医影在线
标题: MRI2691:读片病例2 [打印本页]
作者: forhys 时间: 2010-1-5 19:45
标题: MRI2691:读片病例2
我帮传的没看到病史!!!




























[本贴已被 forhys 于 2010-1-5 11:46:55 修改过]
[本贴已被 forhys 于 2010-1-5 11:53:52 修改过]
[本贴已被 翁志蓬 于 2010-1-6 1:27:23 修改过]
作者: 王多贵 时间: 2010-1-6 15:05
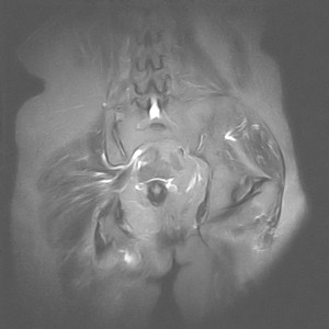
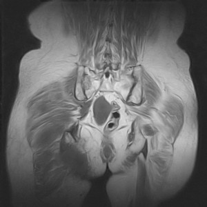
图像太差了 1、右侧臀肌旁脓肿? 建议增强 2、左侧股骨头坏死并半脱位
作者: 施明 时间: 2010-1-6 15:44
辛苦了
作者: 水过无痕 时间: 2010-1-6 20:02
1、左侧股骨头坏死并髋关节半脱位;
2、右侧臀肌感染,(可能褥疮所致)
| 欢迎光临 医影在线 (http://bbs.radida.com/bbs/) |
Powered by Discuz! X3.2 |