医影在线

标题: CT23991:女,72岁,咳嗽、憋气一周。 [打印本页]

作者: wpf    时间: 2010-1-6 02:21
标题: CT23991:女,72岁,咳嗽、憋气一周。
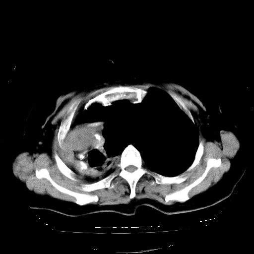
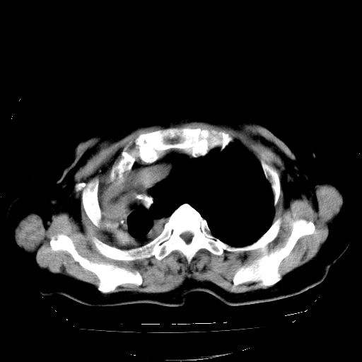
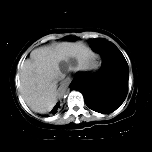
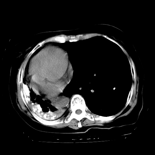
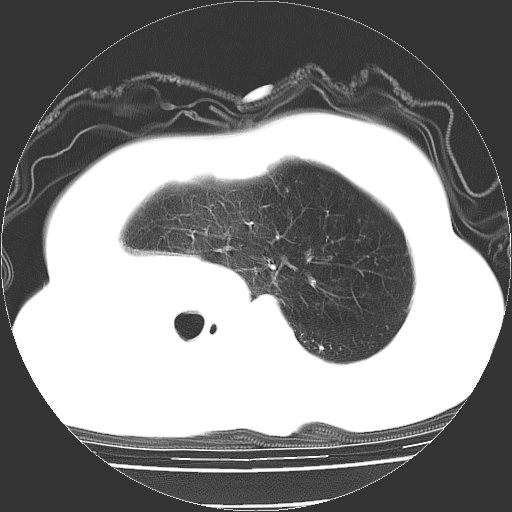
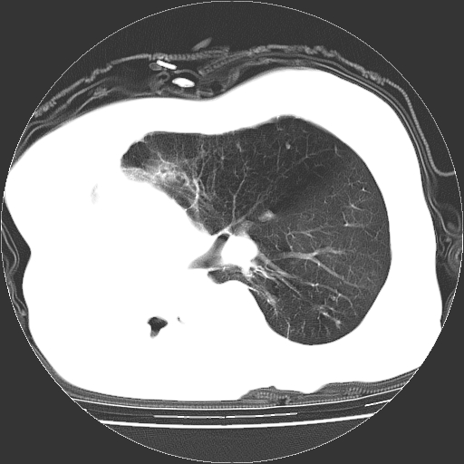
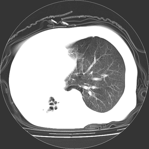
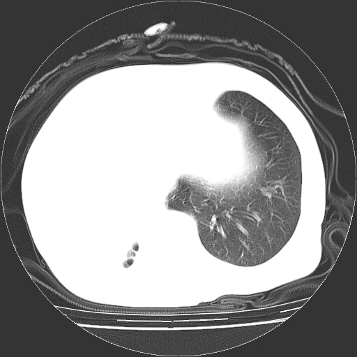
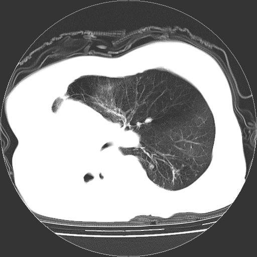
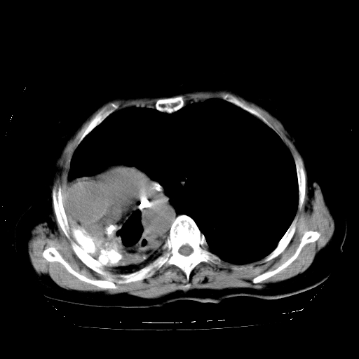
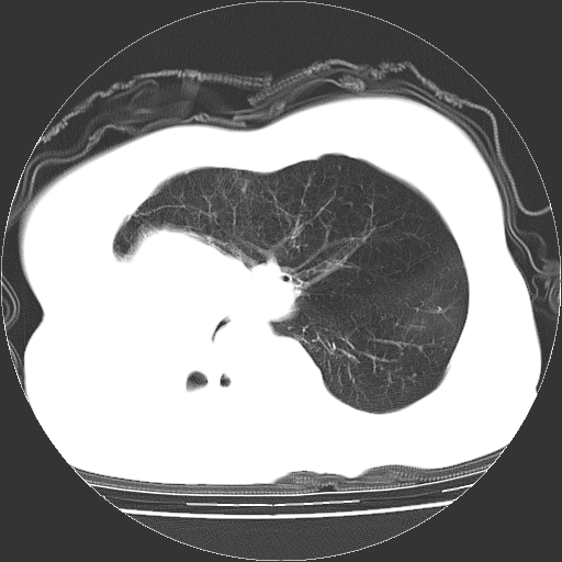
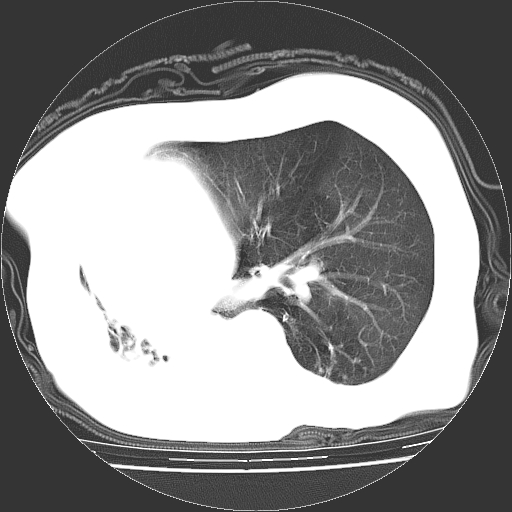
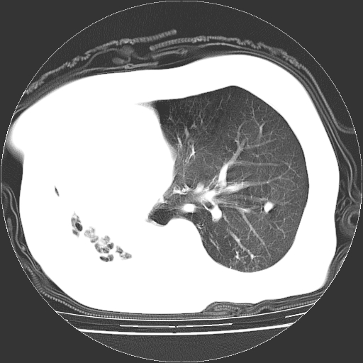
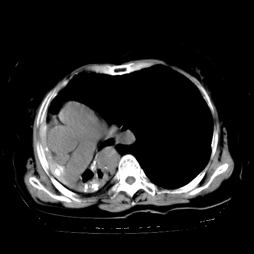
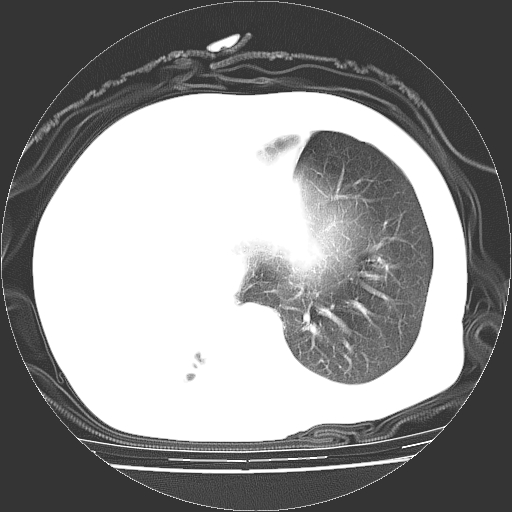
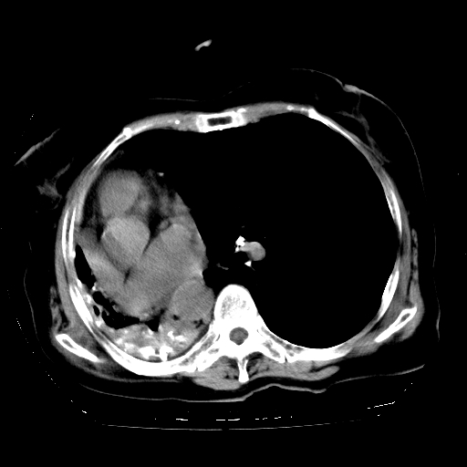
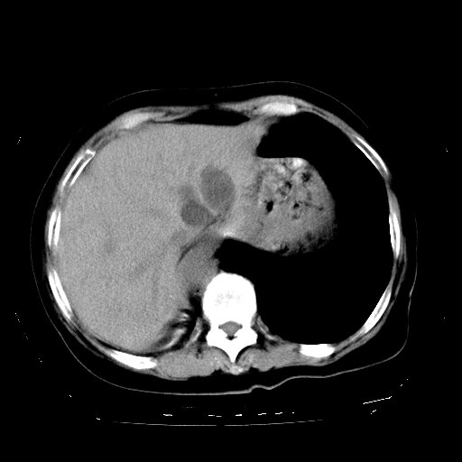
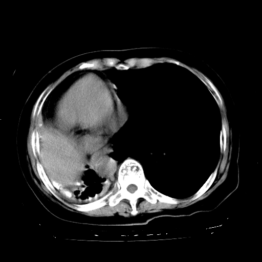
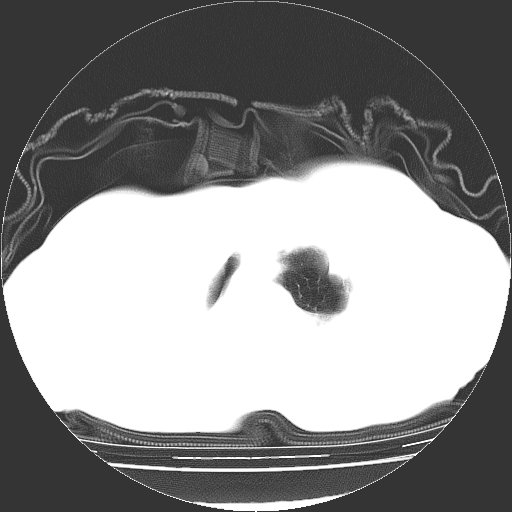
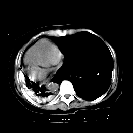
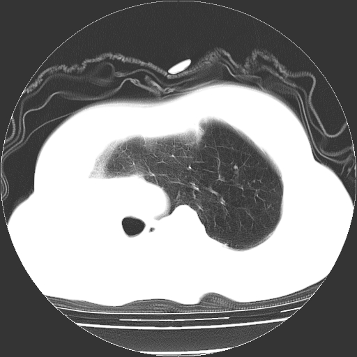
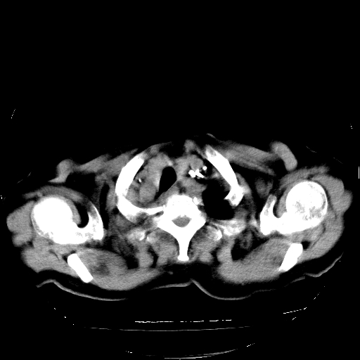
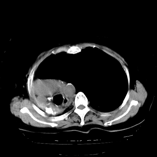
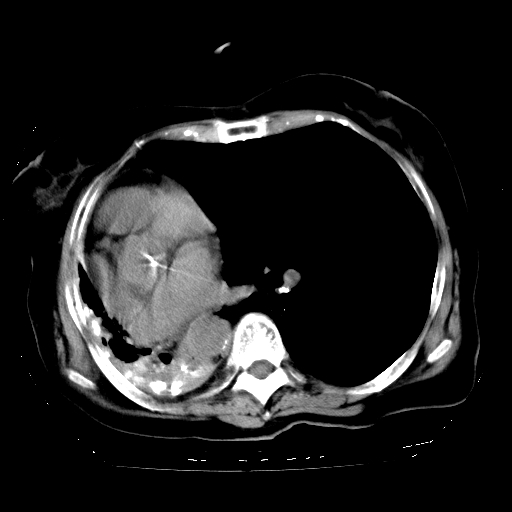
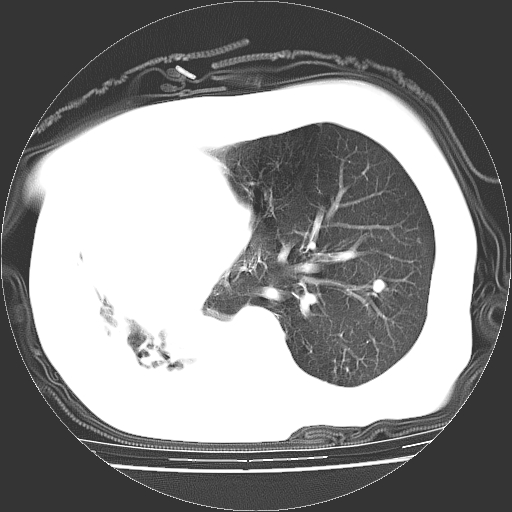
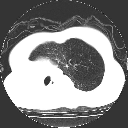
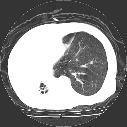
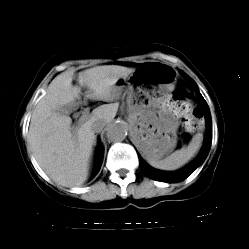
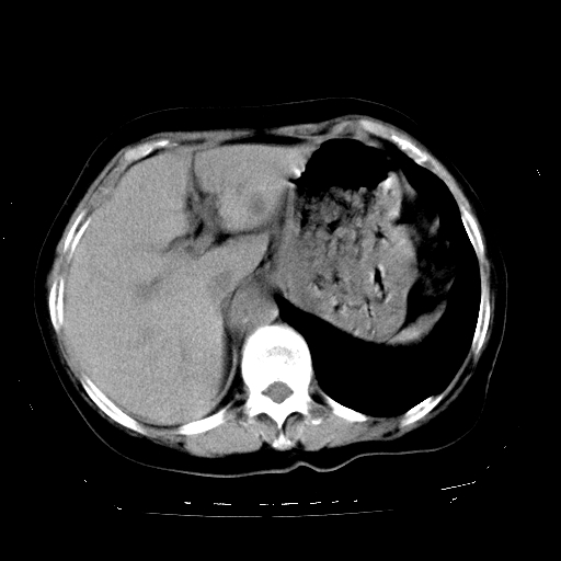
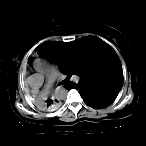
女,72岁,咳嗽、憋气一周,十年前曾患肺结核及胸膜结核。



















































[本贴已被 翁志蓬 于 2010-1-6 1:07:12 修改过]

作者: leilei3818    时间: 2010-1-6 02:52
右侧毁损肺,右侧纵隔疝
作者: 天堂鸟    时间: 2010-1-6 03:06
支持楼上
作者: 卜一    时间: 2010-1-6 03:39
右侧毁损肺,右侧纵隔疝,左肺代偿!
作者: xihan    时间: 2010-1-6 03:54
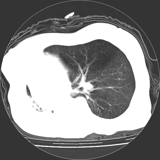
右侧肺硬变,左肺代偿气肿。
作者: zsl6918    时间: 2010-1-6 03:57
右侧毁损肺并纵隔疝
作者: 老爱克斯    时间: 2010-1-6 04:00
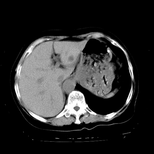
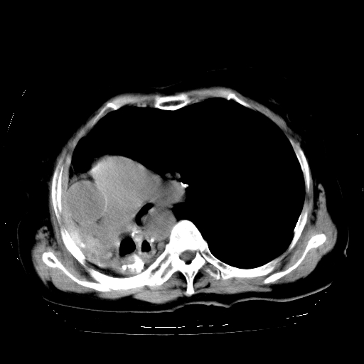
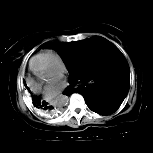
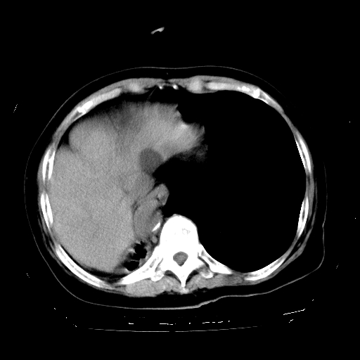
1.右侧损毁肺伴胸膜钙化,2.左肺小结节灶,良性可能大,注意复查。3.肝脏左叶囊肿。4.先天性一侧肺不发育待出外(右侧胸廓无明显塌陷)。对比原片应该非常有帮助。
作者: yangyang2000    时间: 2010-1-6 04:15
右侧毁损肺并纵隔疝
作者: 科室第一人    时间: 2010-1-6 04:21
肝脏转移
作者: 宝天曼    时间: 2010-1-6 04:24
右侧毁损肺,右侧纵隔疝,左肺代偿!
作者: yangyudong333    时间: 2010-1-6 04:25
右侧毁损肺并纵隔疝
作者: zxl51642    时间: 2010-1-6 04:34
标题: 回复:女,72岁,咳嗽、憋气一周。
以下是引用老爱克斯新网客在2010-1-5 20:00:00的发言:[br]1.右侧损毁肺伴胸膜钙化,2.左肺小结节灶,良性可能大,注意复查。3.肝脏左叶囊肿。4.先天性一侧肺不发育待出外(右侧胸廓无明显塌陷)。对比原片应该非常有帮助。

作者: 小青    时间: 2010-1-6 05:51
支持楼上
作者: ydx_74    时间: 2010-1-6 06:23
右侧毁损肺并纵隔疝
作者: 37度    时间: 2010-1-6 06:35
标题: 回复:女,72岁,咳嗽、憋气一周。
以下是引用老爱克斯新网客在2010-1-5 20:00:00的发言:[br]1.右侧损毁肺伴胸膜钙化,2.左肺小结节灶,良性可能大,注意复查。3.肝脏左叶囊肿。4.先天性一侧肺不发育待出外(右侧胸廓无明显塌陷)。对比原片应该非常有帮助。[/quote][br][/quote]
作者: 胡宇    时间: 2010-1-6 06:49
右侧毁损肺,右侧纵隔疝
作者: dyqct    时间: 2010-1-6 06:57
标题: 回复:女,72岁,咳嗽、憋气一周。
以下是引用卜一在2010-1-5 19:39:00的发言:[br]右侧毁损肺,右侧纵隔疝,左肺代偿!

支持!
作者: 深泽交通    时间: 2010-1-6 17:19
支持右肺损毁
作者: shibing    时间: 2010-1-6 19:12
支持楼上,肝脏多发囊肿
作者: 吴医师    时间: 2010-1-6 19:23
以下是引用卜一在2010-1-5 19:39:00的发言:
右侧毁损肺,右侧纵隔疝,左肺代偿!
作者: 黑白光影    时间: 2010-1-6 23:51
标题: 回复:ct23991:女,72岁,咳嗽、憋气一周。
以下是引用老爱克斯新网客在2010-1-5 20:00:00的发言:[br]1.右侧损毁肺伴胸膜钙化,2.左肺小结节灶,良性可能大,注意复查。3.肝脏左叶囊肿。4.先天性一侧肺不发育待出外(右侧胸廓无明显塌陷)。对比原片应该非常有帮助。

作者: 随光逐影    时间: 2010-1-7 00:01
右侧肺毁损,左肺代偿性肺气肿,纵隔疝。
作者: dr.yang    时间: 2013-4-2 11:05
1.右侧损毁肺伴胸膜钙化,2.左肺小结节灶,良性可能大,注意复查。3.肝脏左叶囊肿。4.先天性一侧肺不发育待出外(右侧胸廓无明显塌陷)。对比原片应该非常有帮助。




欢迎光临 医影在线 (http://bbs.radida.com/bbs/) Powered by Discuz! X3.2