医影在线

标题: CT23975:女61岁,腹部不适,明显消瘦 [打印本页]

作者: yangjyan    时间: 2010-1-5 22:01
标题: CT23975:女61岁,腹部不适,明显消瘦
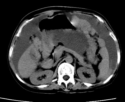
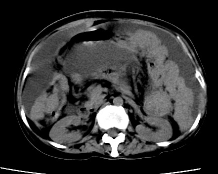
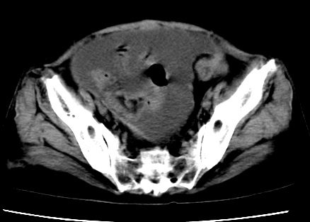
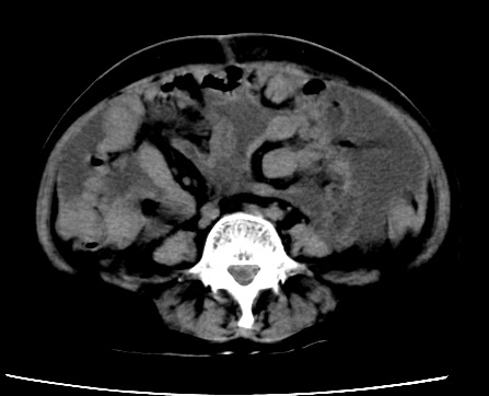
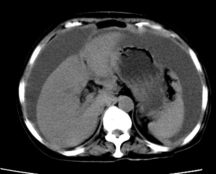
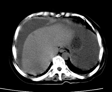
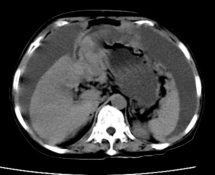
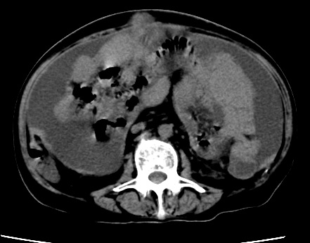
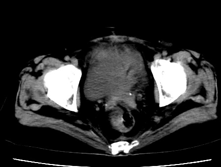
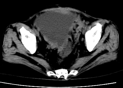
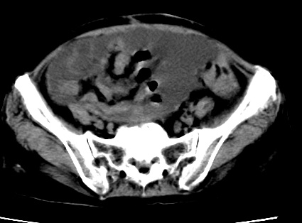
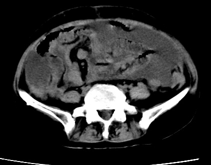
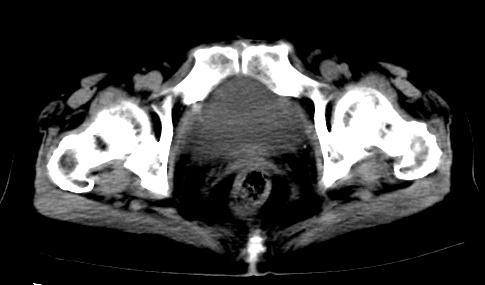
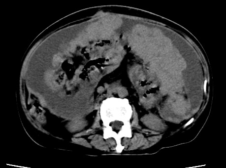
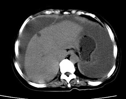
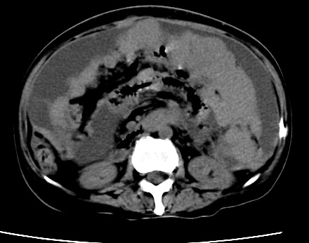
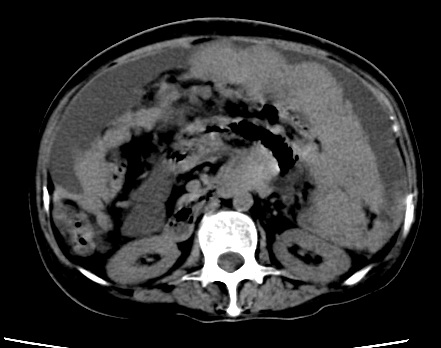
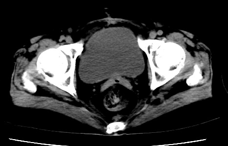
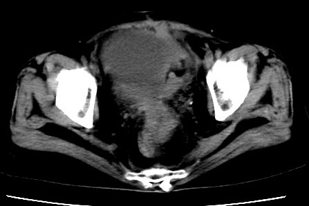
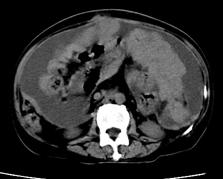
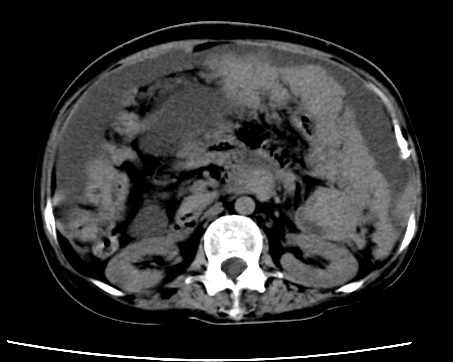
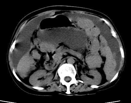
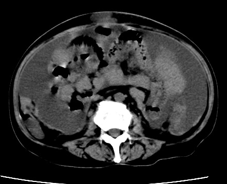
既往5年前卵巢癌行子宫及附件切除,右乳癌术后一年,考虑腹膜转移?






























[本贴已被 翁志蓬 于 2010-1-6 0:18:56 修改过]

作者: 水蓝色的    时间: 2010-1-5 23:25
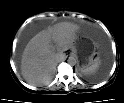
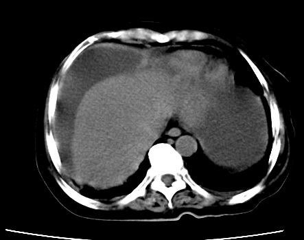
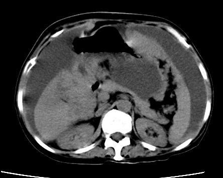
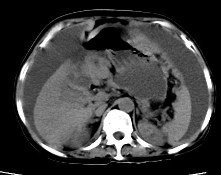
大量腹水,考虑腹膜转移。肝脏低密度灶。1囊肿,2转移。
作者: 卜一    时间: 2010-1-5 23:35
支持楼主!(腹膜 网膜均有转移)
作者: 随光逐影    时间: 2010-1-6 00:00
1)结合病史,考虑腹膜及网膜转移瘤。2)肝脏多发性低密度灶,不排除转移瘤。3)大量腹水。
作者: shibing    时间: 2010-1-6 00:16
腹膜 网膜均有转移
作者: lirenxiong    时间: 2010-1-6 00:20
标题: 回复:女61岁,腹部不适,明显消瘦
以下是引用水蓝色的风雨在2010-1-5 15:25:00的发言:[br]大量腹水,考虑腹膜转移。肝脏低密度灶。1囊肿,2转移。

作者: zxl51642    时间: 2010-1-6 00:25
支持楼主!(腹膜 网膜均有转移)
作者: 深泽交通    时间: 2010-1-6 00:57
标题: 回复:女61岁,腹部不适,明显消瘦
以下是引用卜一在2010-1-5 15:35:00的发言:[br]支持楼主!(腹膜 网膜均有转移)

作者: 37度    时间: 2010-1-6 01:29
标题: 回复:女61岁,腹部不适,明显消瘦
以下是引用随光逐影在2010-1-5 16:00:00的发言:[br]1)结合病史,考虑腹膜及网膜转移瘤。2)肝脏多发性低密度灶,不排除转移瘤。3)大量腹水。

作者: linyiming    时间: 2010-1-6 03:28
考虑卵巢癌行子宫术后复发,并肝、腹腔 、大网膜转移可能性大。

大量腹水。
作者: zsl6918    时间: 2010-1-6 04:09
支持楼主意见
作者: yangyang2000    时间: 2010-1-6 04:19
支持楼主
作者: 黑白光影    时间: 2010-1-6 23:34
支持楼主意见。




欢迎光临 医影在线 (http://bbs.radida.com/bbs/) Powered by Discuz! X3.2