医影在线

标题: CT23966:女,34岁,近一月头痛、意识障碍 [打印本页]

作者: sdzyy    时间: 2010-1-4 20:43
标题: CT23966:女,34岁,近一月头痛、意识障碍









[本贴已被 jiajie 于 2010-1-4 21:39:04 修改过]

作者: lirenxiong    时间: 2010-1-4 22:21
脑瘤,强化/mri
作者: zhengfaming    时间: 2010-1-4 22:54
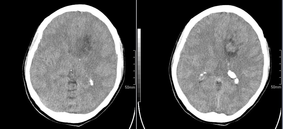
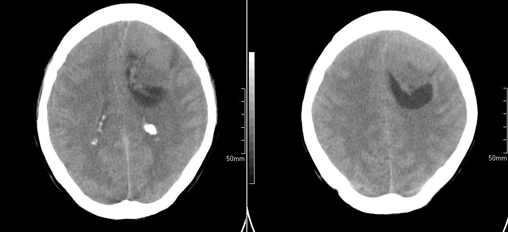
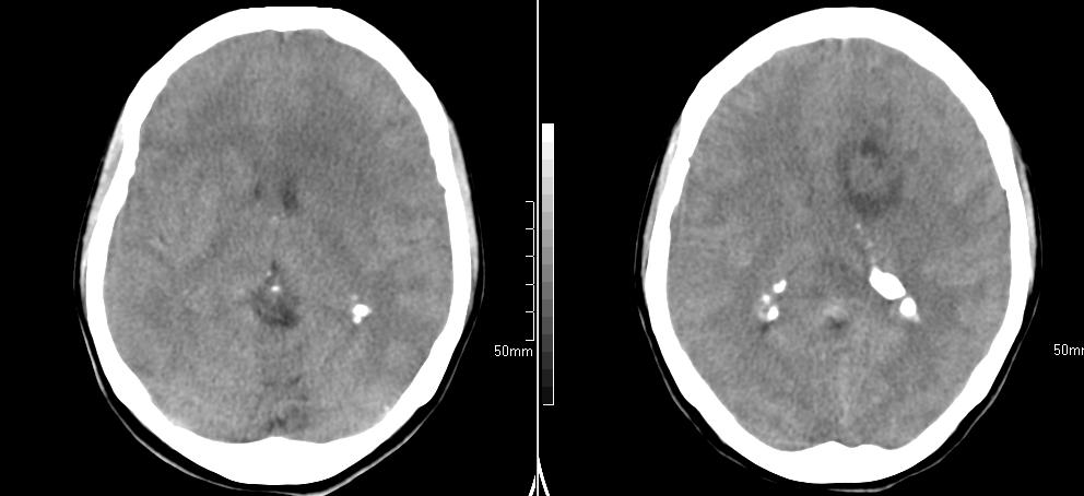
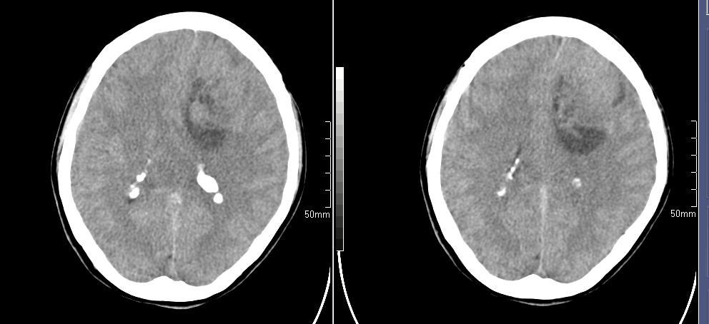
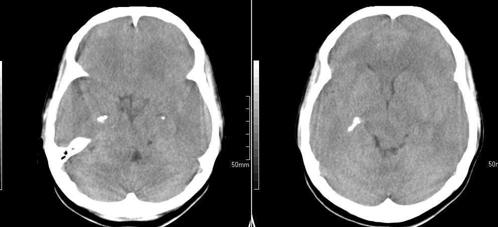
左侧额叶见不规则软组织影,部分囊变,病变略呈等密度,占位效应明显,考虑血母可能。脑膜瘤不除外
建议增强
作者: 科室第一人    时间: 2010-1-4 22:58
左侧额叶肿瘤性病变 建议mri
作者: shibing    时间: 2010-1-4 23:16
左侧额叶肿瘤性病变 建议mri
作者: 影象小泰斗    时间: 2010-1-4 23:18
左侧额叶肿瘤样病变,成等密度,其内可见囊变,肿瘤似与大脑镰相连,周围水肿不明显。考虑脑膜瘤可能!建议强化或mri。
作者: muzi888    时间: 2010-1-4 23:25
左侧额叶肿瘤性病变 建议mri  
   
支持!
作者: zxl51642    时间: 2010-1-4 23:49
低分化星形细胞瘤或胶质母可能性大。建议增强。
作者: linyiming    时间: 2010-1-5 02:20
低分化星形细胞瘤或少枝突细胞瘤可能性大。建议增强。
作者: 道哥    时间: 2010-1-5 02:47
左侧额叶肿瘤样病变,成等密度,其内可见囊变,肿瘤似与大脑镰相连,周围水肿不明显。考虑脑膜瘤可能!建议强化或mri。
作者: 黄毛小子    时间: 2010-1-5 03:08
标题: 回复:女,34岁,近一月头痛、意识障碍
以下是引用zxl51642在2010-1-4 15:49:00的发言:[br]低分化星形细胞瘤或胶质母可能性大。建议增强。

作者: 听海观潮20    时间: 2010-1-5 03:17
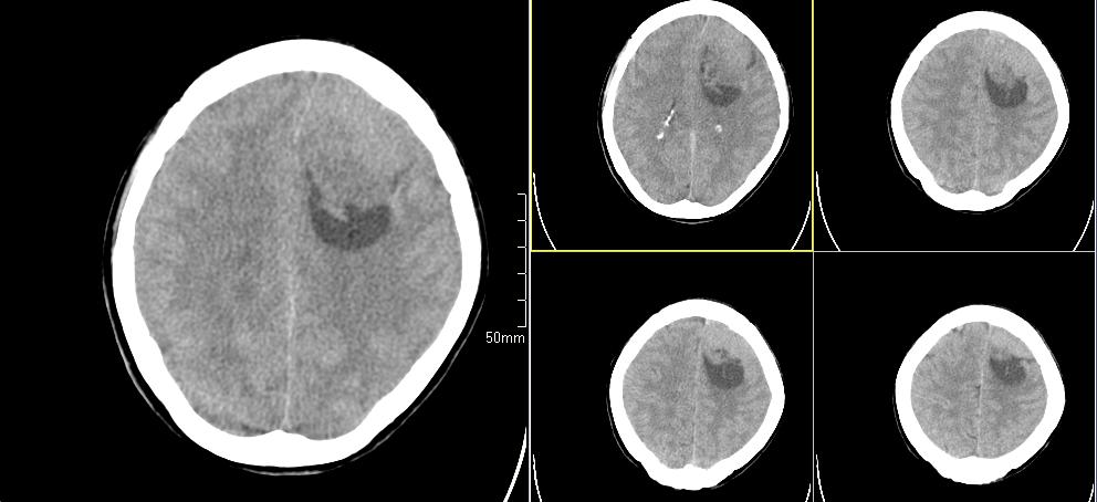
左额叶囊实性肿块,实性部分呈等密度,密度不均,考虑胶质瘤可能性大,脑膜瘤及室管膜瘤不除外,建议mri增强扫描。
作者: 海琅    时间: 2010-1-5 04:16
考虑胶质瘤,建议增强
作者: yangyudong333    时间: 2010-1-5 04:44
左侧额叶肿瘤样病变,成等密度,其内可见囊变,肿瘤似与大脑镰相连,周围水肿不明显。考虑脑膜瘤可能!建议强化或mri。
作者: xihan    时间: 2010-1-5 05:06
考虑脑膜瘤可能!
作者: 卜一    时间: 2010-1-5 06:00
低分化星形细胞瘤或少枝突细胞瘤可能性大。建议增强。支持!
作者: 影像孺子牛    时间: 2010-1-5 06:58
恶性脑膜瘤可能性较大。建议mri检查。
作者: arven    时间: 2010-1-5 07:28
考虑胶质瘤
作者: dyqct    时间: 2010-1-5 15:55
左额叶低分化星形细胞瘤或胶质母可能性大。建议增强。
作者: liuyue    时间: 2010-1-5 16:16
左额叶较大等低混杂密度影,占位效应明显,首先考虑:左额叶胶质瘤。
作者: 随光逐影    时间: 2010-1-5 16:51
左侧额叶肿瘤性病变(胶质瘤?);建议行进一步检查。
作者: 黑白光影    时间: 2010-1-5 18:28
考虑胶质瘤可能,建议增强。




欢迎光临 医影在线 (http://bbs.radida.com/bbs/) Powered by Discuz! X3.2