医影在线

标题: CT23981:男,38岁阑尾炎术后透视胸腔积夜!做CT如下!积液包 [打印本页]

作者: qingguang220    时间: 2010-1-5 21:10
标题: CT23981:男,38岁阑尾炎术后透视胸腔积夜!做CT如下!积液包































[本贴已被 翁志蓬 于 2010-1-6 0:09:48 修改过]

作者: lirenxiong    时间: 2010-1-6 00:29
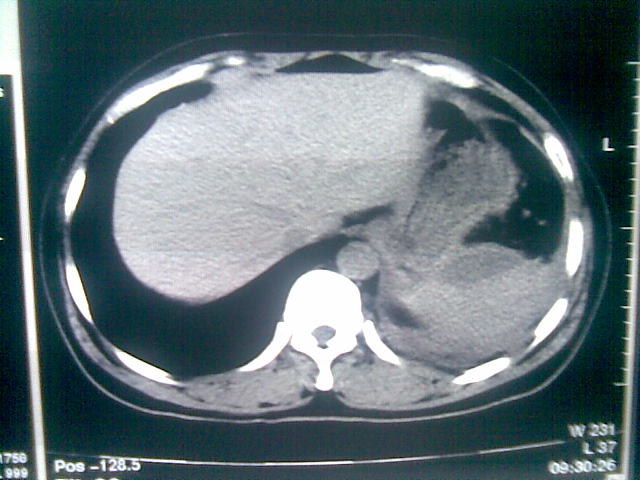
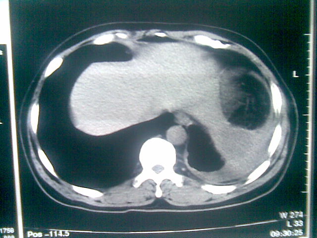
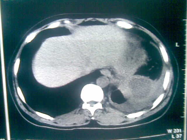
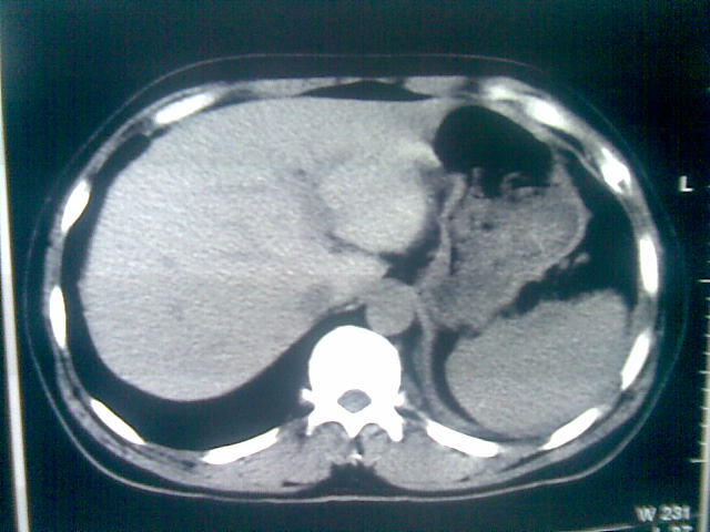
可能与阑尾术后关系不太大,1.胸膜增厚粘连见少量气体。包裹脓气胸?左侧网膜囊脓肿?
作者: zxl51642    时间: 2010-1-6 01:15
标题: 回复:男,38岁阑尾炎术后透视胸腔积夜!做ct如下!积液
以下是引用lirenxiong在2010-1-5 16:29:00的发言:[br]可能与阑尾术后关系不太大,1.胸膜增厚粘连见少量气体。包裹脓气胸?左侧网膜囊脓肿?

作者: 宝天曼    时间: 2010-1-6 04:44
.胸膜增厚粘连见少量气体。包裹脓气胸
作者: zsl6918    时间: 2010-1-6 04:50
少量积液部分粘连
作者: 黑白光影    时间: 2010-1-6 23:27
术前怎么样?
作者: 随光逐影    时间: 2010-1-6 23:41
左侧胸膜增厚、粘连+包裹液气胸。




欢迎光临 医影在线 (http://bbs.radida.com/bbs/) Powered by Discuz! X3.2