医影在线

标题: CT23994:男、72、咳嗽、气短两月余,近来消瘦。 [打印本页]

作者: 731208    时间: 2010-1-6 15:55
标题: CT23994:男、72、咳嗽、气短两月余,近来消瘦。


















































[本贴已被 翁志蓬 于 2010-1-6 23:08:32 修改过]

作者: 网易博    时间: 2010-1-6 16:47
机化性肺炎,不排除瘢痕癌纵膈淋巴结转移。
作者: lizhiguang    时间: 2010-1-6 16:53
炎性病变,结核不出外
作者: 深泽交通    时间: 2010-1-6 17:09
考虑tb并瘢痕性肺不张 不除外肺泡癌
作者: 影像的学    时间: 2010-1-6 17:12
支持楼上
作者: muzi888    时间: 2010-1-6 17:43
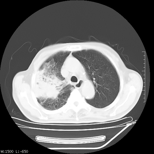
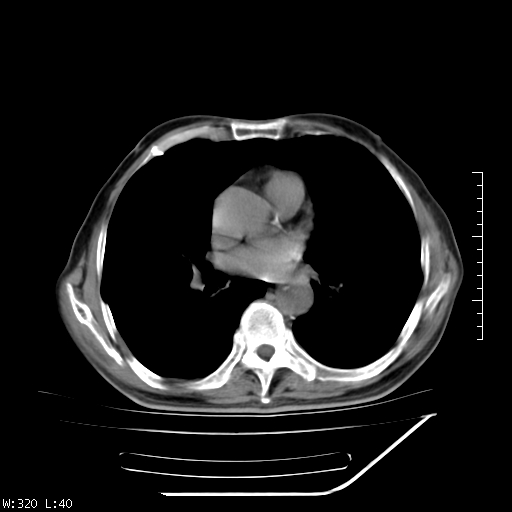
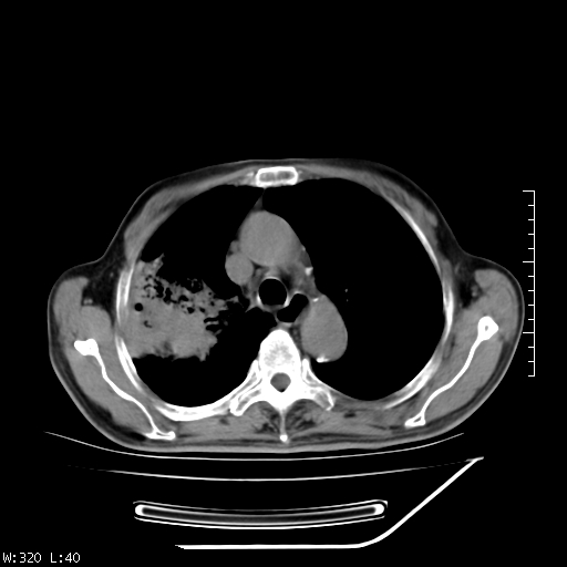
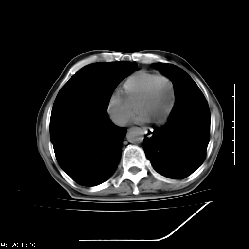
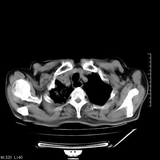
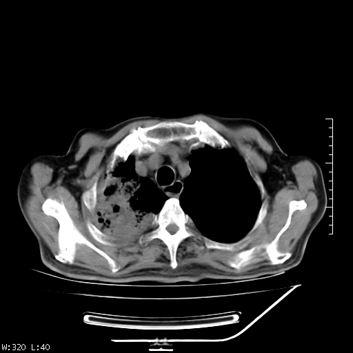
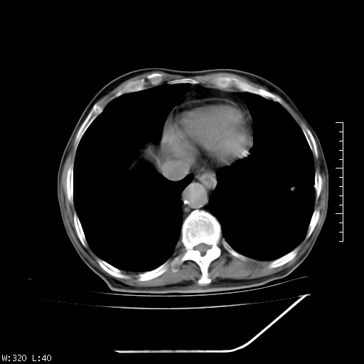
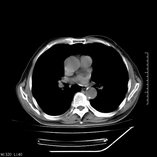
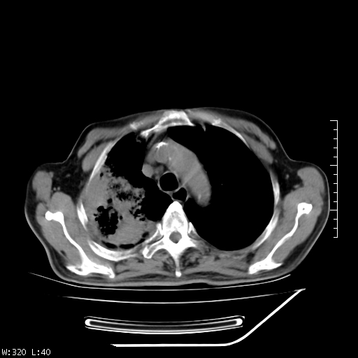
右上肺实变,与胸膜关系密切,右肺容积缩小,隆突下淋巴结增大,考虑1 肺结核 2 肺癌
作者: zxl51642    时间: 2010-1-6 17:58
慢性机化性肺炎,抗炎后复查,排除tb及肺泡癌。
作者: 水过无痕    时间: 2010-1-6 18:05
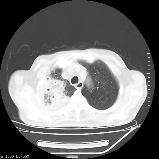
tb可能性大(双肺均可见片状密度增高灶,其内可见低密度空洞)。
作者: 沉默是金    时间: 2010-1-6 18:39
不排除瘢痕癌
作者: zhengfaming    时间: 2010-1-6 18:52
还是支持炎症改变,不除外肺癌和tb可能
作者: shuiyuan    时间: 2010-1-6 19:05
双肺继发性肺结核
作者: shibing    时间: 2010-1-6 19:05
考虑tb并瘢痕性肺不张 不除外肺泡癌
作者: 吴医师    时间: 2010-1-6 19:38
tb可能性大,不除外肺癌 可能。
作者: 科室第一人    时间: 2010-1-6 19:39
穿刺定性
作者: sdzyy    时间: 2010-1-6 20:09
tb可能性大
作者: 37度    时间: 2010-1-6 20:11
标题: 回复:男、72、咳嗽、气短两月余,近来消瘦。
以下是引用zxl51642在2010-1-6 9:58:00的发言:[br]慢性机化性肺炎,抗炎后复查,排除tb及肺泡癌。

作者: xihan    时间: 2010-1-6 20:21
考虑tb并瘢痕性肺不张 不除外肺泡癌
作者: wu8859240    时间: 2010-1-6 21:04
考虑结核。。不除外ca   建议穿刺
作者: sunbin    时间: 2010-1-6 21:30
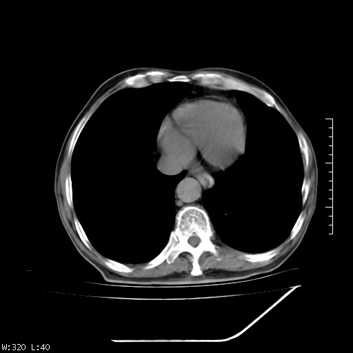
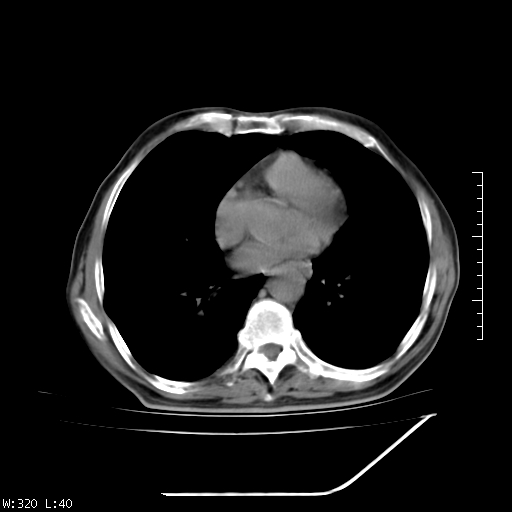
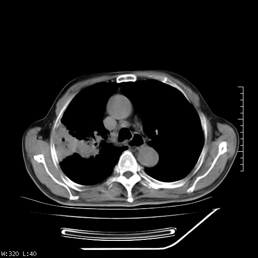
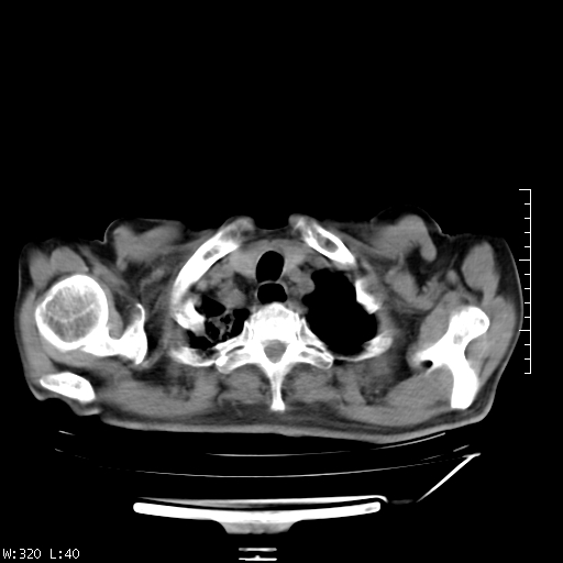
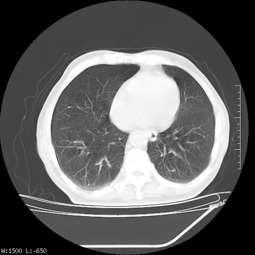
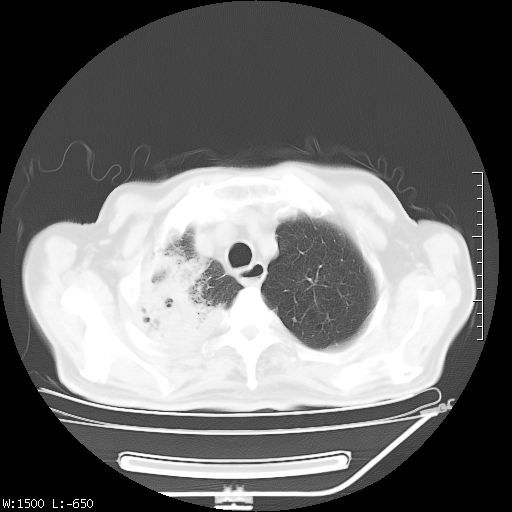
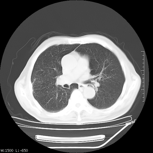
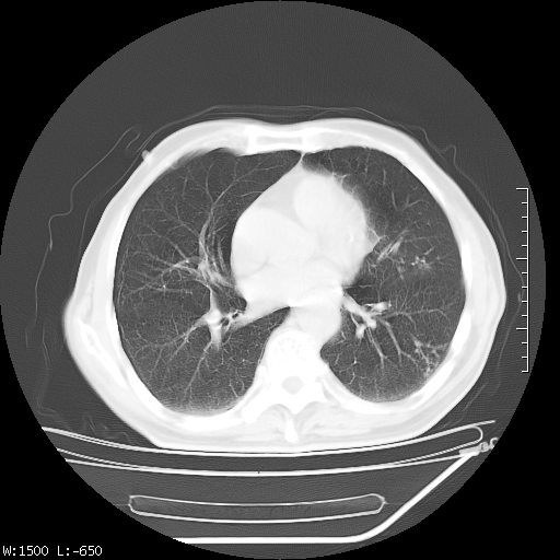
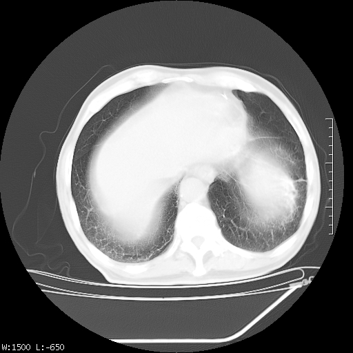
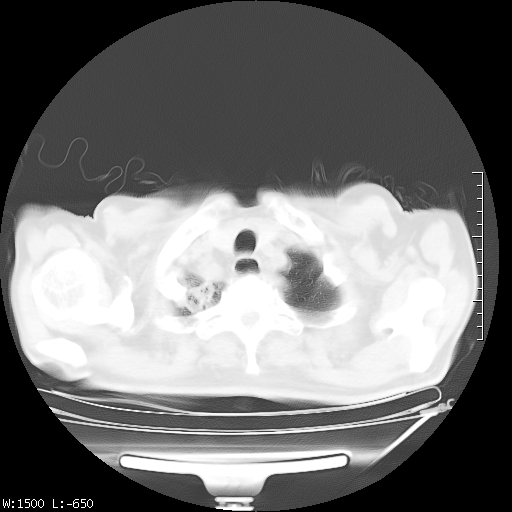
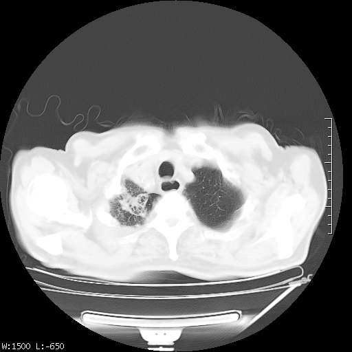
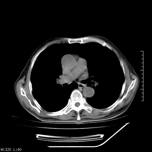
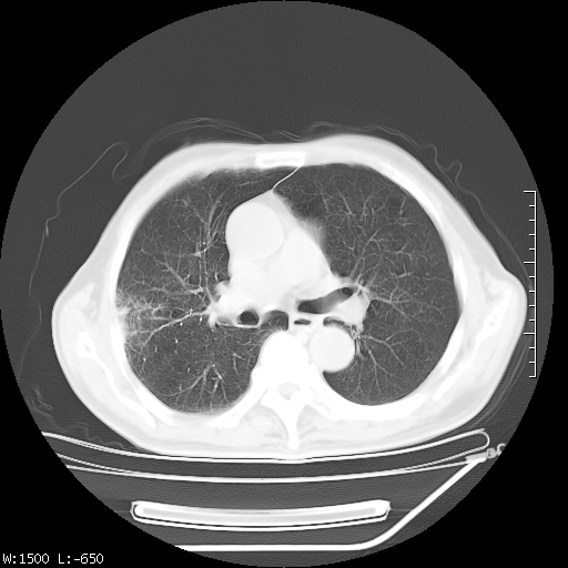
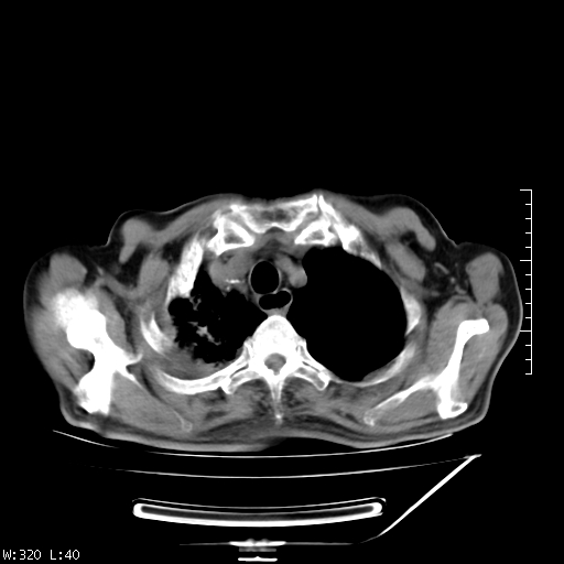
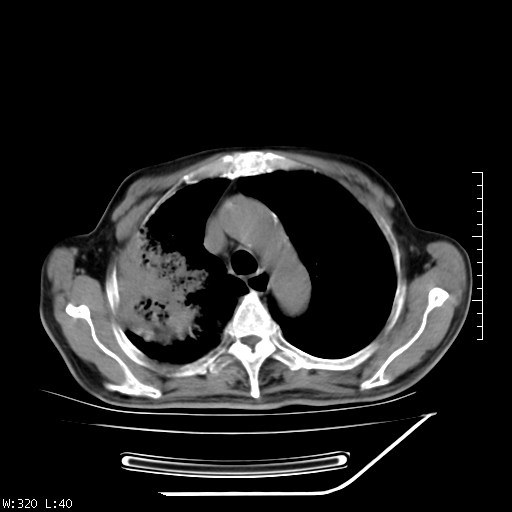
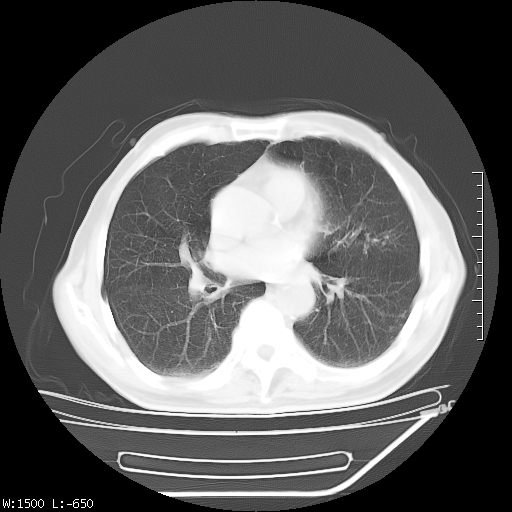
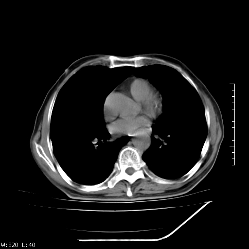
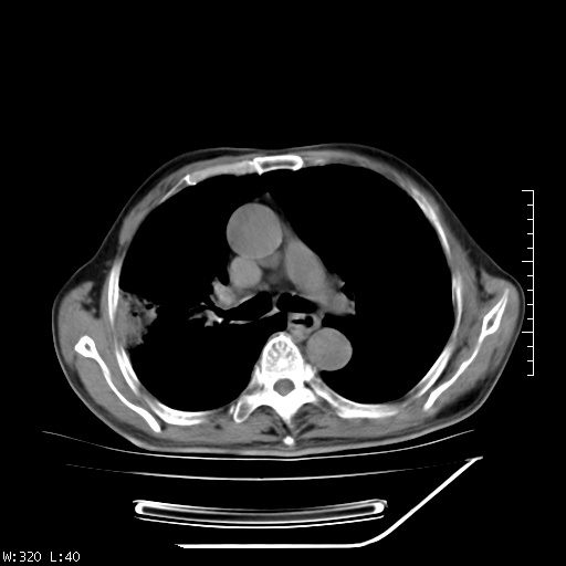
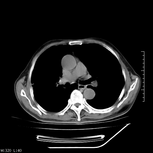
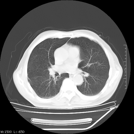
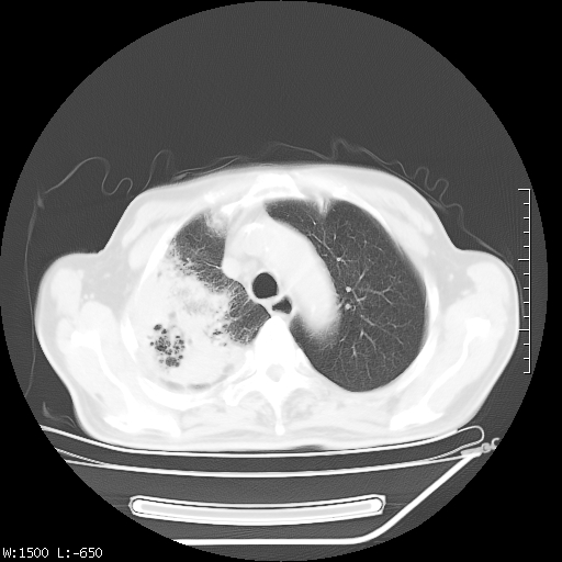
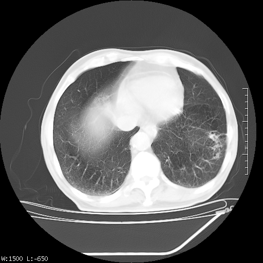
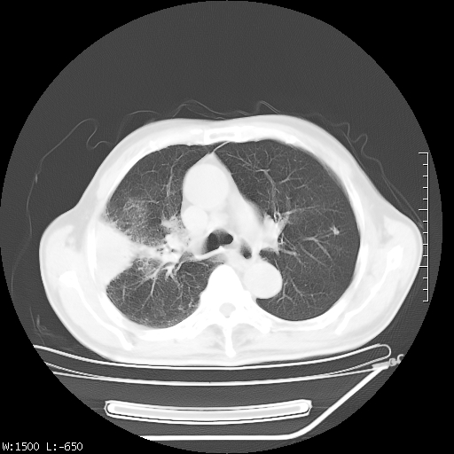
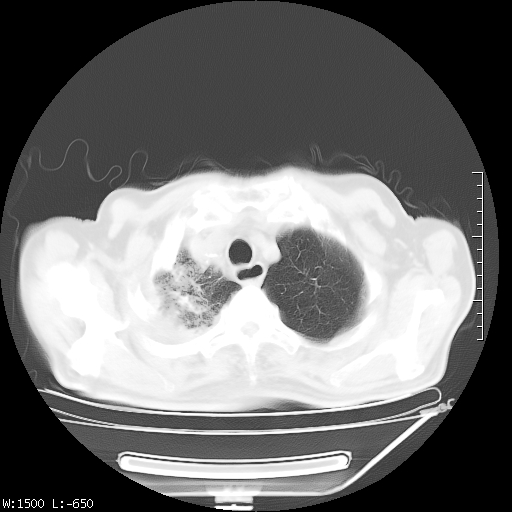
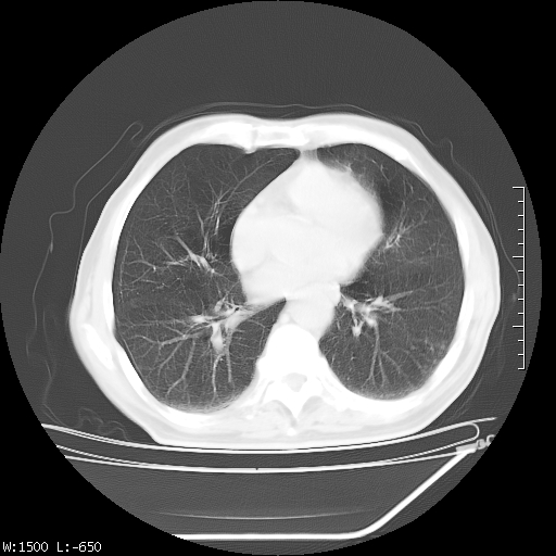
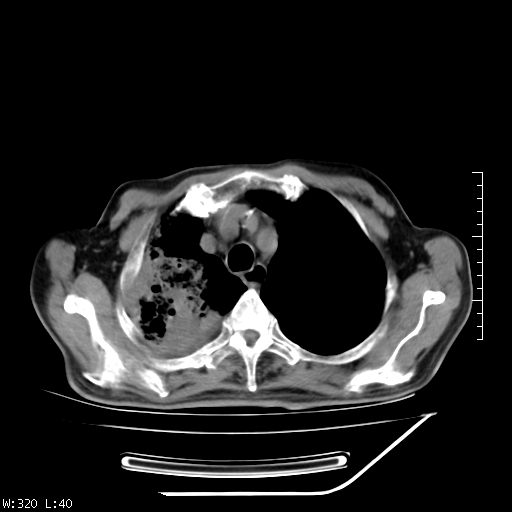
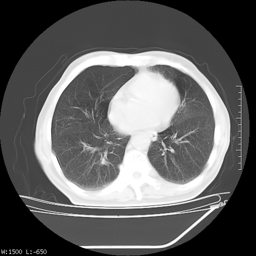
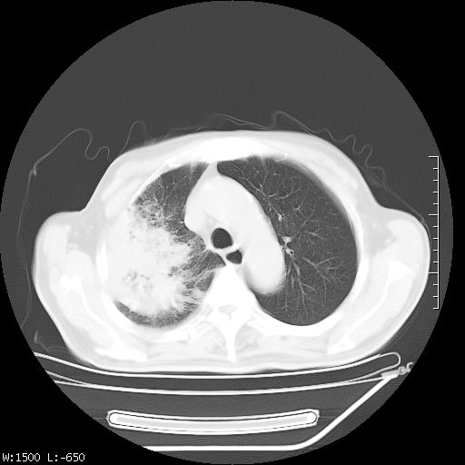
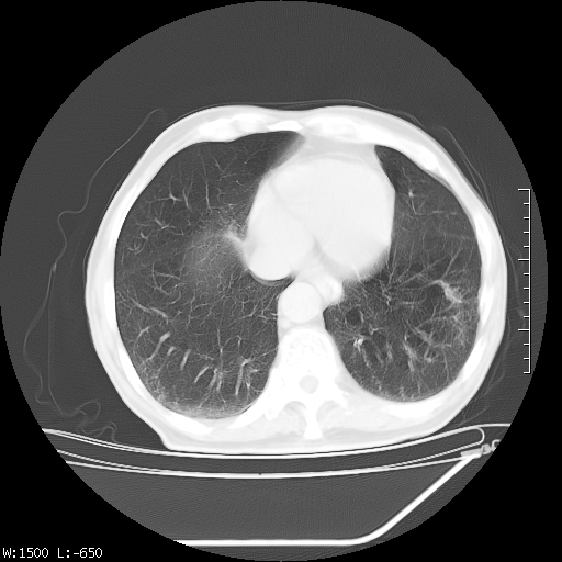
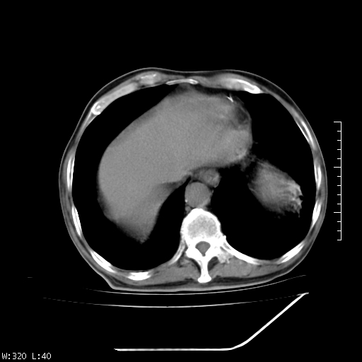
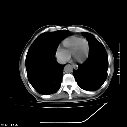
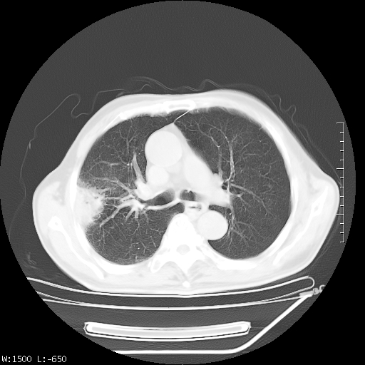
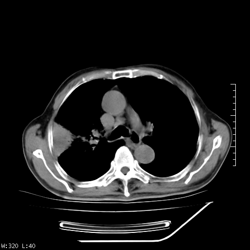
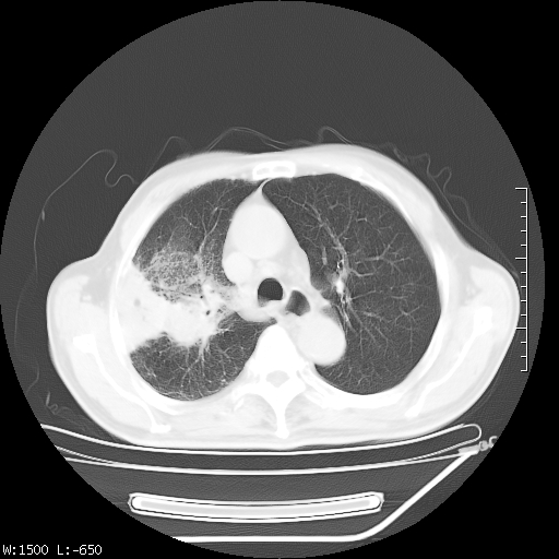
右上肺大片状密度增高影,与胸膜关系密切,内见低密度透亮影,胸膜下可见三角形不张影,左下肺沿支气管走形结节影,纵膈内淋巴结显示。考虑结核并疤痕性不张可能性大,建议穿刺活检,排除肺泡癌。
作者: 破釜沉舟    时间: 2010-1-6 22:47
考虑炎症,tb不能除外。
作者: hhhhhh6    时间: 2010-1-6 23:16
考虑结核建议复查
作者: 随光逐影    时间: 2010-1-7 00:07
标题: 回复:男、72、咳嗽、气短两月余,近来消瘦。
以下是引用zxl51642在2010-1-6 9:58:00的发言:[br]慢性机化性肺炎,抗炎后复查,排除tb及肺泡癌。

作者: zsl6918    时间: 2010-1-7 05:10
建议抗炎治疗复查
作者: yangyang2000    时间: 2010-1-7 05:35
tb可能性大
作者: 黑白光影    时间: 2010-1-7 05:52
标题: 回复:男、72、咳嗽、气短两月余,近来消瘦。
以下是引用网易博在2010-1-6 8:47:00的发言:[br]机化性肺炎,不排除瘢痕癌纵膈淋巴结转移。

作者: yuhongjun    时间: 2010-1-7 14:26
还是支持炎症改变,不除外肺癌和tb可能
作者: ZJB    时间: 2010-1-7 20:45
标题: 回复:ct23994:男、72、咳嗽、气短两月余,近来消瘦。
以下是引用muzi888在2010-1-6 9:43:00的发言:[br]右上肺实变,与胸膜关系密切,右肺容积缩小,隆突下淋巴结增大,考虑1 肺结核 2 肺癌

作者: dr.yang    时间: 2013-4-2 11:20
右上肺大片状密度增高影,与胸膜关系密切,内见低密度透亮影,胸膜下可见三角形不张影,左下肺沿支气管走形结节影,纵膈内淋巴结显示。考虑结核并疤痕性不张可能性大,建议穿刺活检,排除肺泡癌。




欢迎光临 医影在线 (http://bbs.radida.com/bbs/) Powered by Discuz! X3.2