医影在线

标题: CT23965:无外伤史,下腹痛 [打印本页]

作者: jia119    时间: 2010-1-4 20:27
标题: CT23965:无外伤史,下腹痛
































[本贴已被 jiajie 于 2010-1-4 21:38:42 修改过]

作者: lirenxiong    时间: 2010-1-4 22:24
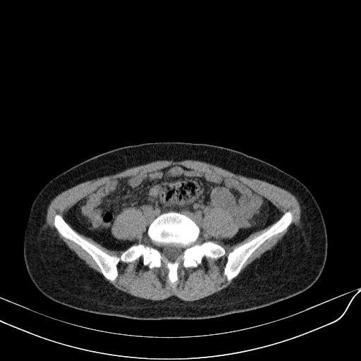
无外伤史,下腹部疼痛!---------正常
作者: zhengfaming    时间: 2010-1-4 22:43
未见明显异常改变
作者: 科室第一人    时间: 2010-1-4 23:00
复查
作者: shibing    时间: 2010-1-4 23:13
未见明显异常改变
作者: zxl51642    时间: 2010-1-4 23:47
标题: 回复:wu wai shang shi .xia fu teng tong.
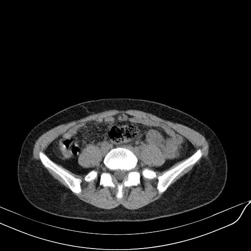
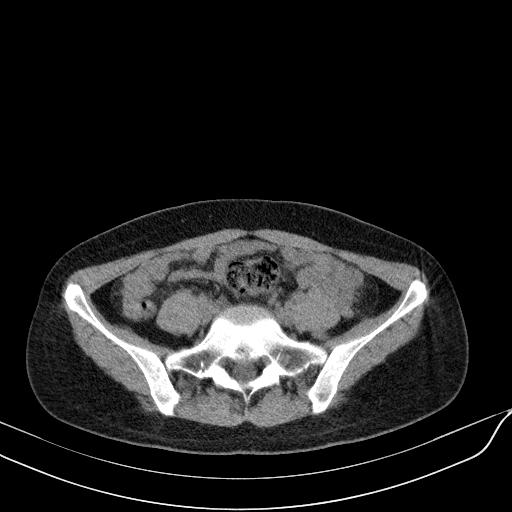
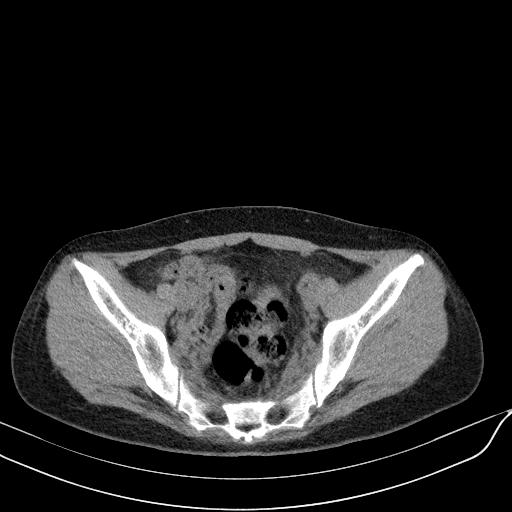
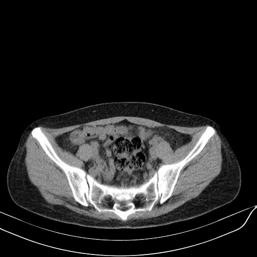
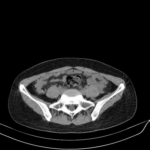
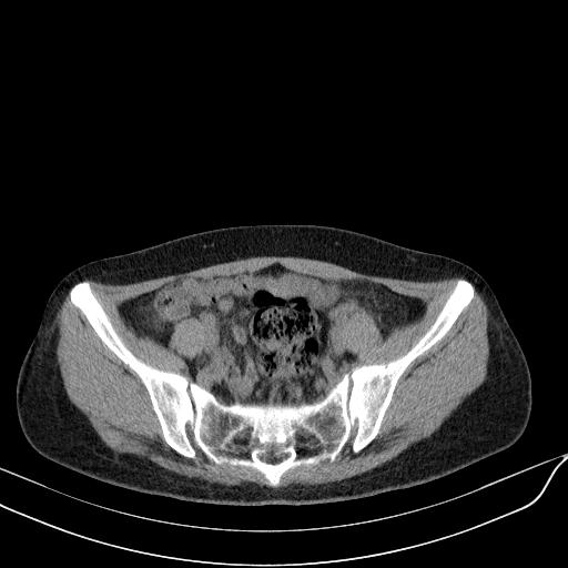
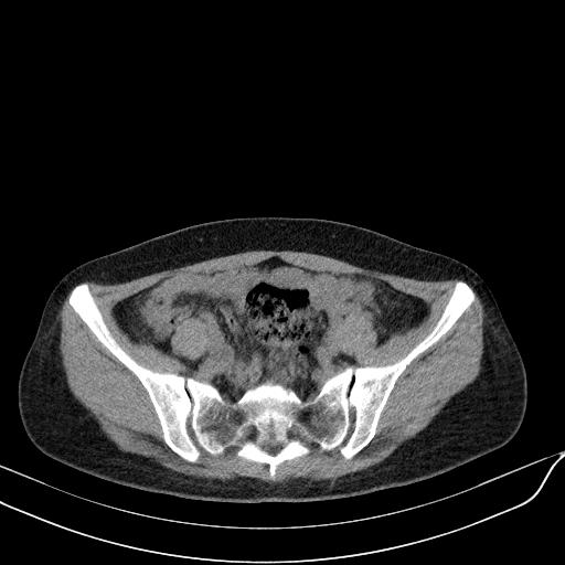
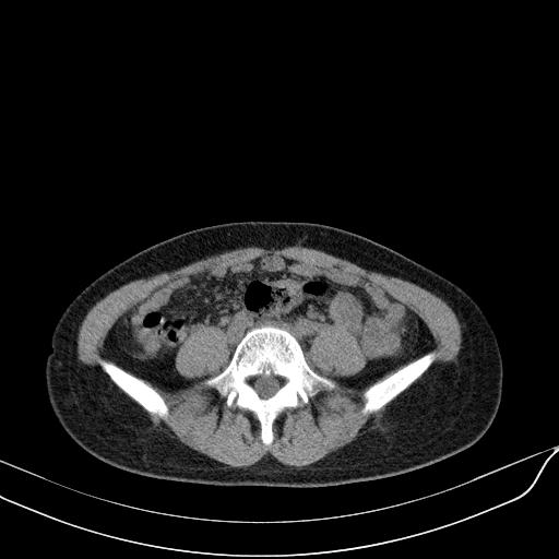
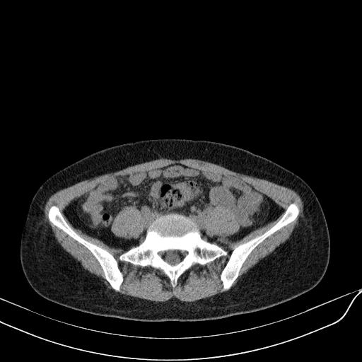
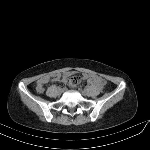
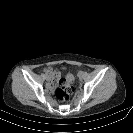
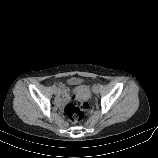
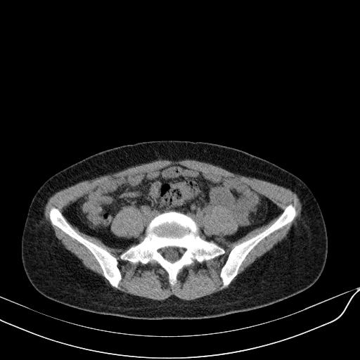
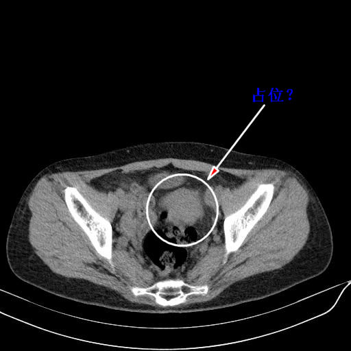
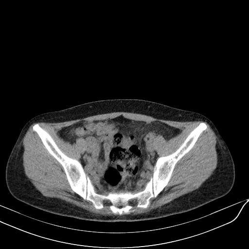
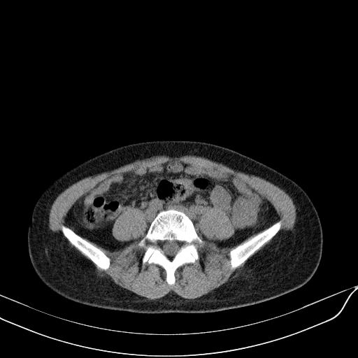
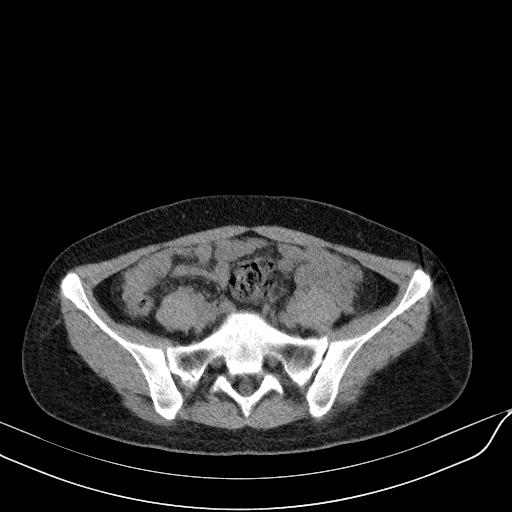
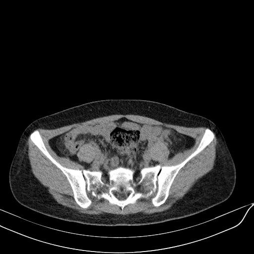
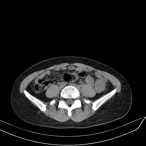
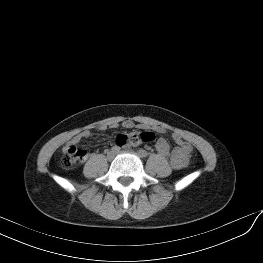
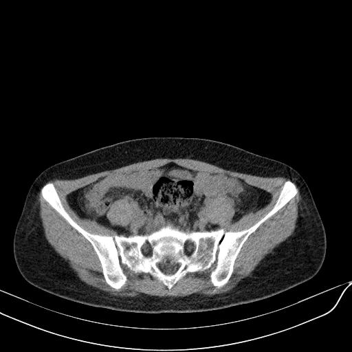
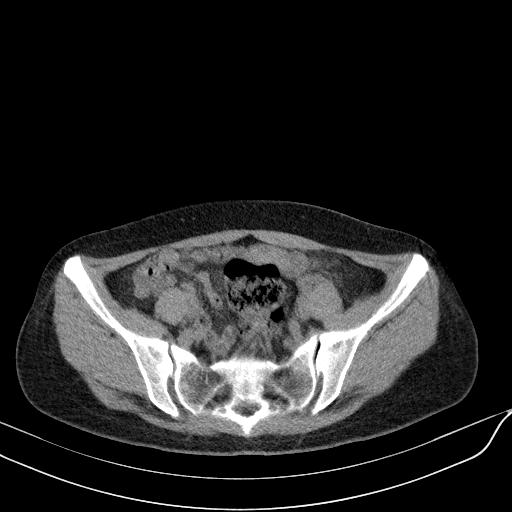
肠道未准备,继续往下扫,乙状结肠占位不排除。建议钡灌或结肠镜检查。
作者: muzi888    时间: 2010-1-5 00:48
未见明显异常改变
作者: 黄毛小子    时间: 2010-1-5 03:09
支持大家
作者: 海琅    时间: 2010-1-5 04:21
好像有肿瘤。
作者: yangyudong333    时间: 2010-1-5 04:46
未见明显异常改变
作者: xihan    时间: 2010-1-5 05:04
乙状结肠占位不排除
作者: zhao_bin2008    时间: 2010-1-5 05:14
未见明显异常改变,做个气钡双重造影除外一下结肠病变,无外伤史为啥不常规喝泛影葡胺水对比剂再扫ct呢?
作者: 卜一    时间: 2010-1-5 05:57
未见明显异常改变!必要时行钡剂灌肠进一步检查!
作者: 影像孺子牛    时间: 2010-1-5 06:56
扫描时应做肠道准备,口服稀释造影剂。
作者: 随光逐影    时间: 2010-1-5 16:49
回肠间质瘤?
作者: LIAOQIANG    时间: 2010-1-5 17:50
未见明显异常改变
作者: 黑白光影    时间: 2010-1-5 18:32
肠道肿瘤,建议行钡剂灌肠检查。




欢迎光临 医影在线 (http://bbs.radida.com/bbs/) Powered by Discuz! X3.2