医影在线
标题: CT23980:男性,47岁。近来咳痰、咳血,血沉增快(40左右), [打印本页]
作者: FANSHL 时间: 2010-1-5 21:07
标题: CT23980:男性,47岁。近来咳痰、咳血,血沉增快(40左右),
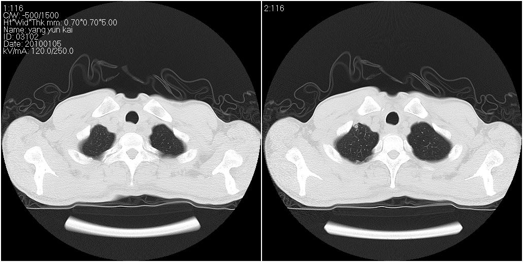
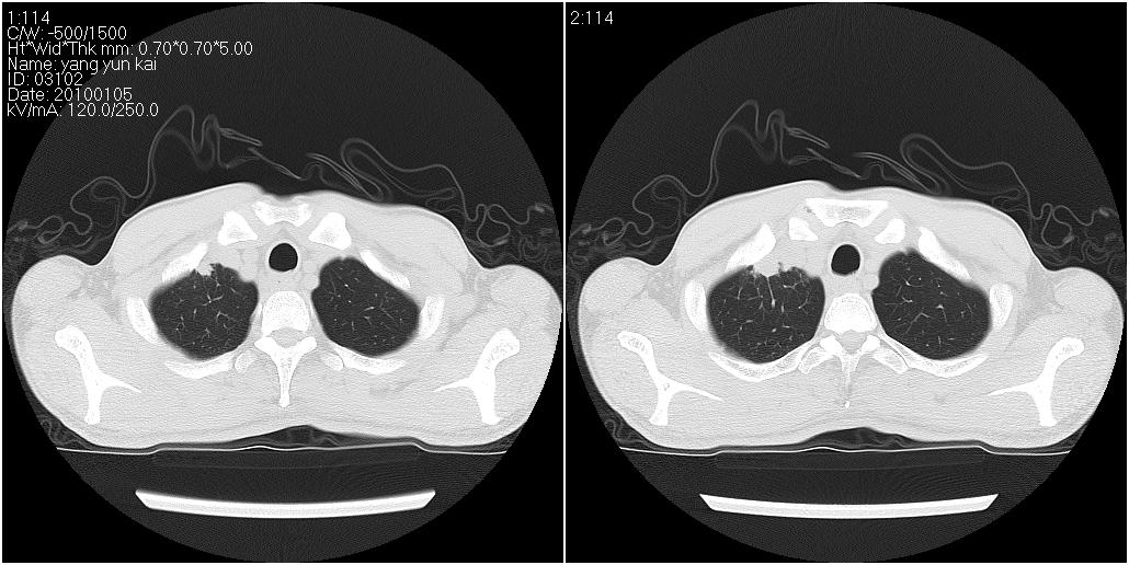
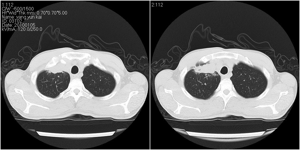
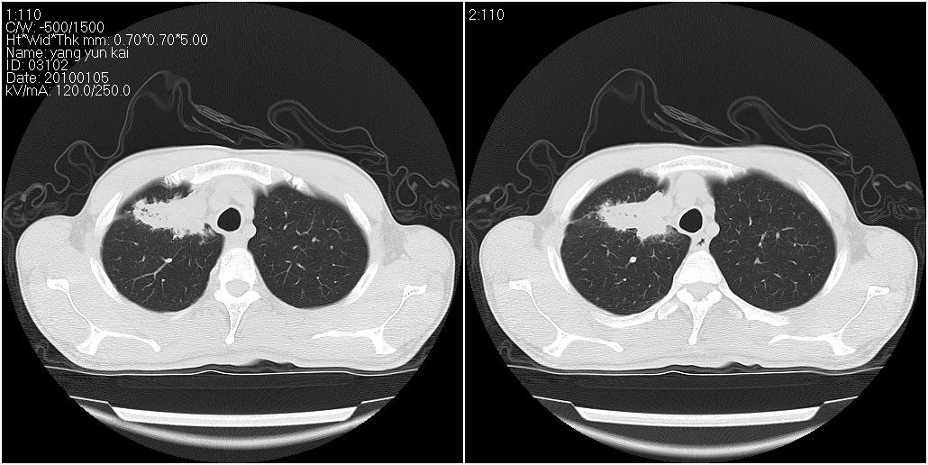
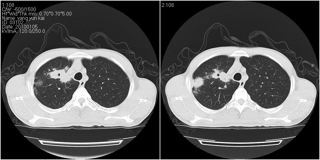
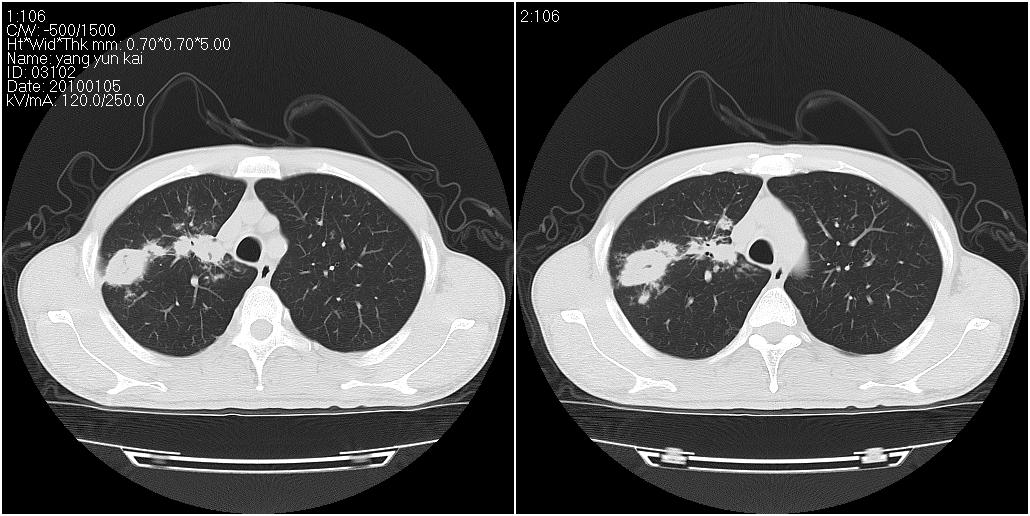
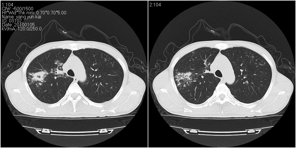
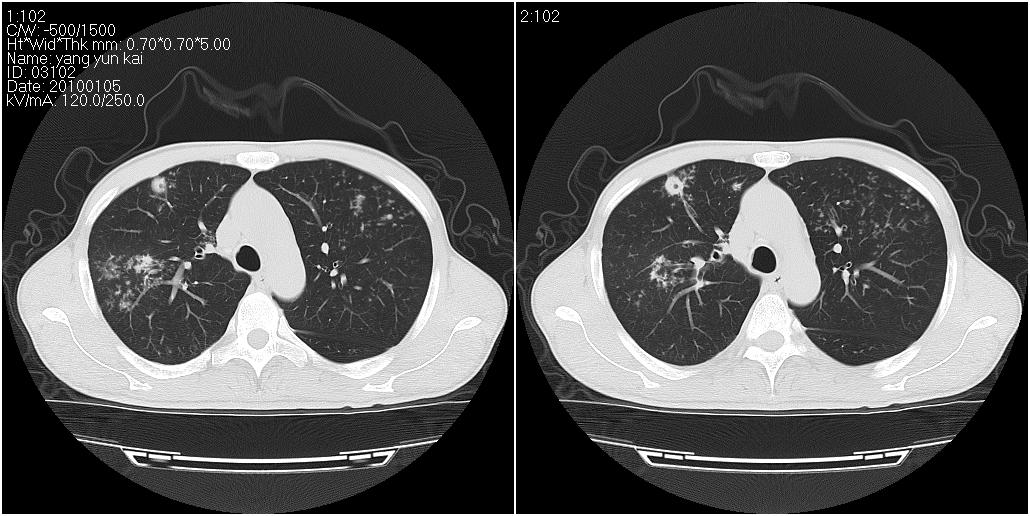
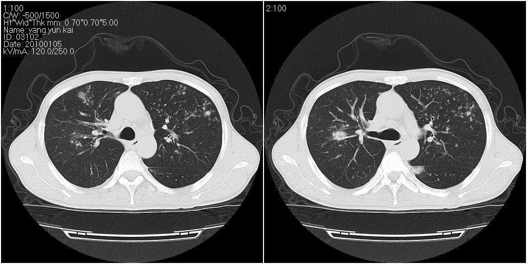
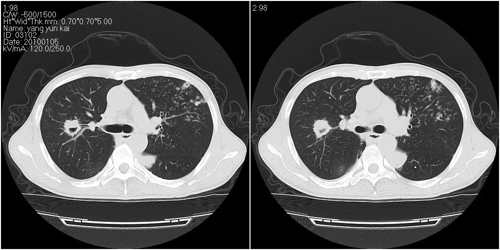
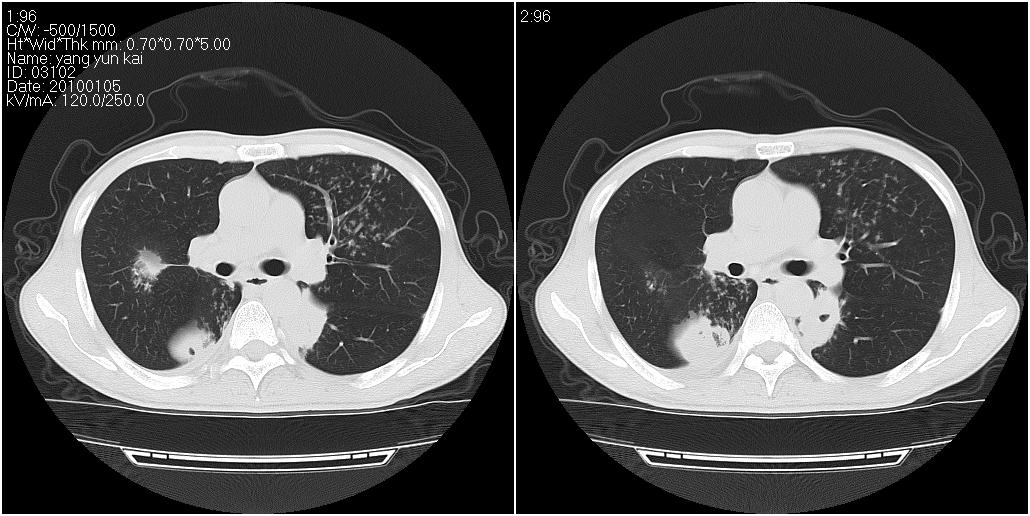
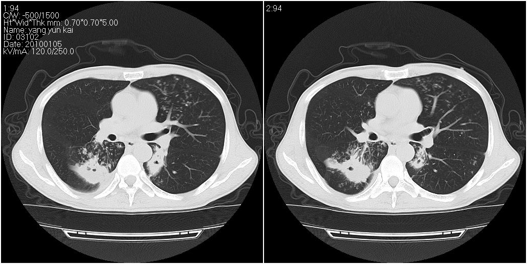
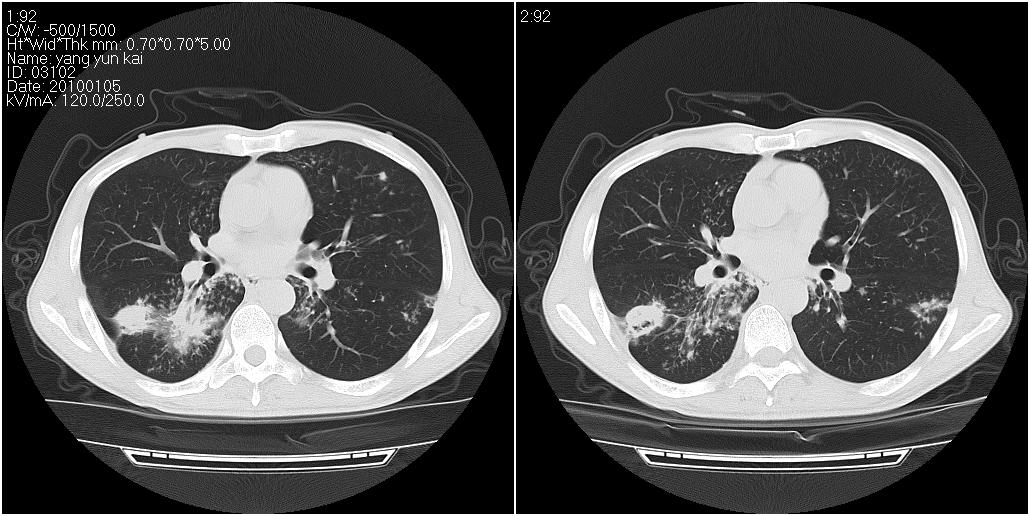
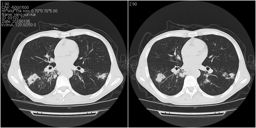
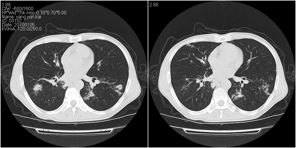
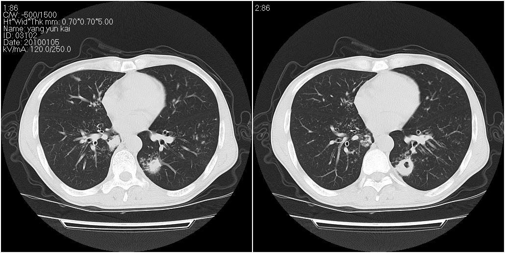
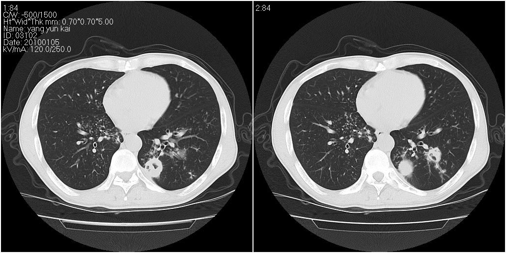
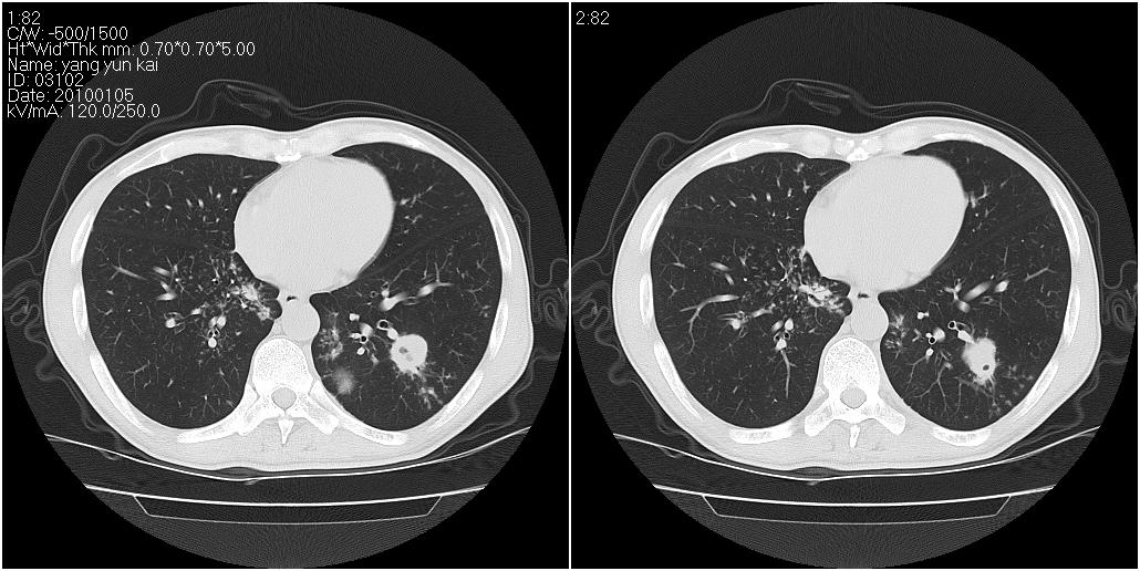
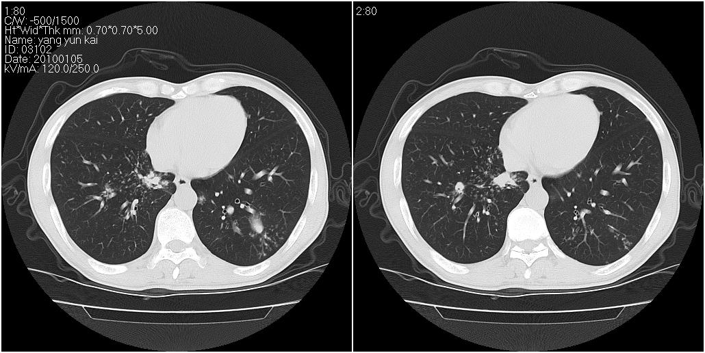
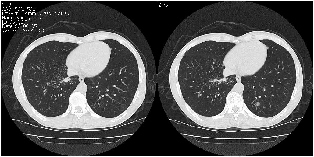
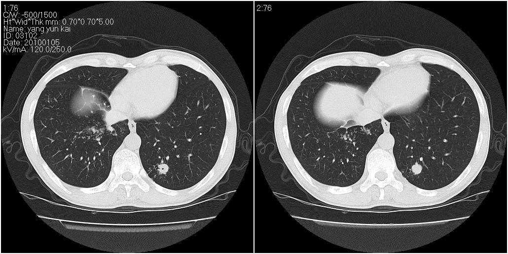
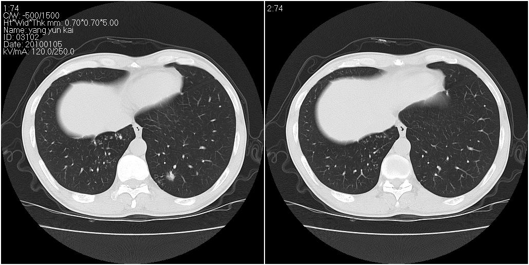
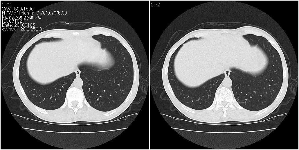
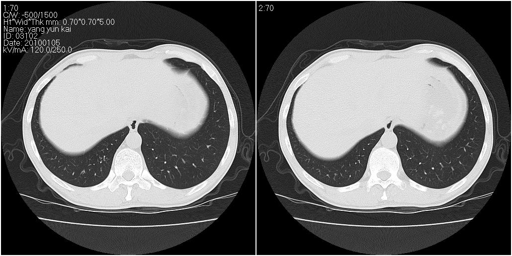
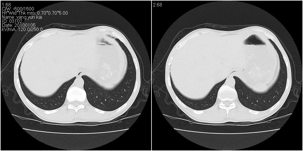
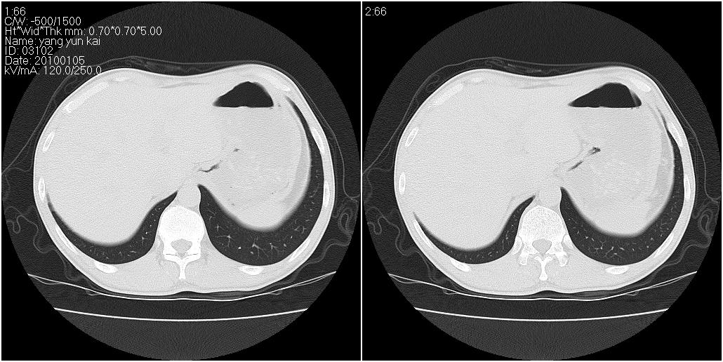
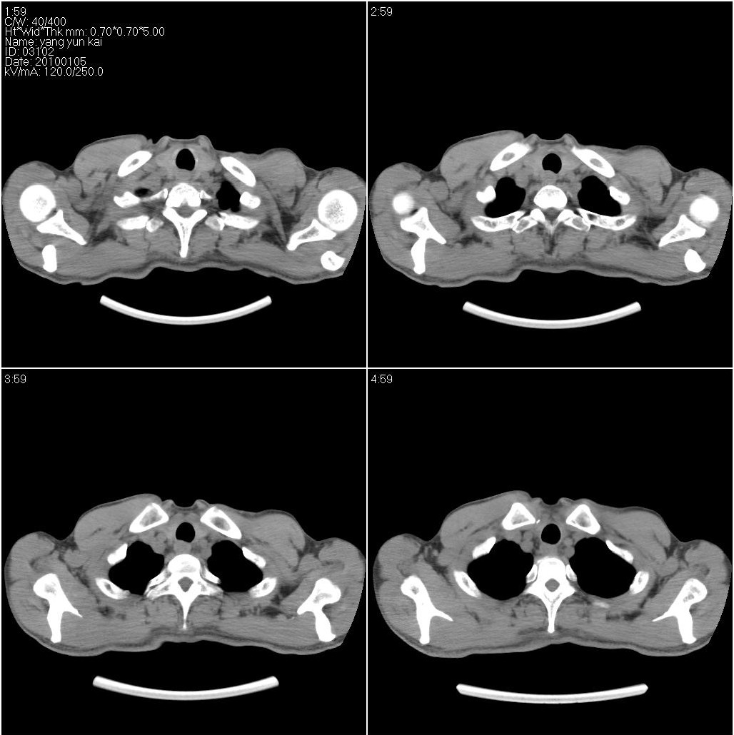
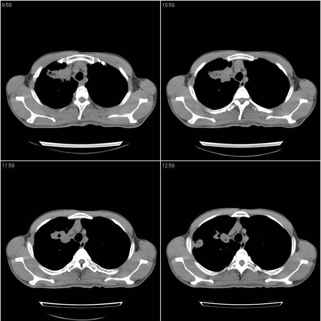
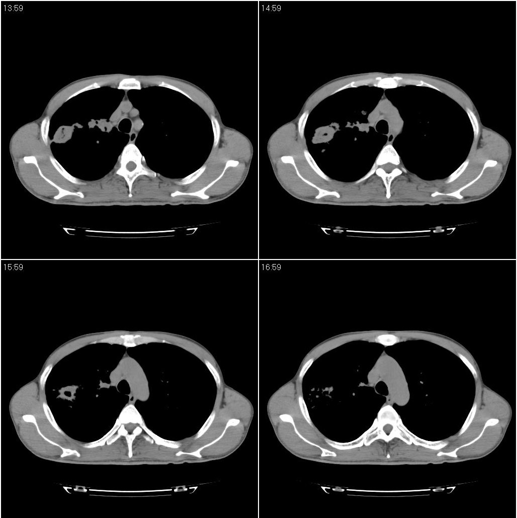
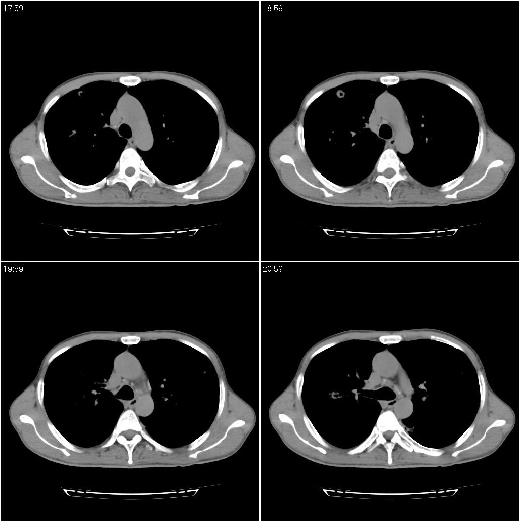
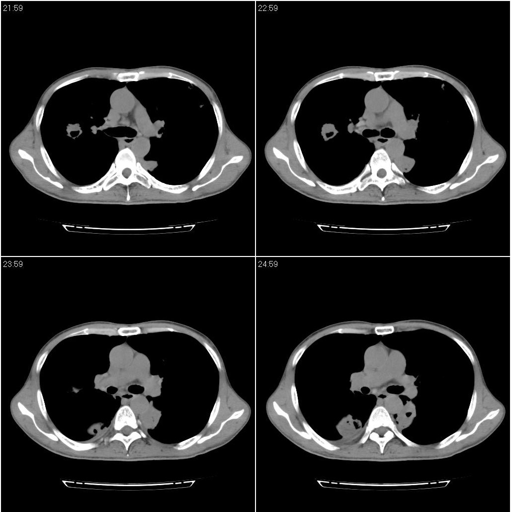
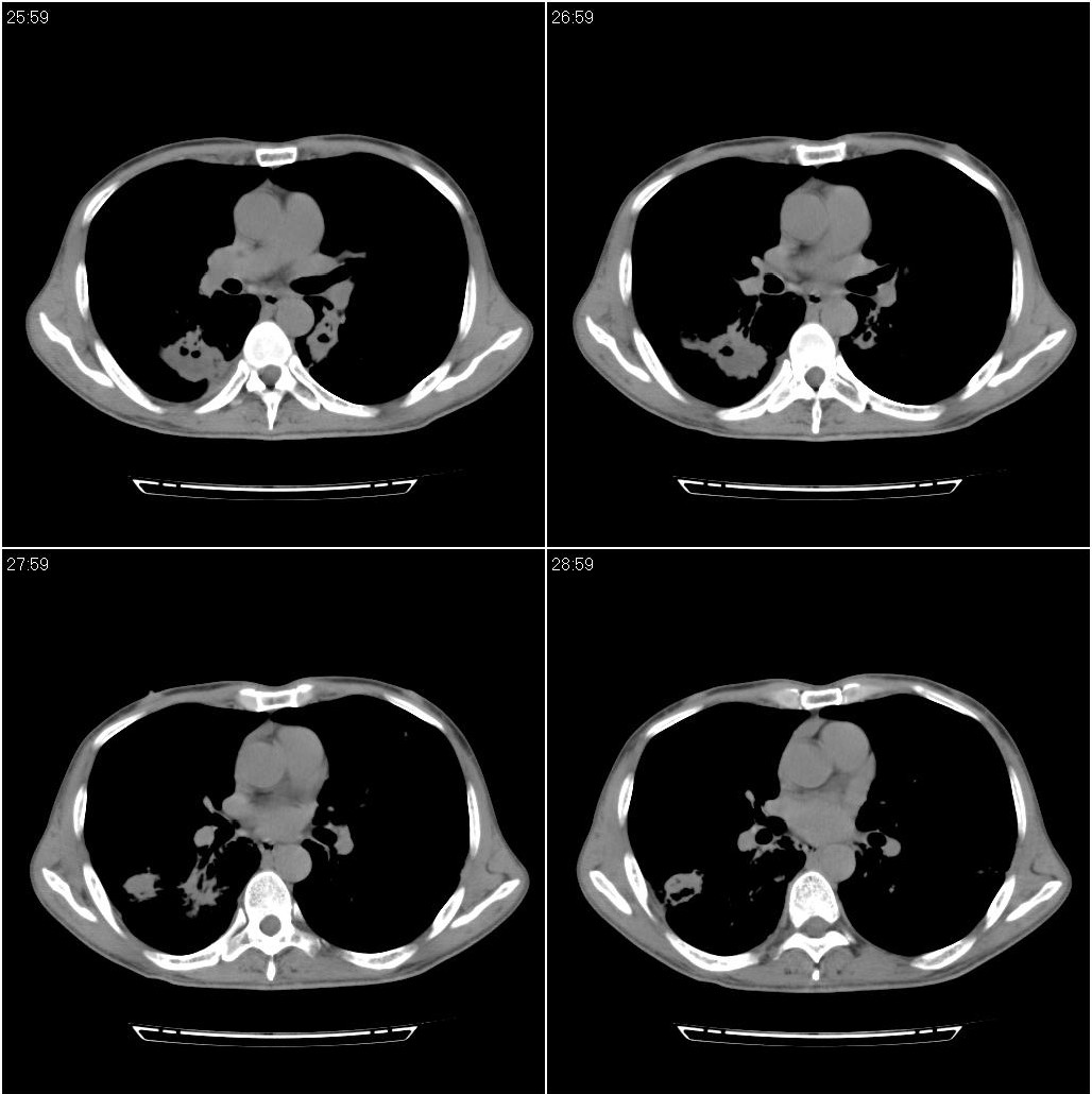
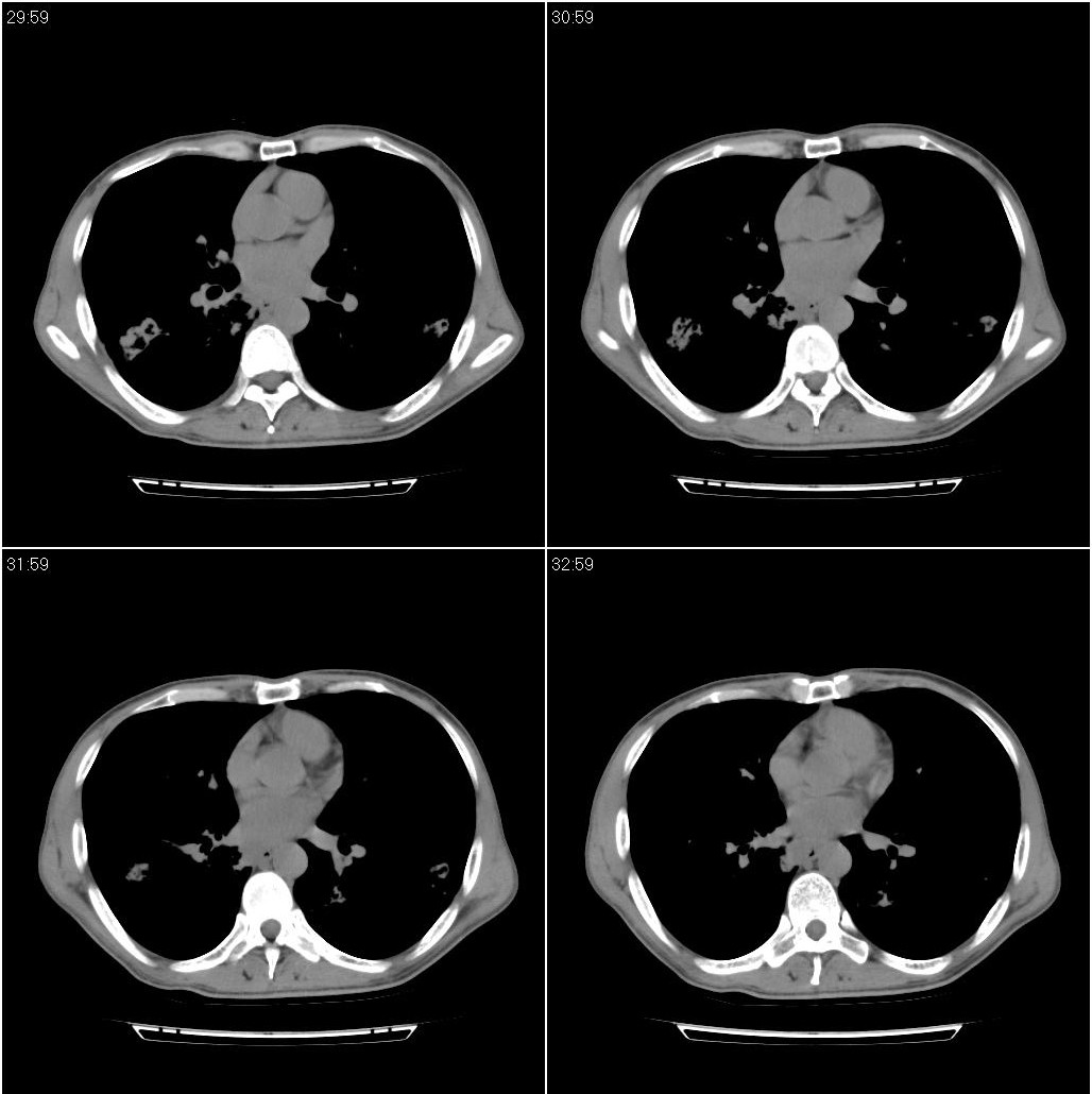
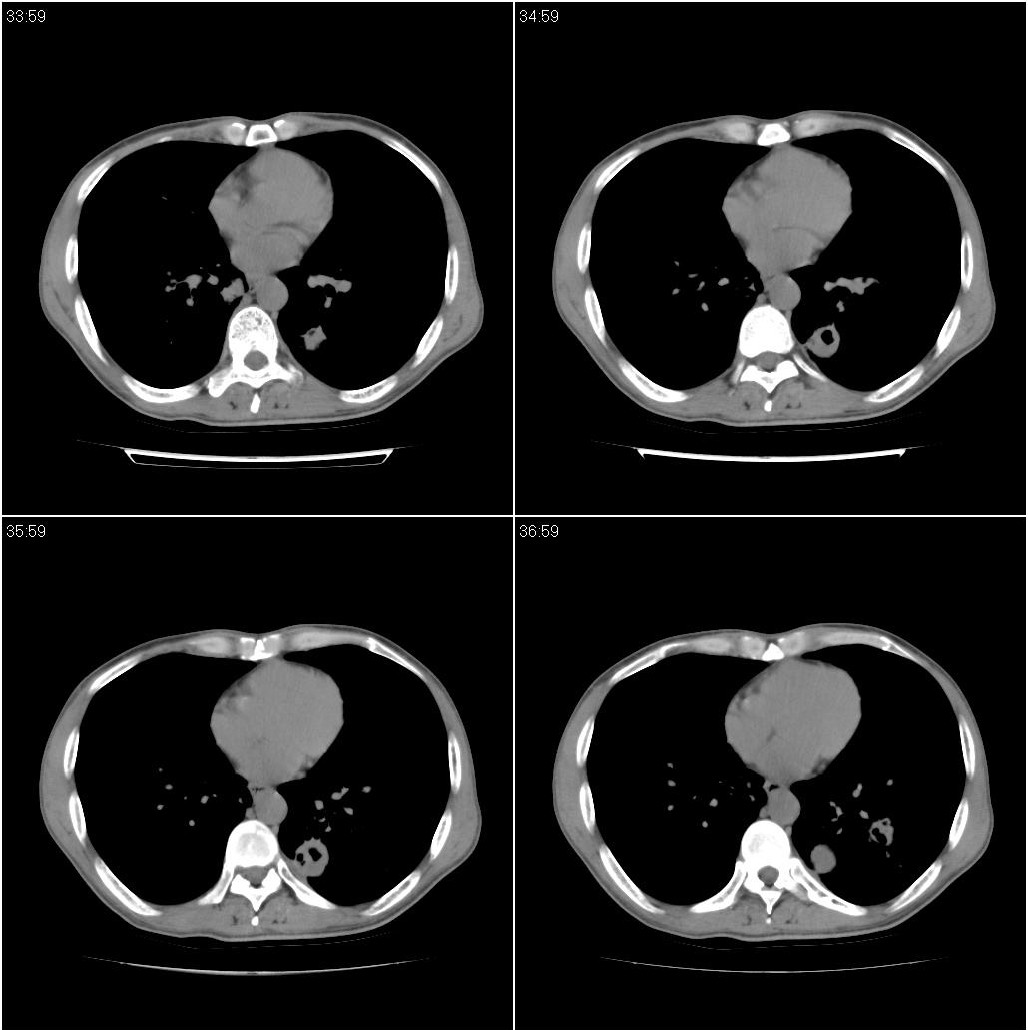
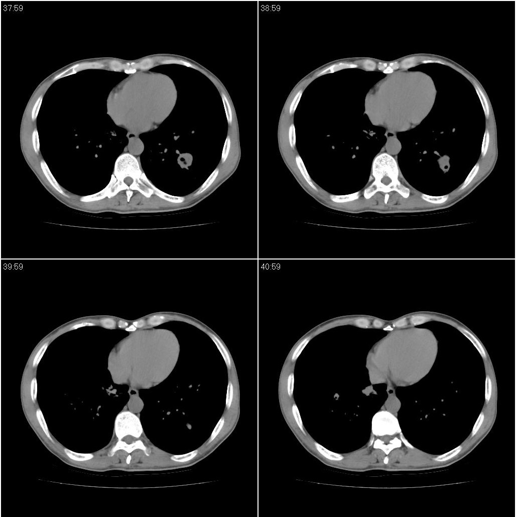
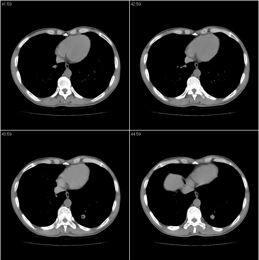
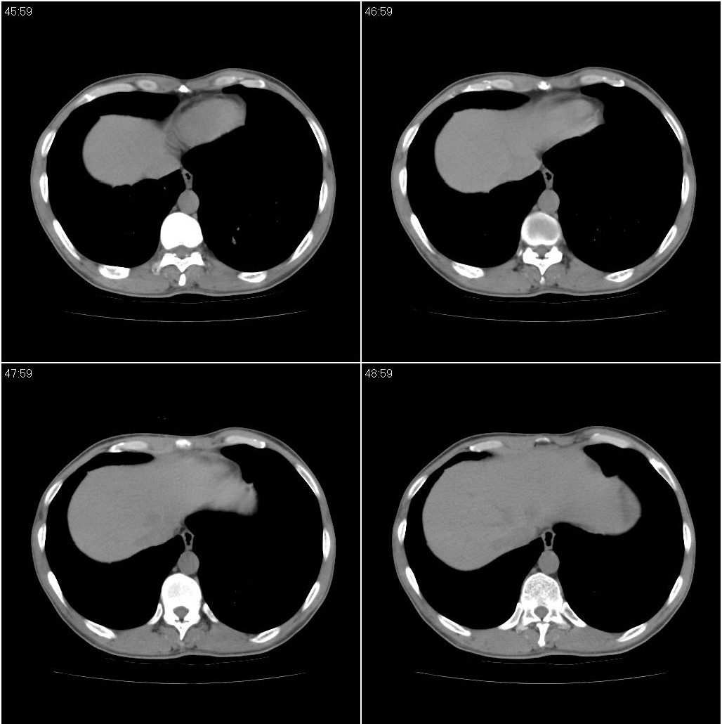
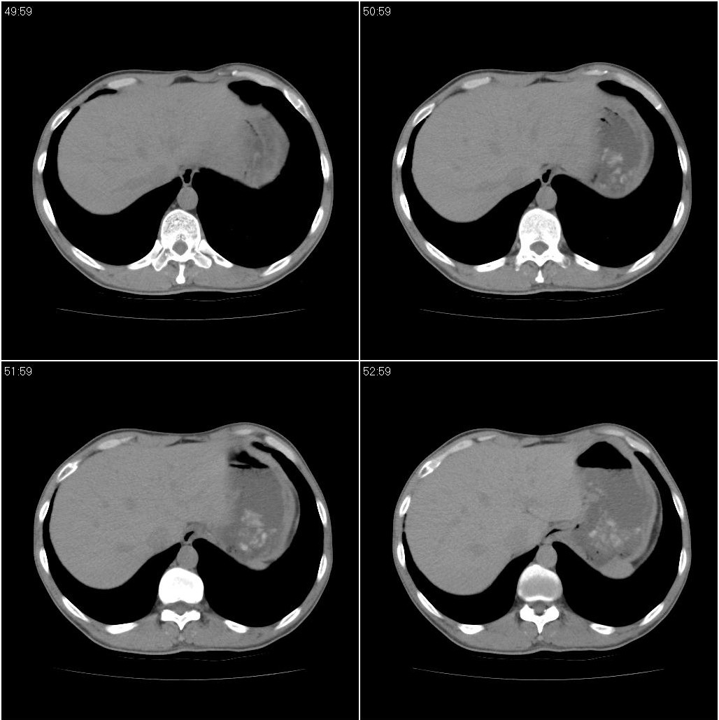
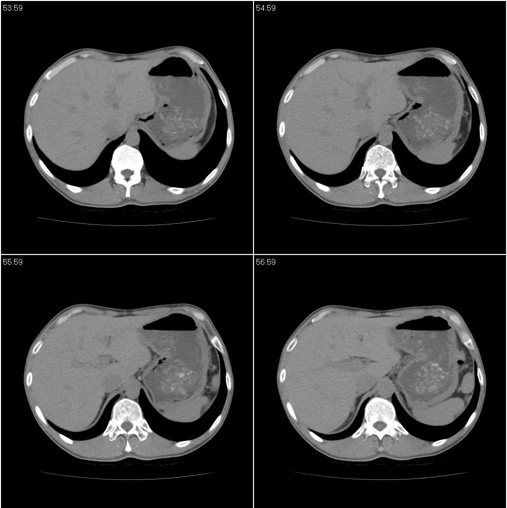
男性,47岁。近来咳痰、咳血,血沉增快(40左右),痰中未检出结核杆菌。










































[本贴已被 fanshl 于 2010-1-5 13:12:04 修改过]
[本贴已被 翁志蓬 于 2010-1-6 0:07:23 修改过]
作者: shuiyuan 时间: 2010-1-5 23:45
双肺继发性肺结核
作者: lirenxiong 时间: 2010-1-6 00:04
肺脓肿!
作者: 随光逐影 时间: 2010-1-6 00:29
两肺继发性肺结核并多发性结核球形成,部分病灶内空洞形成。
作者: zxl51642 时间: 2010-1-6 01:11
两肺继发性肺结核并多发性结核球形成,部分病灶内空洞形成。支持
作者: yangyang2000 时间: 2010-1-6 04:39
两肺继发性肺结核并多发性结核球形成,部分病灶内空洞形成
作者: 宝天曼 时间: 2010-1-6 04:43
两肺继发性肺结核并多发性结核球形成,部分病灶内空洞形成。
作者: zsl6918 时间: 2010-1-6 04:46
符合继发性结核表现部分空洞形成并播散
作者: 黑白光影 时间: 2010-1-6 23:25
两肺继发性肺结核并多发性结核球形成,部分病灶内空洞形成。支持
作者: dr.yang 时间: 2013-4-2 10:08
两肺继发性肺结核并多发性结核球形成,部分病灶内空洞形成。支持
欢迎光临 医影在线 (http://bbs.radida.com/bbs/) |
Powered by Discuz! X3.2 |