医影在线

标题: CT24019:男,45岁,发现颈部肿物5个月。 [打印本页]

作者: wpf    时间: 2010-1-7 20:18
标题: CT24019:男,45岁,发现颈部肿物5个月。
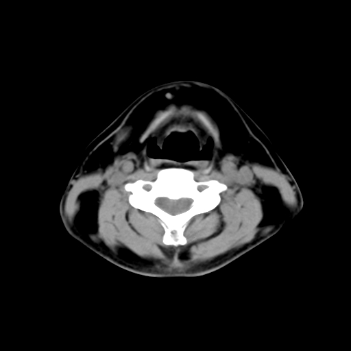
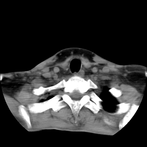
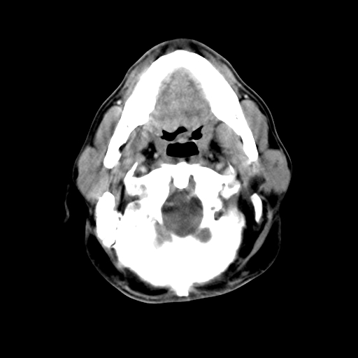
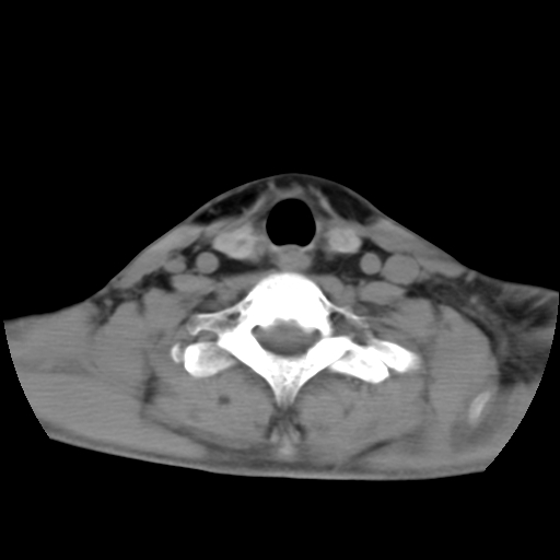
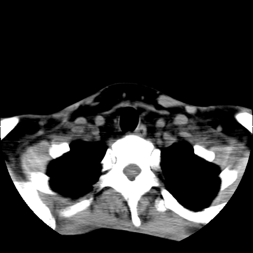
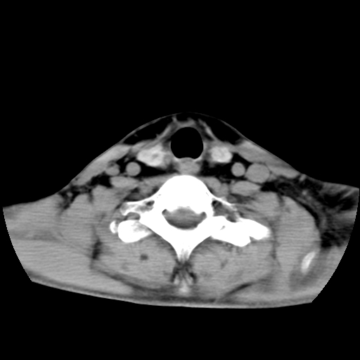
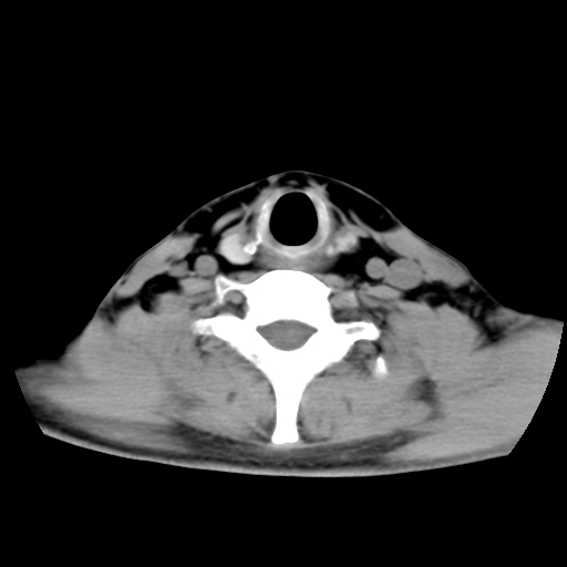
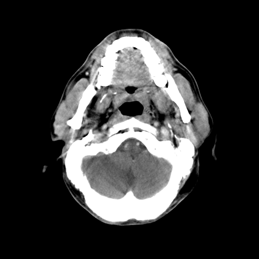
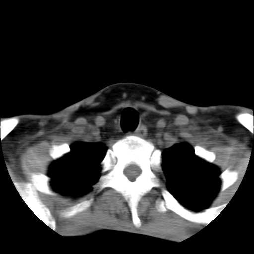
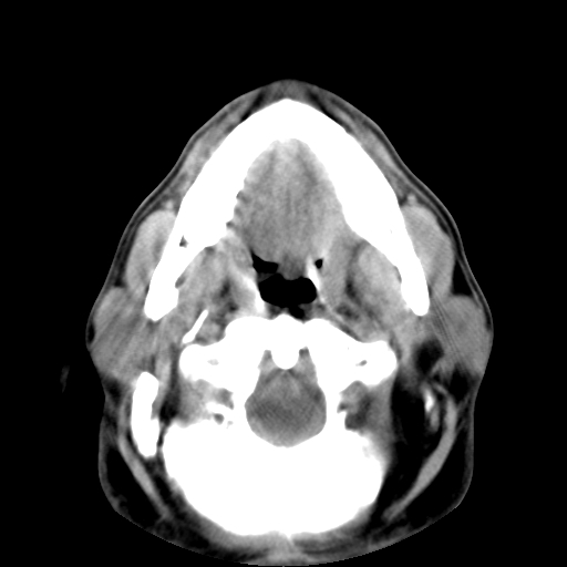
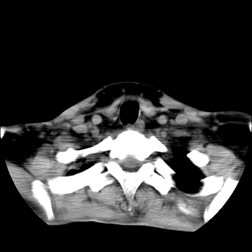
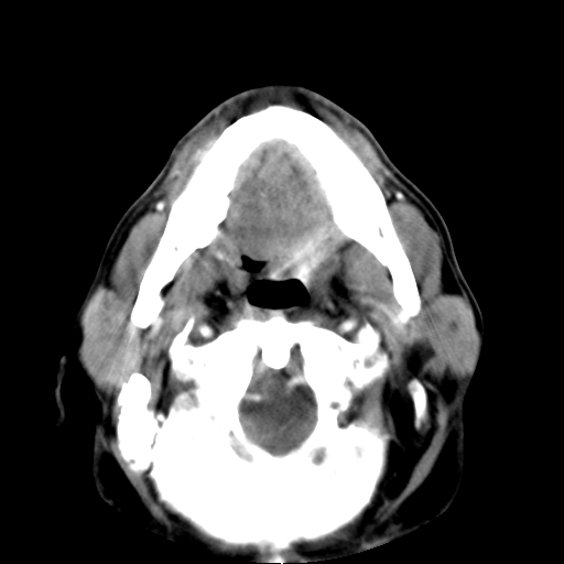
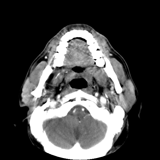
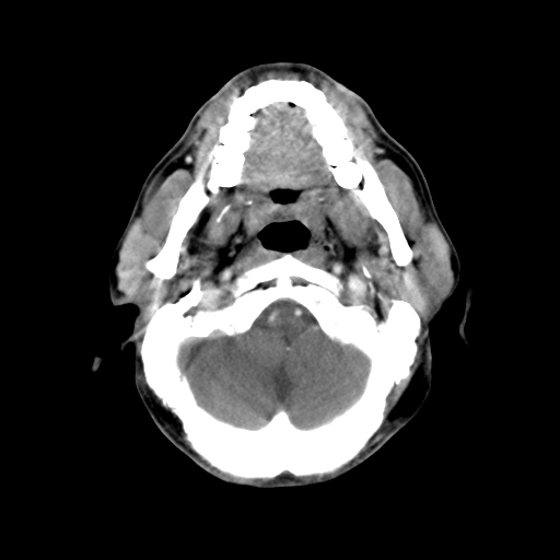
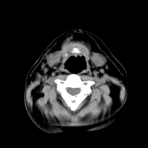
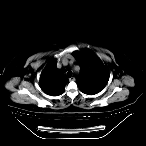
男,45岁,发现颈部肿物5个月,彩超示:双侧颈部及下颌部软组织增厚。







































































[本贴已被 翁志蓬 于 2010-1-7 19:55:44 修改过]

作者: shibing    时间: 2010-1-7 22:20
不像有问题
作者: 水过无痕    时间: 2010-1-8 01:09
脂肪瘤。
作者: zxl51642    时间: 2010-1-8 01:18
脂肪沉积。
作者: 随光逐影    时间: 2010-1-8 03:48
考虑双侧颈项部良性对称性脂肪增多症。
作者: 黑白光影    时间: 2010-1-8 04:10
双侧颈项部脂肪沉积
作者: 水中捞月    时间: 2010-1-8 04:17
未见明显异常
作者: yuhongjun    时间: 2010-1-8 14:37
双侧颈项部脂肪沉积。
作者: dr.yang    时间: 2013-4-2 12:30
学习了




欢迎光临 医影在线 (http://bbs.radida.com/bbs/) Powered by Discuz! X3.2