医影在线

标题: CT24010:患者女56岁双侧甲状腺摘除术后一月复查,患者现感 [打印本页]

作者: mohaiyidi    时间: 2010-1-7 02:14
标题: CT24010:患者女56岁双侧甲状腺摘除术后一月复查,患者现感
















[本贴已被 翁志蓬 于 2010-1-7 0:38:57 修改过]

作者: 刘湘    时间: 2010-1-7 03:18
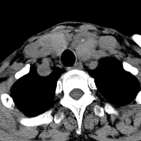
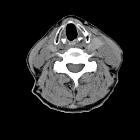
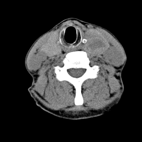
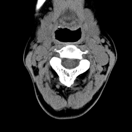
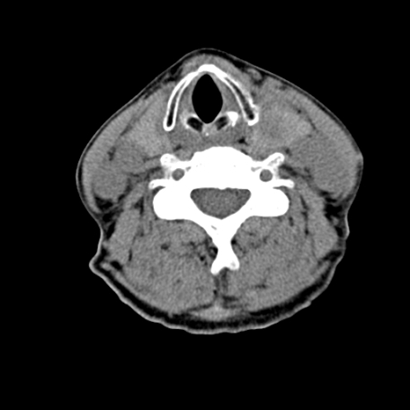
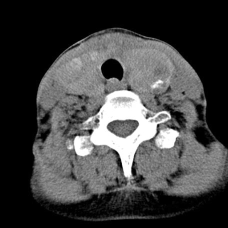
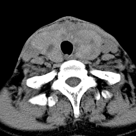
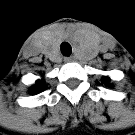
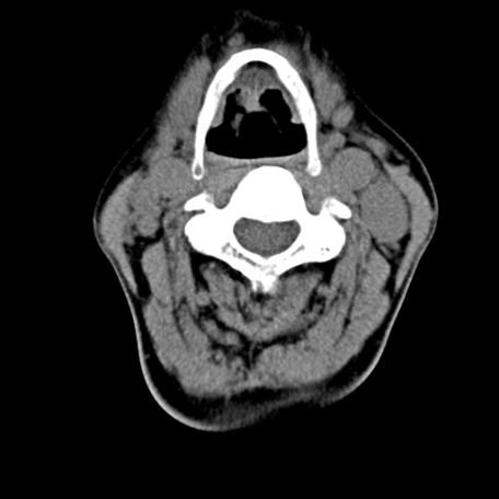
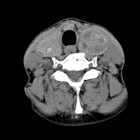
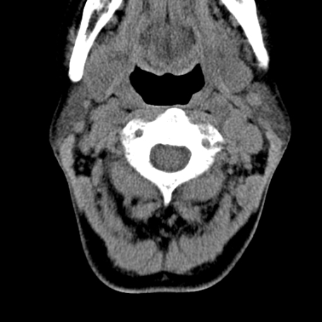
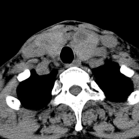
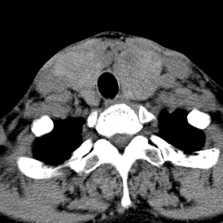
甲状腺术后复发,现在甲状腺区域仍有密度不均匀之软组织密度影。
作者: 科室第一人    时间: 2010-1-7 03:33
术后改变及复发
作者: 长城干红    时间: 2010-1-7 04:09
考虑:甲状腺病变术后复发。
作者: ydx_74    时间: 2010-1-7 04:10
术后复发
作者: 天堂鸟    时间: 2010-1-7 04:13
甲状腺区域密度不均匀密度影,应该是术后改变,要鉴别是否复发,建议增强检查。
作者: 37度    时间: 2010-1-7 04:19
术后病理是什么?
作者: zxl51642    时间: 2010-1-7 04:27
“甲状腺摘除术后一月复查”,有病理吗?考虑术后复发,可能是恶性,颌下及左侧颈部淋巴结有肿大。
作者: 进修医生    时间: 2010-1-7 04:27
复发
作者: zsl6918    时间: 2010-1-7 04:29
建议强化及结合实验室检查明确,考虑出血合并感染。
作者: 卜一    时间: 2010-1-7 05:15
甲状腺区域密度不均匀密度影,应该是术后改变,要鉴别是否复发,建议增强检查!支持!
作者: 羊皮    时间: 2010-1-7 05:16
标题: 回复:患者女56岁双侧甲状腺摘除术后一月复查,患者现感
以下是引用进修医生在2010-1-6 20:27:00的发言:[br]复发

作者: 黑白光影    时间: 2010-1-7 06:04
标题: 回复:患者女56岁双侧甲状腺摘除术后一月复查,患者现感
以下是引用zxl51642在2010-1-6 20:27:00的发言:[br]“甲状腺摘除术后一月复查”,有病理吗?考虑术后复发,可能是恶性,颌下及左侧颈部淋巴结有肿大。

作者: 泪洒红尘    时间: 2010-1-7 07:04
“甲状腺摘除术后一月复查”——腺瘤还是癌?
作者: 影像孺子牛    时间: 2010-1-7 07:26
“甲状腺摘除术后一月复查”,有病理吗?考虑术后复发,可能是恶性,颌下及左侧颈部淋巴结有肿大。
作者: linyiming    时间: 2010-1-7 09:34
考虑术后复发,并颈部淋巴结肿大。请结合临床。
作者: yuhongjun    时间: 2010-1-7 13:55
甲状腺区域密度不均匀密度影,应该是术后改变,要鉴别是否复发,建议增强检查!支持!
作者: lizhiguang    时间: 2010-1-7 15:35
建议强化
作者: 深泽交通    时间: 2010-1-7 17:22
支持甲状腺癌术后复发
作者: 随光逐影    时间: 2010-1-7 17:33
双侧甲状腺肿大,伴多发低密度灶(性质待定);建议行进一步检查。
作者: LIAOQIANG    时间: 2010-1-7 17:43
考虑:甲状腺病变术后复发。
作者: shibing    时间: 2010-1-7 19:52
术后改变及复发
作者: ZJB    时间: 2010-1-7 20:17
术后改变
作者: muzi888    时间: 2010-1-7 23:05
双侧甲状腺肿大,周围结构不清,术后复发时间有点短,考虑出血并感染。




欢迎光临 医影在线 (http://bbs.radida.com/bbs/) Powered by Discuz! X3.2