医影在线

标题: CT24018:女性,62岁,咳嗽4年,无热,胸部CT扫 [打印本页]

作者: intotheforest    时间: 2010-1-7 19:42
标题: CT24018:女性,62岁,咳嗽4年,无热,胸部CT扫
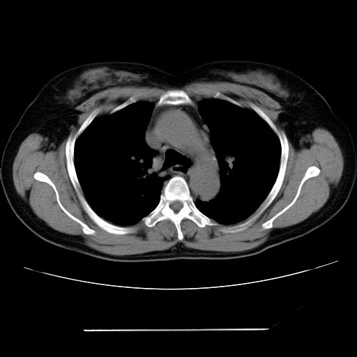
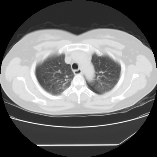
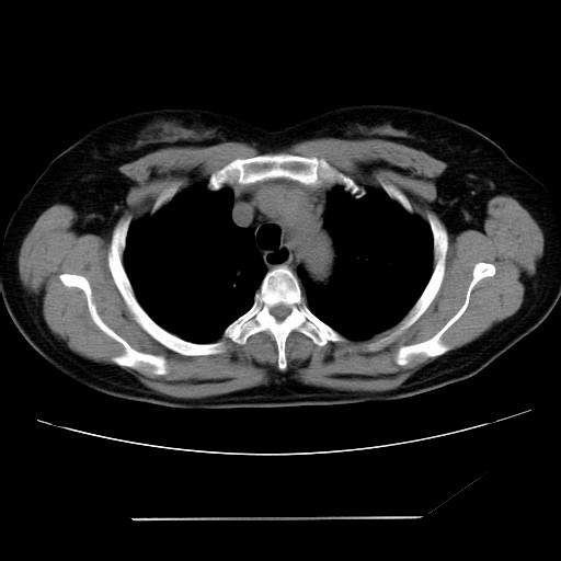
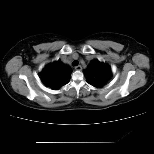
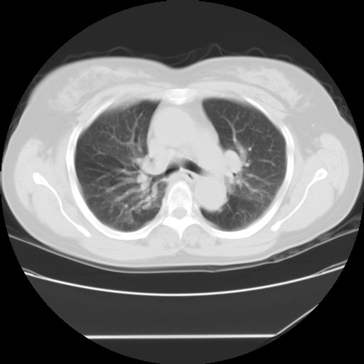
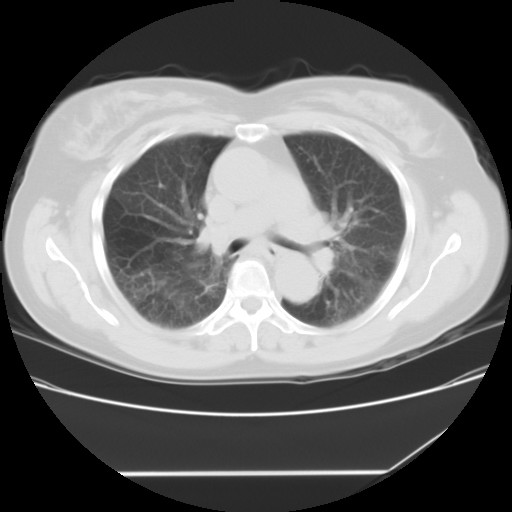
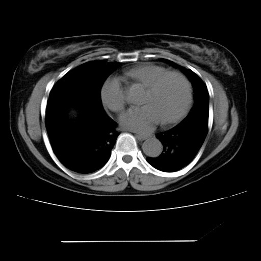
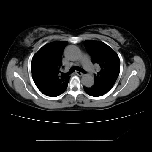
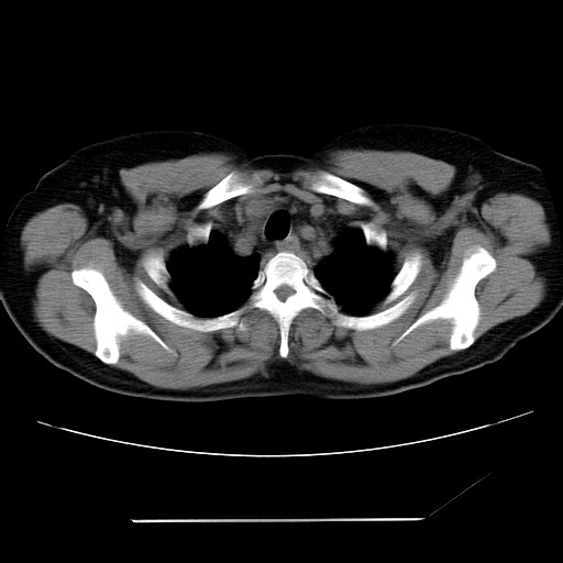
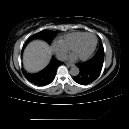
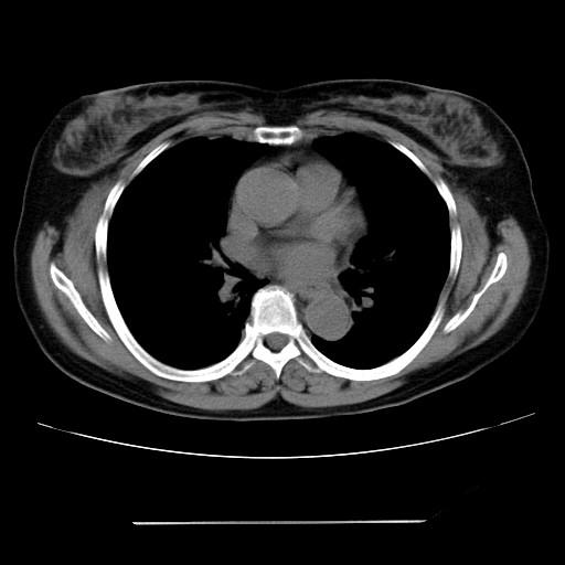
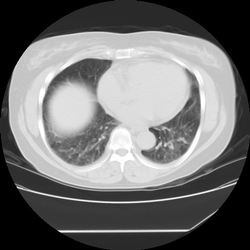
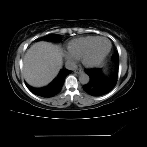
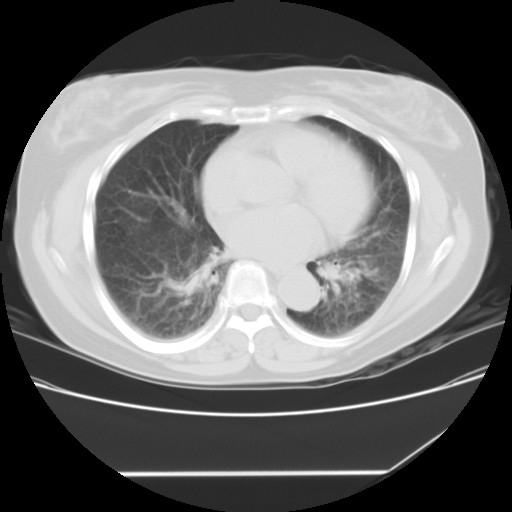
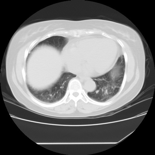
女性,62岁,长期咳嗽,既往从事工作有粉尘接触,有高血压病史,110/150mmhg,近日咳嗽加重,脸面浮肿,请大家帮看下,
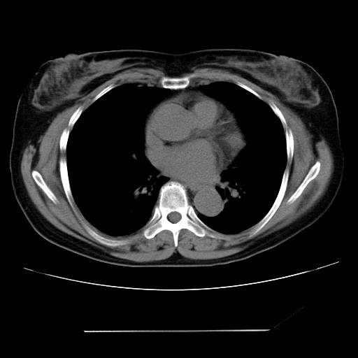
1、尘肺;2、慢性支气管炎合并肺部感染;3、心影增大(左房、左室大),考虑高血压性心脏病。
能否考虑是尘肺引起的肺源性心脏病?









































[本贴已被 翁志蓬 于 2010-1-7 19:54:44 修改过]

作者: intotheforest    时间: 2010-1-7 19:48
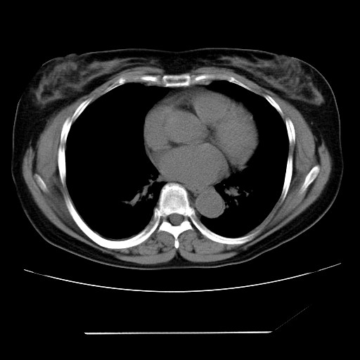
心包有积液吗?
作者: sdzyy    时间: 2010-1-7 20:10
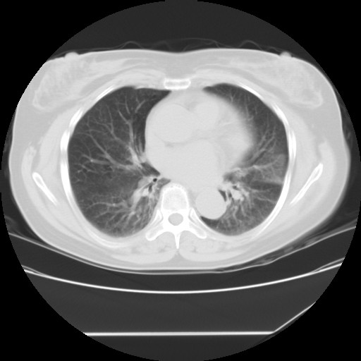
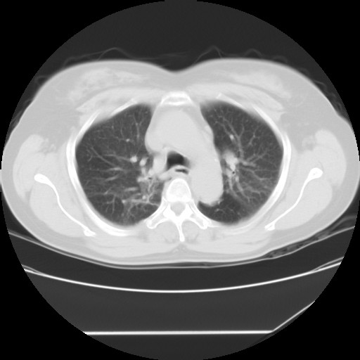
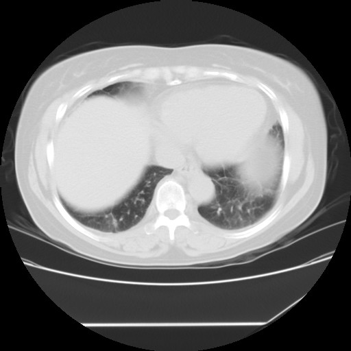
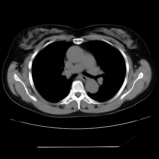
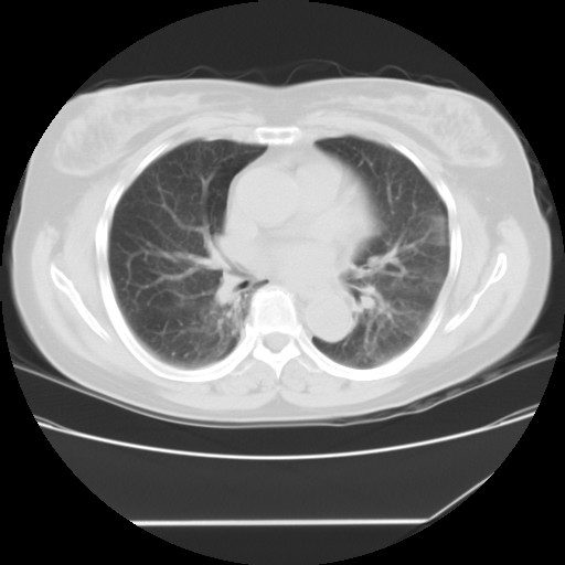
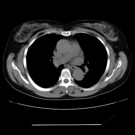
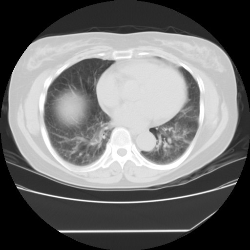
慢支并肺部炎症;右肺结核球?主肺动脉、右肺动脉影不宽,右心室不大,不支持肺心病;无心包积液。
作者: 37度    时间: 2010-1-7 20:20
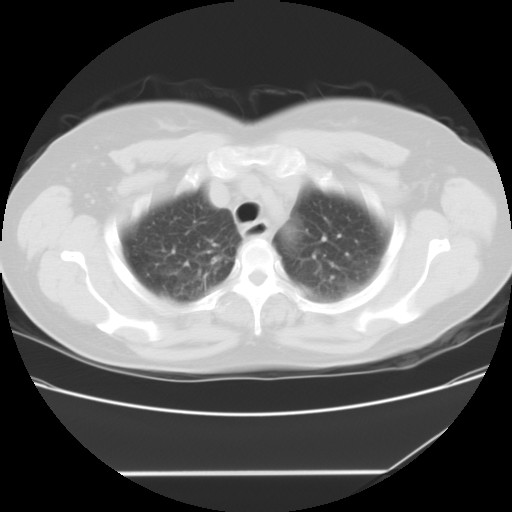
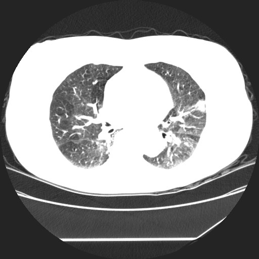
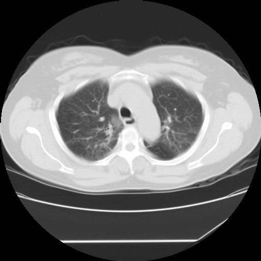
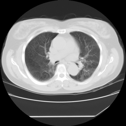
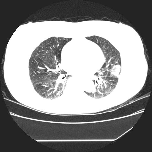
间质性肺炎,有纤维化趋势。
作者: intotheforest    时间: 2010-1-7 20:36
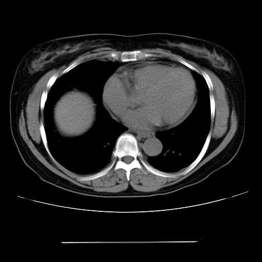
右肺无结核球,是肝上缘
作者: 心路寻觅    时间: 2010-1-7 20:47
支持:慢支并感染,肺心病暂不考虑!
作者: 随光逐影    时间: 2010-1-7 22:35
1)慢性支气管炎并肺部感染、肺气肿。2)肺间质纤维化。
作者: chenaide    时间: 2010-1-7 23:17
标题: 回复:女性,62岁,咳嗽4年,无热,胸部ct扫
以下是引用intotheforest在2010-1-7 11:48:00的发言:[br]心包有积液吗?

作者: zxl51642    时间: 2010-1-8 00:49
标题: 回复:女性,62岁,咳嗽4年,无热,胸部ct扫
以下是引用37度在2010-1-7 12:20:00的发言:[br]间质性肺炎,有纤维化趋势。

作者: 天海    时间: 2010-1-8 02:57
间质性肺炎,左下肺机化性肺炎。
作者: 黑白光影    时间: 2010-1-8 04:07
1)慢性支气管炎并肺部感染、肺气肿。2)肺间质纤维化。
作者: yuhongjun    时间: 2010-1-8 14:43
1)慢性支气管炎并肺部感染、肺气肿。2)肺间质纤维化。
作者: dr.yang    时间: 2013-4-2 12:51
间质性肺炎,有纤维化趋势。




欢迎光临 医影在线 (http://bbs.radida.com/bbs/) Powered by Discuz! X3.2