医影在线

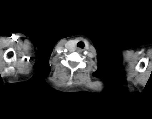
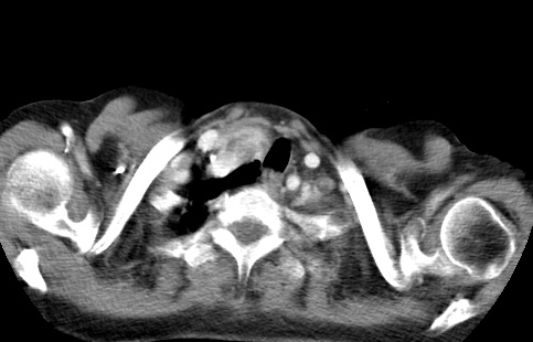
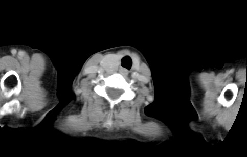
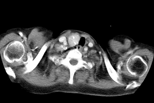
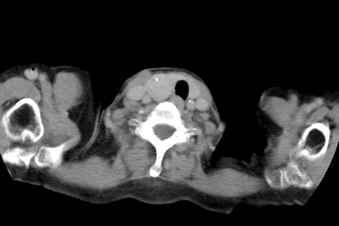
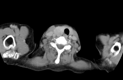
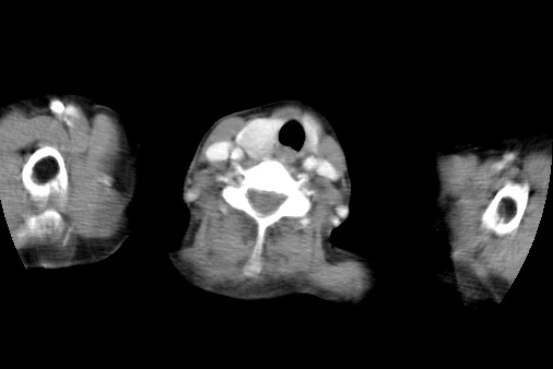
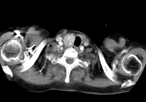
标题: CT23982:女67岁,胸部扫描时发现,甲状腺瘤? [打印本页]

作者: yangjyan    时间: 2010-1-5 21:40
标题: CT23982:女67岁,胸部扫描时发现,甲状腺瘤?



















[本贴已被 翁志蓬 于 2010-1-6 0:17:26 修改过]

作者: 水蓝色的    时间: 2010-1-5 23:21
支持楼主
作者: 卜一    时间: 2010-1-5 23:38
右侧甲状腺腺瘤!支持!不排除甲状腺癌可能!建议手术切除!
作者: 随光逐影    时间: 2010-1-5 23:56
右侧甲状腺占位性病变,性质待定(甲状腺腺瘤?);建议:必要时行进一步检查。
作者: lirenxiong    时间: 2010-1-6 00:06
支持腺瘤
作者: shibing    时间: 2010-1-6 00:15
右侧甲状腺占位性病变,性质待定(甲状腺腺瘤?);
作者: zxl51642    时间: 2010-1-6 00:23
标题: 回复:女67岁,胸部扫描时发现,甲状腺瘤?
以下是引用卜一在2010-1-5 15:38:00的发言:[br]右侧甲状腺腺瘤!支持!不排除甲状腺癌可能!建议手术切除!

作者: 37度    时间: 2010-1-6 00:54
右侧甲状腺占位性病变,性质待定(甲状腺腺瘤?);建议穿刺活检。
作者: 宝天曼    时间: 2010-1-6 04:40
右侧甲状腺占位性病变,性质待定(甲状腺腺瘤?);
作者: zsl6918    时间: 2010-1-6 04:42
支持楼主意见。考虑良性改变可能
作者: 黑白光影    时间: 2010-1-6 23:32
右侧甲状腺占位性病变,甲状腺腺瘤可能,建议穿刺活检。
作者: dr.yang    时间: 2013-4-2 10:10
右侧甲状腺腺瘤!支持!不排除甲状腺癌可能!建议手术切除!




欢迎光临 医影在线 (http://bbs.radida.com/bbs/) Powered by Discuz! X3.2