



















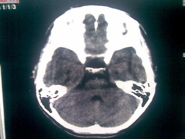
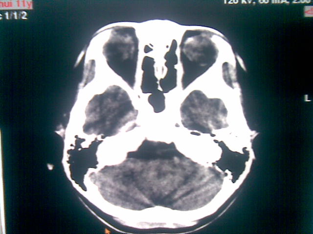
以下是引用随光逐影在2010-1-5 16:32:00的发言:[br]1)鞍上池囊性占位性病变,不排除蛛网膜囊肿可能;建议行mri检查。2)脑积水。
以下是引用随光逐影在2010-1-5 16:32:00的发言:[br]1)鞍上池囊性占位性病变,不排除蛛网膜囊肿可能;建议行mri检查。2)脑积水。
以下是引用yangyang2000在2010-1-5 20:41:00的发言:[br])鞍上池囊性占位性病变,不排除蛛网膜囊肿可能;建议行mri检查。2)脑积水
以下是引用yangyudong333在2010-1-5 21:28:00的发言:[br]1)鞍上池囊性占位性病变,不排除蛛网膜囊肿可能;建议行mri检查。2)脑积水。
| 欢迎光临 医影在线 (http://bbs.radida.com/bbs/) | Powered by Discuz! X3.2 |