医影在线
标题: CT23996:f,40.B超提示肿物。 [打印本页]
作者: fanxinyu 时间: 2010-1-6 16:41
标题: CT23996:f,40.B超提示肿物。














[本贴已被 fanxinyu 于 2010-1-6 10:30:42 修改过]
[本贴已被 翁志蓬 于 2010-1-6 23:42:58 修改过]
作者: zhuming943066 时间: 2010-1-6 16:46
来个增强,谢谢
作者: 影像的学 时间: 2010-1-6 17:01
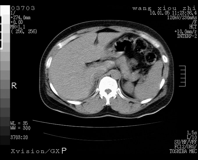
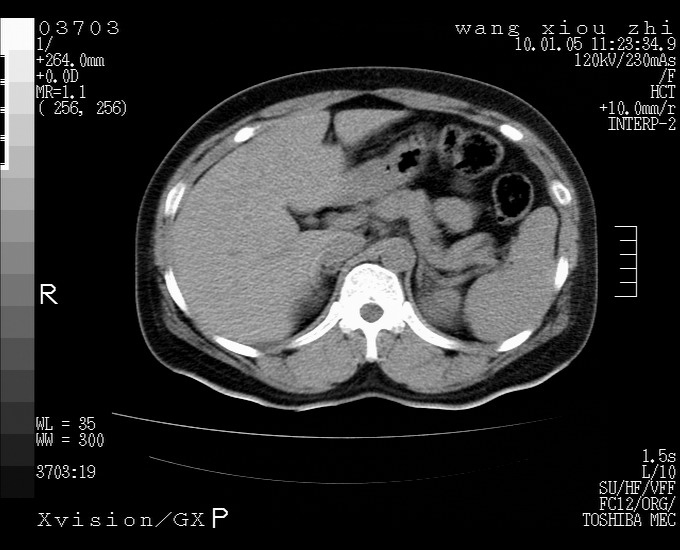
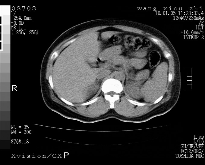
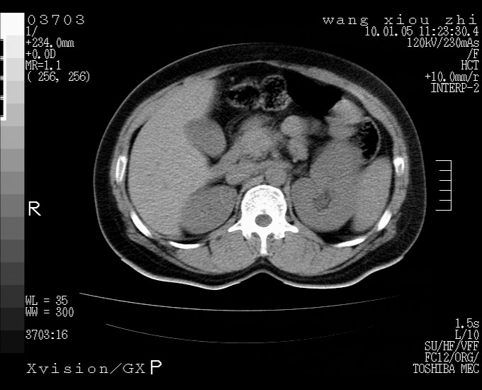
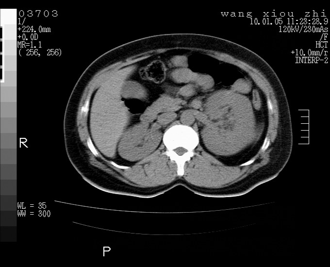
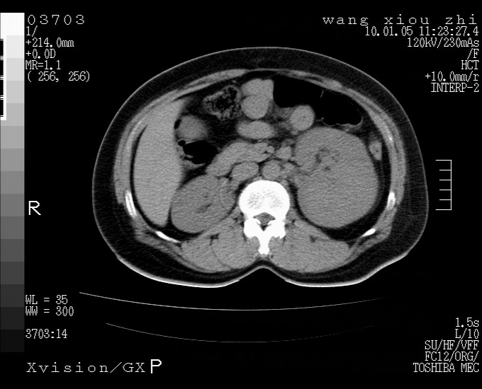
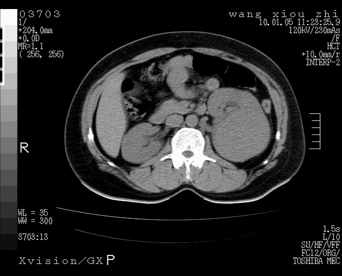
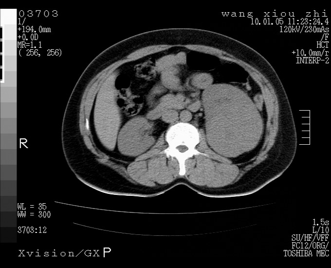
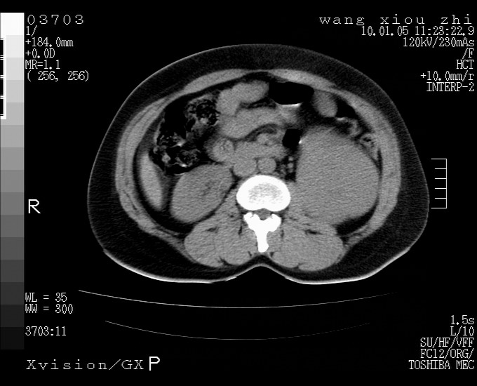
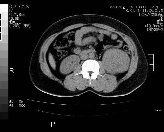
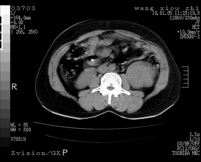
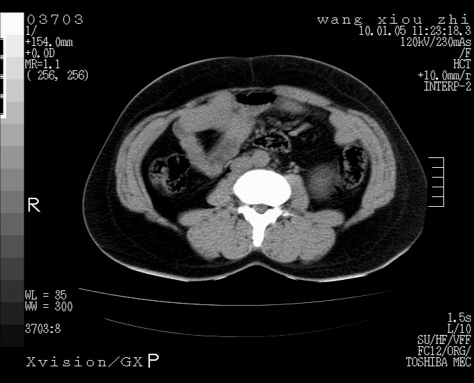
左肾体积增大!下极见一密度略高团状软组织影!肾周结构组织未见明显异常!考虑左肾占位!建议增强!病史?
作者: wansheng 时间: 2010-1-6 17:02
左肾占位性病变,建议增强。
作者: 深泽交通 时间: 2010-1-6 17:03
实性影 肾癌
作者: 水过无痕 时间: 2010-1-6 18:01
左肾占位性病变,考虑肾癌,建议增强 。
作者: zxl51642 时间: 2010-1-6 18:06
左肾占位,肾门及腹膜后淋巴结肿大,考虑透明细胞癌可能性大,建议增强
作者: shibing 时间: 2010-1-6 18:12
左肾占位性病变,建议增强。
作者: 科室第一人 时间: 2010-1-6 19:23
左肾占位,多为肿瘤性病变
作者: 吴医师 时间: 2010-1-6 19:46
左肾占位性病变,考虑肾癌,建议增强 。
作者: 37度 时间: 2010-1-6 19:48
标题: 回复:f,40.b超提示肿物。
以下是引用水过无痕在2010-1-6 10:01:00的发言:[br]左肾占位性病变,考虑肾癌,建议增强 。
作者: sdzyy 时间: 2010-1-6 20:02
左肾占位性病变,考虑肾癌,建议增强 。
作者: wu8859240 时间: 2010-1-6 20:53
考虑左肾占位。建议增强
作者: lizhiguang 时间: 2010-1-6 21:29
左肾占位性病变,、建议增强
作者: 987654zwf 时间: 2010-1-6 21:39
考虑左肾占位!建议增强!病史?
作者: sunbin 时间: 2010-1-6 22:45
左肾体积增大,内见肿块影,考虑占位,建议增强。
作者: hhhhhh6 时间: 2010-1-6 23:12
左肾占位考虑肾癌
作者: 随光逐影 时间: 2010-1-7 00:13
左肾占位性病变,不排除肾癌可能;建议行进一步检查。
作者: 2008boyBOY 时间: 2010-1-7 03:48
平扫等密度,增强来解决,重复肾也可能
作者: zsl6918 时间: 2010-1-7 04:58
先强化再讨论
作者: yangyang2000 时间: 2010-1-7 05:03
左肾占位性病变,建议增强
作者: 黑白光影 时间: 2010-1-7 05:45
左肾占位性病变,考虑肾癌,建议增强 。
作者: 天海 时间: 2010-1-7 05:48
谁都会考虑左肾癌,增强吧!
作者: yangyudong333 时间: 2010-1-7 06:01
左肾占位性病变,考虑肾癌,建议增强 。
作者: yuhongjun 时间: 2010-1-7 14:18
楼主小哥,我们两家的机器是一样的啊!!
左肾占位性病变,考虑肾癌,建议增强 。
欢迎光临 医影在线 (http://bbs.radida.com/bbs/) |
Powered by Discuz! X3.2 |