医影在线

标题: CT23990:请看看这个胸部 [打印本页]

作者: whylovezhang    时间: 2010-1-6 02:16
标题: CT23990:请看看这个胸部
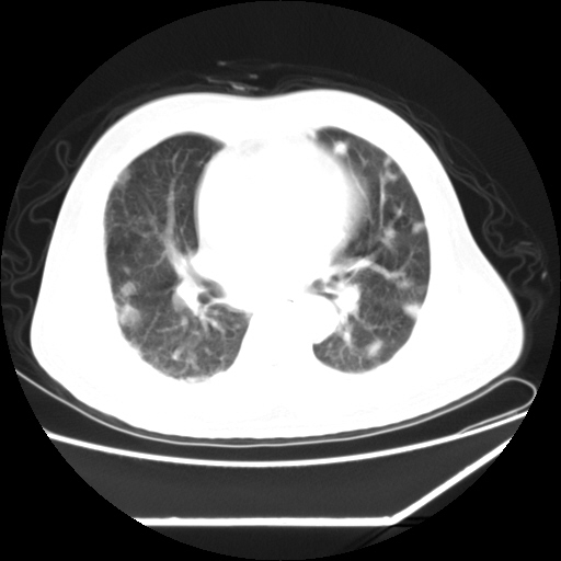
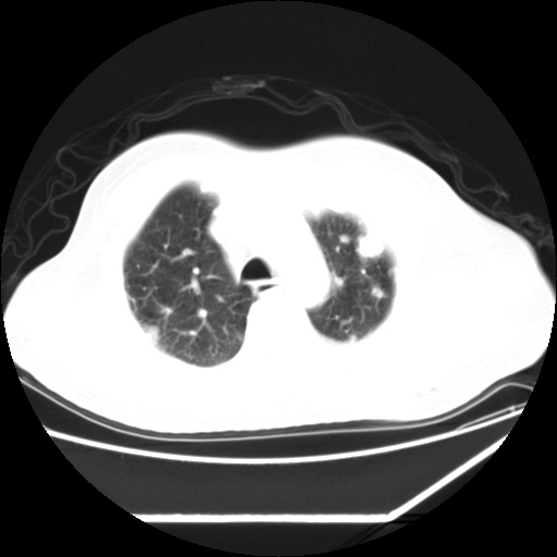
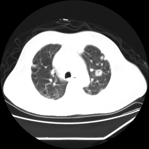
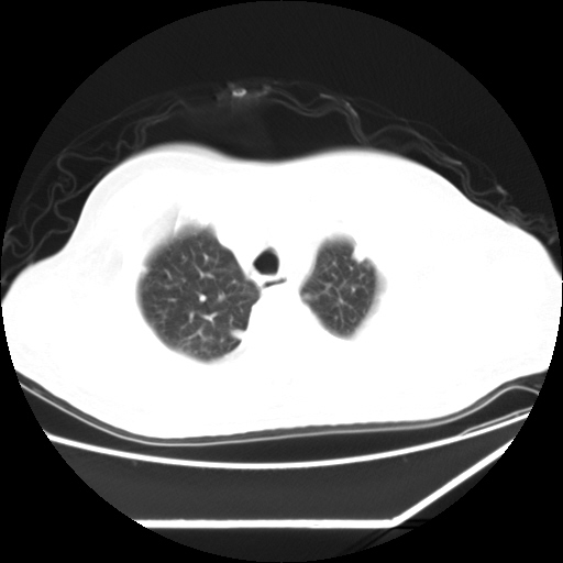
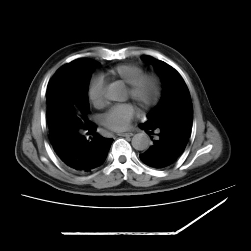
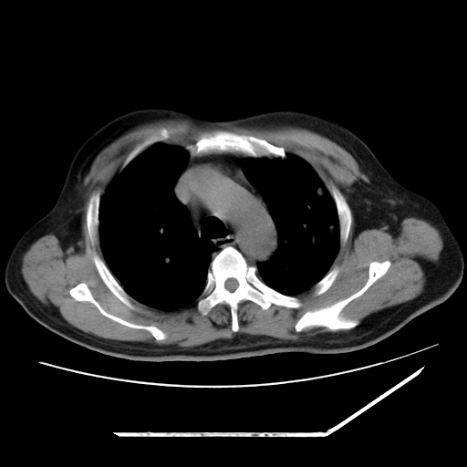
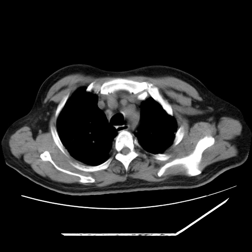
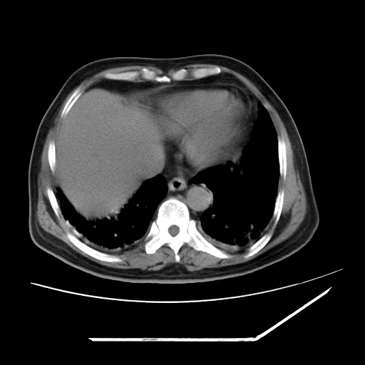
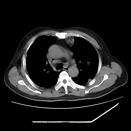
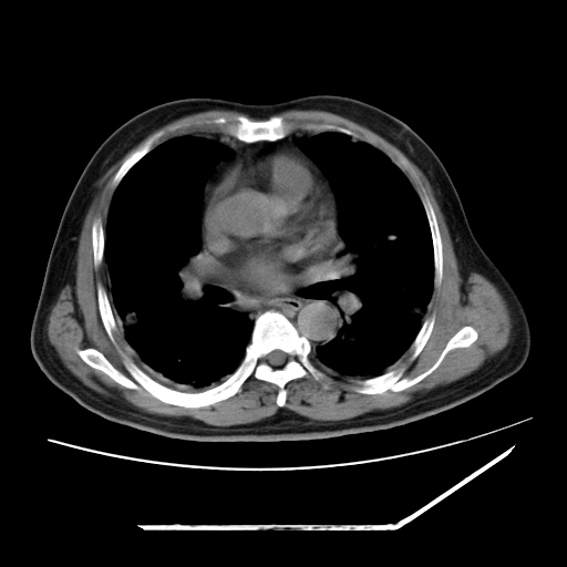
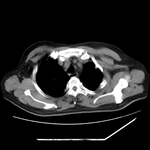
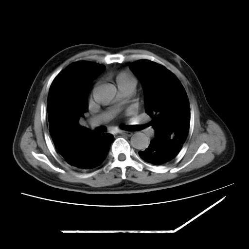
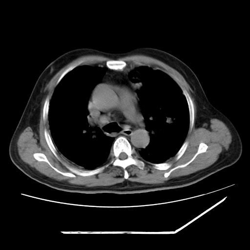
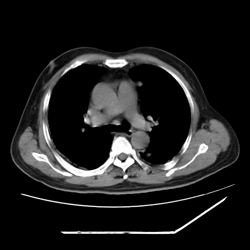
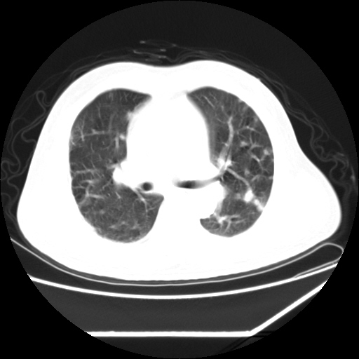
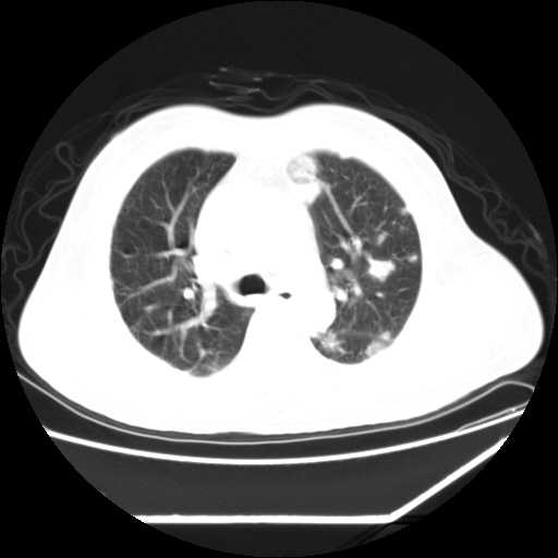
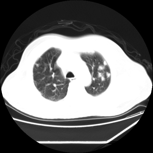
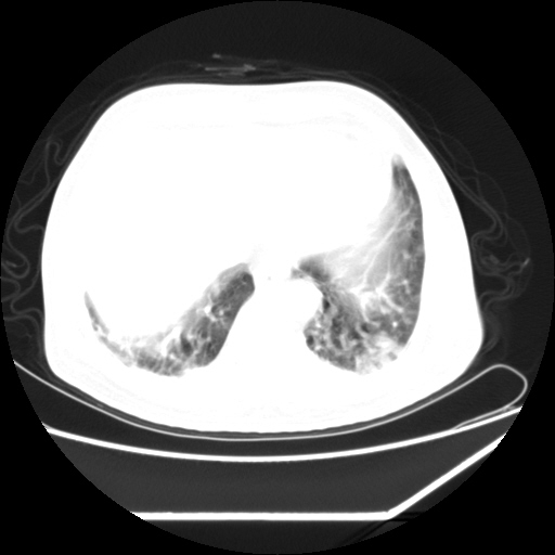
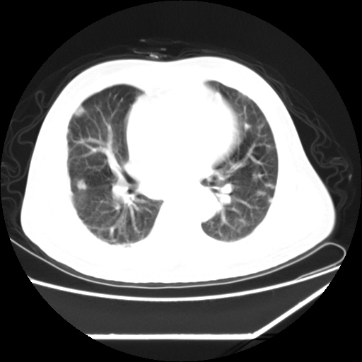
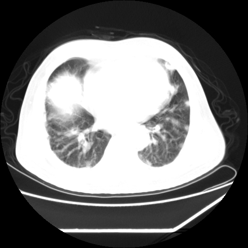
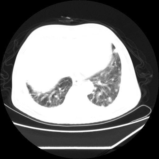
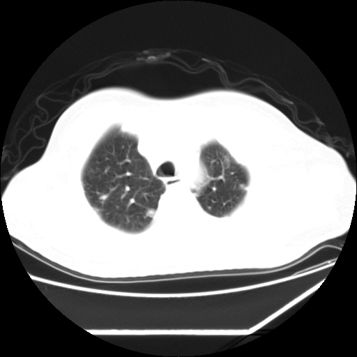
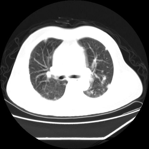
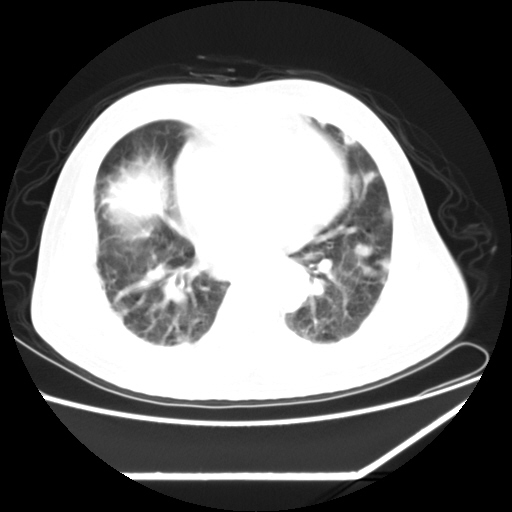
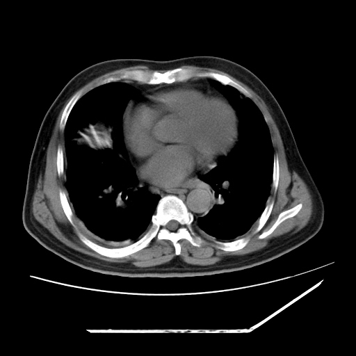
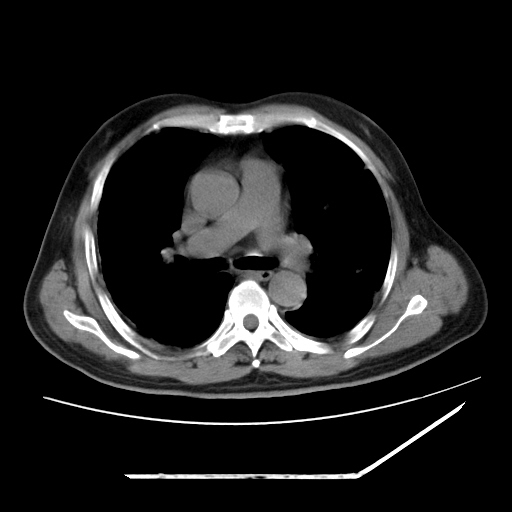
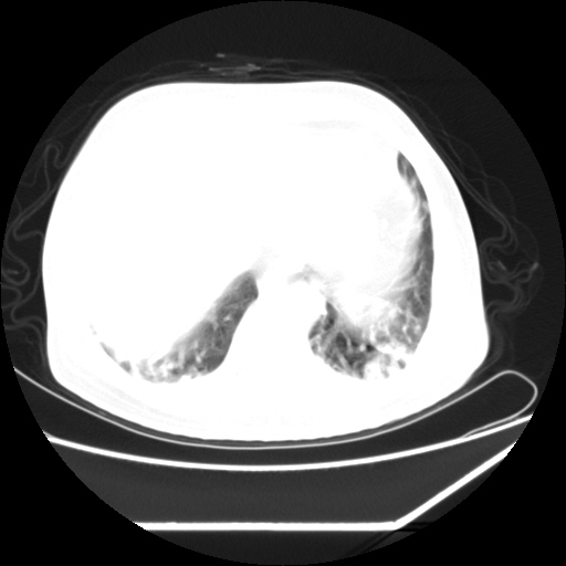
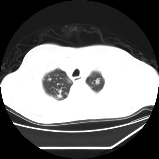
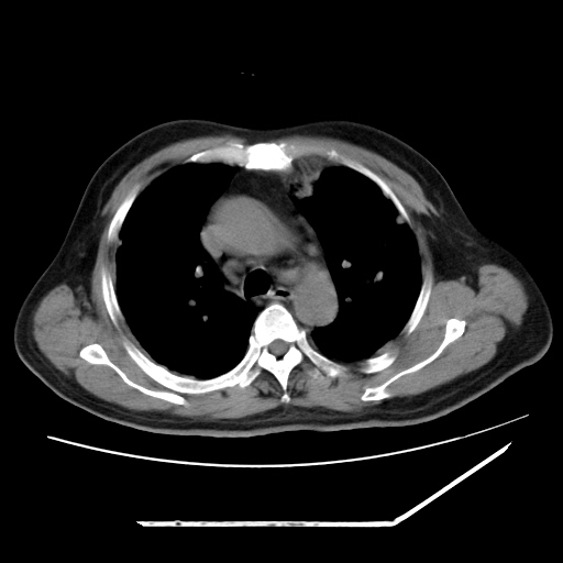
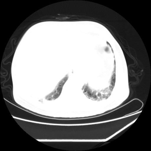
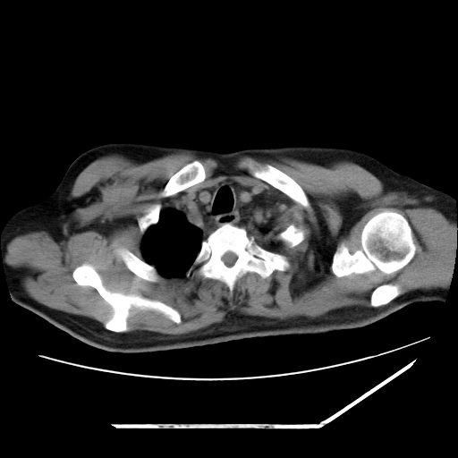
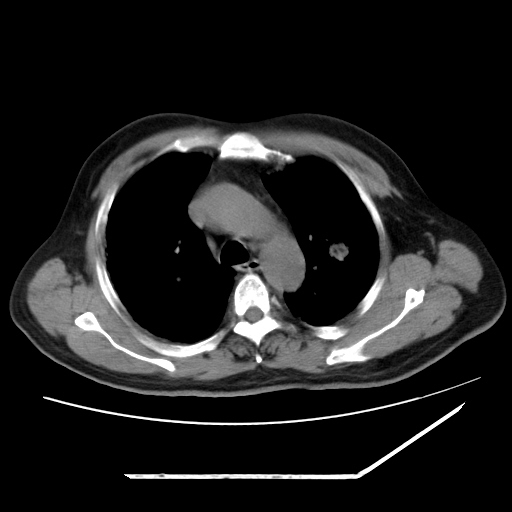
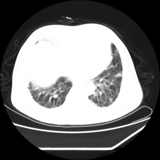
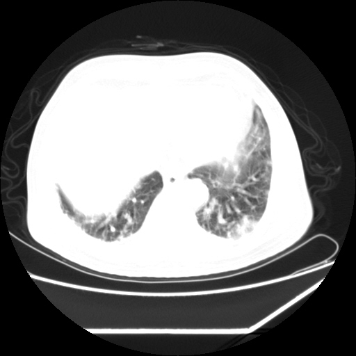
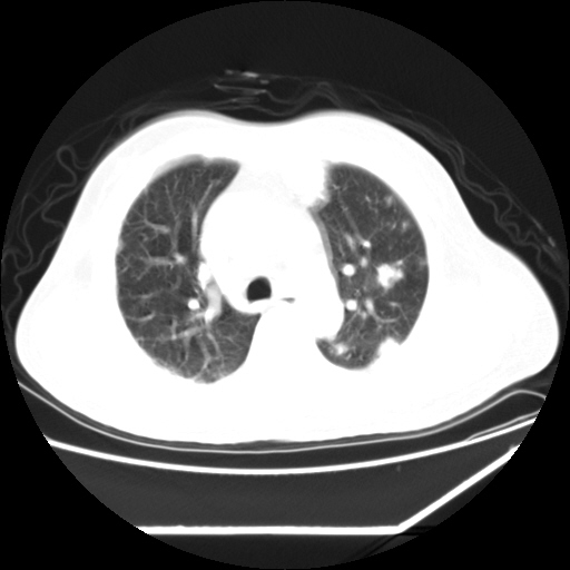
男,57,畏寒,发热




















































[本贴已被 翁志蓬 于 2010-1-6 0:53:59 修改过]

作者: 2008boyBOY    时间: 2010-1-6 02:41
双侧亚急性血型播散性肺结核
双侧胸膜结核
作者: leilei3818    时间: 2010-1-6 02:56
两侧多发肺脓肿,两侧胸膜增厚,抗炎治疗后复查
作者: 天堂鸟    时间: 2010-1-6 03:03
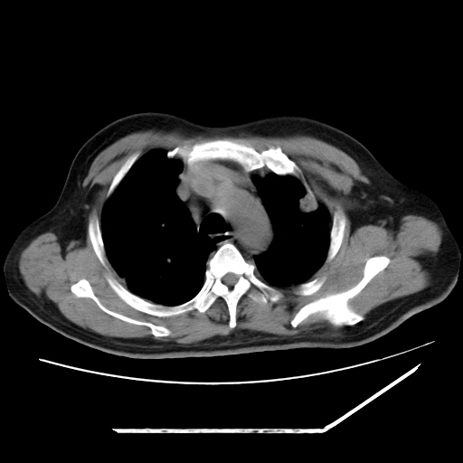
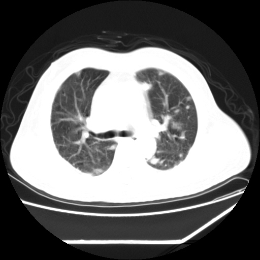
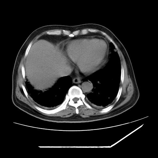
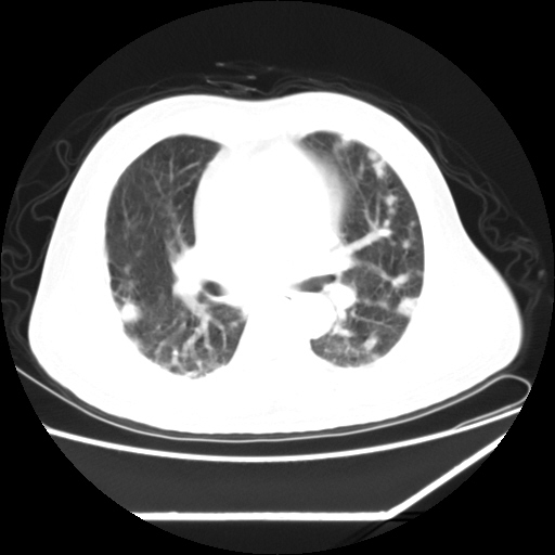
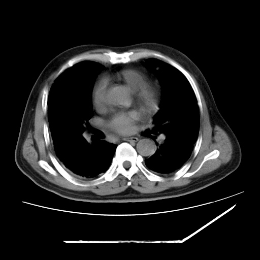
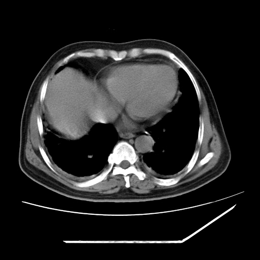
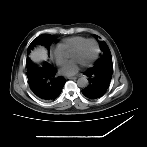
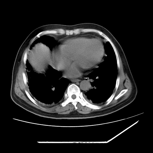
两肺野多发大小不一高密度灶,纵膈内见肿大淋巴结,要考虑转移瘤可能。双侧胸腔少量积液。
作者: 卜一    时间: 2010-1-6 03:47
双肺陈旧结核!另:不排除血源性感染可能!建议积极消炎后复查!
作者: 老爱克斯    时间: 2010-1-6 03:47
双肺多发结节样病灶,部分内见透光区,纵隔内见淋巴结肿大。结核临床如有畏寒,高热,白细胞增高首先考虑迁徙性肺脓肿(多是金黄色葡萄球菌感染)。
    注意除外转移瘤。
作者: xihan    时间: 2010-1-6 03:49
双侧亚急性血型播散性肺结核
双侧胸膜结核
作者: zsl6918    时间: 2010-1-6 04:01
先抗炎治疗再观察病灶大小多少的变化,主要鉴别转移瘤。
作者: yangyang2000    时间: 2010-1-6 04:13
双肺陈旧结核!另:不排除血源性感染可能!建议积极消炎后复查!
作者: zxl51642    时间: 2010-1-6 04:32
畏寒发热,首先考虑血源性肺脓肿,结合临床,抗炎后复查排除转移瘤等。
作者: 宝天曼    时间: 2010-1-6 04:35
双侧亚急性血型播散性肺结核
双侧胸膜结核
作者: yangyudong333    时间: 2010-1-6 05:01
双肺陈旧结核!另:不排除血源性感染可能!建议积极消炎后复查!
作者: 黄毛小子    时间: 2010-1-6 05:25
标题: 回复:请看看这个胸部
以下是引用zsl6918在2010-1-5 20:01:00的发言:[br]先抗炎治疗再观察病灶大小多少的变化,主要鉴别转移瘤。

作者: ydx_74    时间: 2010-1-6 06:21
首先考虑血源性肺脓肿
作者: 37度    时间: 2010-1-6 06:37
不除外真菌感染。
作者: dyqct    时间: 2010-1-6 06:56
标题: 回复:请看看这个胸部
以下是引用老爱克斯新网客在2010-1-5 19:47:00的发言:[br]双肺多发结节样病灶,部分内见透光区,纵隔内见淋巴结肿大。结核临床如有畏寒,高热,白细胞增高首先考虑迁徙性肺脓肿(多是金黄色葡萄球菌感染)。[br]    注意除外转移瘤。

支持!
作者: 胡宇    时间: 2010-1-6 06:57
先抗炎治疗再观察病灶大小多少的变化,主要鉴别转移瘤。
作者: 深泽交通    时间: 2010-1-6 17:17
考虑真菌感染
作者: 黑白光影    时间: 2010-1-6 23:49
双肺陈旧结核!另:不排除血源性感染可能!建议积极消炎后复查
作者: 随光逐影    时间: 2010-1-6 23:57
1)考虑两肺感染性病变(金黄色葡萄球菌肺炎?);建议抗炎治疗后复查排除其他。2)双侧少量胸腔积液。
作者: 2008boyBOY    时间: 2010-1-7 02:39
双肺典型的亚急性粟粒性肺结核
双侧胸膜结核
作者: hhs937    时间: 2010-1-7 04:28
血源性肺脓肿
作者: duanhui007    时间: 2010-1-7 05:07
血源性肺脓肿,除外转移瘤
作者: 骄阳    时间: 2010-1-7 05:57
标题: 回复:ct23990:请看看这个胸部
以下是引用yangyudong333在2010-1-5 21:01:00的发言:[br]双肺陈旧结核!另:不排除血源性感染可能!建议积极消炎后复查!

作者: yuhongjun    时间: 2010-1-7 14:23
肺多发结节样病灶,部分内见透光区,纵隔内见淋巴结肿大。结核临床如有畏寒,高热,白细胞增高首先考虑迁徙性肺脓肿(多是金黄色葡萄球菌感染)。
    注意除外转移瘤。  
  
支持。
作者: dr.yang    时间: 2013-4-2 11:09
畏寒发热,首先考虑血源性肺脓肿,结合临床,抗炎后复查排除转移瘤等。




欢迎光临 医影在线 (http://bbs.radida.com/bbs/) Powered by Discuz! X3.2