






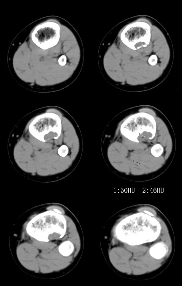
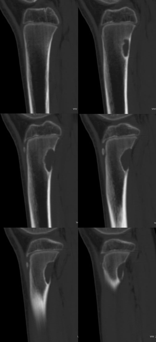
以下是引用37度在2010-1-7 12:22:00的发言:[br]左胫骨上段纤维性骨皮质缺损(非骨化性纤维瘤).
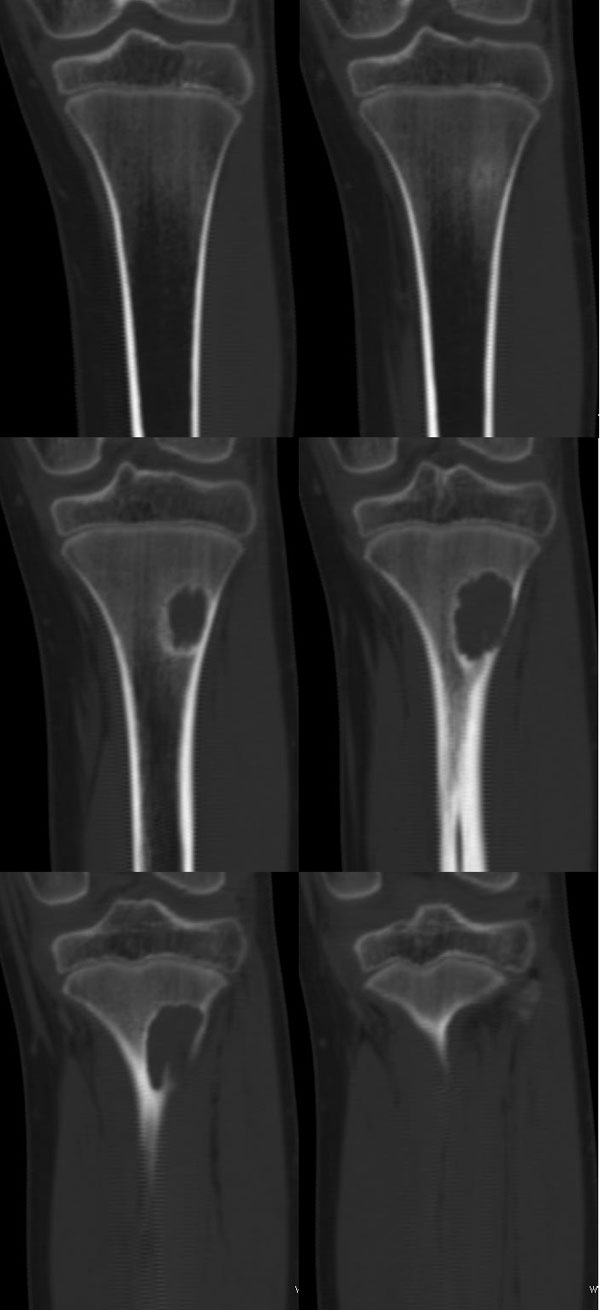
以下是引用37度在2010-1-7 12:22:00的发言:[br]左胫骨上段纤维性骨皮质缺损(非骨化性纤维瘤).
以下是引用dyqct在2010-1-7 14:54:00的发言:[br]考虑为左胫骨上段纤维性骨皮质缺损 ,可自愈.
以下是引用dyqct在2010-1-7 14:54:00的发言:[br]考虑为左胫骨上段纤维性骨皮质缺损 ,可自愈.
以下是引用沉默是金在2010-1-8 18:51:00的发言:[br]非骨化性纤维瘤
以下是引用xkncyyhyq在2010-1-7 9:54:00的发言:[br]考虑为纤维性骨皮质缺损
| 欢迎光临 医影在线 (http://bbs.radida.com/bbs/) | Powered by Discuz! X3.2 |