医影在线
标题: CT24002:经典!!!!!!患者,男,57,胸部不适,检查。 [打印本页]
作者: jcw123 时间: 2010-1-6 22:44
标题: CT24002:经典!!!!!!患者,男,57,胸部不适,检查。
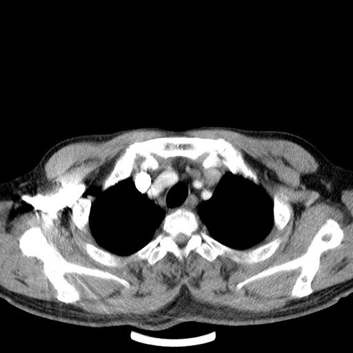
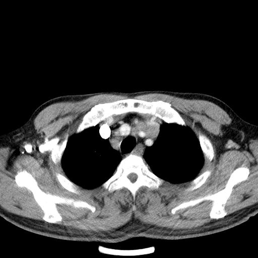
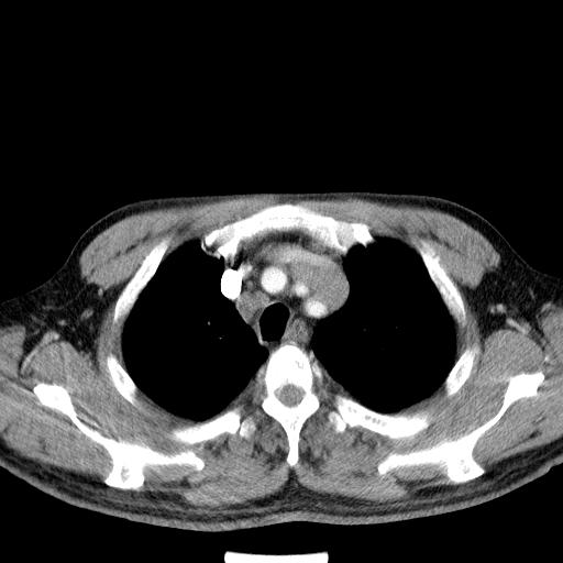
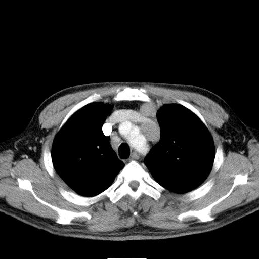
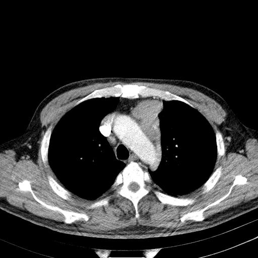
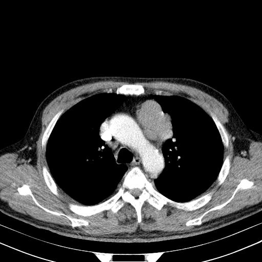
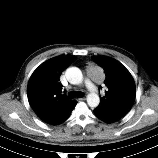
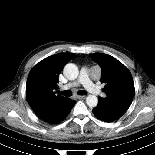
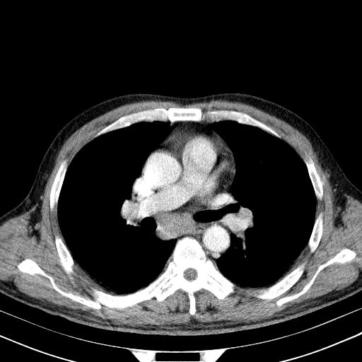
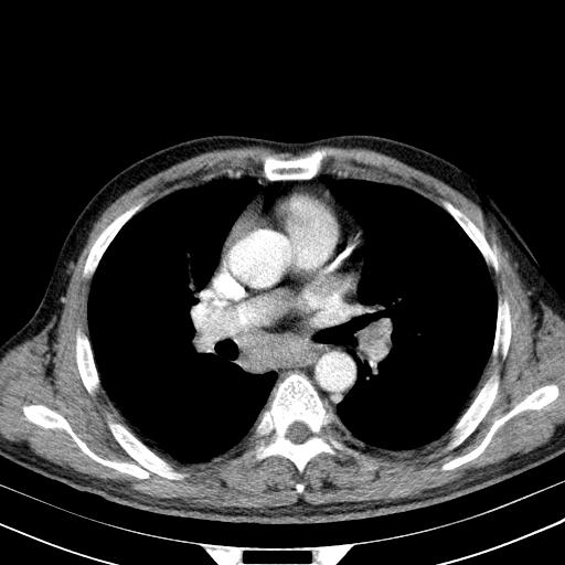
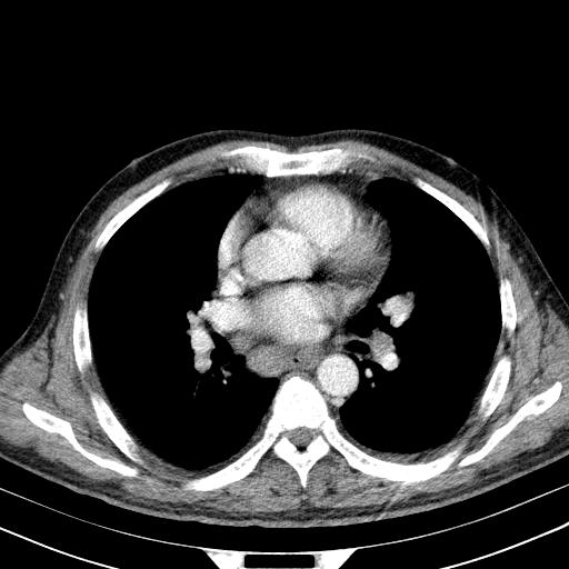
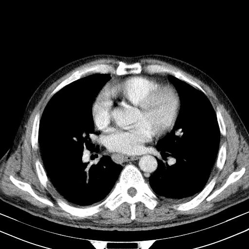
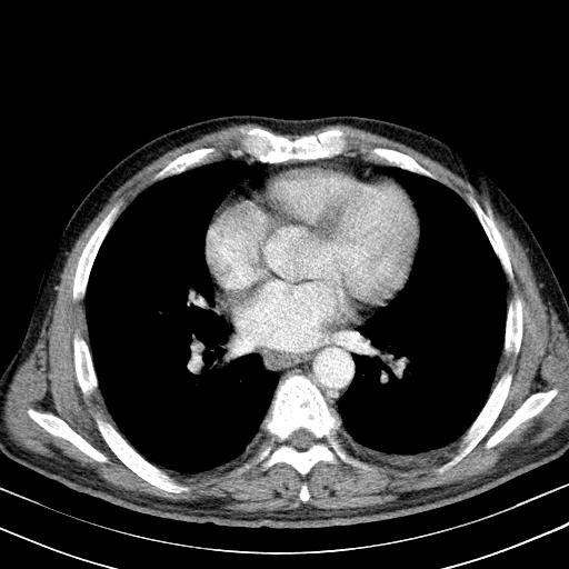
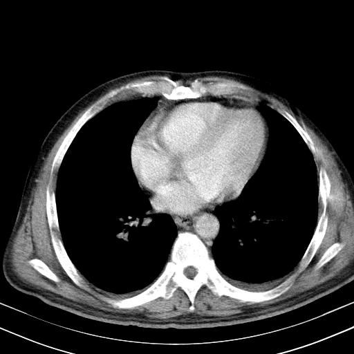
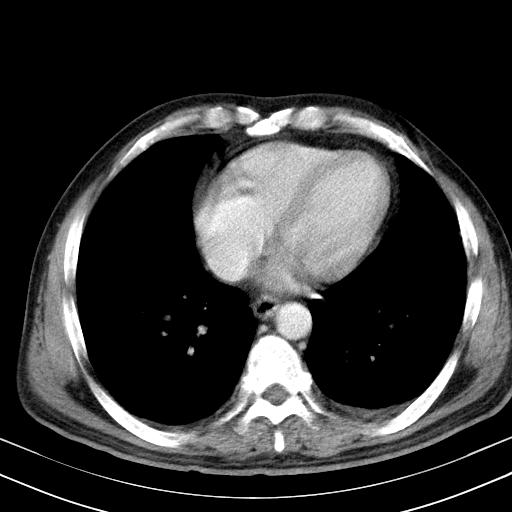
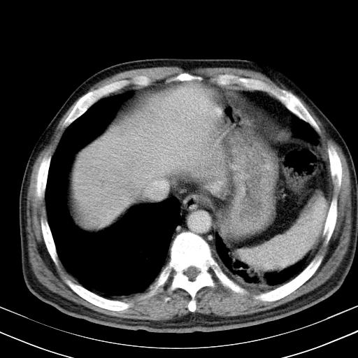
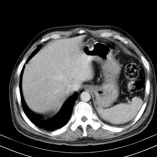
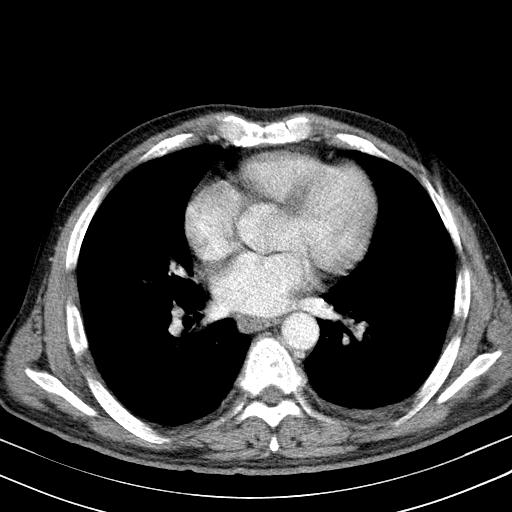
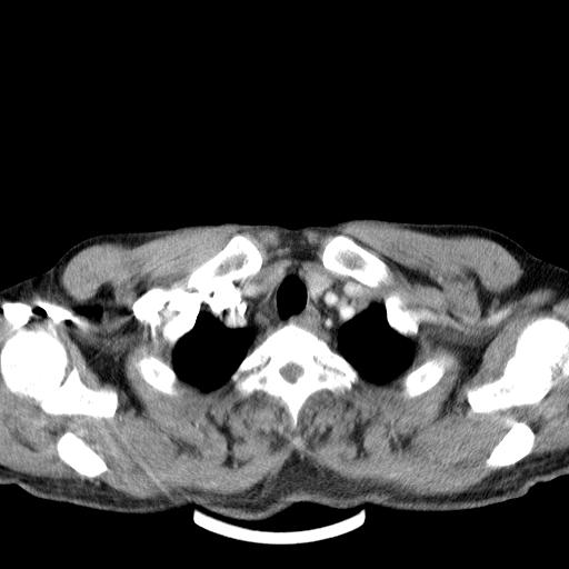
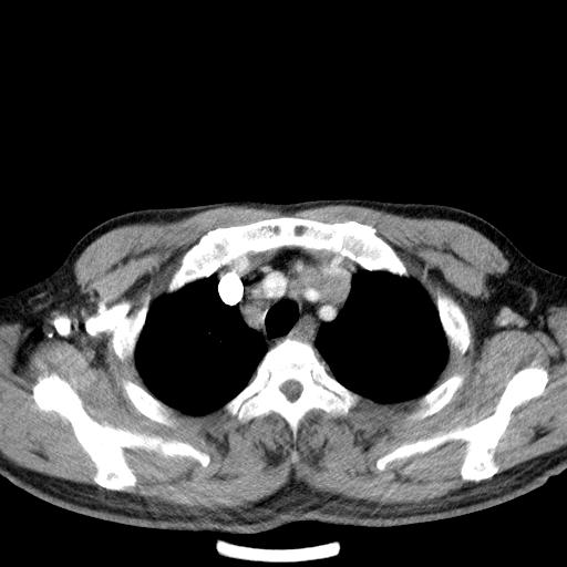
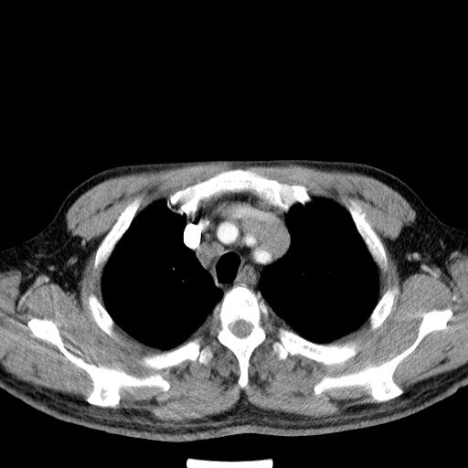
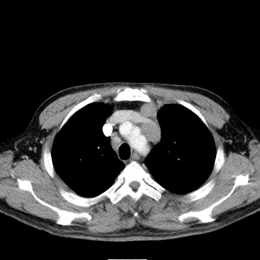
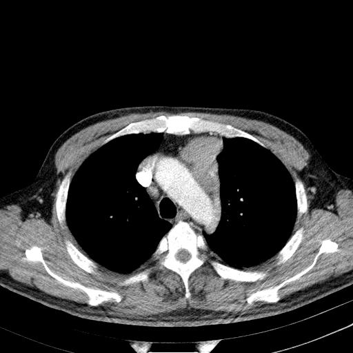
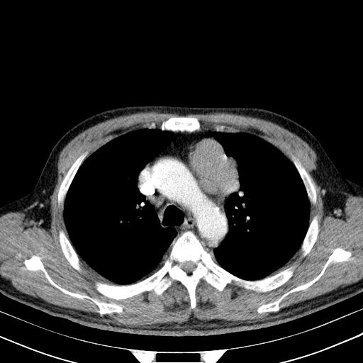
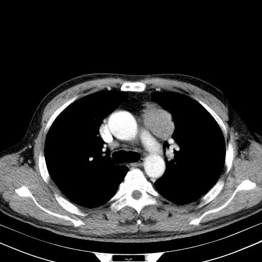
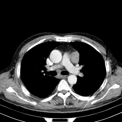
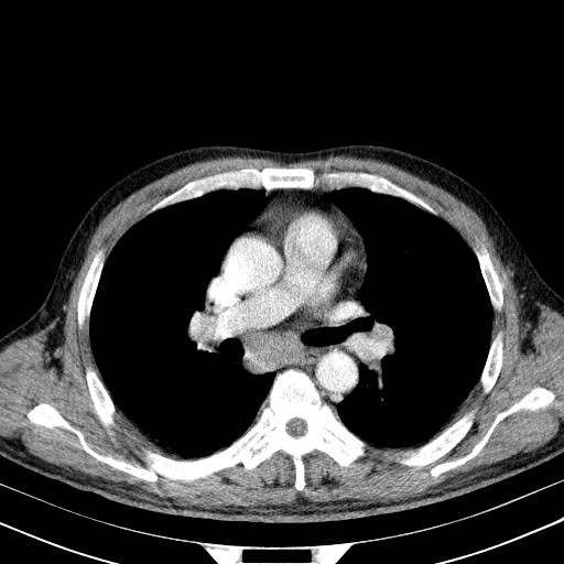
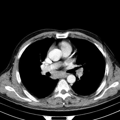
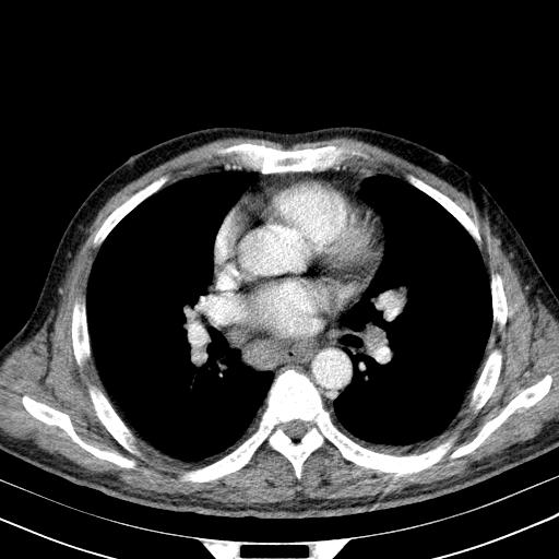
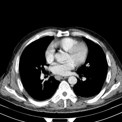
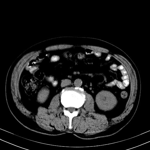
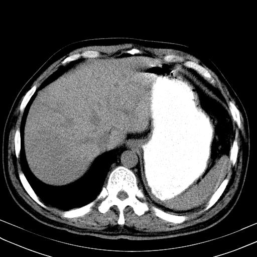
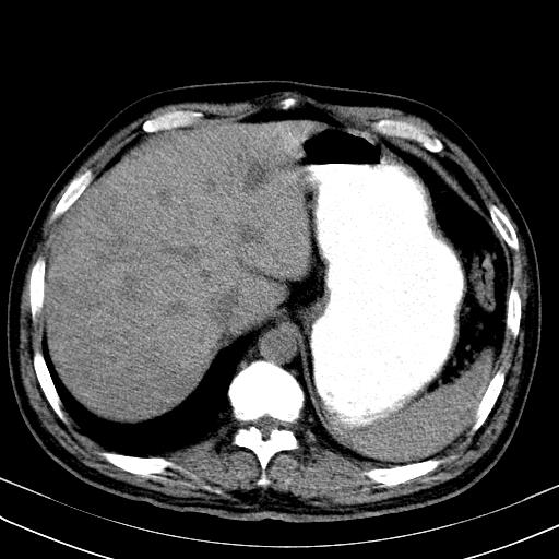
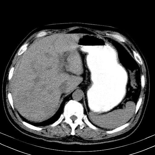
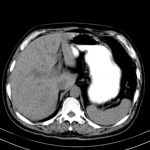
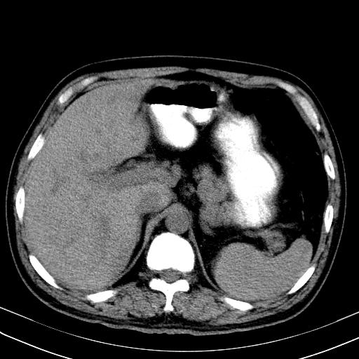
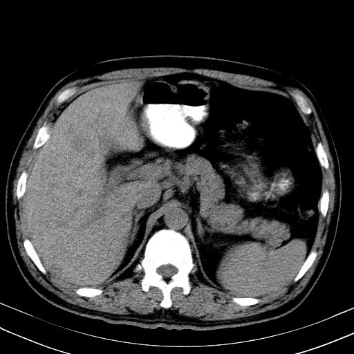
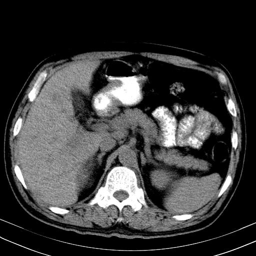
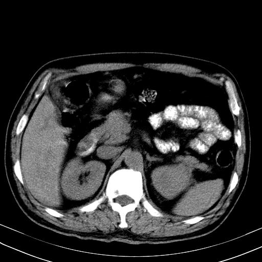
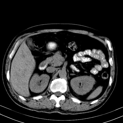
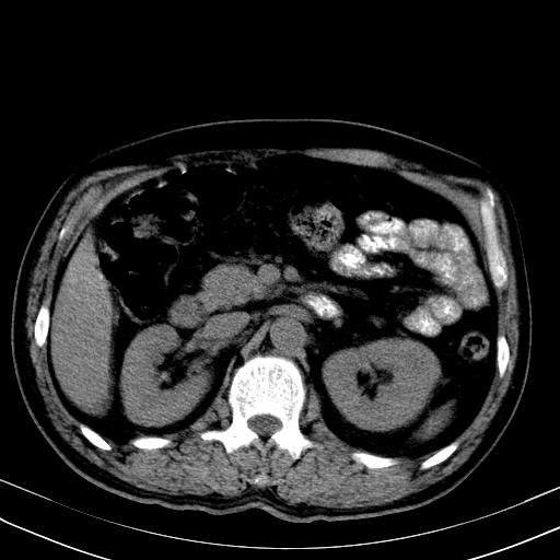
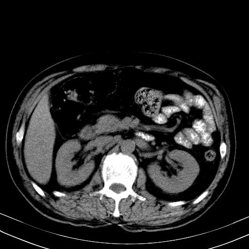
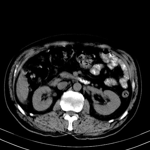
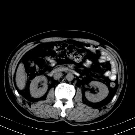
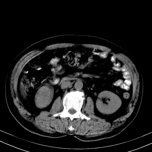
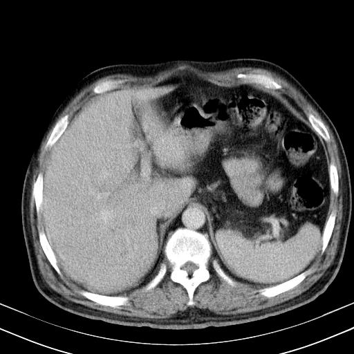
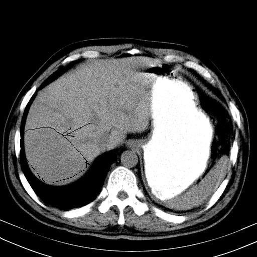
先行ct平扫,纵膈内多发软组织影,ct值约为36hu,以下为增强扫描和腹部平扫。
请会诊
















































[本贴已被 翁志蓬 于 2010-1-6 23:36:38 修改过]
作者: 37度 时间: 2010-1-6 23:25
经典?纵膈多发肿大淋巴结。腹膜后未见异常。
作者: 513ytb 时间: 2010-1-6 23:27
淋巴瘤?胸腺瘤?
作者: lirenxiong 时间: 2010-1-6 23:48
还见胃窦壁增厚!转移亦有可能!
作者: 深泽交通 时间: 2010-1-7 00:12
支持淋巴瘤
作者: lizhiguang 时间: 2010-1-7 00:32
淋巴瘤可能
作者: 随光逐影 时间: 2010-1-7 00:33
1)考虑淋巴瘤。2)双侧少量胸腔积液。
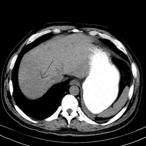
作者: jia119 时间: 2010-1-7 03:32
标题: 肝脏
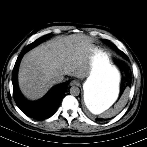
大家看看肝脏右叶片状低密度影是什么改变啊?
[本贴已被 jia119 于 2010-1-6 19:35:21 修改过]

[本贴已被 jia119 于 2010-1-6 19:37:52 修改过]
作者: hhs937 时间: 2010-1-7 04:38
淋巴瘤?肝脏请增强后说啊
作者: zsl6918 时间: 2010-1-7 04:44
多发肿大淋巴结影,肝内改变需结合强化观察
作者: zxl51642 时间: 2010-1-7 04:55
标题: 回复:经典!!!!!!患者,男,57,胸部不适,检查。
以下是引用513ytb在2010-1-6 15:27:00的发言:[br]淋巴瘤?胸腺瘤?
作者: yangyang2000 时间: 2010-1-7 05:07
支持淋巴瘤
作者: 黑白光影 时间: 2010-1-7 05:32
淋巴瘤
作者: ct诊断高手 时间: 2010-1-7 06:36
标题: 回复:经典!!!!!!患者,男,57,胸部不适,检查。
以下是引用zsl6918在2010-1-6 20:44:00的发言:[br]多发肿大淋巴结影,肝内改变需结合强化观察
作者: yuhongjun 时间: 2010-1-7 14:13
多发肿大淋巴结影,肝内改变需结合强化观察。
作者: dr.yang 时间: 2013-4-2 11:17
淋巴瘤?胸腺瘤?
欢迎光临 医影在线 (http://bbs.radida.com/bbs/) |
Powered by Discuz! X3.2 |