医影在线

标题: CT23988:男,40岁,B超提示腹部肿物,请各位老师给看看。 [打印本页]

作者: fanxinyu    时间: 2010-1-5 23:42
标题: CT23988:男,40岁,B超提示腹部肿物,请各位老师给看看。

















[本贴已被 翁志蓬 于 2010-1-6 0:51:11 修改过]

作者: fanxinyu    时间: 2010-1-5 23:44
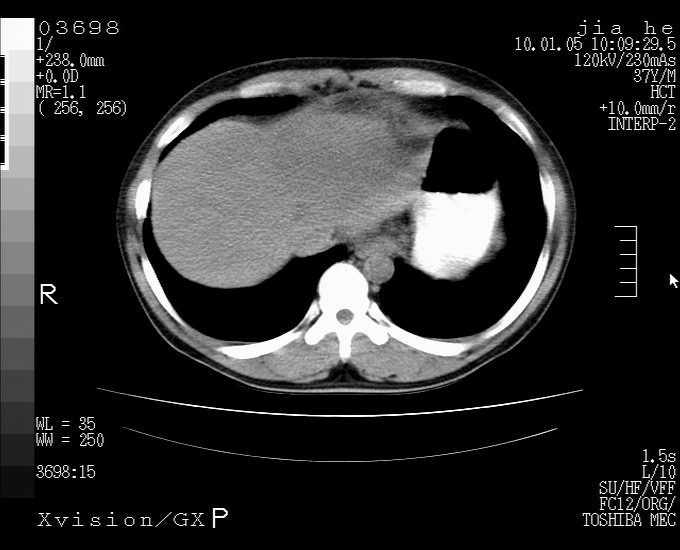
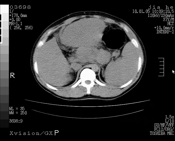
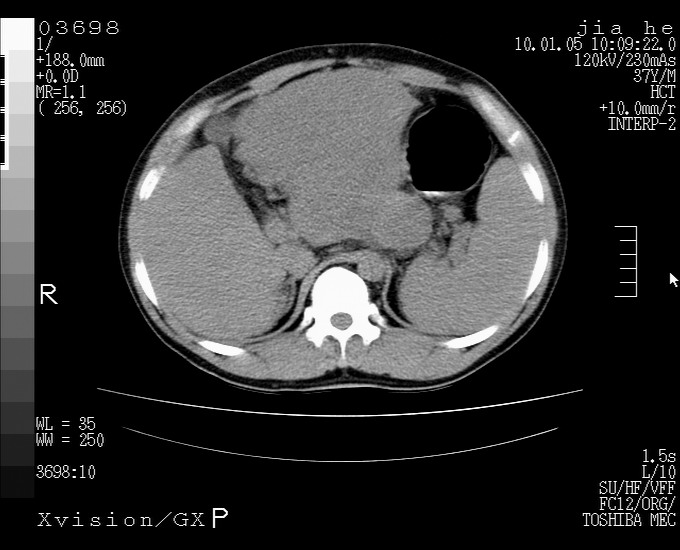
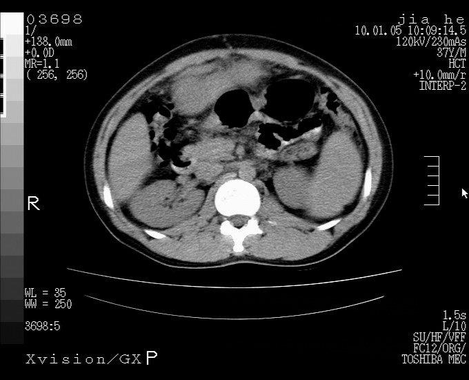
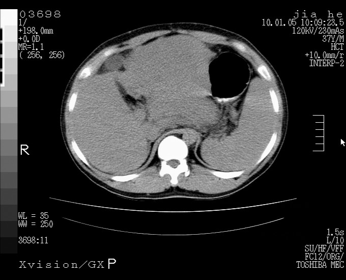
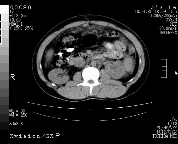
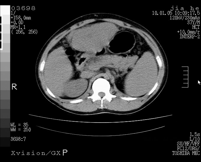
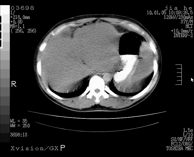
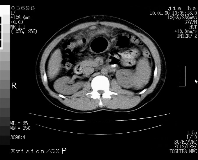
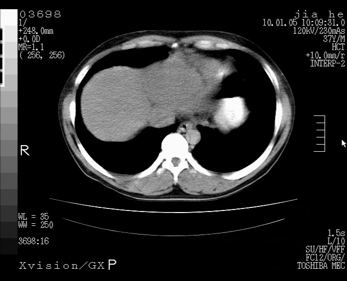
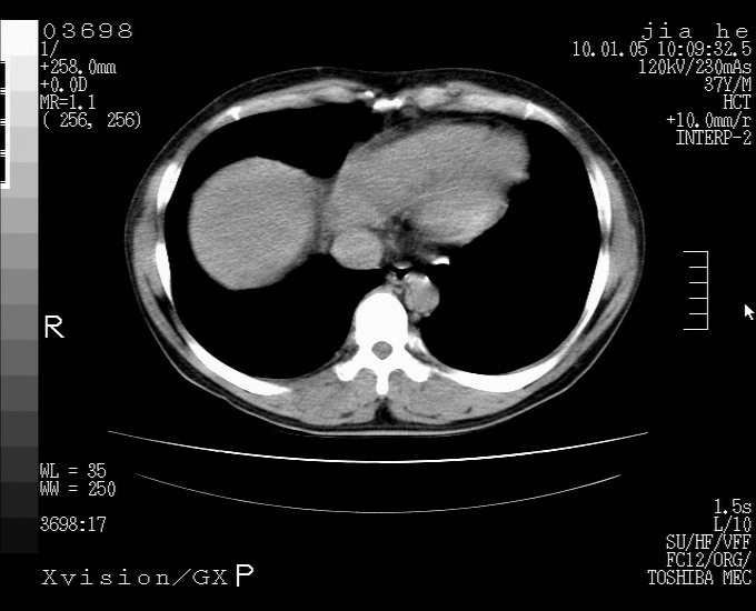
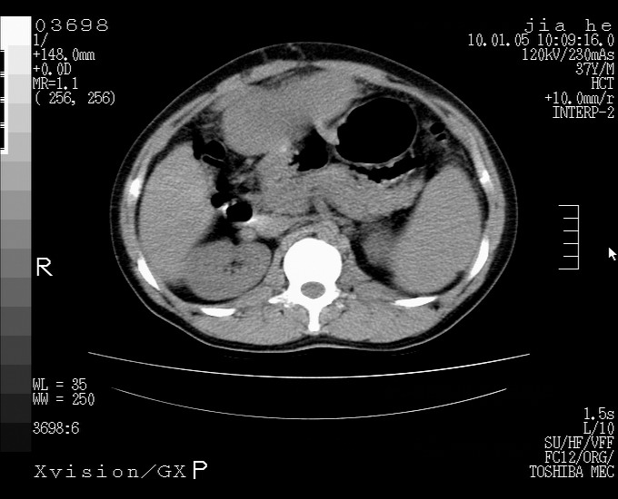
顺序有点乱,见谅!!!
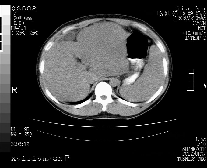
作者: lirenxiong    时间: 2010-1-5 23:58
左叶够大的,且与胰腺欠清晰,请增强扫描
作者: 深泽交通    时间: 2010-1-6 00:46
考虑肝癌 请强化
作者: 37度    时间: 2010-1-6 00:58
等密度,建议增强。
作者: zxl51642    时间: 2010-1-6 01:00
先定位,再定性,建议增强。
作者: sdzyy    时间: 2010-1-6 01:02
肝左叶增大,建议增强扫描。
作者: cyr88888    时间: 2010-1-6 01:12
肝癌并腹膜后淋巴西结转移
作者: shibing    时间: 2010-1-6 01:49
肝癌
作者: linyiming    时间: 2010-1-6 02:35
考虑肝硬化可能性大。建议增强。
作者: 2008boyBOY    时间: 2010-1-6 03:19
1.该患者有腹部手术史
2.脾大,肠系膜密度增高,有多发索条影,胰腺边缘毛糙,腹膜增厚,推测有肝硬化,门脉高压,腹膜炎和/或胰腺炎
3.肝左叶巨大站位,并腹腔淋巴结肿大,肝癌或肝间叶来源恶性肿瘤,也不排除大网膜间质瘤侵及肝左叶
建议:增强或磁共振
作者: xihan    时间: 2010-1-6 03:20
肝癌并腹膜后淋巴结转移
作者: 卜一    时间: 2010-1-6 03:51
外生性肝癌并腹膜后淋巴西结转移!
作者: zsl6918    时间: 2010-1-6 03:55
先强化看看再说吧
作者: 宝天曼    时间: 2010-1-6 04:23
等密度,建议增强
作者: yangyudong333    时间: 2010-1-6 05:05
肝癌并腹膜后淋巴西结转移
作者: 泪洒红尘    时间: 2010-1-6 05:16
肝硬化、脾大;胃底静脉曲张;是否门脉高压所致,建议进一步检查。
作者: panyishengct    时间: 2010-1-6 05:55
先定位,再定性,建议增强。
作者: 黄毛小子    时间: 2010-1-6 05:57
标题: 回复:男,40岁,b超提示腹部肿物,请各位老师给看看。
以下是引用linyiming在2010-1-5 18:35:00的发言:[br]考虑肝硬化可能性大。建议增强。

作者: ydx_74    时间: 2010-1-6 06:18
肝癌并腹膜后淋巴西结转移
作者: andy_wang    时间: 2010-1-6 06:30
还有个异位胆囊。临床资料太少,肿瘤、左叶发育异常、肝硬化。不过看密度是个低密度为主的,新生物倾向于第一位。强化吧!
作者: dyqct    时间: 2010-1-6 06:53
考虑肝左叶外侧段癌并腹膜后淋巴结转移.建议增强进一步检查.
作者: 胡宇    时间: 2010-1-6 07:01
考虑肝硬化可能性大。建议增强。
作者: 随光逐影    时间: 2010-1-6 23:48
建议行ct增强扫描检查。
作者: 黑白光影    时间: 2010-1-6 23:56
先定位,再定性,建议增强。
作者: yuhongjun    时间: 2010-1-7 14:34
考虑肝左叶外侧段癌并腹膜后淋巴结转移.建议增强进一步检查.
作者: ZJB    时间: 2010-1-7 20:31
等密度,建议增强




欢迎光临 医影在线 (http://bbs.radida.com/bbs/) Powered by Discuz! X3.2