医影在线
标题: CT24020:男性病人 肝ca两次术后,今日复查。 [打印本页]
作者: syfszcw 时间: 2010-1-7 20:25
标题: CT24020:男性病人 肝ca两次术后,今日复查。
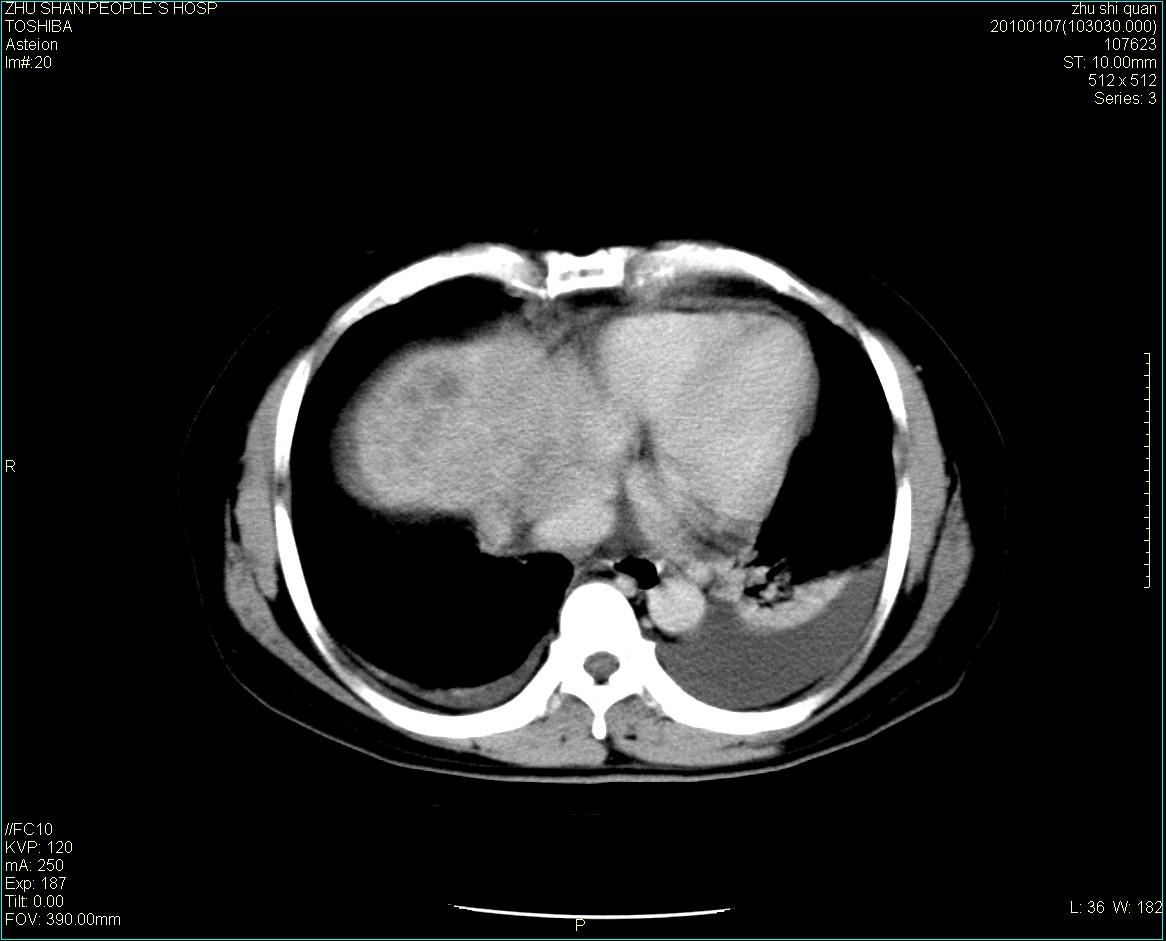
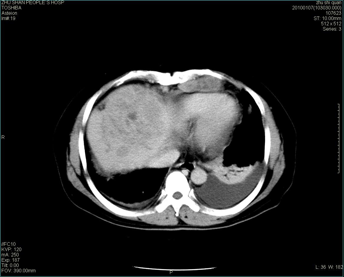
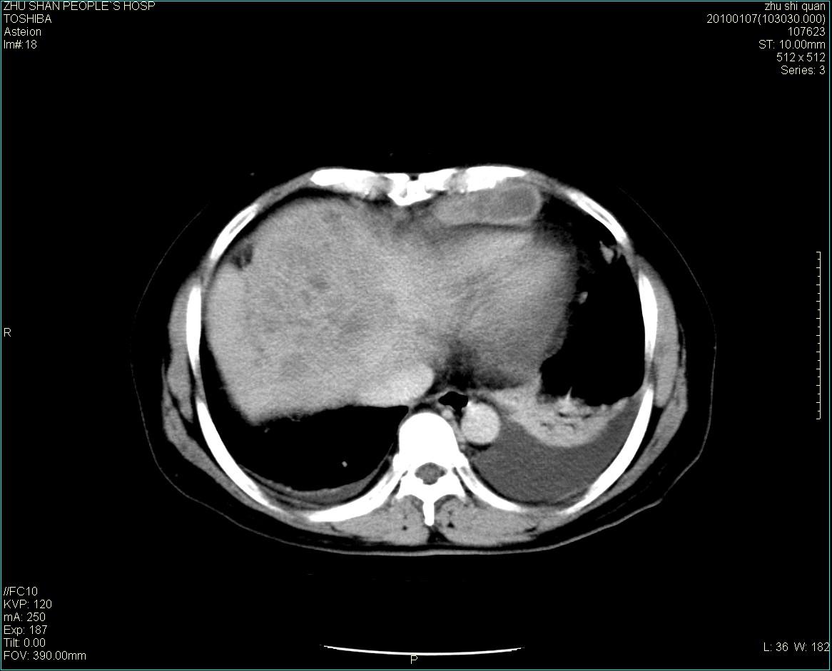
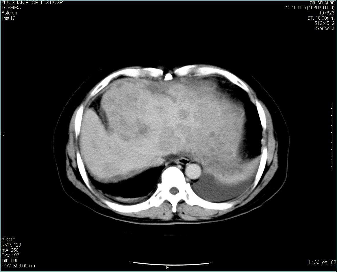
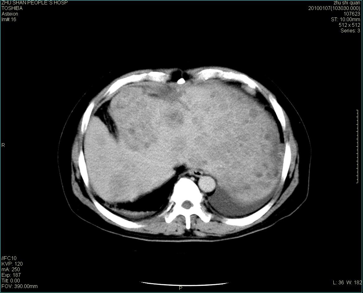
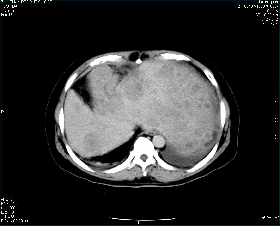
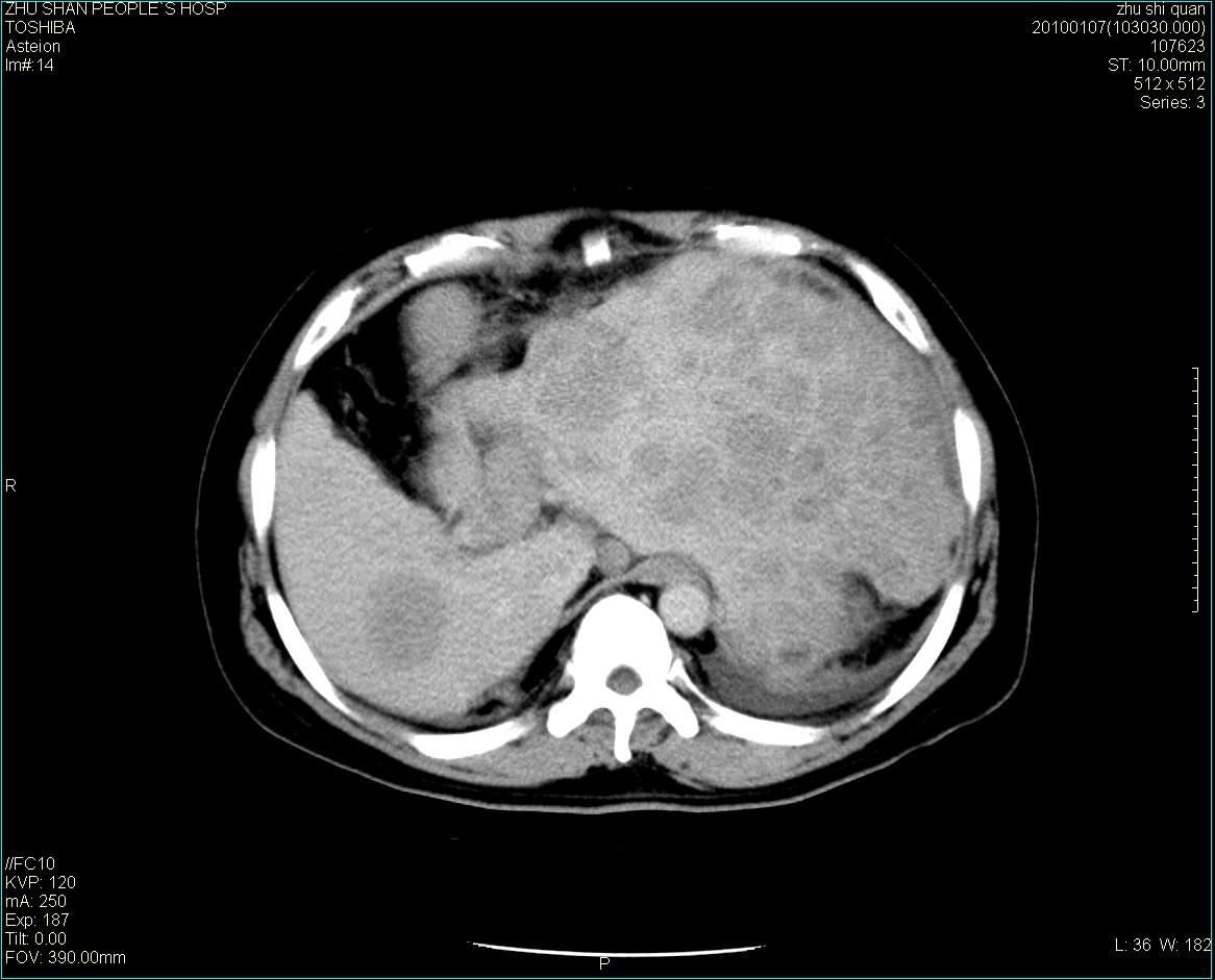
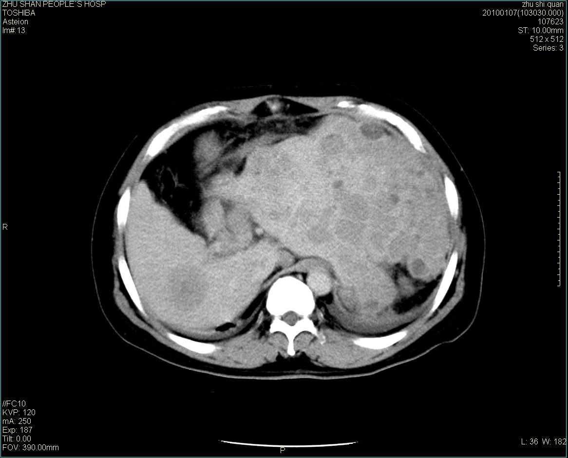
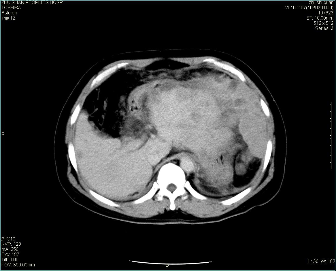
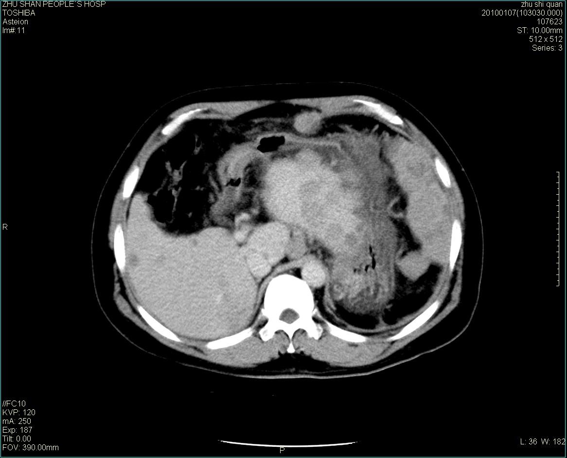
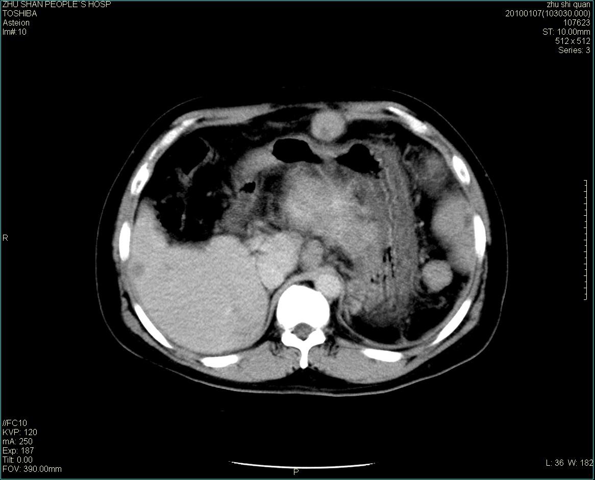
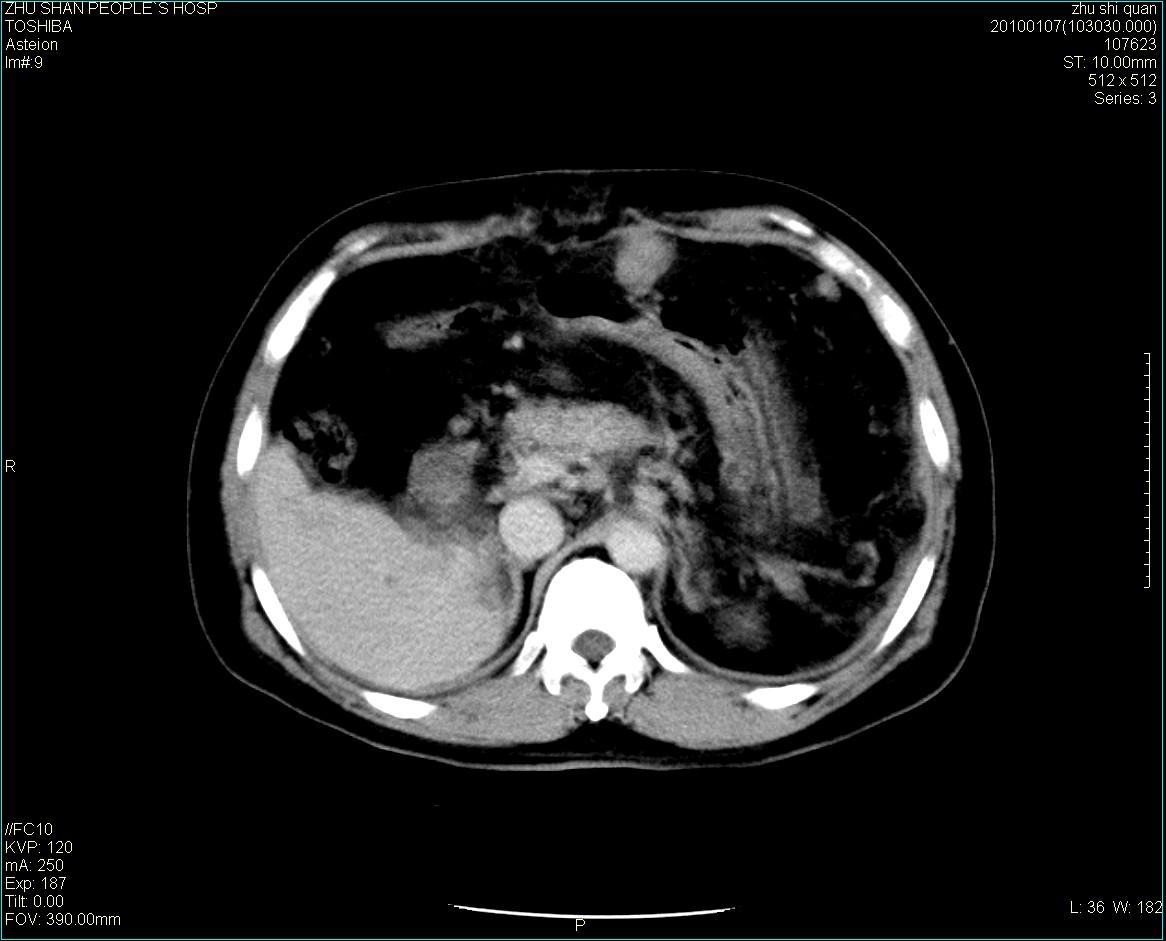
男性病人 肝ca两次术后,今日复查。












[本贴已被 翁志蓬 于 2010-1-7 19:57:33 修改过]
作者: ZJB 时间: 2010-1-7 20:38
多发转移
作者: chenaide 时间: 2010-1-7 21:58
标题: 1
肝、脾多发转移灶,胸腔积液
[本贴已被 chenaide 于 2010-1-7 14:02:40 修改过]
作者: shibing 时间: 2010-1-7 22:25
多发转移灶
作者: 随光逐影 时间: 2010-1-7 22:39
1)肝癌并多发性转移。2)双侧胸腔积液(以左侧为甚)伴左下部分肺萎陷。
作者: linyiming 时间: 2010-1-8 00:36
肝癌术后复发,考虑肝、脾多发转移。
作者: zxl51642 时间: 2010-1-8 01:22
肝癌术后复发,肝内、脾脏、腹膜后及腹膜多发转移,腹水,双侧胸腔积液(以左侧为甚)伴左下膨胀不全。
作者: 黑白光影 时间: 2010-1-8 04:13
支持大家。
作者: yuhongjun 时间: 2010-1-8 14:42
肝、脾多发转移灶,胸腔积液。
作者: LIAOQIANG 时间: 2010-1-8 23:45
肝癌术后复发,肝内、脾脏、腹膜后及腹膜多发淋巴结转移,腹水,双侧胸腔积液。
| 欢迎光临 医影在线 (http://bbs.radida.com/bbs/) |
Powered by Discuz! X3.2 |