医影在线

标题: CT24022:胸部 [打印本页]

作者: 2008奥运    时间: 2010-1-7 20:43
标题: CT24022:胸部
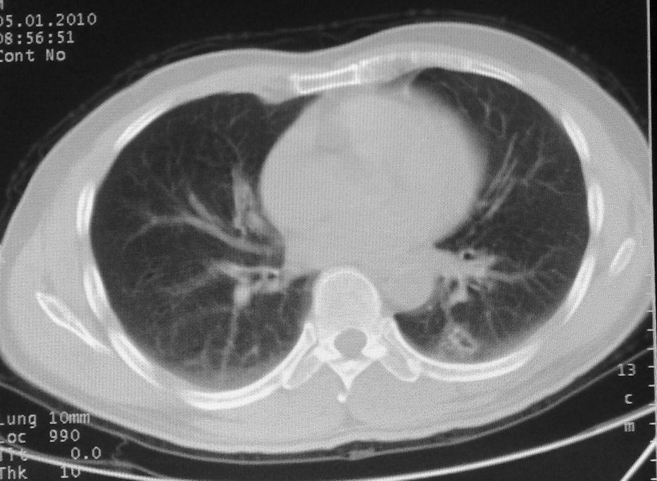
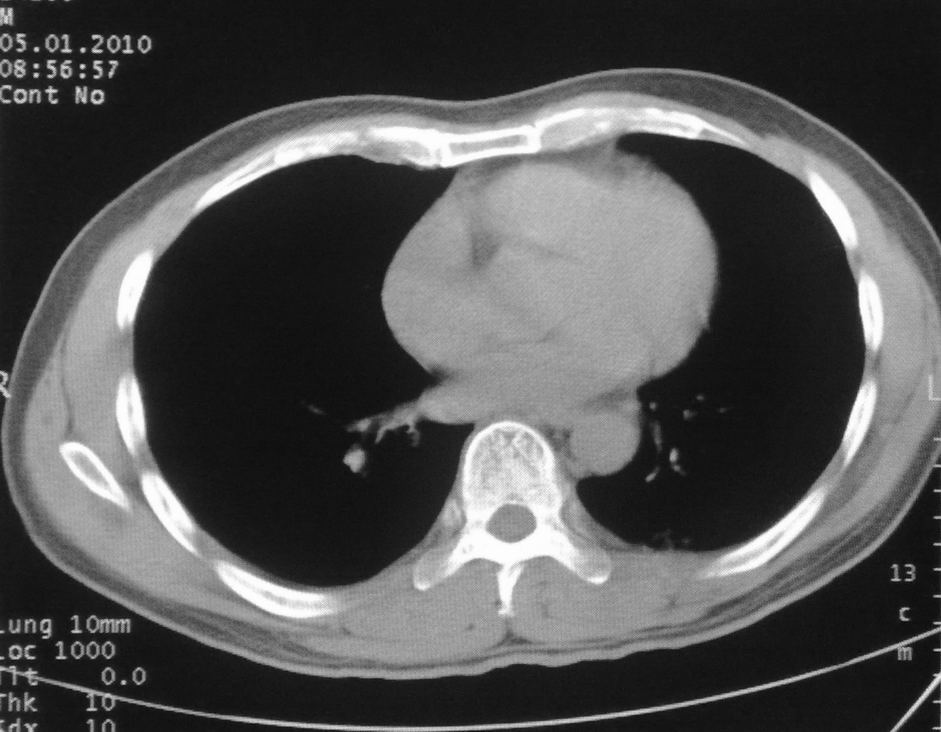
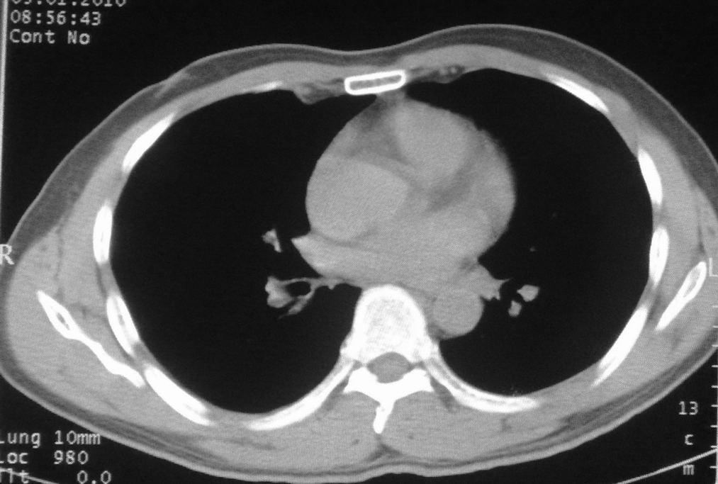
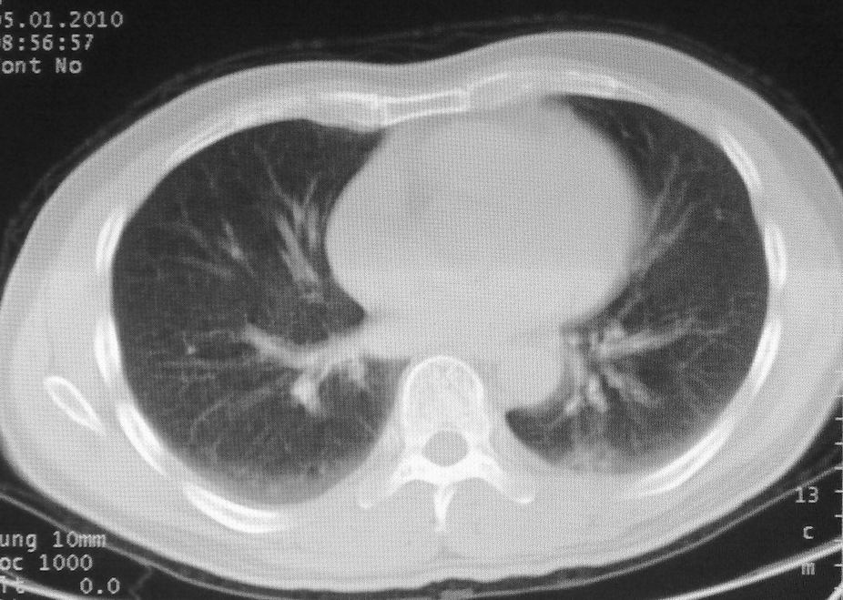
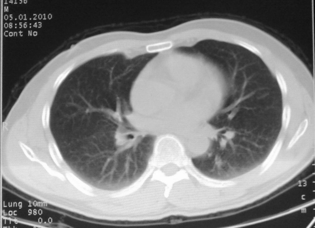
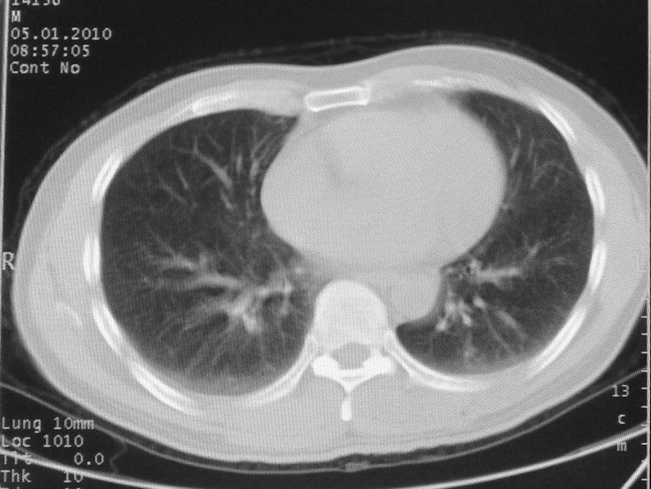
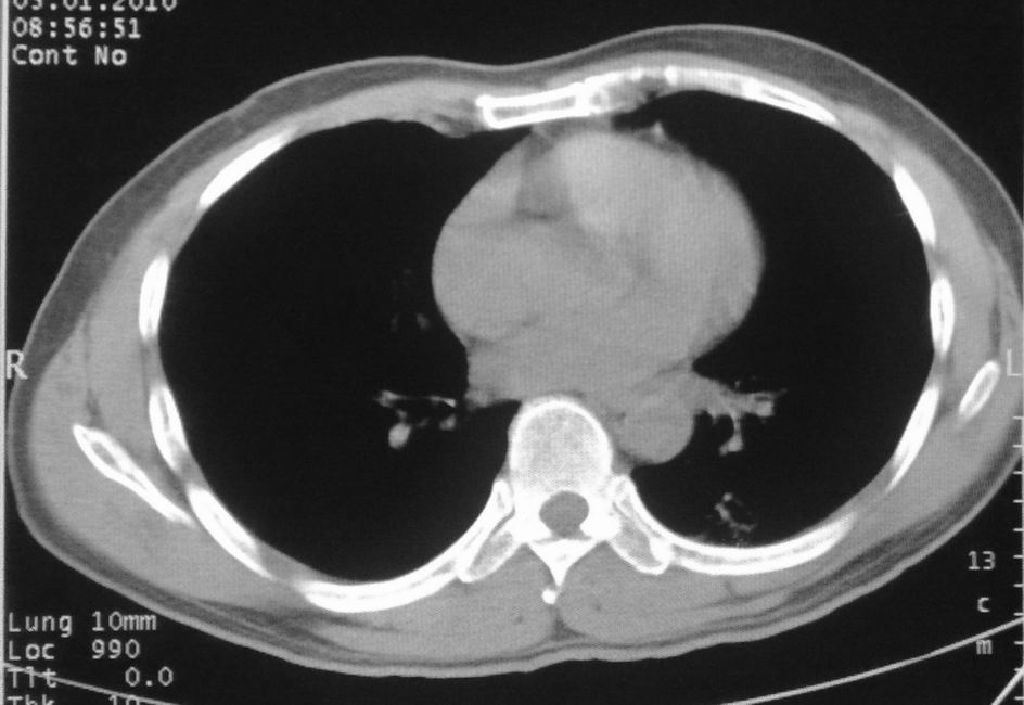
男,51岁,左胸前区不适数天。









[本贴已被 翁志蓬 于 2010-1-7 19:59:17 修改过]

作者: xy841213    时间: 2010-1-7 21:02
薄壁空洞,边缘毛刺,胸膜凹陷,考虑肺癌,结核不排除。
作者: lizhiguang    时间: 2010-1-7 21:28
做薄层
作者: shibing    时间: 2010-1-7 22:28
肺癌
作者: 随光逐影    时间: 2010-1-7 22:44
考虑左肺下叶感染性病变。
作者: dyqct    时间: 2010-1-7 23:00
考虑左肺下叶感染性病变。支持!建议查痰、hrct。
作者: zxl51642    时间: 2010-1-8 01:26
考虑左肺下叶感染性病变。支持!建议查痰、hrct,治疗后复查。
作者: 黑白光影    时间: 2010-1-8 04:17
考虑左肺下叶感染性病变。支持!
作者: yangyang2000    时间: 2010-1-8 06:02
考虑左肺下叶感染性病变。支持
作者: yuhongjun    时间: 2010-1-8 14:17
考虑左肺下叶感染性病变。支持!建议查痰、hrct,治疗后复查。
作者: LIAOQIANG    时间: 2010-1-8 23:40
考虑左肺下叶感染性病变,不除外肺栓。
作者: shuiyuan    时间: 2010-1-9 03:07
做个hrct,图像再清晰点。




欢迎光临 医影在线 (http://bbs.radida.com/bbs/) Powered by Discuz! X3.2