医影在线

标题: CT23993:盆腔CT增强 [打印本页]

作者: qian    时间: 2010-1-6 06:23
标题: CT23993:盆腔CT增强
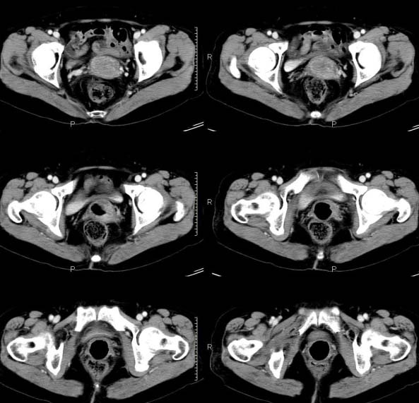
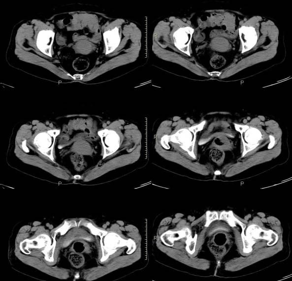
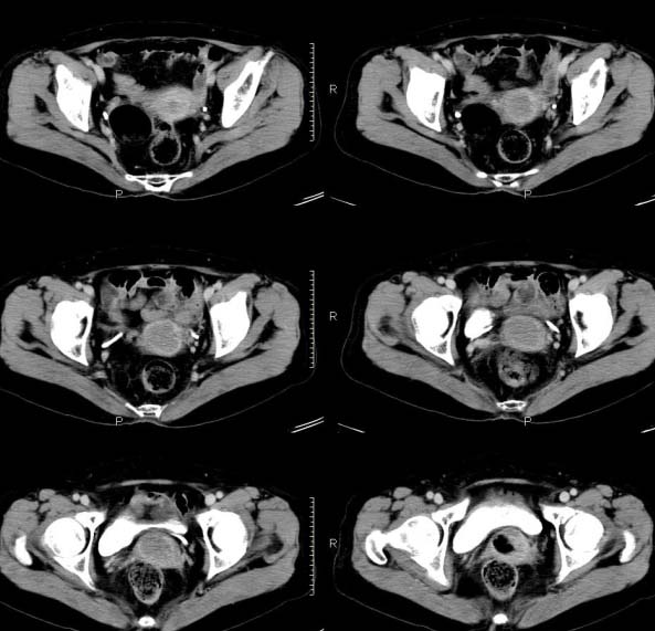
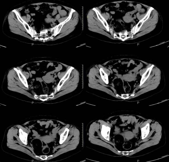
女,63岁,绝经15年,从阴道内有液体流出约1月余,且带有血,患者一般情况很差,在家属搀扶下行走。请大家看看是子宫病变还是宫颈病变?







[本贴已被 翁志蓬 于 2010-1-6 1:26:29 修改过]

作者: dyqct    时间: 2010-1-6 07:01
宫颈占位性病变(不是好东西--癌),建议妇科检查、活检。
作者: 37度    时间: 2010-1-6 08:38
标题: 回复:盆腔ct增强
以下是引用dyqct在2010-1-5 23:01:00的发言:[br]宫颈占位性病变(不是好东西--癌),建议妇科检查、活检。

作者: linyiming    时间: 2010-1-6 09:48
考虑宫颈癌可能性大。建议增强。
作者: 卜一    时间: 2010-1-6 13:34
考虑宫颈癌可能性大。建议增强。
作者: yangyudong333    时间: 2010-1-6 14:21
考虑宫颈癌可能性大。建议增强。
作者: qian    时间: 2010-1-6 15:51
请大家对病灶进行详细描述。
作者: 网易博    时间: 2010-1-6 16:37
宫体癌,病变在宫内粘膜,临床很典型。
作者: 深泽交通    时间: 2010-1-6 17:13
宫腔有积液 但无软组织肿块 考虑炎性变
作者: zxl51642    时间: 2010-1-6 17:56
考虑子宫内膜癌可能性大。建议查hcg等,诊断性刮宫。
作者: 水过无痕    时间: 2010-1-6 18:18
子宫颈体积增大,宫颈壁不均匀性增厚,且不均匀性强化。考虑为宫颈ca。
作者: shibing    时间: 2010-1-6 19:07
宫颈癌
作者: 吴医师    时间: 2010-1-6 19:27
考虑宫颈癌可能性大。建议增强。
作者: xihan    时间: 2010-1-6 20:14
考虑宫颈癌可能性大
作者: sunbin    时间: 2010-1-6 20:56
子宫颈内见低密度影,外形不规则,不均匀强化,考虑占位,子宫颈癌可能性大。
作者: 随光逐影    时间: 2010-1-7 00:05
子宫内膜癌可能。
作者: zsl6918    时间: 2010-1-7 05:16
符合宫颈癌
作者: yangyang2000    时间: 2010-1-7 05:31
考虑子宫内膜癌可能性大。建议查hcg等,诊断性刮宫
作者: 黑白光影    时间: 2010-1-7 05:53
考虑宫颈癌可能性大。建议活检。
作者: yuhongjun    时间: 2010-1-7 14:24
考虑子宫内膜癌可能性大。建议查hcg等,诊断性刮宫。




欢迎光临 医影在线 (http://bbs.radida.com/bbs/) Powered by Discuz! X3.2