:15
标题: CT23964:45岁,男性,发现右下腹包块半年,余病史不详,请












[本贴已被 jiajie 于 2010-1-4 21:37:07 修改过]

作者: wwg65578302    时间: 2010-1-4 20:22
前腹壁肿块,囊性变,考虑神经源性肿瘤,神经鞘瘤
作者: 2008boyBOY    时间: 2010-1-4 22:23
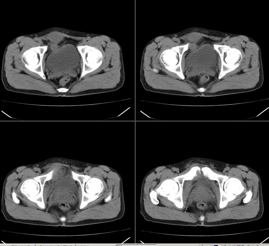
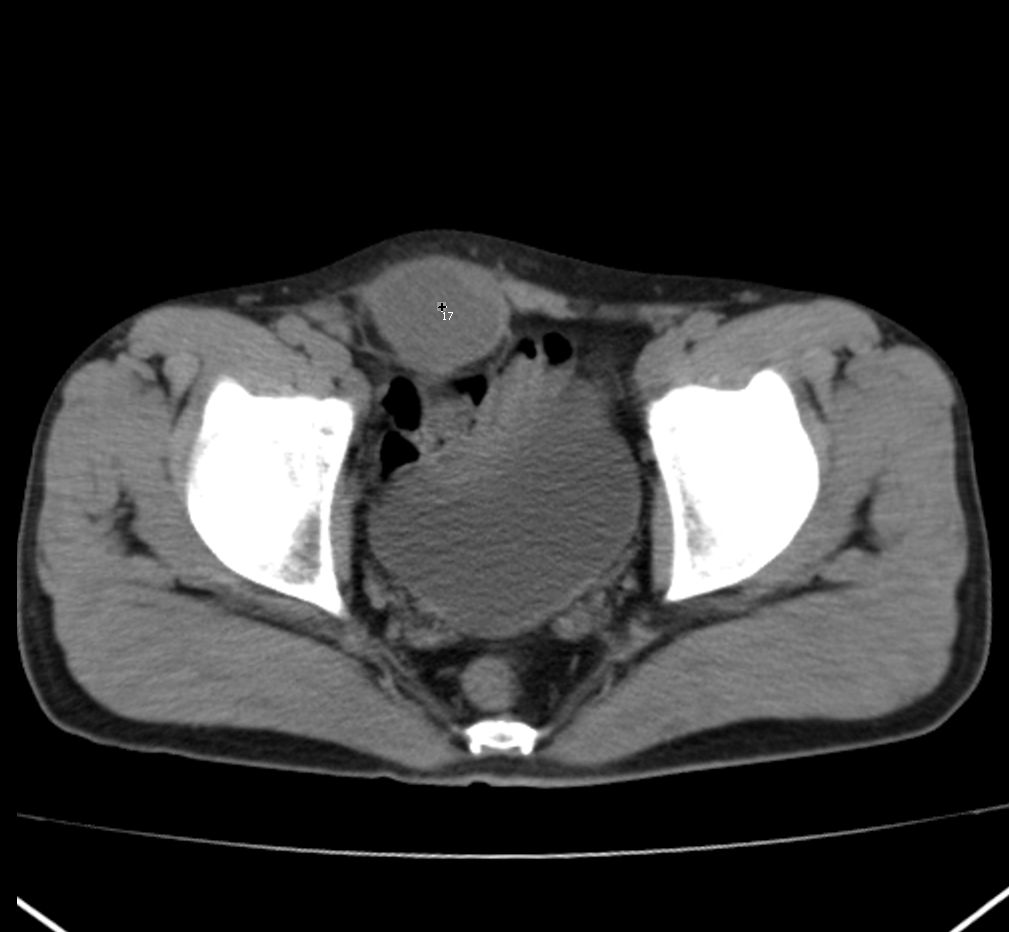
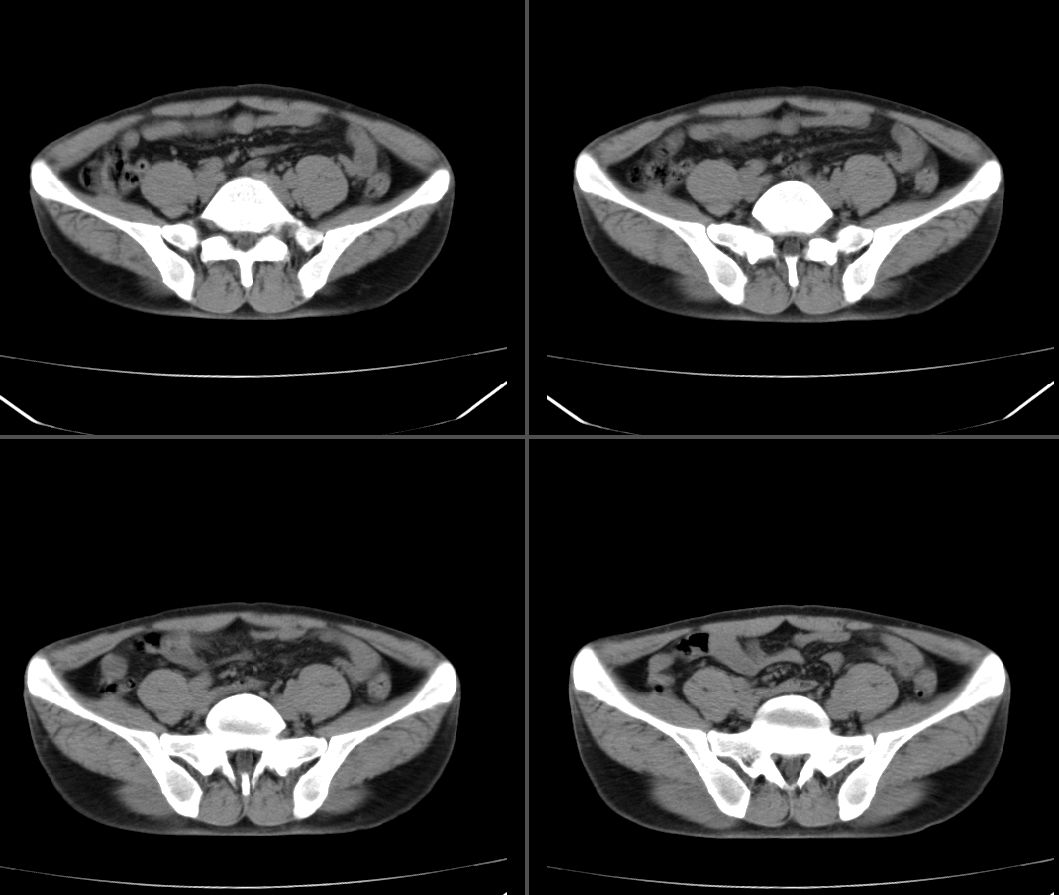
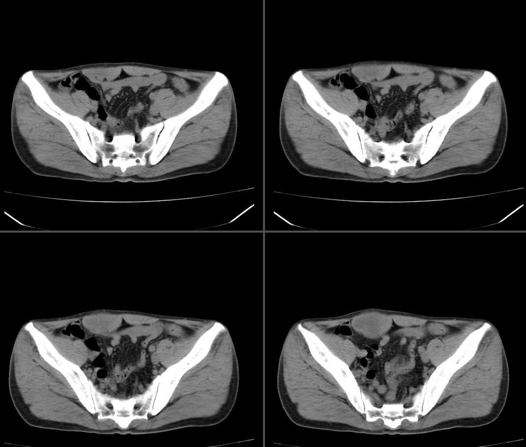
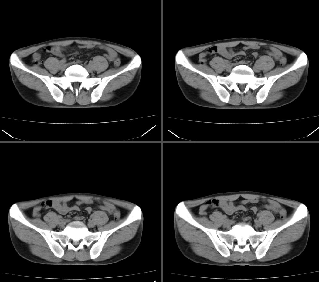
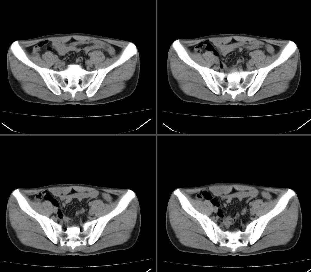
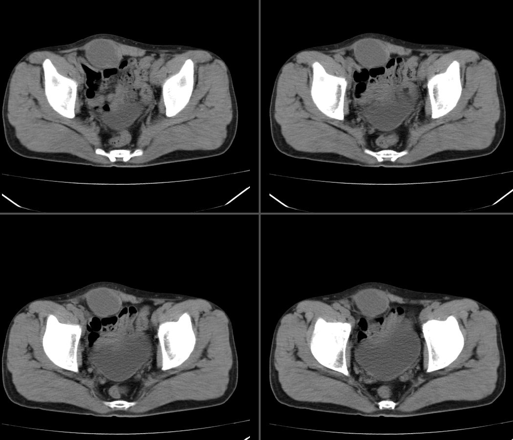
定位:右腹直肌鞘下部
病灶特点:分界清,边缘光整,囊性密度,病灶成长椭圆形,病灶处腹直肌受压萎缩,病灶与膀胱处有相似密度管状灶(该征象因肠道未作准备,不能确切)
拟诊:1.淋巴管囊肿
      2.神经纤维鞘瘤
      3.脐尿管囊肿
建议:1.磁共振扫描,2.肠道准备后,增强扫描,3.穿刺活检
作者: zhengfaming    时间: 2010-1-4 22:48
定位:右腹直肌鞘下部
病灶特点:分界清,边缘光整,囊性密度,病灶成长椭圆形,病灶处腹直肌受压萎缩,病灶与膀胱处有相似密度管状灶(该征象因肠道未作准备,不能确切)
拟诊:1.淋巴管囊肿
      2.神经纤维鞘瘤
      3.脐尿管囊肿
      4.肠系膜囊肿
建议:1.磁共振扫描,2.肠道准备后,增强扫描,3.穿刺活检
作者: shibing    时间: 2010-1-4 23:18
定位:右腹直肌鞘下部
病灶特点:分界清,边缘光整,囊性密度,病灶成长椭圆形,病灶处腹直肌受压萎缩,病灶与膀胱处有相似密度管状灶(该征象因肠道未作准备,不能确切)
拟诊:1.淋巴管囊肿
      2.神经纤维鞘瘤
      3.脐尿管囊肿
      4.肠系膜囊肿
建议:1.磁共振扫描,2.肠道准备后,增强扫描,3.穿刺活检
作者: zxl51642    时间: 2010-1-4 23:32
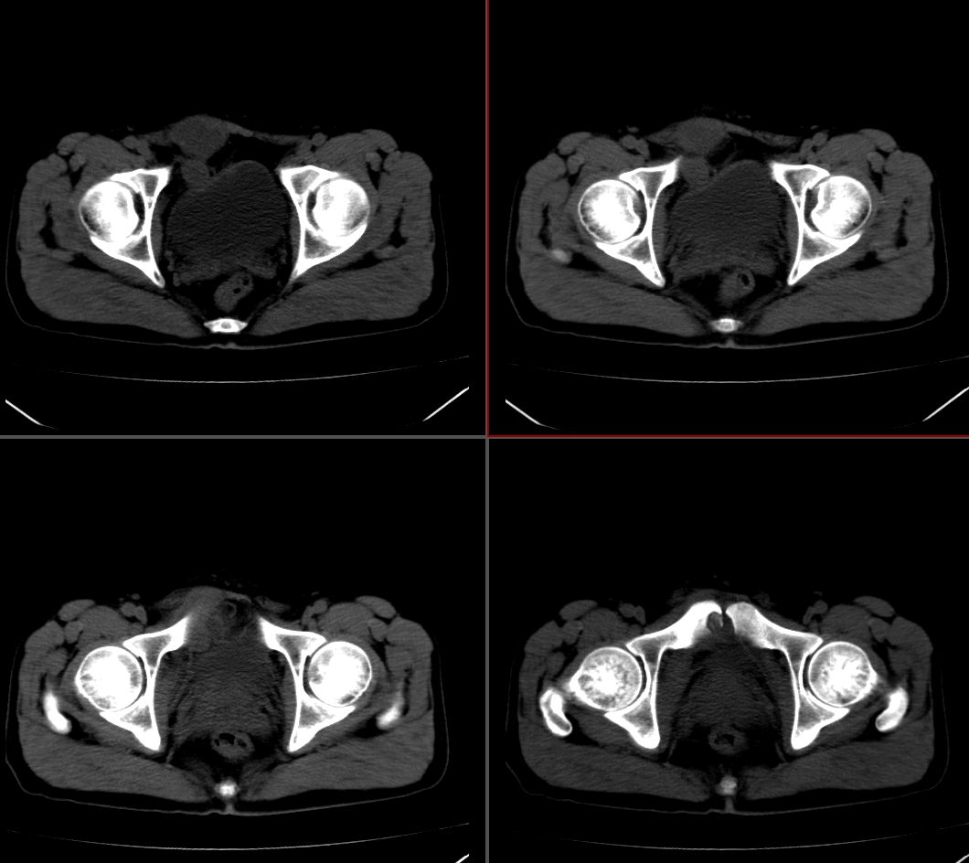
右腹直肌腱鞘来源,韧带样纤维瘤可能性大,病变有侵袭性,右侧耻骨联合有骨质缺损。
鉴别:肌纤维瘤样增生,神经源性病变。
作者: muzi888    时间: 2010-1-5 00:53
前腹壁肿块,囊性变,右侧耻骨联合有骨质缺损。
考虑神经源性肿瘤,神经鞘瘤
作者: 黄毛小子    时间: 2010-1-5 03:18
学习了
作者: 骄阳    时间: 2010-1-5 03:35
学习了
作者: 海琅    时间: 2010-1-5 04:34
都有道理,等病理结果出来,告诉我们一声。
作者: xihan    时间: 2010-1-5 05:02
右腹直肌腱鞘来源,耻骨联合有骨质缺损,考虑神经源性肿瘤
作者: pujunzhi    时间: 2010-1-5 05:48
考虑 1脐尿管囊肿 2神经鞘瘤囊变。
作者: 卜一    时间: 2010-1-5 05:54
右腹直肌腱鞘来源-腱鞘囊肿?神经源性肿瘤?
作者: 影像孺子牛    时间: 2010-1-5 06:44
支持:右腹直肌腱鞘来源-腱鞘囊肿?神经源性肿瘤?
作者: 随光逐影    时间: 2010-1-5 16:46
标题: 回复:ct23964:45岁,男性,发现右下腹包块半年,余病史不
以下是引用卜一在2010-1-4 21:54:00的发言:[br]右腹直肌腱鞘来源-腱鞘囊肿?神经源性肿瘤?

作者: 黑白光影    时间: 2010-1-5 18:33
标题: 回复:ct23964:45岁,男性,发现右下腹包块半年,余病史不
以下是引用卜一在2010-1-4 21:54:00的发言:[br]右腹直肌腱鞘来源-腱鞘囊肿?神经源性肿瘤?





欢迎光临 医影在线 (http://bbs.radida.com/bbs/) Powered by Discuz! X3.2