医影在线

标题: CT23995:女,42岁,前额部外伤1小时,伤后头痛。 [打印本页]

作者: wpf    时间: 2010-1-6 16:18
标题: CT23995:女,42岁,前额部外伤1小时,伤后头痛。
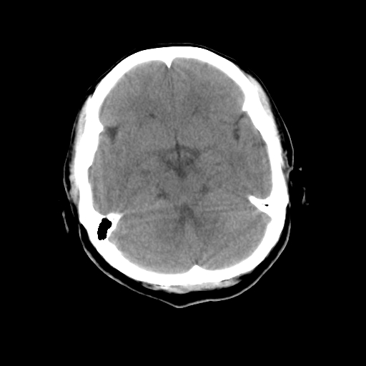
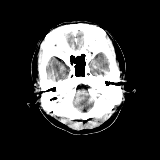
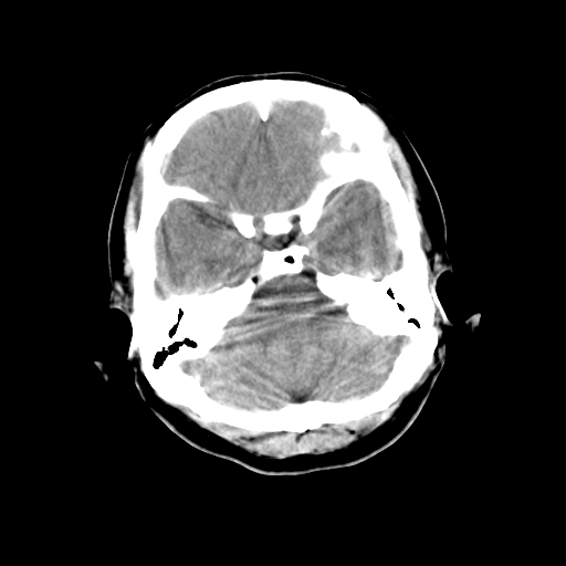
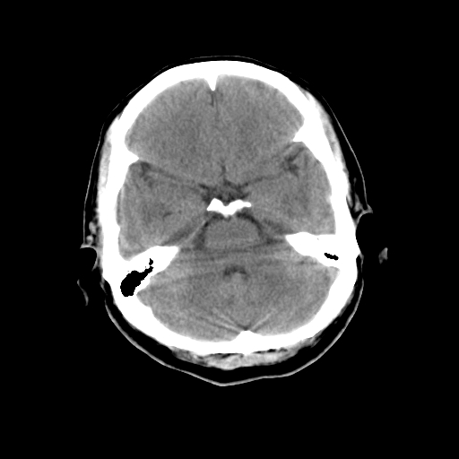
女,42岁,前额部外伤1小时,伤后头痛。

























[本贴已被 翁志蓬 于 2010-1-6 23:09:32 修改过]

作者: 学者~『风    时间: 2010-1-6 16:41
头颅ct平扫未见异常
作者: muzi888    时间: 2010-1-6 16:43
未见明显异常!
作者: zhuming943066    时间: 2010-1-6 16:44
猜一个:左枕骨嗜酸性肉芽肿?但不具膨胀性,难说
作者: wansheng    时间: 2010-1-6 17:04
颅脑ct平扫未见异常,必要时复查
作者: 深泽交通    时间: 2010-1-6 17:04
考虑枕骨血管瘤
作者: zxl51642    时间: 2010-1-6 18:02
颅内未见明显异常,枕骨松质骨瘤可能性大。颅骨板障起源骨瘤较常见,骨血管瘤有垂直骨针及粗大钙化,嗜酸性肉芽肿软组织有改变,典型者可见“纽扣状”死骨,年龄通常较小。
作者: shibing    时间: 2010-1-6 18:34
良性骨肿瘤或肿瘤样病变
作者: 37度    时间: 2010-1-6 19:33
标题: 回复:女,42岁,前额部外伤1小时,伤后头痛。
以下是引用深泽交通医院在2010-1-6 9:04:00的发言:[br]考虑枕骨血管瘤

作者: 吴医师    时间: 2010-1-6 19:43
枕骨松质骨良性病变。
作者: sdzyy    时间: 2010-1-6 19:49
未见明显外伤性改变。
作者: 987654zwf    时间: 2010-1-6 21:43
颅内未见明显异常,枕骨松质骨瘤可能性大。颅骨板障起源骨瘤较常见,骨血管瘤有垂直骨针及粗大钙化,嗜酸性肉芽肿软组织有改变,典型者可见“纽扣状”死骨,年龄通常较小。
作者: sunbin    时间: 2010-1-6 22:39
左枕骨松质骨不均匀低密度灶,边缘清楚,考虑良性松质骨性骨瘤可能性大。
作者: hhhhhh6    时间: 2010-1-6 23:13
标题: 回复:女,42岁,前额部外伤1小时,伤后头痛。
以下是引用sunbin在2010-1-6 14:39:00的发言:[br]左枕骨松质骨不均匀低密度灶,边缘清楚,考虑良性松质骨性骨瘤可能性大。

作者: 随光逐影    时间: 2010-1-7 00:11
不排除左枕骨嗜酸性肉芽肿可能。
作者: zsl6918    时间: 2010-1-7 05:18
未见明显异常
作者: 黑白光影    时间: 2010-1-7 05:48
不排除左枕骨嗜酸性肉芽肿可能。
作者: yangyudong333    时间: 2010-1-7 05:56
枕骨松质骨良性病变。
作者: ct诊断高手    时间: 2010-1-7 06:35
不排除左枕骨嗜酸性肉芽肿可能。
作者: yuhongjun    时间: 2010-1-7 14:14
未见明显异常!




欢迎光临 医影在线 (http://bbs.radida.com/bbs/) Powered by Discuz! X3.2