医影在线

标题: CT23986:M 40Y 外伤数小时 [打印本页]

作者: 37度    时间: 2010-1-5 23:03
标题: CT23986:M 40Y 外伤数小时













[本贴已被 翁志蓬 于 2010-1-6 0:26:39 修改过]

作者: zhuming943066    时间: 2010-1-5 23:06
挫伤血肿形成
作者: 卜一    时间: 2010-1-5 23:15
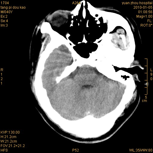
双侧额叶 右侧大脑脚区多发血肿伴蛛网膜下腔出血!
作者: zhuming943066    时间: 2010-1-5 23:19
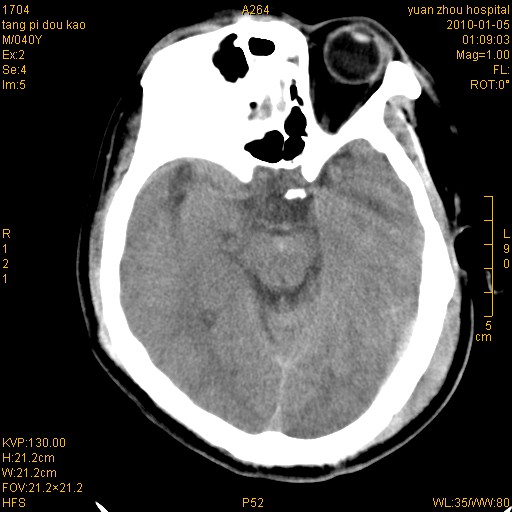
挫伤血肿形成   还有一个左枕部硬膜外血肿考虑
作者: 水蓝色的    时间: 2010-1-5 23:37
右额叶脑挫伤,脑内血肿形成。左顶枕硬膜外血肿。
作者: 随光逐影    时间: 2010-1-6 00:09
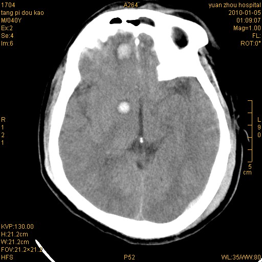
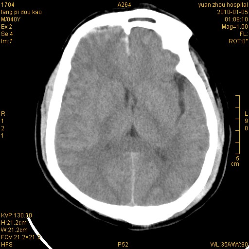
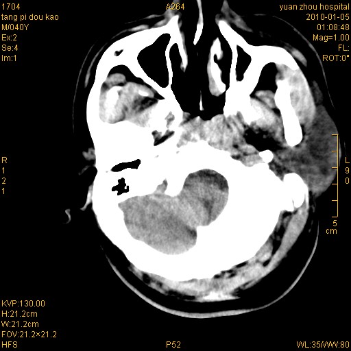
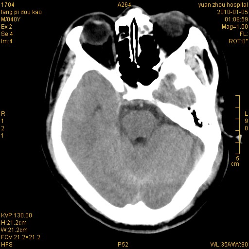
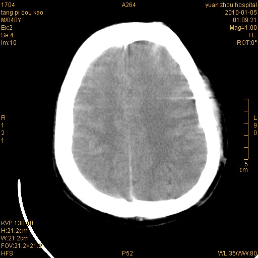
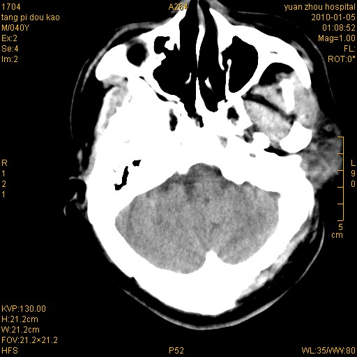
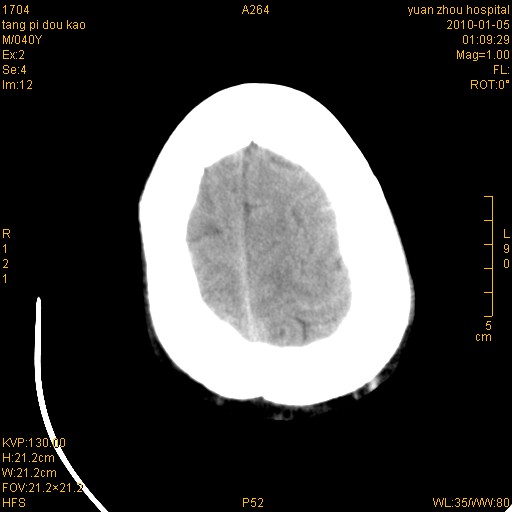
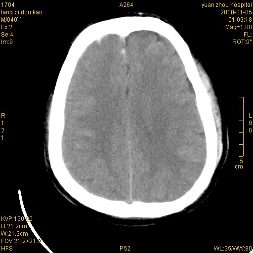
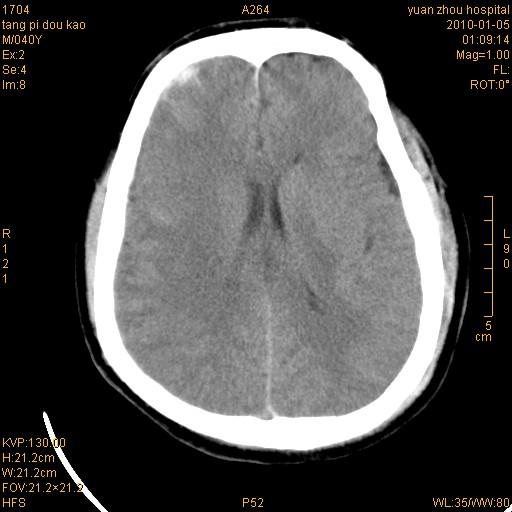
1)左侧颞枕部硬膜外血肿。2)右侧额部硬膜下血肿。3)双侧额叶及右侧基底节下部脑挫裂伤。4)蛛网膜下腔出血。5)脑水肿。6)左侧前组筛窦及左侧额窦炎症。
作者: shibing    时间: 2010-1-6 00:22
1)左侧颞枕部硬膜外血肿。2)右侧额部硬膜下血肿。3)双侧额叶及右侧基底节下部脑挫裂伤。4)蛛网膜下腔出血。5)脑水肿。6)左侧前组筛窦及左侧额窦炎症。
作者: zxl51642    时间: 2010-1-6 00:27
标题: 回复:m 40y 外伤数小时
以下是引用水蓝色的风雨在2010-1-5 15:37:00的发言:[br]右额叶脑挫伤,脑内血肿形成。左顶枕硬膜外血肿。

+左侧颧骨骨折。
作者: 深泽交通    时间: 2010-1-6 00:49
对冲伤小血肿
作者: 37度    时间: 2010-1-6 00:52
前纵裂池的出血是硬膜下还是蛛网膜下腔?右额叶深区血肿还是基底节血肿?
作者: xihan    时间: 2010-1-6 03:12
)左侧颞枕部硬膜外血肿。2)右侧额部硬膜下血肿。3)双侧额叶及右侧基底节下部脑挫裂伤。4)蛛网膜下腔出血。5)脑水肿。6)左侧前组筛窦及左侧额窦炎症。  
  左侧颧骨骨折
作者: zsl6918    时间: 2010-1-6 04:16
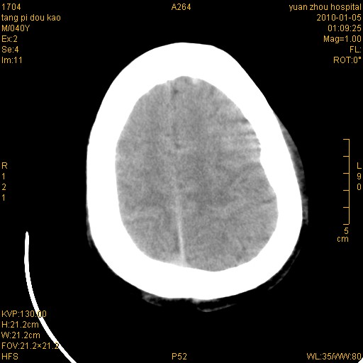
挫裂伤,颅内血肿,蛛网膜下腔出血,脑肿胀。
作者: yangyang2000    时间: 2010-1-6 04:23
1)左侧颞枕部硬膜外血肿。2)右侧额部硬膜下血肿。3)双侧额叶及右侧基底节下部脑挫裂伤。4)蛛网膜下腔出血。5)左侧前组筛窦及左侧额窦积液。
作者: yangyudong333    时间: 2010-1-6 05:08
挫裂伤,颅内血肿,蛛网膜下腔出血,脑肿胀。
作者: ydx_74    时间: 2010-1-6 06:14
弥漫性脑轴索损伤
作者: 37度    时间: 2010-1-6 06:31
病人很清醒。
作者: 胡宇    时间: 2010-1-6 07:10
挫伤血肿形成   还有一个左枕部硬膜外血肿考虑
作者: wansheng    时间: 2010-1-6 17:13
挫裂伤,颅内血肿,蛛网膜下腔出血,脑肿胀。  左侧颧骨骨折
作者: shuiyuan    时间: 2010-1-6 18:27
右额叶脑挫伤,脑内血肿形成。左颞枕硬膜外血肿。蛛网膜下腔出血。
作者: 黑白光影    时间: 2010-1-6 23:41
1)左侧颞枕部硬膜外血肿。2)右侧额部硬膜下血肿。3)双侧额叶及右侧基底节下部脑挫裂伤。4)蛛网膜下腔出血。5)脑水肿。6)左侧前组筛窦及左侧额窦炎症。
作者: dr.yang    时间: 2013-4-2 10:16
标题: Re:CT23986:M  40Y  外伤数小时
右额叶脑挫伤,脑内血肿形成。左顶枕硬膜外血肿。

+左侧颧骨骨折。




欢迎光临 医影在线 (http://bbs.radida.com/bbs/) Powered by Discuz! X3.2