医影在线

标题: CT24009:请教各路神仙 [打印本页]

作者: ffxxzzzxf    时间: 2010-1-7 01:06
标题: CT24009:请教各路神仙
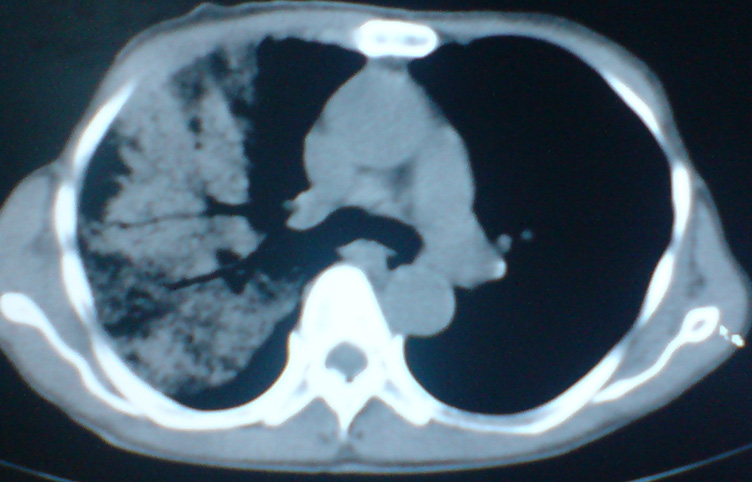
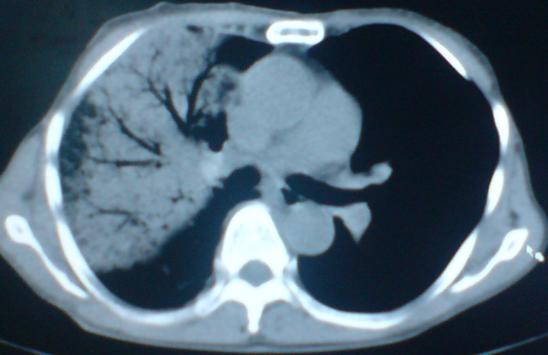
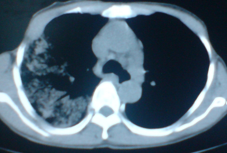
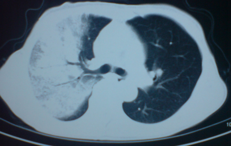
患者,女,60岁,右侧胸痛、咳嗽两个月。






[本贴已被 翁志蓬 于 2010-1-7 0:37:37 修改过]

作者: 科室第一人    时间: 2010-1-7 01:50
先抗炎治疗后复查
作者: 破釜沉舟    时间: 2010-1-7 01:51
首先考虑肺泡癌。
作者: 37度    时间: 2010-1-7 01:52
大叶肺炎,治疗后复查。
作者: 2008boyBOY    时间: 2010-1-7 03:13
典型的细支气管肺泡癌
作者: 听海观潮20    时间: 2010-1-7 03:26
先抗炎治疗后复查
作者: ydx_74    时间: 2010-1-7 04:08
先抗炎治疗后复查,没有典型而言
作者: 长城干红    时间: 2010-1-7 04:12
干酪样肺炎?肺泡癌?请结合病史,有无发热、咳痰。
作者: 天堂鸟    时间: 2010-1-7 04:17
应首先考虑常规病变:大叶性肺炎,抗炎治疗后复查。补充病史及发全图像看看纵膈里面有无肿大的淋巴结。
作者: zxl51642    时间: 2010-1-7 04:22
肺泡癌
作者: 进修医生    时间: 2010-1-7 04:24
大叶性肺炎,抗炎治疗后复查。补充病史及发全图像看看纵膈里面有无肿大的淋巴结。支持
作者: zsl6918    时间: 2010-1-7 04:27
不出意外的话应该是弥漫性肺泡癌。
作者: 地球上的    时间: 2010-1-7 04:30
大叶性肺炎,抗炎治疗后复查。补充病史及发全图像看看纵膈里面有无肿大的淋巴结。支持
作者: duanhui007    时间: 2010-1-7 04:54
标题: 回复:请教各路神仙
以下是引用zsl6918在2010-1-6 20:27:00的发言:[br]不出意外的话应该是弥漫性肺泡癌。

作者: 卜一    时间: 2010-1-7 05:13
大叶性肺炎,抗炎治疗后复查。补充病史及发全图像看看纵膈里面有无肿大的淋巴结。支持!

作者: 羊皮    时间: 2010-1-7 05:19
标题: 回复:请教各路神仙
以下是引用卜一在2010-1-6 21:13:00的发言:[br][br] 大叶性肺炎,抗炎治疗后复查。补充病史及发全图像看看纵膈里面有无肿大的淋巴结。支持! [br]!

作者: yangyudong333    时间: 2010-1-7 05:27
大叶性肺炎,抗炎治疗后复查。补充病史及发全图像看看纵膈里面有无肿大的淋巴结。支持!

作者: yangjyan    时间: 2010-1-7 05:30
考虑大叶性肺炎,期待结果
作者: 黑白光影    时间: 2010-1-7 06:02
大叶性肺炎,抗炎治疗后复查。补充病史及发全图像看看纵膈里面有无肿大的淋巴结。支持!
作者: ct诊断高手    时间: 2010-1-7 06:31
考虑大叶性肺炎,期待结果
作者: xihan    时间: 2010-1-7 07:06
大叶性肺炎,抗炎治疗后复查
作者: 泪洒红尘    时间: 2010-1-7 07:08
肺泡癌?肺泡蛋白沉积症?
作者: 影像孺子牛    时间: 2010-1-7 07:24
大叶性肺炎,抗炎治疗后复查。补充病史及发全图像看看纵膈里面有无肿大的淋巴结。支持!
作者: linyiming    时间: 2010-1-7 09:36
考虑肺炎,未除肿瘤。建议复查。
作者: yuhongjun    时间: 2010-1-7 13:54
大叶性肺炎,抗炎治疗后复查。
作者: lizhiguang    时间: 2010-1-7 15:33
大叶肺炎,治疗后复查
作者: 深泽交通    时间: 2010-1-7 17:24
考虑大叶性肺炎
作者: 天目山人    时间: 2010-1-7 17:29
大叶性肺炎,抗炎治疗后复查。补充病史及发全图像看看纵膈里面有无肿大的淋巴结。支持!
作者: 随光逐影    时间: 2010-1-7 17:29
建议抗炎治疗后复查。
作者: LIAOQIANG    时间: 2010-1-7 17:48
考虑大叶性肺炎,抗炎治疗后复查或痰检除外肺泡癌。
作者: 心路寻觅    时间: 2010-1-7 19:25
支持:大叶性肺炎,病灶内支气管走行自然,无僵直及粗细改变,建议抗炎治疗后复查!
作者: shibing    时间: 2010-1-7 19:54
肺泡癌
作者: ZJB    时间: 2010-1-7 20:09
考虑大叶性肺炎,抗炎治疗后复查或痰检除外肺泡癌




欢迎光临 医影在线 (http://bbs.radida.com/bbs/) Powered by Discuz! X3.2