医影在线

标题: CT23985:F20Y 外伤典型病例 [打印本页]

作者: 37度    时间: 2010-1-5 22:51
标题: CT23985:F20Y 外伤典型病例



















[本贴已被 翁志蓬 于 2010-1-6 0:25:28 修改过]

作者: zhuming943066    时间: 2010-1-5 23:18
传说中的肾挫伤?
作者: 水蓝色的    时间: 2010-1-5 23:30
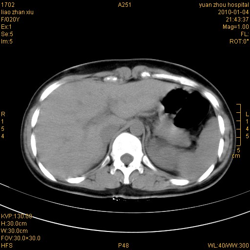
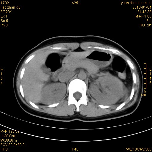
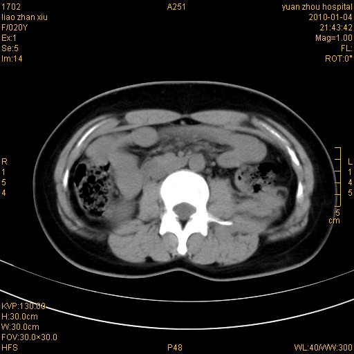
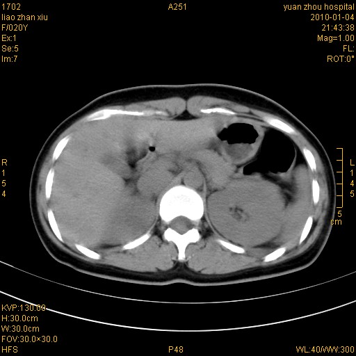
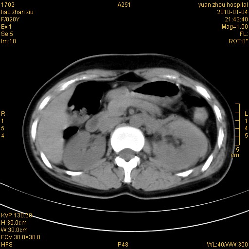
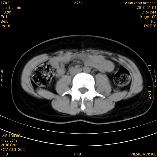
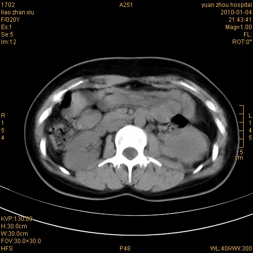
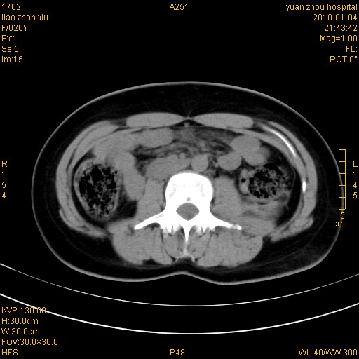
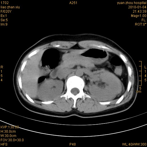
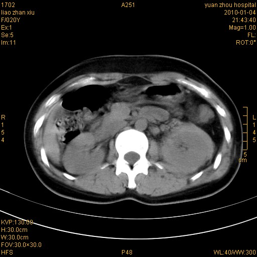
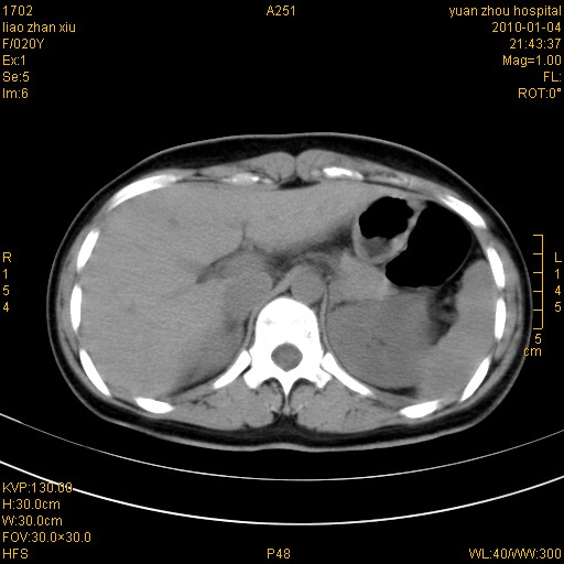
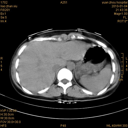
左肾挫伤,包膜下积血。
作者: 卜一    时间: 2010-1-5 23:31
左肾挫裂伤伴肾被膜下积血!另:肾周筋膜增厚!
作者: 随光逐影    时间: 2010-1-5 23:33
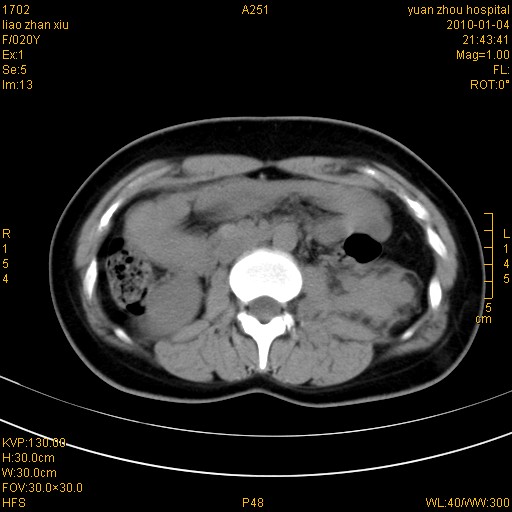
1)左肾包膜下血肿。2)左侧肾挫伤可能;建议:行ct增强扫描检查。3)腰椎左侧横突骨折。
作者: shibing    时间: 2010-1-6 00:20
左肾挫伤,包膜下积血。
作者: zxl51642    时间: 2010-1-6 00:37
左肾挫伤,包膜下积血,l3、4左侧横突多发骨折。
作者: 37度    时间: 2010-1-6 00:48
l1、2
作者: 深泽交通    时间: 2010-1-6 00:52
标题: 回复:f20y 外伤典型病例
以下是引用水蓝色的风雨在2010-1-5 15:30:00的发言:[br]左肾挫伤,包膜下积血。

作者: linyiming    时间: 2010-1-6 03:07
左肾挫伤,包膜下积血,l3、4左侧横突多发骨折。
作者: xihan    时间: 2010-1-6 03:08
双侧肾胞膜下出血,左侧较多。l3、4左侧横突多发骨折。
作者: 道哥    时间: 2010-1-6 03:11
1)左肾包膜下血肿。2)左侧肾挫伤可能;。3)腰椎左侧横突骨折。
作者: 道哥    时间: 2010-1-6 03:14
1)左肾包膜下血肿。2)左侧肾挫伤可能;。3)腰椎左侧横突骨折。
作者: 影象小泰斗    时间: 2010-1-6 03:28
左肾包膜下积血。左侧肾挫伤可能。
作者: zsl6918    时间: 2010-1-6 04:07
比较典型
作者: 宝天曼    时间: 2010-1-6 04:19
左肾挫伤,包膜下积血。
作者: yangyudong333    时间: 2010-1-6 05:10
左肾挫伤,包膜下积血,l3、4左侧横突多发骨折。
作者: 破釜沉舟    时间: 2010-1-6 05:28
学习了。
作者: 黄毛小子    时间: 2010-1-6 05:35
标题: 回复:f20y 外伤典型病例
以下是引用水蓝色的风雨在2010-1-5 15:30:00的发言:[br]左肾挫伤,包膜下积血。

作者: ydx_74    时间: 2010-1-6 06:11
难道是传说中的左肾挫裂伤伴肾被膜下积血?
作者: andy_wang    时间: 2010-1-6 06:20
标题: 回复:f20y 外伤典型病例
]左肾挫伤,包膜下积血,l3、4左侧横突多发骨折。诊断应该没有问题。
作者: 水过无痕    时间: 2010-1-6 18:29
1、左肾挫伤,包膜下积血;
2、l3、4左侧横突多发骨折;
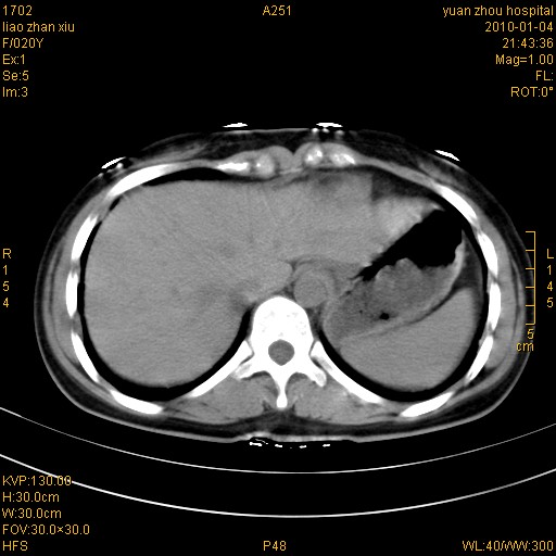
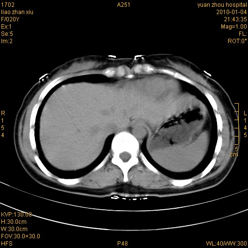
3、腹腔积气,考虑肠管破裂?
作者: zhengfaming    时间: 2010-1-6 18:58
左肾挫伤,包膜下积血,l3、4左侧横突多发骨折。
作者: 黑白光影    时间: 2010-1-6 23:40
1)左肾包膜下血肿。2)左侧肾挫伤可能;。3)腰椎左侧横突骨折。
作者: yuhongjun    时间: 2010-1-7 14:35
左肾挫裂伤伴肾被膜下积血!另:肾周筋膜增厚!
作者: 心路寻觅    时间: 2010-1-7 19:29
标题: 回复:ct23985:f20y 外伤典型病例
以下是引用随光逐影在2010-1-5 15:33:00的发言:[br]1)左肾包膜下血肿。2)左侧肾挫伤可能;建议:行ct增强扫描检查。3)腰椎左侧横突骨折。

支持!
作者: ZJB    时间: 2010-1-7 20:28
左肾挫伤,包膜下积血,l3、4左侧横突多发骨折
作者: 37度    时间: 2010-1-10 09:06
气死我了,明明l1、2,为什么都说3、4.
作者: dr.yang    时间: 2013-4-2 16:58
标题: Re:CT23985:F20Y  外伤典型病例
左肾挫伤,包膜下积血,L1、2、3、4左侧横突多发骨折。




欢迎光临 医影在线 (http://bbs.radida.com/bbs/) Powered by Discuz! X3.2