医影在线

标题: CT24000:M65,胸痛,胸闷月余,既往慢支,肺气肿,肺心病 [打印本页]

作者: 当兵的    时间: 2010-1-6 19:59
标题: CT24000:M65,胸痛,胸闷月余,既往慢支,肺气肿,肺心病






































[本贴已被 翁志蓬 于 2010-1-6 23:31:55 修改过]

作者: liangshusheng    时间: 2010-1-6 20:55
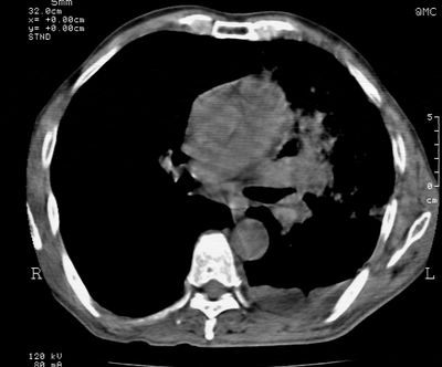
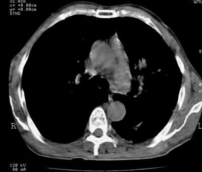
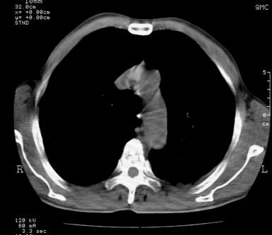
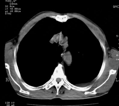
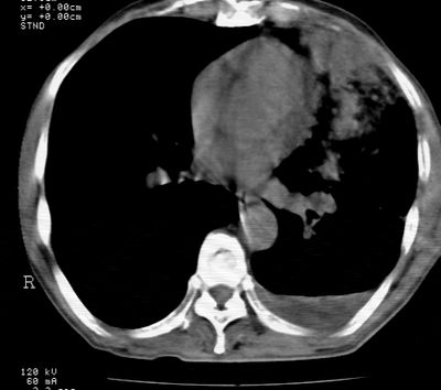
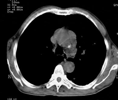
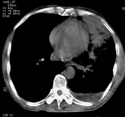
多考虑是肺癌伴阻塞性肺炎及肺不张
作者: lizhiguang    时间: 2010-1-6 21:39
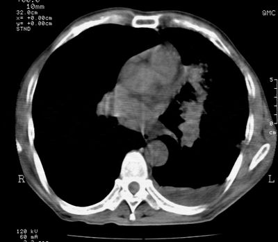
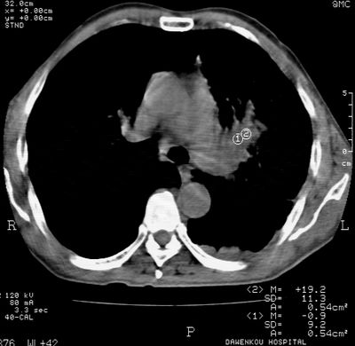
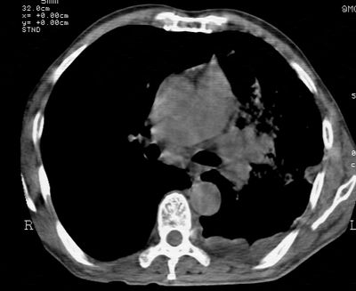
肺癌伴阻塞性肺炎及肺不张,胸膜转移,左侧胸腔积液
作者: 水过无痕    时间: 2010-1-6 22:25
左侧中央型肺癌伴阻塞性肺炎及肺不张,左侧胸腔积液。
作者: 37度    时间: 2010-1-6 22:38
左侧中央型肺癌伴阻塞性肺炎及肺不张,左侧胸腔积液。
作者: hhhhhh6    时间: 2010-1-6 22:55
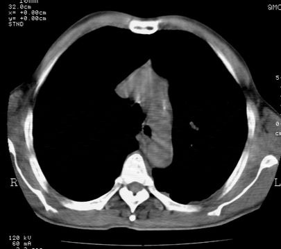
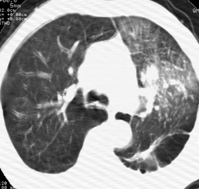
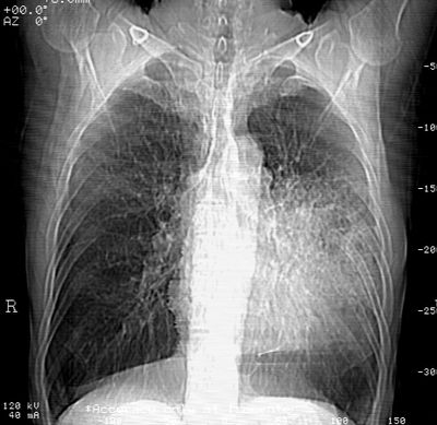
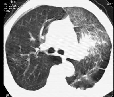
1左侧胸腔积液
2左肺门站位
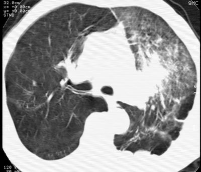
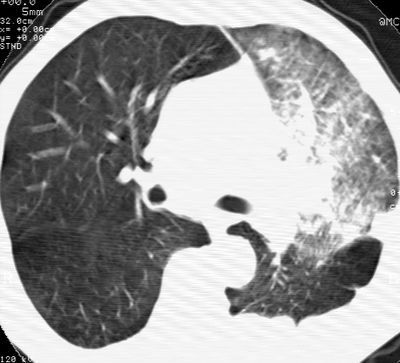
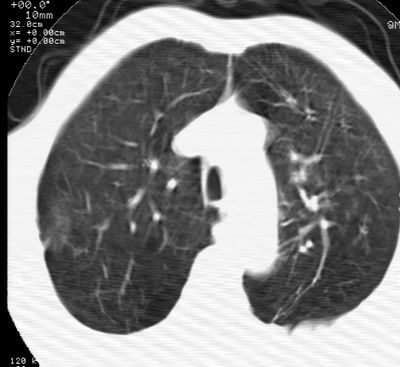
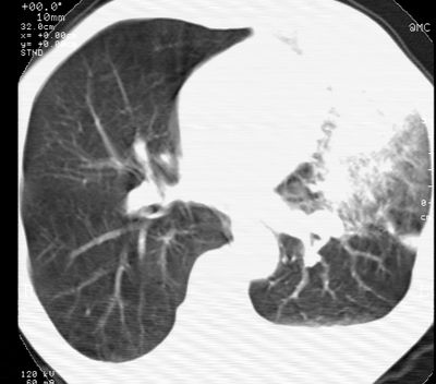
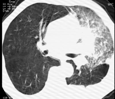
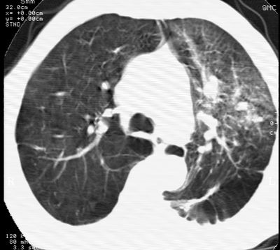
3双肺条索影
4右肺上叶密度增高影考虑右肺上叶肺不张,阻塞性肺炎
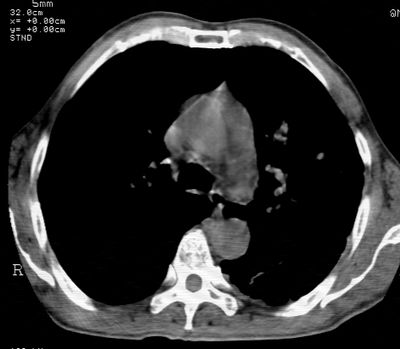
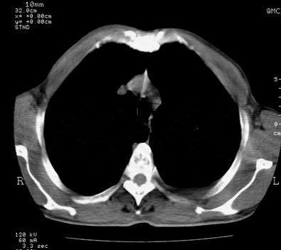
5纵隔内见肿大淋巴结影
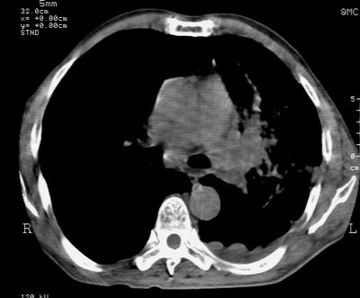
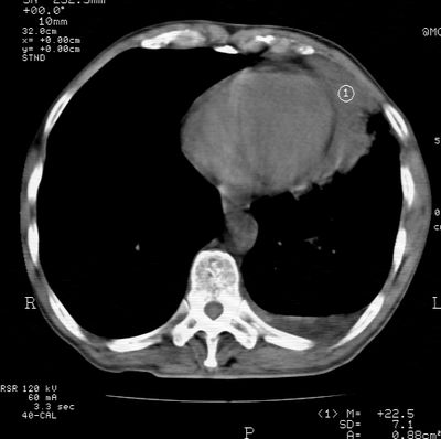
作者: sunbin    时间: 2010-1-6 23:15
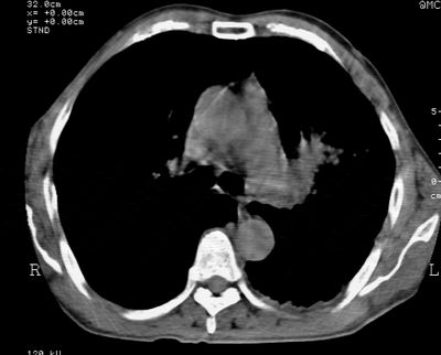
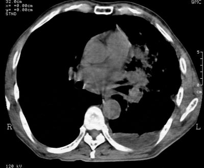
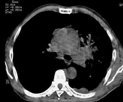
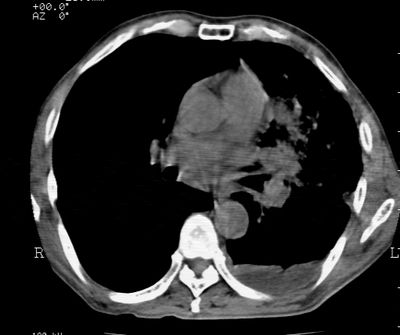
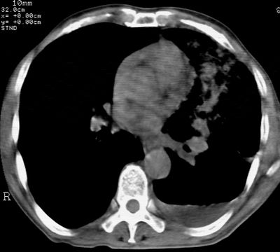
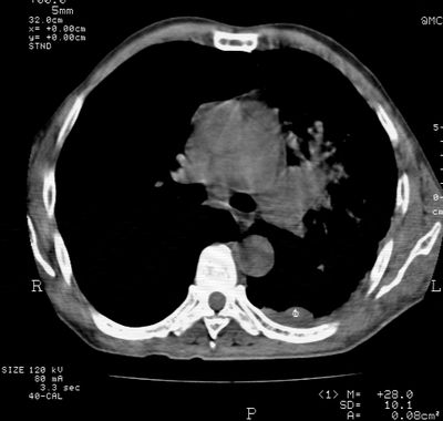
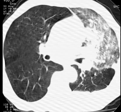
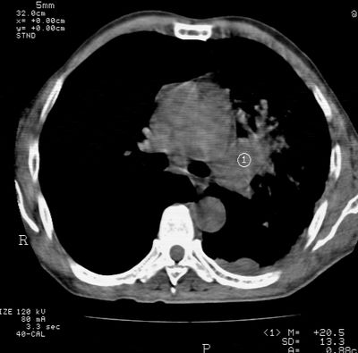
左肺门肿块,相应支气管闭塞,左肺上叶、舌叶大片及散在高密度影,部分呈不张改变,两肺纹粗乱,左侧胸腔积液。考虑左侧中央型肺癌伴阻塞性改变。
作者: 513ytb    时间: 2010-1-6 23:30
多考虑是肺癌伴阻塞性肺炎及肺不张.
作者: 卜一    时间: 2010-1-6 23:42
左侧中央型肺癌伴阻塞性肺炎及肺不张,左侧胸腔积液。
作者: 深泽交通    时间: 2010-1-7 00:16
标题: 回复:m65,胸痛,胸闷月余,既往慢支,肺气肿,肺心病
以下是引用卜一在2010-1-6 15:42:00的发言:[br]左侧中央型肺癌伴阻塞性肺炎及肺不张,左侧胸腔积液。

作者: 随光逐影    时间: 2010-1-7 00:28
1)考虑左侧中央型肺癌伴阻塞性肺炎。2)左侧胸腔积液。
作者: 天海    时间: 2010-1-7 04:38
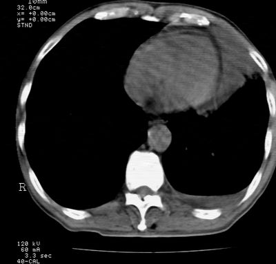
左肺门见巨大软组织肿块影,直径约--,境界清,左上肺叶支气管变窄,左上肺舌叶见大片状密实影,余肺纹理增多、紊乱、纤细、部分网格状,两肺透亮度增高,纵隔内见增大多发淋巴结影,心影略左偏,左侧少量胸腔积液。
左侧中央型肺癌伴左上肺舌叶不张、纵隔淋巴结转移,左侧少量胸腔积液。
作者: zsl6918    时间: 2010-1-7 04:42
中心性肺癌,阻塞性肺炎,少量胸水。
作者: duanhui007    时间: 2010-1-7 04:47
支持!
作者: zxl51642    时间: 2010-1-7 04:48
中心性肺癌,阻塞性肺炎,少量胸水。
作者: 黑白光影    时间: 2010-1-7 05:35
支持肺癌伴阻塞性肺炎及肺不张,胸膜转移,左侧胸腔积液。
作者: yuhongjun    时间: 2010-1-7 14:30
左侧中央型肺癌伴阻塞性肺炎及肺不张,左侧胸腔积液。




欢迎光临 医影在线 (http://bbs.radida.com/bbs/) Powered by Discuz! X3.2