医影在线
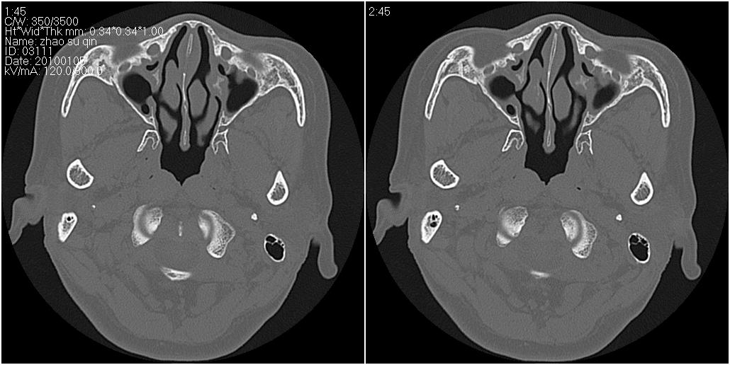
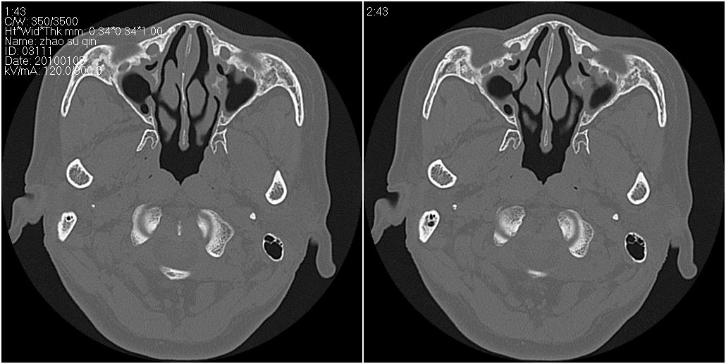
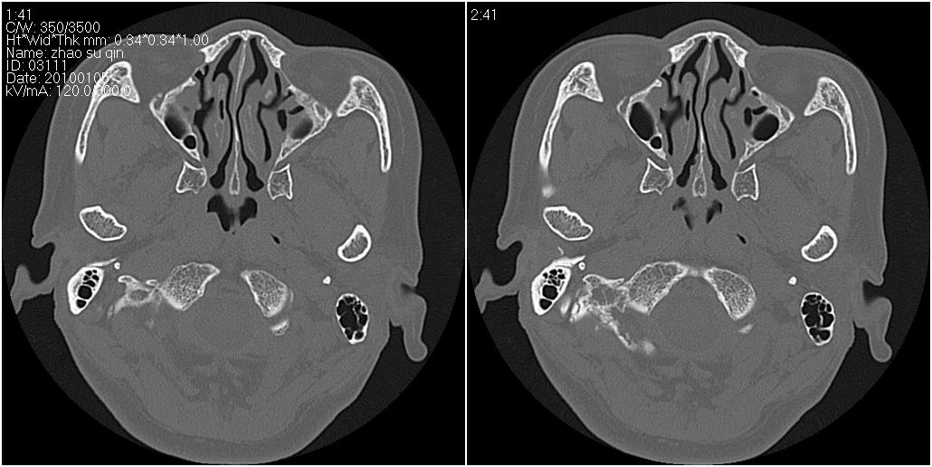
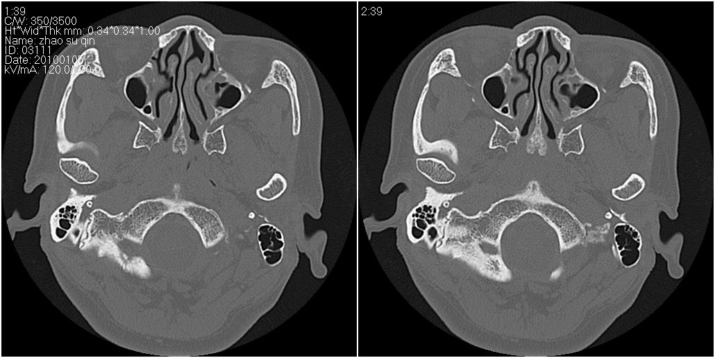
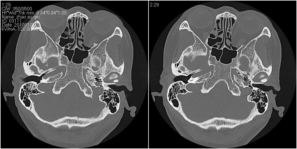
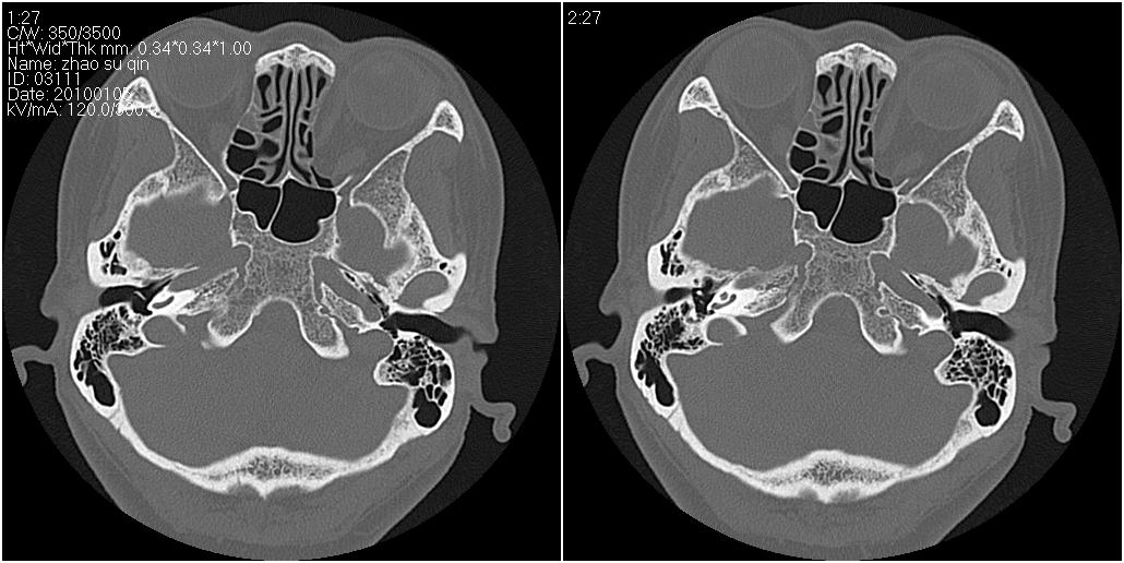
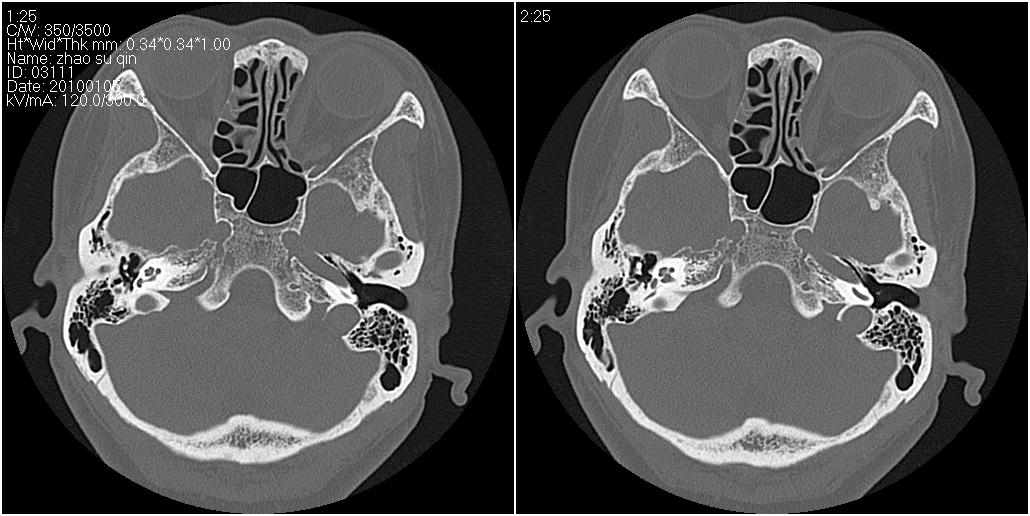
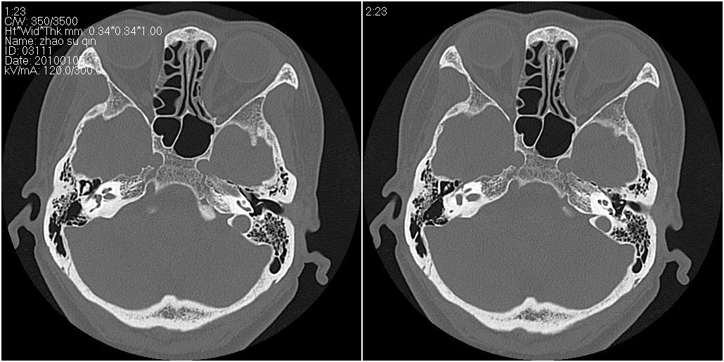
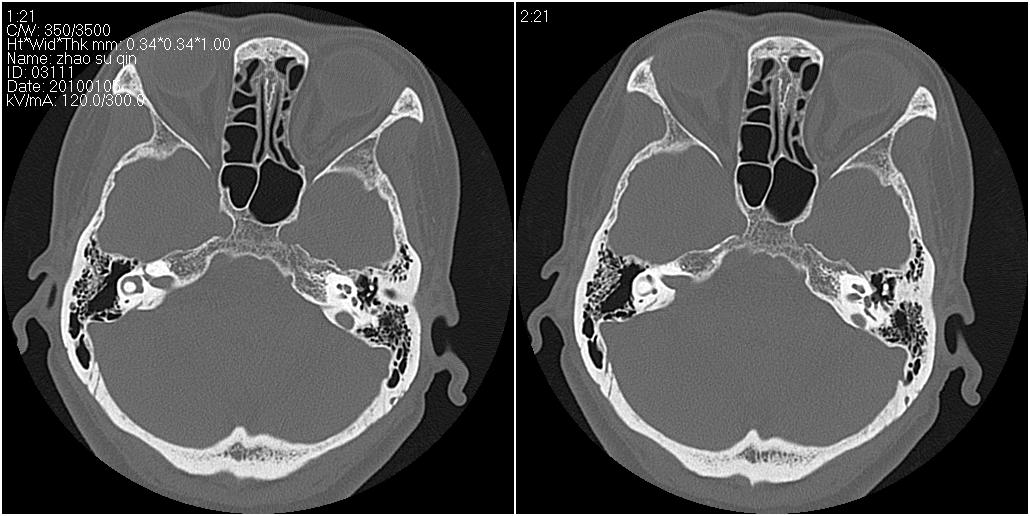
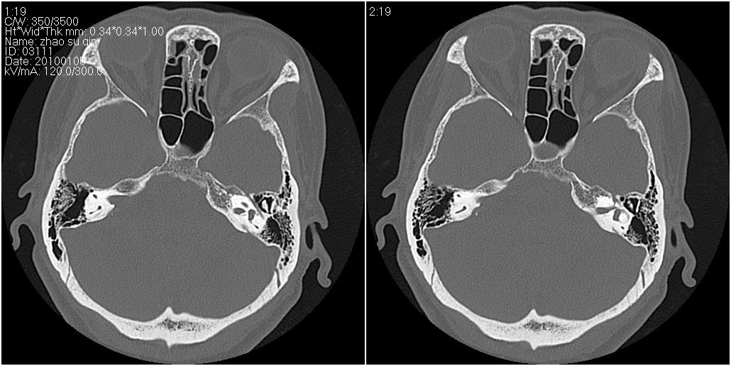
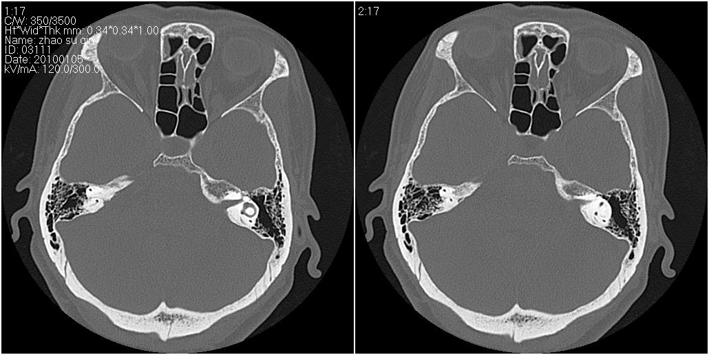
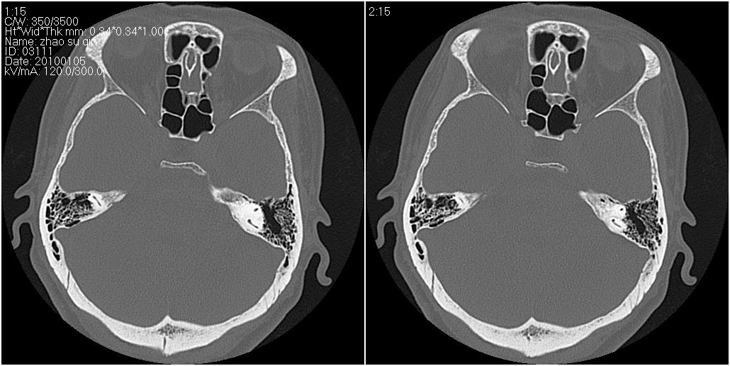
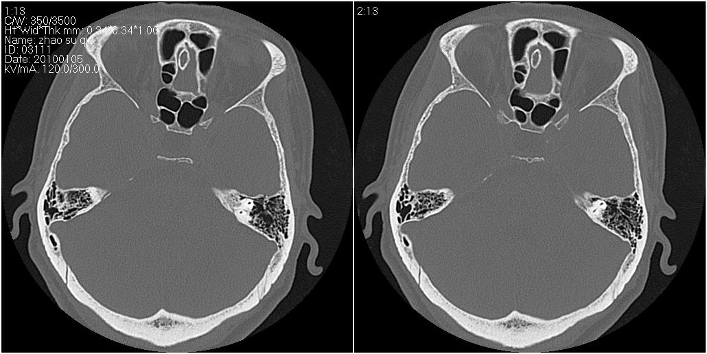
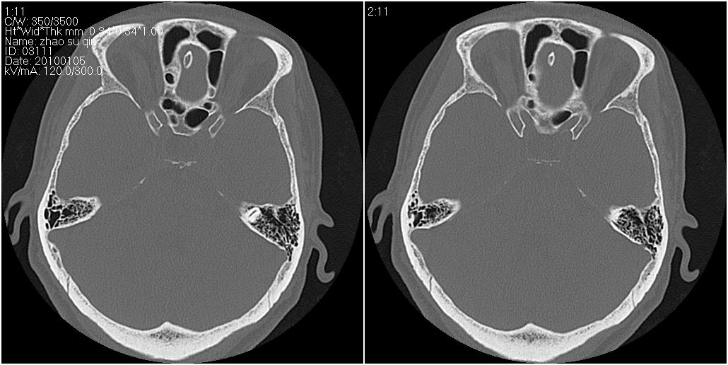
标题: CT24015:一个头部外伤患者进行鉴定,除了左侧筛板骨折,哪 [打印本页]
作者: fanshl 时间: 2010-1-7 14:46
标题: CT24015:一个头部外伤患者进行鉴定,除了左侧筛板骨折,哪
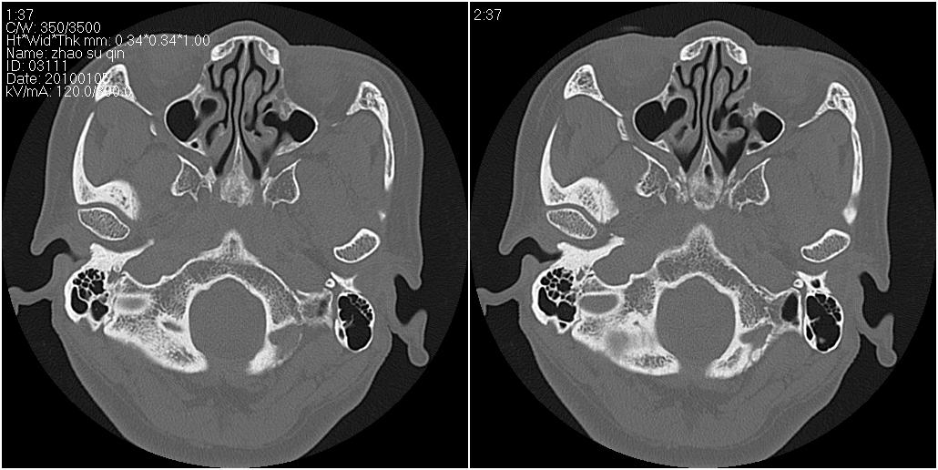
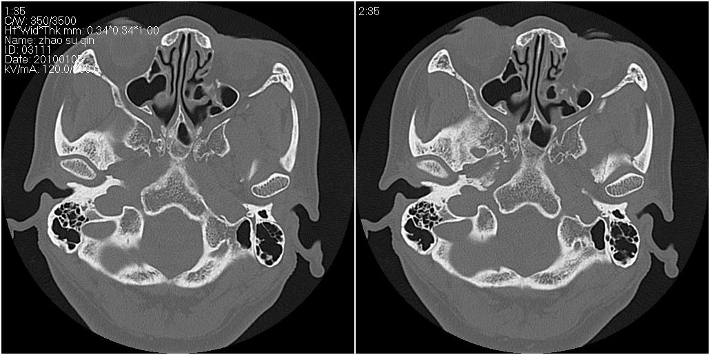
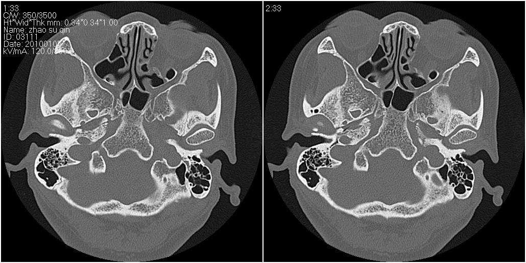
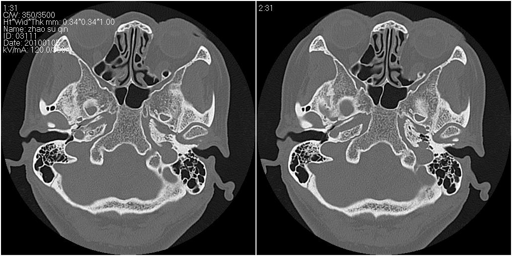
请高手指教































[本贴已被 jiajie 于 2010-1-7 6:54:25 修改过]
[本贴已被 fanshl 于 2010-1-7 7:20:55 修改过]
作者: 水过无痕 时间: 2010-1-7 17:02
看了几遍,其余未见明显骨折征。
作者: 深泽交通 时间: 2010-1-7 17:06
左眶下裂部好像有骨折 似有小碎骨片
作者: 随光逐影 时间: 2010-1-7 17:57
1)左侧筛板骨折。2)双侧筛窦炎症(或积血)。
作者: shibing 时间: 2010-1-7 19:33
其余未见明显骨折征。
作者: 37度 时间: 2010-1-7 20:18
看了几遍,其余未见明显骨折征。
作者: ZJB 时间: 2010-1-7 20:25
看了几遍,其余未见明显骨折征。
作者: zxl51642 时间: 2010-1-8 00:47
标题: 回复:ct24015:一个头部外伤患者进行鉴定,除了左侧筛板骨
以下是引用随光逐影在2010-1-7 9:57:00的发言:[br]1)左侧筛板骨折。2)双侧筛窦炎症(或积血)。
作者: 黑白光影 时间: 2010-1-8 03:58
标题: 回复:ct24015:一个头部外伤患者进行鉴定,除了左侧筛板骨
以下是引用随光逐影在2010-1-7 9:57:00的发言:[br]1)左侧筛板骨折。2)双侧筛窦炎症(或积血)。
作者: yuhongjun 时间: 2010-1-8 13:49
请明示骨折部位。
| 欢迎光临 医影在线 (http://bbs.radida.com/bbs/) |
Powered by Discuz! X3.2 |